Casos Clínicos
Apendagitis epiploica primaria simulando apendicitis aguda Eduardo Reyna Villasmil, Marta Rondón Tapía
(Primary epiploic appendagitis mimicking acute appendicitis)
Apendagitis epiploica primaria simulando apendicitis aguda Eduardo Reyna Villasmil, Marta Rondón Tapía
Avances en Biomedicina, vol. 6, núm. 3, pp. 249-252, 2017
Universidad de los Andes
Recepción: 19 Mayo 2017
Aprobación: 29 Octubre 2017
Publicación: 29 Octubre 2017
Resumen: Los apéndices epiploicos son estructuras llenas de grasa, pediculadas y cubiertas de serosa que se originan de la pared externa del intestino hacia la cavidad peritoneal. La apendagitis epiploica primaria es una condición rara, benigna y auto- limitada, la cual puede ocurrir secundaria a torsión o por trombosis venosa espontanea del apéndice epiploica. Pueden ser asintomáticas o imitar una variedad de presentaciones agudas como torsión de quiste ovárico, diverticulitis o apendicitis aguda. Su principal manifestación clínica es el dolor abdominal. Se presenta un caso de apendagitis epiploica primaria simulando apendicitis aguda en una mujer de 16 años que acudió a la emergencia con dolor abdominal moderado – intenso. El examen físico fue normal con defensa en el punto de MC Burney. La radiografía simple de abdomen y el ultrasonido pélvico no mostraron lesiones. La laparoscopia mostró dos estructuras redondeadas, edematosas e hiperemeicas en la pared anterior del ciego que fueron extirpadas. La evaluación confirmó el diagnóstico.
Palabras clave: Apendagitis epiploica primaria, apéndices epiploicos, apendicitis aguda.
Abstract: Epiploic appendages are fat-filled, pediculated and serosa-covered structures originating in the external wall of the bowel, toward the peritoneal cavity. Primary epiploic appendagitis is a rare, benign, and self-limiting condition, which can occurs secondary to torsion or by spontaneous venous thrombosis appendix epiploica. They may be asymptomatic or mimic a variety of acute presentations such as ovarian cyst torsion, diverticulitis or appendicitis. The main clinical manifestation is abdominal pain. We present a case of primary epiploic appendagitis mimicking acute appendicitis in a 16-years-old woman attended to emergency with moderate – intense abdominal pain. Physical exam was normal with defense at McBurney point. Simple abdominal radiography and pelvic ultrasound did not show any lesion. Laparoscopy showed two rounded, edematous and hyperemic structures on anterior wall of caecum that were excised. Histopatological evaluation confirmed the diagnosis.
Keywords: Epiploic appendagitis, Epiploic appendages, Acute appendicitis.
Introducción
Los apéndices epiploicos son pequeñas prolongaciones peritoneales, inferiores a 5 centímetros de diámetro, que contienen vasos y grasa. Se localizan en la superficie serosa del colon, desde el ciego hasta la unión recto-sigmoidea (1,2). Existe un promedio de 50- 100 apéndices epiploicos por persona y se sitúan en 2 hileras (3). Debido a su flujo sanguíneo limitado, forma pedunculada y excesiva movilidad pueden sufrir ocasionalmente infarto como resultado de torsión o trombosis venosa espontánea, produciendo una enfermedad inflamatoria denominada apendagitis epiploica primaria (2). Los casos de apendagitis epiploica primaria en el ciego son clínicamente significativos debido a que su sintomatología es similar a la apendicitis aguda y raras veces se diagnostican antes de la cirugía. El diagnóstico correcto es esencial debido a que los pacientes pueden ser tratados en forma conservadora y evitar la cirugía. Se presenta el caso de apendagitis epiploica simulando apendicitis aguda.
Caso clínico
Se trata de una paciente femenina de 16 años, quien refería dolor abdominal en cuadrante inferior derecho, punzante, de moderada-fuerte intensidad y aparición súbita, continuo sin irradiación, nauseas, vómitos o fiebre. La paciente negaba antecedentes de importancia. La fecha de última regla fue 6 días antes de la aparición del cuadro.
