MELANOMA MALIGNO DE VAGINA A PROPÓSITO DE UN CASO
MELANOMA MALIGNO DE VAGINA A PROPÓSITO DE UN CASO
Revista Venezolana de Oncología, vol. 32, núm. 2, pp. 113-120, 2020
Sociedad Venezolana de Oncología

Recepción: 18 Diciembre 2019
Revisado: 20 Febrero 2020
Aprobación: 02 Marzo 2020
Resumen: Los melanocitos han sido identificados en el 3 % de las vaginas normales siendo la histogénesis probable de las lesiones melanocíticas y de los melanomas vaginales, pero para sustanciar un origen local vaginal primario de un melanoma maligno, es preciso buscar un componente intraepitelial de apariencia lentiginosa con actividad de unión y descartar clínicamente ausencia de lesión pigmentada cutánea. Se describe caso atendido en el Instituto de Oncología “Dr. Miguel Pérez Carreño” con sede en Bárbula Estado Carabobo de femenina de 67 años de edad, que consultó por clínica de sangrado genital posmenopáusico de 6 meses de evolución, con lesión exofítica en canal vaginal con biopsia de la misma que reporta melanoma maligno por lo que se planteo realizar tratamiento quirúrgico de consiste en exenteración anterior con derivación urinaria tipo Bricker y vulvectomía radical y disección inguino-femoral bilateral, con resultados oncológicos y evolución satisfactoria.
Palabras clave: Melanoma, vagina, exenteración anterior.
Abstract: The melanocytes have been identified in 3 % of the normal vaginas being the probable histogenesis of vaginal melanocytes injuries and melanomas, but to embody a primary vaginal local origin of melanoma malignant, it is precise to look for an intraepithelial component of lentiginosa appearance with union activity and to discard absence of injury clinically pigmented cutaneous. Case taken care of in the Institute of Oncology “Dr. Miguel Perez Carreño” with seat in Barbula - Estado Carabobo of feminine of 67 years, that consult by clinic of bled genital post menopausal of 6 months of evolution, with exofitic injury in vaginal channel with biopsy of the same one which it reports melanoma malignant by that I consider to make surgical treatment of consists of previous exenteration with urinary derivation radical Bricker type and vulvectomia and bilateral dissection inguino-crural, with oncological results and satisfactory evolution.
Keywords: Melanoma, vagina, surgery, previous exenteration.
INTRODUCCIÓN
Los melanocitos han sido identificados en el 3 % de las vaginas normales siendo la histogénesis probable de las lesiones melanocíticas y de los melanomas vaginales, sin embargo, para sustanciar un origen local vaginal primario de un melanoma maligno, es preciso buscar un componente intraepitelial de apariencia lentiginosa con actividad de unión y descartar clínicamente ausencia de lesión pigmentada cutánea (1).
El melanoma primario de vagina es un tumor muy poco frecuente representando menos del 0,3 % de todos los melanomas y menos del 3 % de los tumores malignos de la vagina. En nuestro conocimiento existen 140 casos descritos en la literatura hasta el año 2010 (2).
La edad de aparición de este tipo de lesiones varía entre los 37 y 72 años con una edad media de presentación de 60 años y se presentan en forma de sangrado genital, siendo la localización mas frecuente el tercio inferior de la vagina (3).
En cuanto al pronóstico es peor que los localizados en la piel. La supervivencia varía entre el 21 % a los 5 años en la revisión de Chung y col. en 1981 (4) y los 19 meses en la revisión de 15 casos de Cobellis y col., en el año 2000 (5).
El tratamiento de elección es la cirugía con resección completa. En algunos casos se realiza radioterapia complementaria. Hay autores que describen tratamiento adyuvante con inmuno-quimioterapia (6).
En esta oportunidad se presenta caso atendido en el Servicio de Ginecología Oncológica del Instituto de Oncología “Dr. Miguel Pérez Carreño con sede en Bárbula Estado Carabobo.” de femenina de 67 años de edad con diagnóstico de melanoma maligno en vagina, cuyo tratamiento quirúrgico consistió en exenteración anterior más reconstrucción urinaria tipo Bricker con vulvectomia radical con linfadenectomía inguino-femoral.
CASO CLÍNICO
Se trata de femenina de 67 años de edad, que consultó al Servicio de Ginecología Oncológica del Instituto “Dr. Miguel Pérez Carreño”, luego de ser valorada por facultativo particular, con clínica de sangrado genital posmenopáusica de 6 meses de evolución, sin otro concomitante.
