Presentación de caso
Úlcera de Marjolin. Presentación de un caso
Marjolin's Ulcer. A Case Report
Úlcera de Marjolin. Presentación de un caso
MediSur, vol. 14, núm. 1, pp. 41-45, 2015
Facultad de Ciencias Médicas de Cienfuegos, Centro Provincial de Ciencias Médicas Provincia de Cienfuegos.
Recepción: 26 Marzo 2015
Aprobación: 27 Noviembre 2015
Resumen: La úlcera de Marjolin es un tumor maligno cutáneo, raro y agresivo, que se desarrolla en la piel previamente traumatizada o con inflamación crónica. Se presenta un paciente masculino, blanco, de 43 años de edad, aquejado por una lesión ulcerada, sangrante y exofítica, en el tercio distal de la pierna izquierda, donde ya tenía una gran cicatriz a causa de una fractura abierta de tibia y peroné, que además presentó osteomielitis crónica como complicación. Se realizó exéresis y biopsia de la lesión, y se obtuvo como resultado un carcinoma epidermoide de tipo espino celular, compatible con una úlcera de Marjolin. Se decide presentar este caso por la baja frecuencia de presentación de la enfermedad. Se concluye que los pacientes con este tipo de lesión deberán ser sometidos a exámenes periódicos para evitar o solucionar posibles recidivas
Palabras clave: úlcera cutánea, úlcera de la pierna, fracturas abiertas, fracturas de la tibia, neoplasias cutáneas, informes de casos.
Abstract: Marjolin's ulcer is rare and aggressive cutaneous malignancy that develops in previously traumatized or chronically inflamed skin. We present the case of a 43-year-old white man suffering from an exophytic bleeding ulcerated lesion on the distal third of the left leg where he already had a large scar from a compound fracture of the tibia and fibula complicated with chronic osteomyelitis. Surgical excision and biopsy were performed, showing a squamous cell carcinoma consistent with Marjolin's ulcer. We decided to present this case given the rare occurrence of the disease. We concluded that patients with this type of lesion should be subject to periodic examinations to prevent or treat potential recurrences
Key words: skin ulcer, leg ulcer, fractures, open, tibial fractures, skin neoplasms, case reports.
INTRODUCCIÓN
El término úlcera de Marjolin, propuesto desde inicios del siglo XX, se aplica al cambio maligno en una cicatriz, úlcera o seno, por ejemplo, una úlcera venosa crónica, una quemadura que no ha sanado, o el seno de osteomielitis crónica. Se caracteriza por tener un crecimiento lento ya que la lesión es relativamente avascular, por ser indolora, puesto que el tejido cicatrizal no contiene fibras nerviosas cutáneas, y por diseminación linfática tardía, porque el tejido cicatrizal produce obliteración linfática. Una vez que el tumor alcanza los tejidos normales más allá del área enferma, hay crecimiento rápido, dolor y afección linfática.1 Es un tumor raro y agresivo, que tiende a desarrollarse lentamente, con un tiempo promedio de transformación maligna de 35 años. El tipo histológico más frecuente es el carcinoma de células escamosas. El tratamiento de elección es la extirpación radical.2
En este trabajo se presenta un paciente con úlcera de Marjolin como consecuencia de una cicatriz de fractura abierta de tibia, con más de dos décadas de existencia.
PRESENTACIÓN DEL CASO
Se presenta un paciente masculino, de piel blanca, de 43 años de edad, que en el año 1990, a la edad de 19 años, mientras cumplía el servicio militar general, sufrió un accidente del tránsito que le provocó fractura abierta de tibia izquierda grado III-b de de la Clasificación de Gustilo y Anderson. Debido a la gravedad de las lesiones, se le colocó fijador externo tipo RALCA y se le hicieron innumerables curas bajo anestesia en el salón de operaciones. Al quedar una amplia superficie expuesta, se le realizó injerto dermoepidérmico para cubrir el déficit cutáneo existente. Luego presentó osteomielitis crónica de la tibia, con varios trayectos fistulosos que se solucionaron tres años después con tratamiento antibiótico intensivo y varias intervenciones quirúrgicas, consistentes en curetajes, cauterizaciones y fistulectomías. Lograda la cura de la osteomielitis, consolidación ósea y cicatrización cutánea, se reintegró a sus actividades normales.
