Imagen en la medicina
Tumor renal
Renal Tumor
Tumor renal
MediSur, vol. 14, núm. 1, pp. 77-81, 2015
Facultad de Ciencias Médicas de Cienfuegos, Centro Provincial de Ciencias Médicas Provincia de Cienfuegos.




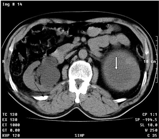
Paciente masculino, de color de piel blanca, de 64 años de edad, con antecedentes de salud, al que se le realizó ultrasonido abdominal donde se informó presencia de dos quistes en el riñón y el riñón izquierdo de 126x128, con una imagen mixta que abarca casi toda la arquitectura renal, de aspecto tumoral.
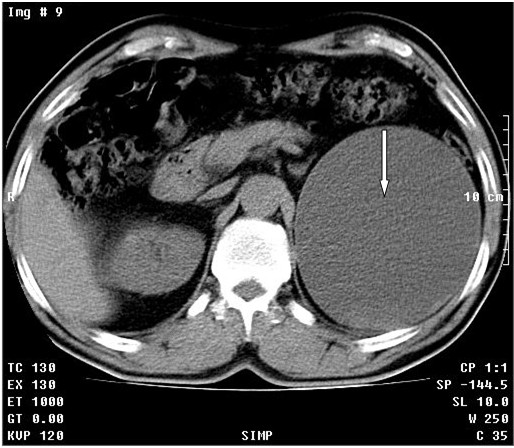
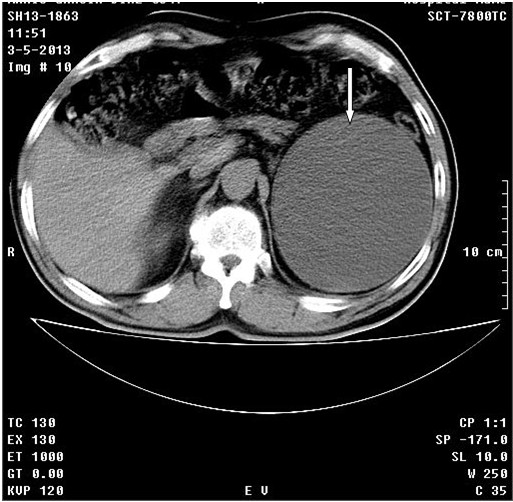
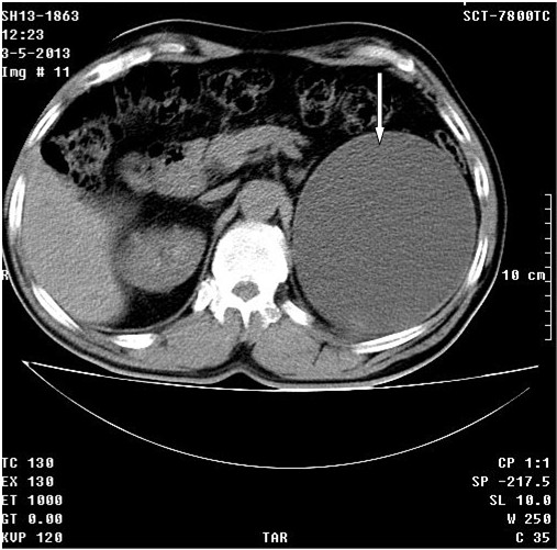
Se realizó tomografía axial computadorizada simple y TAC simple y tomografía con contraste endovenoso y con vistas tardías. Se observó el riñón derecho con dilatación moderada del sistema excretor con posibilidad de quiste asociado (Flecha fina). En el riñón izquierdo se observó proceso expansivo de baja densidad de 13 cm con gruesa cápsula hacia la porción superior del mismo con componente quístico asociado, que provoca retardo en la eliminación del contraste por este lado. (Figuras 1 A, B, C, D flechas gruesas)
Resultados de anatomía patológica:
Tumor en riñón izquierdo, carcinoma papilar acinoso de 10 cm de células renales. Al paciente se le realizó una cirugía polar de RI, evolucionó satisfactoriamente.
En UTS de seguimiento se observó que el RI mide 95x49, parénquima de 13 mm, conservado; el derecho mide 119x65mm, parénquima de 13 mm, con tres imágenes quísticas, la mayor calicial de 30 mm, sin repercusión, vejiga vacía.