Presentación de caso
Hemorragia intraventricular en recién nacido. Presentación de un caso
Intraventricular Hemorrhage in the Newborn. A Case Report
Hemorragia intraventricular en recién nacido. Presentación de un caso
MediSur, vol. 14, núm. 1, pp. 61-64, 2015
Facultad de Ciencias Médicas de Cienfuegos, Centro Provincial de Ciencias Médicas Provincia de Cienfuegos.
Recepción: 23 Diciembre 2015
Aprobación: 06 Enero 2016
Resumen: La hemorragia intraventricular es una grave enfermedad que suele presentarse en las primeras horas o días después del nacimiento pretérmino en niños con peso inferior a 1 500 g. Se presenta el caso de un recién nacido a término, con peso adecuado, masculino, producto de parto no institucional, que a los 17 días fue remitido al Hospital Paquito González Cueto, con fiebre y convulsiones. Ingresó en Unidad de Cuidados Intensivos Pediátricos. Se constató aumento del perímetro cefálico, fontanela anterior tensa e hipertonía global. La ecografía transfontanelar reveló hemorragia subependimaria/intraventricular. Se realizó tomografía computarizada y resonancia magnética para confirmar diagnóstico. La sintomatología y resultados ecoencefalográficos presentaron una evolución satisfactoria como ocurre en el 65 % de casos. Se decidió la presentación del caso por manifestarse la entidad en un recién nacido a término y con peso adecuado, lo que es poco usual y por darse la circunstancia de haber nacido fuera de una institución hospitalaria, por lo que, aunque no se pudo establecer la relación entre este hecho y la enfermedad, contribuye a que los médicos generalistas desarrollen la habilidad de sospechar diagnósticos de tal gravedad en casos que no necesariamente se ajusten a lo que está clásicamente descrito como más frecuente
Palabras clave: recién nacido, hemorragia cerebral, convulsiones febriles, cuidados intensivos pediátricos, tomografía computarizada por rayos x, diagnóstico por imágenes.
Abstract: Intraventricular hemorrhage is a serious disease that usually occurs in the first hours or days of life, especially in premature infants weighing less than 1500 g. We present the case of full-term newborn with normal birth weight who was non-institutionally delivered. At 17 days old, he was referred to the Paquito González Cueto Hospital because of fever and seizures. Subsequently, he was admitted to the Pediatric Intensive Care Unit. Increased head circumference, tense anterior fontanelle and global hypertonia were found. A transfontanelle ultrasound revealed a subependymal/intraventricular hemorrhage. Computed tomography and magnetic resonance imaging were used to confirm the diagnosis. Symptoms and echoencephalographic results improved as occurs in 65% of cases. We decided to present this case since the condition developed in a full-term newborn with normal weight, which is unusual, and the fact that he was born outside a hospital. Although the relationship between this fact and the disease could not be established, it helps general practitioners to develop the ability to consider such serious diseases in cases that do not necessarily meet what is classically described
Key words: infant, newborn, cerebral hemorrhage, seizures, febrile, intensive careunits, pediatric, tomography, x-ray computed, diagnostic imaging.
INTRODUCCIÓN
La matriz germinal, zona situada en los ventrículos laterales, cerca de la cabeza del núcleo caudado, está irrigada fundamentalmente por ramas perforantes de la arteria recurrencial de Huebner, rama de la arteria cerebral anterior y otras ramas perforantes de la arteria cerebral media. Está constituida fundamentalmente por células con gran actividad proliferativa, que son precursoras de las neuronas en las semanas 10 y 20 de vida intrauterina, de los astrocitos y oligodendroglías en el último trimestre.1 La hemorragia de la matriz germinal abarca cuatro grados, entre los cuales tenemos: grado I: hemorragia subependimaria; grado II: extensión intraventricular sin hidrocefalia, grado III: hemorragia intraventricular con hidrocefalia, grado IV: hemorragia intraparenquimatosa con o sin hidocefalia.2 La utilización de ultrasonido transfontanelar permite su detección temprana y delimitación anatómica específica.3
Afecta fundamentalmente a los recién nacidos pretérmino, menores de 34 semanas y especialmente los menores de 30 semanas y en cuanto al peso, a los bebes con menos de 1 500 gramos de peso. El 90 % de los recién nacidos con una edad gestacional inferior a 32 semanas presentan hemorragia intraventricular.4 En neonatos menores de 30 semanas de gestación, el sitio del sangrado se ubica sobre el cuerpo del núcleo caudado; entre las 30 y 32 semanas se produce en la cabeza de dicho núcleo y si el niño es de término, el sangrado se presenta en los plexos coroides.5 Se presenta en el 85 % de los casos en las primeras 72 horas posparto y en el 95 % ya es evidente al finalizar la primera semana.
Las principales complicaciones a largo plazo por las que estos niños requieren intervenciones quirúrgicas posteriores o quedan con déficit neurológicos graves, son la hidrocefalia poshemorrágica y la leucomalacia periventricular.6 Por ser un hallazgo poco común en la edad del paciente se decidió la presentación del caso que además nació con peso adecuado, principalmente con el objetivo de contribuir a que los médicos generalistas desarrollen la habilidad de sospechar diagnósticos de tal gravedad en casos que no necesariamente se ajusten a lo que está clásicamente descrito como más frecuente.
PRESENTACIÓN DEL CASO
Paciente masculino de 17 días de edad, producto de segunda gestación, de procedencia rural. Madre en edad fértil, que presentó sepsis urinaria durante el último trimestre de embarazo y parto domiciliario a las 38,2 semanas de gestación. Fue remitido al Hospital Pediátrico Paquito González Cueto pues hacía 24 horas había comenzado con episodio convulsivo y vómitos en proyectil. Se decidió su ingreso en Unidad de Cuidados Intensivos Pediátricos (UCIP).
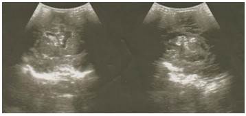
Posteriormente el paciente fue enviado al Servicio de Imagenología donde se le realizó estudio ultrasonográfico transfontanelar con múltiples cortes en los que se observó una imagen ecogénica hacia la región subependimaria e intraventricular derecha. (Figura 1).

