Imagen en la medicina
Detección de clip metálico en abdomen mediante tomografía axial computarizada
Detection of a Metal Clip in a Patient's Abdomen by Computed Tomography
Detección de clip metálico en abdomen mediante tomografía axial computarizada
MediSur, vol. 14, núm. 1, pp. 87-92, 2015
Facultad de Ciencias Médicas de Cienfuegos, Centro Provincial de Ciencias Médicas Provincia de Cienfuegos.
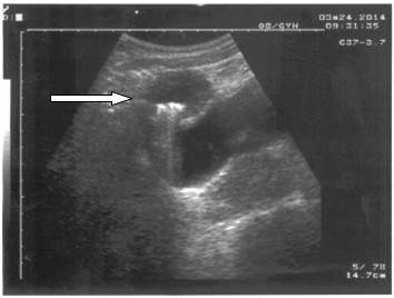
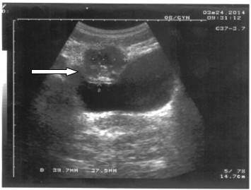
Se presentan las imágenes ultrasonográficas de una paciente femenina, de 33 años de edad, con antecedentes de salud, historia obstétrica G3 P2 A1, con esterilización quirúrgica desde hacía tres años y medio, que requirió asistencia médica por referir dolor de largo tiempo de evolución en bajo vientre, que se incrementaba a las actividades físicas y al acto sexual. Se realizó ultrasonido abdominal que mostró imagen redondeada, mixta, con calcificaciones de 38X42mm en su interior, y que desplazaba la vejiga hacia abajo, sin que se pudiera definir la causa. (Figuras 1 y 2).


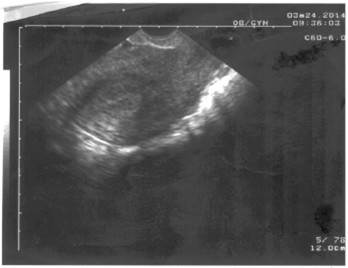
Se realizó ultrasonido ginecológico transvaginal, que reveló el útero de tamaño normal, sin dispositivo intrauterino y sin alteraciones anexiales. (Figura 3).

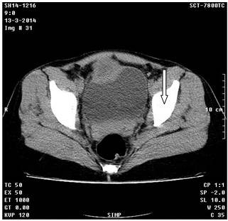
Continuaron las investigaciones con una tomografía axial computarizada de abdomen e hipogastrio, simple y contrastada, donde se observó ambos riñones normales, en fase nefográfica, sin litiasis y sin hidronefrosis, así como el parénquima conservado. Por encima de la vejiga y a la derecha de la línea media, se observó una imagen hipodensa de 38X41mm, con una pared gruesa de 12mm que aumentó su densidad con la administración de contraste, y con elemento metálico en su interior que impresionó ser un clip de ligadura, que al parecer pinzaba la cara anterior de la vejiga, todo ello relacionado con reacción inflamatoria y absceso a ese nivel. Además de la vejiga en repleción, se observó el útero de tamaño normal, anejos normales y densidades homogéneas. (Figuras 4 y 5). A la paciente se le realizó laparoscopia diagnóstica, con lo que se corroboró el diagnóstico. Se realizó cirugía para extracción del clip metálico. La evolución de la paciente fue satisfactoria.

