Caso Clínico
Meningioma primario intraóseo esfenotemporal: presentación de caso
Primary spheno-temporal intra-osseous meningioma: a case report
Meningioma primario intraóseo esfenotemporal: presentación de caso
Revista Archivo Médico de Camagüey, vol. 24, núm. 1, e6663, 2020
Editorial Ciencias Médicas Camagüey
Recepción: 19 Abril 2019
Aprobación: 23 Julio 2019
RESUMEN
Fundamento: los meningiomas ectópicos, definidos como aquellos que no tienen ninguna conexión con la duramadre, poco frecuentes. Son una variante rara y representan cerca del uno por ciento de todos los meningiomas intracraneales.
Objetivo: presentar una variante poco frecuente de un meningioma ectópico como causa de proptosis y oftalmoparesia encontrado en una paciente joven.
Presentación del caso: paciente de 40 años de edad, que hace seis meses comenzó con dolor en el ojo derecho de moderada intensidad, aumento de volumen de la región frontorbitaria, disminución de la agudeza visual y visión doble. Los estudios de tomografía axial computarizada y resonancia magnética de cráneo y órbita mostraron lesión extraaxial a nivel de la pared lateral de la órbita con extensión extra e intraorbitaria con compresión de estructuras adyacentes que provocó desplazamiento anterior del globo ocular. Se realizó tratamiento quirúrgico con excéresis y el estudio histológico concluyó un meningioma meningotelial ectópico del hueso grado I.
Conclusiones: los meningiomas ectópicos resultan poco frecuentes, el tratamiento quirúrgico con la resección total de la lesión es la elección para evitar recurrencias y pueden tener indicación de tratamiento oncológico complementario.
Palabras Clave: MENINGIOMA/radioterapia+ MENINGIOMA/cirugía+ NEOPLASIAS MENÍNGEAS/cirugía+ MÁRGENES DE ESCISIÓN+ EXOFTALMIA/cirugía.
ABSTRACT
Background: ectopic meningioma, defined as those that have no connection with the dura mater, are rare. They are a rare variant and represent approximately 1 % of all intracranial meningioma.
Objective: to present a rare variant of an ectopic meningioma as a cause of proptosis and ophthalmoparesis found in a young patient.
Case report: patient of 40 years of age, who 6 months ago began with pain in the right eye of moderate intensity, increased volume of the front-orbital region, decreased visual acuity and double vision. Computed tomography and MRI of the skull and orbit showed extra-axial lesion at the level of the lateral wall of the orbit with extra and intra-orbital extension with compression of adjacent structures that caused anterior displacement of the eyeball. Surgical treatment was performed with resection and the histological study concluded an ectopic meningotial meningioma of bone grade I.
Conclusions: ectopic meningioma are infrequent, surgical treatment with total resection of the lesion is the choice to avoid recurrences and may have an indication of complementary oncological treatment.
Keywords: MENINGIOMA/radiotherapy, MENINGIOMA/surgery, MENINGEAL NEOPLASMS/surgery, MARGINS OF EXCISION, EXOPHTHALMOS/surgery.
INTRODUCCIÓN
Los meningiomas son los tumores primarios intracraneales más frecuentes, la gran mayoría muestran una relación estrecha con las meninges, sin embargo, fue descrito por Winklerenen 1904 citado por Alcalá-Cerra et al. 1) en un paciente con un meningioma que no tenía contacto con las meninges, el número de casos publicados de origen primario extra-craneano ha ascendido, acercándose al dos por ciento de todos los meningiomas. 2) El 14 % son tumores intraóseos, los cuales se identifican como lesiones osteoblásticas o formas mixtas que también demuestran componentes osteolíticos.
Las variedades clásicas osteolíticas son muy raras y los casos descritos, en su mayoría corresponden a tumores del cráneo. Los meningiomas ectópicos, definidos como aquellos que no tienen ninguna conexión con la duramadre, son poco frecuentes. Han sido identificados en el tejido subcutáneo de la piel, órbita, senos paranasales, glándula salivar, etc. Son una variante rara de meningioma ectópico y representan el por ciento de todos los meningiomas intracraneales. 3
De esto deriva el interés por la presentación del caso inusual en la práctica neuroquirúrgica a la comunidad científica, diagnosticado en el Servicio de Neurocirugía de la provincia Camagüey.
PRESENTACIÓN DEl CASO
Paciente blanca, femenina, de 40 años de edad con antecedente de salud, que hace seis meses comenzó con dolor en el ojo derecho de moderada intensidad, de localización periorbitaria, que se aliviaba al reposo visual y la administración de analgésicos. Apareció además un aumento de volumen de la región frontorbitaria derecha y se refirió visión borrosa, lo que motivó su ingreso para estudio y tratamiento.
Al examen físico se constató, paresia del VI nervio craneal derecho, proptosis axial, dolorosa, no reductible, sin soplos, acompañada de enrojecimiento de la zona adyacente, disminución de la agudeza visual y diplopía.