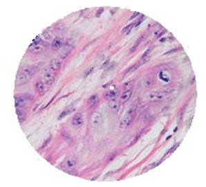
A principios de 2014, después de un trauma simple sobre la cicatriz, comenzó a presentar una úlcera de carácter vegetante y rápido crecimiento (Figura 1), de un diámetro de tres centímetros aproximadamente, friable y de fácil sangrado (Figura 2). Comenzó a realizarse curas locales y al no observarse mejoría, se dirigió al servicio de urgencia de Ortopedia y Traumatología del Hospital Universitario Mártires del 9 de Abril, de Sagua la Grande, provincia de Villa Clara, donde fue ingresado. Se le realizó un cultivo y antibiograma de secreciones de la lesión, cuyo resultado fue unStafilococcus Aureus sensible al cotrimoxazol, con el que se aplicó tratamiento. Resuelta la infección, pero en continua proliferación de la lesión, fue sometido a cirugía, donde se le hizo resección quirúrgica con toma de muestra para biopsia, cuyo resultado diagnóstico según informe de anatomía patológica, fue carcinoma epidermoide de tipo espino celular. (Figura 3)



Con este diagnóstico se solicitó interconsulta con servicio de Oncología. Se procedió al estadiaje de la lesión, que resultó un T1N0M0, por lo que fue trasladado a este servicio para recibir tratamiento con quimio y radioterapia.
DISCUSIÓN
Si bien el carcinoma epidermoide cutáneo es la segunda neoplasia más frecuentede la piel, con incidencia en aumento en las últimas décadas, la forma de presentación como úlcera de Marjolin no es frecuente.3Antiguamente se relacionaba exclusivamente con cicatrices producidas a consecuencia de quemaduras, actualmente engloba cualquier proceso neoproliferativo maligno que surja a partir de un tejido cicatricial.4
Las úlceras de Marjolin suelen ser más agresivas que otros carcinomas de células escamosas, con mayores tasas de mortalidad y de metástasis.5 En este sentido puede influir la demora en el diagnóstico, ya que los pacientes llegan generalmente a las consultas con lesiones de larga data. El tiempo transcurrido entre la aparición de la úlcera y el diagnóstico, en este paciente, fue bien corto, por lo que aún no habían aparecido metástasis, ni nódulos o ganglios a distancia; el estadio establecido por Oncología fue T1M0N0. La mayor parte de los carcinomas espino celulares cutáneos están localizados; se curan habitualmente con cirugía convencional amplia u otros procedimientos locales como citostáticos y radiaciones ionizantes. No obstante, existe un subgrupo de carcinomas espino celulares cutáneos con un comportamiento biológico más agresivo, que muestran gran tendencia a la recidiva local, a la diseminación linfática y, en ocasiones, a la invasión de órganos situados a distancia. El porcentaje de carcinomas espino celulares cutáneos primarios que hacen metástasis, es variable, según las distintas series, habitualmente inferior al 5 %, mientras que en los carcinomas espino celulares cutáneos de alto riesgo puede variar de 15 a 38 %.3 Según Goldsmith entre el 0,2 y el 1,7 % de los pacientes que han padecido osteomielitis crónica evolucionan a una úlcera de Marjolin.6 En este caso, el paciente había sufrido una fractura abierta 25 años atrás, que tuvo como complicación una osteomielitis que evolucionó a la cronicidad y que fue curada con el tratamiento antibiótico y quirúrgico oportuno, sin otros síntomas hasta la aparición de la úlcera.