Antecedentes familiares: niega oncológicos. Antecedentes personales: menarquía a los 7 años, menopausia a los 40 años, II Gestas, II Para, numero de parejas 2, niega el uso de ACO, hipertensa en tratamiento regular, fumadora de larga data. Examen físico:
KFK: 100 % Pulso: 78 pm Respiraciones: 19 pm. Femenina que luce en buenas condiciones generales, Piel: sin lesiones evidentes. Cuello: móvil simétrico, no adenopatías cervicales. Tórax: simétrico, normo-expansible, ruidos respiratorios presentes sin agregados, ruidos cardiacos rítmicos normo-fonéticos sin soplos. Mamas: péndulas, simétricas no nódulos palpables, complejo areola pezón sin lesiones. Axilas y fosas supraclaviculares: sin lesiones. Abdomen: blando, depresible, ruidos hidroaéreos presentes. Área inguinal: sin adenopatías. Ginecológico: a nivel de vulva en labios menores se evidencia área eritematosa, igualmente se observa lesión exofítica friable que ocupa 2/3 superiores de canal vaginal y que está firmemente adherida a pared anterior de la misma, esta lesión no permite la visualización del cuello uterino.
La paciente acude ya con estudio cito-patológico de introito vaginal y de biopsia de la lesión practicada que reporta:
Citología No 971: compatible con carcinoma. Biopsia No 1731-08: células fuso-celulares, con núcleos ovoides y redondeados, hiper-crómicos algunos con nucléolo evaluable y figuras mitóticas atípicas. El citoplasma es eosinófilo y los bordes se disponen en haces, separada por infiltrado inflamatorio polinuclear, trayectos vasculares, hemorragia reciente y antigua. Concluye: neoplasia maligna sarcomatoide de cuello uterino.
Nota: Dentro de las posibilidades diagnósticas debe considerarse el carcinoma de células escamosas sarcomatoide y el tumor mixto Mülleriano de cuello uterino.
En vista de tal situación se plantea solicitar revisión de láminas por los patólogos de nuestro centro y a la par de solicitar estudio de inmunohistoquímica.
Revisión de láminas D08-539: tumor maligno poco diferenciado, sólido, difuso, de alto grado citológico de patrón arquitectural en áreas sarcomatoso en otras epitelioides, sin evidencias de invasión vascular hemática, ni linfática en la muestra examinada.
Nota: la neoplasia presenta además, pigmento parduzco intracelular y extracelular que impresiona no corresponder a hemosiderina, lo que nos hace sugerir el diagnóstico de melanoma maligno. (Figura 1))



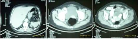
Se solicitan estudios de extensión: tomografía axial computarizada de abdomen y pelvis 15/07/2008: no demuestra imágenes de tipo MT a nivel hepático. No se demostraron adenopatías. Aparente aumento de volumen del cuello uterino en relación al cuerpo uterino que es relativamente pequeño. No se puede evaluar con definición el recto por encontrarse muy distendido al momento del estudio (Figura 3).

Uretrocistocopia 03/07/2008: lesión tumoral en introito vaginal, la uretra anterior se observa modificada, levantada por lesión amamelonada ocupando introito vaginal, meato uretral desplazada, resto del estudio normal.




En vista de tal situación se plantea diagnóstico de melanoma de vagina y se plantea realizar: exenteración anterior + derivación urinaria tipo Brickery vulvectomía radical, linfadenectomía inguinal bilateral.
Al momento del acto quirúrgico se presenta paciente ya con una lesión que compromete hasta 1/3 inferior de vagina que protruye por introito vaginal y parece evidenciarse satelitosis en vulva (Figura 8).




Se recibe para biopsia intraoperatoria, material identificado como: ganglio de fosa obturatriz izquierda, mide 0,5 cm x 0,3 cm, lobulado, pardo-grisáceo. Diagnóstico intraoperatorio: negativo para macro metástasis de melanoma maligno.
Espécimen de vulvectomía radical más histerectomía radical más vejiga con segmentos de uréter y vagina.
Vulvectomía radical: mide 10,5 cm x 10 cm x 4 cm, con áreas hipercrómicas, irregulares en introito vaginal, miden entre 2 cm x 0,5 cm y 1,6 cm x 0,7 cm y se extienden de forma irregular a piel de labios menores. Resto, de vulva de aspecto macroscópico habitual.
Vagina: mide 5 cm de longitud x 3 cm de grosor máximo y muestra en tercio distal, lesión tumoral exofítica, ulcerada, hipercrómica, que mide 5 cm x 2 cm x 3 cm; semi-firme, la cual protruye a través del introito vaginal, impresiona originarse en pared posterior, comprometiendo tejidos blandos subyacentes y uréter. La pared interior de vagina en tercio distal no muestra tumor y el resto de la cavidad vaginal presenta mucosa levemente edematosa. Los márgenes miden el izquierdo 3,5 cm. El derecho: 3 cm. El inferior o distal: 5 cm.