Se decidió realizar estudio complementario con resonancia magnética para confirmar nuestra sospecha y descartar posible lesión ocupativa. (Figura 2).

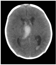
En contraste con los hallazgos de la RM se decidió realizar tomografía computadorizada para corroborar el diagnóstico. (Figura 3).

Se decidió realizar control evolutivo mediante ultrasonografía transfontanelar, visualizándose mejoría imagenológica de la lesión descrita. (Figura 4).

DISCUSIÓN
El parto no institucional trae como consecuencia que el personal entrenado no asista a tan importante evento, no siendo posible el diagnóstico precoz de acontecimientos en relación con la madre y el recién nacido, por ejemplo el parto en avalancha y sus complicaciones, entre otros aspectos incluso de mayor gravedad que requieren conducta terapéutica especializada e inmediata.
La sintomatología hemorrágica intracraneal del recién nacido suele manifestarse desde las primeras horas, máximo una semana, pudiendo ser identificada en el neonato desde su inicio por el personal adecuado y más frecuentemente en el recién nacido pretérmino con peso inferior a 1 500 gramos, su gravedad y aparición es inversamente proporcional a la edad gestacional. La aparición de hemorragia intracraneal postraumática en el recién nacido es un hecho raro; pero a tener en cuenta en el caso que nos ocupa por su nacimiento en el domicilio.
Este paciente evolucionó favorablemente bajo observación estrecha y monitoreo ecográfico. Fue descartada la posibilidad de diátesis hemorrágica7 por tan buena evolución y exámenes de laboratorio normales.
Como conclusión, es bueno enfatizar en que debe considerarse en el diagnóstico diferencial de la hemorragia intracraneal del recién nacido la etiología postraumática, sobre todo cuando se trata de niños con peso adecuado y nacido a término, aunque existen otros factores que pueden provocar esta enfermedad, como puede ser el déficit de factores de coagulación.8
REFERENCIAS BIBLIOGRÁFICAS
1. Cervantes Mederos, M.; Meizoso Valdés, A.I.; Carrasco Fonte, D.L.; Alvarado Bermúdez, K. Hemorragia intraventricular en el recién nacido. MEDICIEGO [revista en Internet]. 2011 [citado 12 Mar 2015];17(2):[aprox. 13p]. Disponible en: http://bvs.sld.cu/revistas/mciego/vol17_02_2011/rev/t-25.html
2. Rumack, C.; Wilson, S. Diagnóstico por ecografía. Nueva York: Mc Graw Hill; 2011
3. Farage, L.; Cardoso de Assis, M. Achados ultra-sonográficos da hemorragia intracraniana em recém-nascidos prematuros. Arq Neuropsiquiatr. 2005;63(3B):814-6
4. Fernández, L.; González, E. Trastornos del neurodesarrollo en niños con antecedente de hemorragia subependimaria/ intraventricular a los tres años de edad. Gac Méd Méx. 2004;140(4):367-73
5. Volpe, A. Periventricular-intranventricular hemorrhage. Pediatr Clin North Am. 1986;36:47-53
6. Ayala, A.; Carvajal, L. Hemorragia intraventricular en el neonato prematuro. Iatreia. 2005;18(1):71-7
7. Bravo, C.; Cano, P.; Conde, R.; Gelabert, M.; Pulido, P.; Ros, B. et al. Hidrocefalia poshemorrágica asociada a la prematuridad: evidencia disponible diagnóstica y terapéutica. Neurocirugía. 2011;22(5):381-400
8. Cancho Candela, R.; Andrés del Llano, J.M.; Sánchez Marcos, C.; Ureña Leal, C. Hemorragia intraventricular neonatal por déficit de factor V. Anales Españoles de Pediatría. 2000;53(6):136-8
Notas