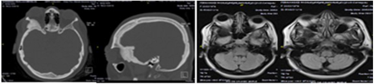
En la tomografía axial computarizada de cráneo simple se visualizó la lesión extra-axial hiperdensa a nivel de la pared lateral de la órbita, con extensión extra e intraorbitaria con compresión de estructuras adyacentes lo que provocaba desplazamiento anterior del globo ocular. En la resonancia magnética de cráneo simple se realizaron cortes axiales y sagitales, se evidenció una lesión extra-axial hipointensa, a nivel de la pared lateral de la órbita con extensión extra e intraorbitaria con comportamiento similar a la tomografía axial computarizada (Figura 1).

Se realizó como técnica quirúrgica una orbitotomía lateral derecha. Se constató tejido con cambio de densidad en relación con las estructuras óseas perilesionales, que estaba en relación con la cara lateral de órbita derecha y el ala menor del esfenoides. Se realizó excéresis total macroscópica de la lesión. Durante todo el proceso no se constataron complicaciones trans ni posoperatorias (Figura 2).

El diagnóstico anatomopatológico definitivo (biopsia es 835-18) fue un meningioma meningotelial ectópico del hueso, grado histológico I en región orbitaria lateral derecha con invasión a músculo estriado suprayacente (Figura 3).

DISCUSIÓN
Los meningiomas ectópicos según Ammirati M et al. 3) se han presentado en diferentes localizaciones con predomino en el sexo femenino. La localización primaria intraósea craneal es una variante rara que supone el 14 % de los meningiomas ectópicos. El término meningiomas ectópicos incluye todos los meningiomas que se desarrollan fuera de las meninges, también se denominan meningiomas extracraneales, extraneuraxiales, cutáneos o intraóseos.
Para evitar cualquier confusión, se prefiere referirse a ellos como meningiomas primitivos extradurales. Este tipo de meningioma es raro, la incidencia informada es del 1 al 2 % de todos estos tumores. El 68 % de los meningiomas extradurales primarios afectan la región cefálica. Las regiones esfeno-orbital y frontoparietal son las localizaciones más frecuentes de los meningiomas intraóseos. Existen diferentes hipótesis sobre el origen de estos meningiomas cefálicos intraóseos; el desarrollo de este tumor sería a partir de meningocitos ectópicos o capilares aracnoideos que quedarían atrapados en las suturas craneales durante el desarrollo embrionario. 4
La segunda hipótesis, discutida en el trabajo de Ichimura S et al. 5) sería también un atrapamiento de células meningoteliales en suturas o en las fracturas craneales secundarias a un traumatismo, sin embargo, esto estuvo ausente en este individuo.
Se encontraron solo cinco de los 36 casos con meningioma intraóseo primario con antecedentes de traumatismo craneoencefálico a nivel de la región donde se encuentra el tumor. El meningioma intraóseo afecta tanto a hombres como a mujeres sin predominio del sexo, y de forma general ocurre durante la última década de la vida, los pacientes con meningiomas esfenopalatino orbital se presentan con exoftalmos graduales y sin dolor y con una disminución en la agudeza visual lenta que pueden conducir a la ceguera sin manifestaciones neurológicas asociadas. Esto es consistente con los datos clínicos del paciente estudiado. 5
Estos tumores casi siempre desencadenan en el tejido adyacente reacciones osteoblásticas o con algunos focos de osteolisis. Ichimura S et al. 5) explican que se manifiestan como una masa expansiva indolora del cuero cabelludo, más frecuente en la región parietotemporal (31,8 %), frontal (24,2 %), fronto-parietal (16,7 %) y frontotemporal (10,6 %).
Según Abdellaoui M et al. 6) en los estudios radiológicos el 65 % de los meningiomas primarios intraóseos se presentan como una lesión hiperostótica, constatada en el caso presentado. El resto muestran un patrón osteolítico o bien formas mixtas.
Cuando son lesiones esclerosantes, pueden ser confundidos con enfermedad de Paget, displasia fibrosa, osteoma, metástasis osteoblásticas o meningioma en placa.
Mariniello G et al. 7) exponen, como se ha sugerido, que pueden estar en relación con atrapamiento de células aracnoideas en las líneas de cierre de las suturas craneales durante el período neonatal. Durante esta época se formarían pequeños meningoceles que quedarían atrapados, y en la edad adulta podría desarrollarse un meningioma.
En el estudio de Amirjamshidi A et al. 8 explican que las meninges tienen un origen mesenquimal y que sería a partir de un precursor mesenquimal multipotencial y ante estímulos aún desconocidos lo que originarían los meningiomas. Esto explicaría el hecho de que algunos meningiomas muestren elementos metaplásicos como tejido adiposo, cartilaginoso, fibroso, etc.
Los meningiomas primarios intraóseos son lesiones benignas en las que se recomienda una resección quirúrgica amplia, seguida de reconstrucción craneal. Si no fuera posible por estar próximo a estructuras vitales, por ejemplo, región periorbitaria, se aconseja realizar seguimiento radiológico de la tumoración residual. Se reservaría el uso de radioterapia adyuvante para aquellas lesiones sintomáticas y que muestren evidencia de progresión. 9,10
En Zimny A et al. 11) y Arregui R et al. 12) exponen que el examen histológico de los meningiomas extra-durales, demostró la siguiente distribución por sub-tipos: meningioma meningotelial (62,1 %), transicional (18,2 %), fibroblástico (6,1 %), psamomatoso (6,1 %) y meningioma maligno (7,6 %). En el caso presentado el tipo histológico fue el meningotelial.