Vejiga y uréter: El uréter mide 4 cm x 0,5 cm y se encuentra infiltrado en tercio distal por tumor, en un área de 1 cm x 0,5 cm. La vejiga mide 8 cm x 6 cm x 4 cm, externamente recubierta por tejido adiposo. Al corte, sin contenido con mucosa de aspecto macroscópico habitual.
Útero más anexos: cuerpo uterino mide 4 cm x 3 cm, piriforme, liso. Cavidad uterina, vacía de 3 cm x 0,5 cm. Endometrio: de 0,3 cm de grosor. Pared del miometrio: 1,4 cm, fibrilar. Cuello uterino: mide 3 cm x 2 cm x 2 cm. OCE: 1 cm s, transversal, canal permeable, exo-cérvix pardo-claro.
Ovarios derecho e izquierdo: miden 5 cm x 4 cm x 2 cm y 2,5 cm x 2 cm x 1,5 cm, respectivamente. El ovario derecho quístico, de contenido seroso y superficie interna lisa. El ovario izquierdo de aspecto fibroso.
Trompas uterinas derecha e izquierda: miden en diámetro promedio 7 cm x 0,5 cm, blandas, flexuosas con luz filiforme al corte.
Vaciamiento inguinal derecho: irregular, mide 10 cm x 2 cm x 2 cm. En el se disecan 14 nódulos, el mayor de 1,2 cm y el menor de 0,2 cm pardo-grisáceo, blandos.
Vaciamiento inguinal izquierdo: irregular, mide 8 cm x 2 cm x 2cm. En el se disecan 7 nódulos, el mayor de 0,5 cm y el menor 0,3 cm, pardo-claro, blandos.
Margen distal de uréter izquierdo: un fragmento irregular de tejido, mide 0,5 cm x 0,5 cm, pardo-claro, blando.
Ampliación de margen distal de uréter izquierdo: un fragmento irregular de tejido, mide 0,4 cm x 0,3 cm semi-elástico.
Impresión diagnóstica:
Espécimen de vulvectomía más vagina más útero y anexos más uréter y vejiga
Vagina y vulva
Melanoma maligno en vagina, exofítica, ulcerada, nivel III de “Chung”, sin evidencia de invasión vascular linfática, ni hemática, con leve a moderado infiltrado inflamatorio linfocitario peritumoral, actividad mitótica variable entre 3 y 7 mitosis en 10 campos de alto aumento, con aislados focos de necrosis tumoral, sin infiltración perineural y con extensión intraepitelial al componente glandular con infiltración de tejidos blandos subyacentes hasta uréter distal. Borde quirúrgico distal del espécimen de vulvectomía sin tumor margen distal: 5 cm. Bordes quirúrgicos: derecho e izquierdo, del espécimen de vulvectomía sin tumor. Márgenes: 3 cmy 3,5 cm respectivamente.
Margen distal de uréter con tumor. Borde quirúrgico posterior a uréter sin tumor. Margen 1 cm. Áreas hipercrómicas vulgares (descritos en macro) sin tumor, con focos de hemorragia reciente y antigua en el estroma. Resto del tejido vulvar sin lesiones histológicas significativas. Resto de vagina sin lesiones histológicas significativas.
Útero y anexos
Cuerpo uterino: endometrio proliferativo sin tumor
Cuello uterino: ndocervicitis crónica moderada. Sin tumor.
Quiste de Naboth. Metaplasma escamosa.
Ovario derecho: quiste folicular
Ovario izquierdo: cuerpo Albicans.
Trompas uterinas derecha e izquierda: sin lesiones histológicas significativas.
Descripción macroscópica:
Uréter y vejiga: uréter izquierdo con tumor en tercio distal. Vejiga con cambios inflamatorios leves. Sin tumor.
Vaciamiento inguinal derecho (7): hiperplasia sinusoidal reactiva en (7) ganglios linfáticos. Sin tumor metastático.
Ganglio de fosa obturatriz izquierda (1): sin metástasis.
Material remitido como “margen distal” de uréter izquierdo (Nº 8): fragmento de uréter sin tumor.
Ampliación de material remitido como “margen distal” de uréter izquierdo (Nº 10): fragmento de tejido fibro-conectivo, sin tumor.
NOTA: Los melanomas de vagina representan, según algunos autores, menos del 5 % de las neoplasias malignas de vagina y su diagnóstico debe ser hecho, previo descarte de melanoma en otro órgano. Actualmente paciente con evolución satisfactoria (Figura 12).