Al examen físico, la temperatura era de 38,1ºC, frecuencia cardiaca 105 latidos x minuto y presión arterial de 120/70 mm de Hg. No se observaron anomalías en el examen físico, excepto dolor y signos de defensa en el punto de McBurney. Los signos de Murphy y Rousing fueron negativos y los ruidos hidroaéreos estaban presentes y normales. Tanto el tacto vaginal como rectal estaba dentro de límites normales. Los exámenes de laboratorio mostraban contaje de leucocitos de 12.000/mm3 con 82% de neutrófilos. El resto de los exámenes estaban dentro de valores normales. La radiografía simple de abdomen no mostró alteraciones. La ecografía abdomino-pélvica demostró la presencia de una pequeña cantidad de líquido libre en cavidad abdominal, con útero y anexos normales. No se pudo observar el apéndice. Considerando la severidad del dolor y la presencia de signos de irritación peritoneal se decidió realizar la cirugía.
Durante la laparoscopia se observó la presencia de aproximadamente 20 mL de líquido serosanguinolento en la fosa iliaca derecha con apéndice cecal de apariencia normal. No se encontraron divertículos. La exploración cuidadosa demostró la presencia de estructuras redondeadas, edematosas e hiperémicas de aproximadamente 2 centímetros de diámetro en la cara anterior del ciego (figura 1). Se extirpó la lesión con inversión de la capa seromuscular del colon más apendicetomía. El postoperatorio transcurrió sin complicaciones y la paciente fue dada de alta al tercer día.
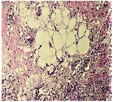
La evaluación histopatológica en las lesiones demostró la presencia de tejido adiposo degenerado con áreas de hemorragia, cambios inflamatorios en los vasos profundos, exudado de fibrina, presencia de histocitos y tejido fibrótico (figura 2), compatible con apendagitis epiploica. El apéndice cecal estaba normal sin evidencia de lesiones inflamatorias.
Discusión
Las porciones del colon que más frecuentemente presentan apéndices epiploicas son colon transverso y el sigmoides, siendo el 75% de los casos descritos en el hemicoolon izquierdo (4). Sin embargo, las afecciones cecales son clínicamente importantes porque imitan a la apendicitis aguda. Su incidencia relativa comparada con la apendicitis aguda es de 0,2% (5) y pueden ocurrir en el 0,3 al 1% de los pacientes en quienes se sospecha apendicitis y del 2 al 7% de los pacientes con sospecha de diverticulitis (6). Más aún, la apendagitis epiploica primaria continúa siendo una causa rara de abdomen agudo (2). También puede sufrir calcificación secundaria a necrosis grasa aséptica, aumento de tamaño secundario a lipomas o metástasis y encarcelarse en una hernia (7). Existen varios grados de la torsión que van desde la torsión completa súbita hasta torsión insidiosa, lo cual produce cambios inflamatorios que van desde el cuadro agudo al crónico, respectivamente. El infarto, al principio es venoso y, si se prolonga en el tiempo, se hace isquémico (8).

Se han propuesto una serie de factores etiológicos que podrían predisponer a la torsión. La base angosta del pedículo de la apéndice epiploica permite que esta rote (4). También es posible que la obesidad represente un papel como parte de la patogénesis, debido a que los apéndices epiploicos hipertrofiados por la obesidad tienen mayores posibilidades de girar libremente (5).
La presentación clínica usualmente es atípica por la presencia de hallazgos clínicos y signos de irritación peritoneal. El síntoma principal, y generalmente único, es el dolor abdominal punzante, con defensa selectiva, de distribución variable, aunque con frecuencia localizado en fosa iliaca derecha de aparición súbita asociado a estado general conservado, síntomas gastrointestinales mínimos y febrícula solo en menos del 25% de los casos (3). Una cuarta parte de los pacientes tienen cambios en los hábitos evacuatorios, generalmente constipación. Algunos casos se presentan como una hernia femoral o inguinal, ya que el apéndice gira al entrar al anillo herniario durante episodios de tos (9). Los diagnósticos diferenciales incluyen, aparte de apendicitis aguda, diverticulitis, divertículo de Meckel, adenitis mesentérica, ileitis, colecistitis y patologías ginecológicas (1, 2).
Las pruebas de laboratorio no son concluyentes y generalmente se observa ligera leucocitosis, neutrofilia y elevación de los reactantes de fase aguda (1). Además, debido a la falta de signos clínicos patognomónicos, raras veces se considera este diagnóstico previo a la cirugía y generalmente se confunde con la apendicitis aguda. Tanto la ecografía abdominal como la tomografía computada son útiles en el diagnóstico preoperatorio (1, 10). La presencia de una estructura redonda u ovalada, que no se desplaza con la respiración profunda, no compresible, cerca de la pared colonica, sin flujo sanguíneo puede suministrar algunas pistas para el diagnóstico. La tomografía computada puede ser útil tanto para el diagnóstico preoperatorio como para la evaluación de los pacientes manejados en forma conservadora (10).