CONCLUSIONES
Los meningiomas intraóseos esfenotemporales son lesiones de baja frecuencia que por el mecanismo de compresión ocasionan compromiso neurológico local. El diagnóstico definitivo es histopatológico. La resección completa de la lesión con margen de seguridad oncológico es el tratamiento de elección para evitar recurrencias. Estas últimas pueden ser tributarias de radioterapia.
REFERENCIAS BIBLIOGRÁFICAS
1. Alcalá Cerra G, Moscote Salazar LR, Lozano Tangua CF, Sabogal Barrios R, García Quintana G. Meningioma intra diploico osteolítico primario: Reporte de caso. Rev Chil Neurocirugía [Internet]. 2010 [citado 15 Dic 2019];34(10):[aprox. 10 p.]. Disponible en: Disponible en: http://www.imbiomed.com/1/1/descarga.php?archivo=Ch-Nc101-15.pdf
2. Agrawal V, Ludwig N, Agrawal A, Bulsara KR. Intra osseous intracranial meningioma. Am J Neuroradio [Internet]. 2007 Feb [citado 15 Dic 2019];28(2):[aprox. 8 p.]. Disponible en: Disponible en: http://www.ajnr.org/content/28/2/314
3. Ammirati M, Mirzai S, Samii M. Primary intra osseous meningiomas of the skull base. Acta Neurochir. 1990 Mar;107(1-2):56-60.
4. Daffner RH, Yakulis R, Maroon JC. Intra osseous meningioma. Skeletal Radiol. 1998 Feb;27(2):108-11.
5. Ichimura S, Hara K, Shimokawa R, Kagami H, Inaba M. A Case of Intra osseous Microcystic Meningioma Without a Mass Lesion. Neurol Med Chir (Tokyo)[Internet]. 2013 Oct [citado 16 Dic 2019];53(10):[aprox. 13 p.]. Disponible en: Disponible en: https://www.ncbi.nlm.nih.gov/pmc/articles/PMC4508748/.
6. Abdellaoui M, Andaloussi IB, Tahri H. Meningioma in spheno-orbital plate: report of a case with review of the literature. Pan Afr Med J [Internet]. 2015 Jun 25 [citado 16 Dic 2019];21:[aprox. 10 p.]. Disponible en: Disponible en: https://www.ncbi.nlm.nih.gov/pmc/articles/PMC4546790/.
7. Mariniello G, Maiuri F, de Divitis E, Bonavolonta G, Tranfa F, Iuliano A, et al. Lateral orbitotomy for removal of sphenoid wing meningiomas invading the orbit. Neurosurgery. 2010 Jun;66(6 Suppl):287-92.
8. Amirjamshidi A, Abbasioun K, Amiri SR, Ardalan A, Hashemi SM. Lateral orbitotomy approach for removing hyperostosing en plaque sphenoid wing meningiomas. Description of surgical strategy and analysis of findings in a series of 88 patients with long-term follow up. Surg Neurol Int [Internet]. 2015 May [citado 16 Dic 2019];6:[aprox. 13 p.]. Disponible en: Disponible en: https://www.ncbi.nlm.nih.gov/pmc/articles/PMC4434495/.
9. Shuangshoti S, Netsky MG, Fitz-Hugh GS. Parapharyngeal meningioma with special reference to cell of origen. Ann Otol Rhinol Laryngol. 1971 Jun;80(3):464-73.
10. Simas NM, Farias JP. Sphenoid wing en plaque meningiomas: Surgical results and recurrence rates. Surg Neurol Int [Internet]. 2013 Jul [citado 16 Dic 2019];4:[aprox. 13 p.]. Disponible en: Disponible en: https://www.ncbi.nlm.nih.gov/pmc/articles/PMC3740617/
11. Zimny A, Sasiadek M. Contribution of perfusion-weighted magnetic resonance imaging in the differentiation of meningiomas and other extra-axial tumors: case reports and literature review. J Neurooncol [Internet]. 2011 Jul [citado 16 Dic 2019];103(3):[aprox. 11 p.]. Disponible en: Disponible en: https://www.ncbi.nlm.nih.gov/pmc/articles/PMC3116130/.
12. Arregui R, Ovalle R, Castillo J. Meningioma extradural de oído medio: Reporte de un caso y revisión de la literatura. Rev Otorrinolaringol Cir Cabeza Cuello [Internet]. 2017 [citado 16 Dic 2019];77(4):[aprox. 13 p.]. Disponible en:Disponible en:https://scielo.conicyt.cl/pdf/orl/v77n4/0718-4816-orl-77-04-0431.pdf
Notas de autor
*Autor por correspondencia (email): neurogabi@gmail.com
Declaración de intereses