DISCUSIÓN
El melanoma de vagina es un tumor sumamente raro que se asocia a un pobre pronóstico con tasas de sobrevida a los 5 años de 17 % en las mejores series estudiadas como la de la Universidad de Michigan donde evaluaron 15 pacientes con melanoma de vagina (7).
El síntoma más frecuente de esta neoplasia es el sangrado genital, este se observa prácticamente en el 90 % de los casos, otros síntomas observables son adenopatías inguinales, y tumor en la vulva (8), en nuestro caso presenta a paciente de 67 años de edad que consultó por sangrado genital posmenopáusico, es de notar que en las mejores series estudiadas la edad de aparición de esta lesión está entre los 40 y 70 años (1).
Microscópicamente este tipo de lesión muestra un tamaño variable, describiéndose entre 0,5 cm y más de 5 cm. Nuestro caso era de 2 cm. El epitelio de superficie se muestra con frecuencia ulcerado o erosionado, hecho que puede confundir con un carcinoma epidermoide. En nuestro caso se le realizó una citología previa cuyo resultado sugería la presencia de un carcinoma. Posteriormente en la biopsia se comprobó la existencia de áreas del epitelio de superficie con células atípicas que observadas individualmente en citología podrían confundirse con este tumor, sin embargo, actualmente con la utilización de inmunohistoquímica podemos llegar a confirmar el diagnóstico de melanoma maligno de vagina por la positiva de HMB45 y luego de descartar la presencia de lesiones melánicas en el resto de la economía.
El tratamiento de elección es la cirugía con resección completa. En algunos casos se realiza radioterapia complementaria. Hay autores que describen tratamiento adyuvante con inmuno-quimioterapia (6) en el caso particular presentado se decidió cirugía radical exenteración anterior vulvectomía y linfadenectomía inguinal; por el estudio anatomopatológico de la pieza quirúrgica se logra el control locorregional de este tipo de lesiones con cirugías realmente mutilantes como la presentada.
Los melanocitos han sido identificados en el 3 % de las vaginas normales, siendo la histogénesis probable de las lesiones melanocíticas y de los melanomas vaginales, pero para sustanciar un origen local vaginal primario de un melanoma maligno, es preciso buscar un componente intraepitelial de apariencia lentiginosa con actividad de unión y descartar clínicamente ausencia de lesión pigmentada cutánea.
Hoy día podemos concluir que ante lesiones en vagina poco diferenciadas con estudio histológico que reporte componente sarcomatoso se debe solicitar estudio inmunohistoquímico para la determinación precisa del diagnostico y ante la presencia de un melanoma de vagina se debe actuar con prontitud realizando el procedimiento quirúrgico más adecuado para obtener control de la enfermedad.
Es preciso continuar con el seguimiento de este caso, con vigilancia estricta.
REFERENCIAS
1. Mayorga FM. Melanoma de vagina: A propósito de un caso. Revisión de la literatura. iv-cvhap 2001 seminario-casos 027. Disponible en: URL: https://conganat.uninet.edu/IVCVHAP/SEMINARIO-CASOS/027/R105.htm
2. Ariel IM. Malignant melanoma of the female genital system: A report of 48 patients and review of the literature. J Surg Oncol. 1981;16:371-383.
3. Ferrer J, Zapatero HA, Coto LP, Díaz L, Pérez CR. Vaginal melanoma: Report of two cases and review of the literature. Eur J Gynaecol Oncol. 1995; 16:190-194.
4. Chung AF, Casey MJ, Flannery JT, Wooddruff JM, Lewis JL Jr. Malignant melanoma of the vagina: Report of 19 cases. Obstet Gynecol. 1980;55(6):720-727.
5. Cobellis l, Calabrese E, Stefanson B, Raspagliesi F. Malignant melanoma of the vagina. A report of 15 cases. Eur J Gynaecol Oncol. 2000;21(3):295-297.
6. Arai K, Joko M, Kagebayashi Y, Tsumatani K, Kimura S, Sasaki K, et al. Primary malignant melanoma of the female urethra: A case report. Jpn J Clin Oncol. 1993;23:74-77.
7. Reid GC, Schmidt RW, Roberts JA, Hopkins MP, Barrett RJ, Morley GW. Primary melanoma of the vagina: A clinic-pathologic analysis. Obstet Gynecol. 1989;74(2):190-199.
8. Miner TJ, Delgado R, Zeisler J, Busam K, Alektiar K, Barakat R, et al. Primary vaginal melanoma: A critical analysis of therapy. Ann Surg Oncol. 2004; 11(1):34-39.
Notas de autor
cruzenriotero@hotmail.com