El tratamiento es conservador debido a que a mayoría de los casos responden a los analgésicos y la mejoría clínica se observa antes de los 7 días (1). Sin embargo, generalmente el diagnóstico se realiza al momento de la cirugía realizada bajo la sospecha de otra patología. El tratamiento quirúrgico (ligadura y extirpación) debe reservarse para los pacientes con dolor intenso y en aquellos casos que no responde al tratamiento conservador (1, 2). La laparoscopia ha demostrado ser útil tanto en el diagnóstico como tratamiento. La extirpación de la estructura infartada con inversión de la mucosa seromuscular es el tratamiento de elección con resultados satisfactorios y recurrencia excepcional (2).
El pronóstico de los pacientes es excelente con remisión completa del cuadro a las dos semanas (3). En algunos casos no tratados quirúrgicamente, la fase inflamatoria aguda es seguida por necrosis aséptica con posterior exfoliación y curación. Sin embargo, el apéndice epiploica puede adherirse a las asas intestinales o al mesenterio, causando obstrucción intestinal, generalmente del intestino delgado. Esto ocurre en 10% de los casos y está asociado a una alta mortalidad (9). En forma más rara, la infección secundaria del apéndice epiploica puede causar un absceso intraabdominal o peritonitis generalizada (11).
La apendagitis epiploica primaria es una causa rara de inflamación intraabdominal con sintomatología poco específica. Es necesaria la sospecha clínica y el uso de imágenes para realizar el diagnóstico y evitar cirugías innecesarias.
Referencias
1. Boscarelli A, Frediani S, Ceccanti S, Falconi I, Masselli G, Casciani E, Cozzi DA. Magnetic resonance imaging of epiploic appendagitis in children. J Pediatr Surg. 2016; 51: 2123-5. [PubMed] [Google Scholar]
2. Charfi M, Hedfi M, Ben Salah Y, El Fourti S, Chouchen A, Bouhaouala MH. Acute epiploic appendagitis imaging: Reporting of 3 cases and literature review. Presse Med. 2016; 45: 1061-5. [PubMed] [Google Scholar]
3. Lorente C, Hearne CB, Taboada J. Recurrent epiploic appendagitis mimicking appendicitis and cholecystitis. Proc (Bayl Univ Med Cent). 2017 ;30: 44-6. [PubMed] [Google Scholar]
4. Ullah I, Mahajan L, Magnuson D. Epiploic Appendagitis: A Rare Cause of Chronic Right Lower Quadrant Pain in a Child. J Pediatr. 2017; 182: 400-400.e1. [PubMed] [Google Scholar]
5. Toprak H, Yildiz S, Kilicarslan R, Bilgin M. Epiploic appendagitis. JBR-BTR. 2014; 97: 174-5. [PubMed] [Google Scholar]
6. Schnedl WJ, Krause R, Tafeit E, Tillich M, Lipp RW, Wallner-Liebmann SJ. Insights into epiploic appendagitis. Nat Rev Gastroenterol Hepatol. 2011; 8: 45-9. [PubMed] [Google Scholar]
7. Eberhardt SC, Strickland CD, Epstein KN. Radiology of epiploic appendages: acute appendagitis, post-infarcted appendages, and imaging natural history. Abdom Radiol (NY). 2016; 41: 1653-65. [PubMed] [Google Scholar]
8. Lo Re G, Carcione P, Vernuccio F, Martorana A, Midiri F, Cimador M, Salerno S. Primary epiploic appendagitis in a pediatric patient: prominent role of Magnetic Resonance Imaging in the diagnosis. Minerva Pediatr. 2015; 67: 529-30. [PubMed] [Google Scholar]
9. Gupta V, Kumar S. Appendicitis epiploicae: An unusual cause of acute abdomen in children. J Indian Assoc Pediatr Surg. 2008; 13: 83-4. [PubMed] [Google Scholar]
10. Nadida D, Amal A, Ines M, Makram M, Amira M, Leila BF, Lotfi H. Acute epiploic appendagitis: Radiologic and clinical features of 12 patients. Int J Surg Case Rep. 2016; 28: 219-22. [PubMed] [Google Scholar]
11. Saleem I. Torsion of appendices epiploicae of the colon: a case report. J Indian Med Assoc. 2007; 105: 654. [PubMed] [Google Scholar]
Notas
Información adicional
Como citar este
artículo:: Reyna-Villasmil E, Rondon-Tapia M. Apendagitis epiploica primaria
simulando apendicitis aguda. Avan Biomed 2017; 6: 249-52 Estado Zulia. Venezuela. Telf: 584162605233.