Aunque la malignización de estas heridas crónicas requiere una mayor clarificación, están implicados varios factores, como las toxinas liberadas por el tejido dañado, factores inmunológicos, irritación repetida, la mala regeneración linfática, co-carcinógenos, mutaciones en el ADN y toxinas locales.35
El tratamiento de la úlcera de Marjolin debe tener un enfoque multidisciplinario. La extirpación local debe ser con un margen de seguridad bien amplio, de al menos 2 cm, seguida de la colocación de un injerto, cierre primario retardado o movilización de un colgajo según sea la situación observada después de la exéresis quirúrgica de la lesión. La amputación queda reservada para los casos con afectación local de los espacios articulares, invasión ósea o invasión local profunda extensa. La pertinencia de la disección ganglionar es motivo de controversia.3478
El examen histopatológico es importante, sobre todo en pacientes con úlceras crónicas osteomielitis, y SCC se debe sospechar en estos casos. Los médicos deben ser conscientes de que la úlcera de un Marjolin es más agresivo y más propenso a la metástasis de otros cánceres de piel del mismo tipo de células. Un diagnóstico erróneo o retardado, puede provocar metástasis sistémica y potencialmente fatal. Por lo tanto, será necesaria la realización de biopsias en las úlceras crónicas que no cicatrizan adecuadamente.4
En el caso presentado la úlcera de Marjolin tuvo como precedente una fractura abierta de tibia grado III- b de la clasificación de Gustilo y Anderson, con gran pérdida de tejido, que luego presentó osteomielitis crónica de la tibia, la cual fue solucionada con tratamiento; sin embargo, al cabo de los años la lesión evolucionó a un carcinoma epidermoide espino celular. Pacientes con esta lesión deberán ser sometidos a exámenes periódicos para evitar o solucionar posibles recidivas ya que aproximadamente un 40 % vuelven a recidivar.
REFERENCIAS BIBLIOGRÁFICAS
1. Ellis, H.; Calne, R.; Watson, C. Cirugía General. Diagnóstico y tratamiento. México: El Manual Moderno; 2012: p. 51-52
2. Rodríguez Morales, J.R.; González Benavides, C.; García Rivero, M. Úlcera de Marjolin. A propósito de cuatro casos. Medicentro Electrón [revista en Internet]. 2012 [citado 24 Ene 2015]16(3):[aprox. 13p]. Disponible en: http://www.medigraphic.com/pdfs/medicentro/cmc-2012/cmc123k.pdf
3. Cardona Hernández, M.A.; Fierro Arias L.; González González, M.; Ávila Medrano, L. Carcinoma epidermoide de alto riesgo originado en úlcera de Marjolin. Tratamiento alternativo con radioterapia. Dermatol Rev Mex. 2014;58:267-73
4. García Morales, I.; Pérez Gil, A.; Camacho, F.M. Úlcera de Marjolin: carcinoma sobre cicatriz por quemadura. Actas Dermosifiliogr. 2006;97(8):529-32
5. Altunay, I.; Çerman, A.A.; Sakiz, D.; Ates, B. Marjolin´s Ulcer Presenting with In-Transit Metastases: A Case Report and Literature Review. Ann Dermatol. 2015;27(4):442-5
6. Leffell, D.J.; Grossman, D. Squamous Cell Carcinoma. En: Goldsmith L, Wolff K, Katz S, Paller A, Gilchrest B, Leffell DJ. Fitzpatrick's Dermatology in General Medicine. 8th. ed. Columbus: Mc Graw Hill; 2012
7. Chalya, P.L.; Mabula, J.B.; Rambau, P.; Mchembe, M.D. Marjolin's ulcers at a university teaching hospital in Northwestern Tanzania: a retrospective review of 56 cases. World J Surg Oncol. 2012;10:38
8. Matsushita, S.; Kawai, K.; Tada, K.; MeraKkubo, H.; Kubo, H.; Ibusuki, A. et al. Metastatic cutaneous squamous cell carcinoma treated succesufully with surgery, radiotherapy and S-1/cisplatin chemotherapy. J Dermatol. 2010;37(7):666-70
Notas