Artigo
SÍNDROME DE LEIGH: A PROPÓSITO DE UM CASO CLÍNICO COM MUTAÇÃO NO DNA MITOCONDRIAL
Leigh syndrome: a case report with a mitochondrial DNA mutation
SÍNDROME DE LEIGH: A PROPÓSITO DE UM CASO CLÍNICO COM MUTAÇÃO NO DNA MITOCONDRIAL
Revista Paulista de Pediatria, vol. 36, núm. 4, pp. 519-523, 2018
Sociedade de Pediatria de São Paulo
Recepção: 19 Abril 2017
Aprovação: 23 Agosto 2017
Publicado: 23 Outubro 2018
RESUMO
Objetivo: A síndrome de Leigh é uma doença neurodegenerativa com incidência de 1:40.000 nados-vivos. Apresenta ampla heterogeneidade clínica, bioquímica e genética, mas com alterações neuropatorradiológicas homogêneas. Não existe tratamento específico, e o prognóstico é reservado. O objetivo deste estudo foi familiarizar os profissionais de saúde com a doença.
Descrição do caso: Menina de 16 meses, com hipotonia axial e atraso do desenvolvimento psicomotor. Dos exames realizados: cariótipo, potenciais auditivos evocados e avaliação oftalmológica normais; presença de hiperlactacidemia e hipocitrulinemia. Após a realização de ressonância magnética cerebral sob anestesia, observou-se agravamento da hipotonia com necessidade de internação por episódios de cianose/apneia. O eletroencefalograma não mostrou atividade epileptiforme. A neuroimagem revelou hipersinal lenticular bilateral com lesão do putâmen e do globo pálido esquerdo. Encontrou-se a mutação 8993T>G (MT-ATP6) no DNA mitocondrial.
Comentários: De 10 a 30% dos doentes com síndrome de Leigh apresentam mutações do DNA mitocondrial. A descompensação com agravamento neurológico após intervenção anestésica está descrita e, nesse caso, apoiou o diagnóstico. Importante alertar para casos semelhantes, com diminuição de exames invasivos para diagnóstico.
Palavras-chave: ATPase6+ Citopatia mitocondrial+ Síndrome de Leigh+ Lactente.
Abstract
Objective: Leigh syndrome is a neurodegenerative disorder with an incidence of 1:40,000 live births. It presents wide clinical, biochemical, and genetic heterogeneity, but with homogenous neuropatoradiological alterations. There is no specific treatment, and the prognosis is reserved. This case report aimed familiarize health professionals with the disease.
Case Description: A 16-month-hold girl who was followed in outpatient clinic due to axial hypotonia and delayed psychomotor development. Karyotype, auditory evoked potentials and ophthalmologic evaluation were normal. Evidence of hyperlactacidemia and hypocitrullinemia was detected in the patient. After performing brain magnetic resonance under anesthesia, hypotonia got worse, and the patient was hospitalized after an episode of cyanosis and apnea. The electroencephalogram showed no epileptiform activity. Neuroimaging revealed bilateral lenticular hyperintensity, especially in the putamen and in the left globus pallidus regions. Molecular analysis revealed an 8993T>G (MT-ATP6) mutation in the mitochondrial DNA.
Comments: Between 10 and 30% of individuals with Leigh syndrome have mitochondrial DNA mutations. The decompensation after anesthetic intercurrences is typically associated with neurological deterioration and, in this case, increased the diagnosis suspicion. It is important to alert for similar cases and to reduce invasive diagnostic tests if the diagnosis is suspected.
Keywords: ATPase6, Leigh syndrome, Mitochondrial cytopathy, Infant.
INTRODUÇÃO
A síndrome de Leigh (SL) é uma doença neurometabólica hereditária também conhecida por encefalomielopatia necrosante subaguda, tendo sido descrita pelo neuropatologista e psiquiatra britânico Denis Leigh em 1951. Caracteriza-se por doença neurodegenerativa com sintomas variáveis que ocorre por causa da disfunção mitocondrial por defeito genético hereditário, em associação com lesões do sistema nervoso central bilateral. Apesar de ser uma doença rara, com incidência aproximada de 1:40.000 nascidos vivos, é a doença mitocondrial mais frequente do primeiro ano de vida.1,2,3,4,5,6,7
A natureza funcional heterogênea da mitocôndria é responsável pelo amplo espectro de manifestações clínicas que caracterizam a SL. Está presente uma disfunção em uma área restrita, mas vital do metabolismo mitocondrial, a fosforilação oxidativa, em que a maior parte da adenosina trifosfato (ATP) celular é produzida. Dessa forma, qualquer órgão pode ser afetado, no entanto, os tecidos com necessidades maiores de oxigênio, como o músculo esquelético, o coração e o sistema nervoso, são habitualmente os mais afetados.8,9
A associação de sintomas e sinais neurológicos, não explicáveis em termos de topografia anatômica de lesões ou por atingir preferencialmente sistemas específicos, pode evocar esse diagnóstico, não existindo um quadro clínico específico de citopatia mitocondrial.8,9 Embora a maioria da sintomatologia seja neurológica, alguns doentes podem apresentar manifestações não neurológicas ou mesmo envolvimento multissistêmico.2,4,10 As manifestações neurológicas podem incluir atraso do desenvolvimento psicomotor, fraqueza muscular, hipotonia, distonia, espasticidade, epilepsia, ataxia, tremor intencional, nistagmo, oftalmoparésia, atrofia óptica, disfagia, comprometimento respiratório, surdez, paralisia de nervos cranianos periféricos, polineuropatia e miopatia. As manifestações não neurológicas mais frequentes incluem: dismorfias e anormalidades endócrinas (baixa estatura, hipertricose, diabetes), cardíacas (cardiomiopatia dilatada ou hipertrófica) ou gastrointestinais (diarreia, vômitos).2,4,10
Na SL, para além da ampla heterogeneidade clínica, existem também variabilidades genética e bioquímica, que contrastam com a homogeneidade neuropatorradiológica. 1,2,3,4,5 A etiologia genética é confirmada em cerca de 50% dos casos, com mais de 60 mutações identificadas no DNA nuclear ou mitocondrial, sendo as últimas responsáveis por cerca de 10 a 30% dos casos.1,2,3,6,7,11 Um dos genes mitocondriais que mais frequentemente apresentam mutação é o gene da ATPase6 (MT-ATP6), que codifica uma subunidade do complexo V da cadeia respiratória, sendo a mutação mais descrita a transversão 8993T>G.2,4,5,9,12 Apesar da hipocitrulinemia (≤12 µmol/L) ser um achado ocasional nas doenças mitocondriais, tem sido especificamente associada à mutação 8993T>G, contudo, a sua prevalência é desconhecida.6,12 Outros marcadores bioquímicos sugestivos de SL são os níveis plasmáticos aumentados de lactato (por sobrecarga glicídica) e a razão lactato/piruvato aumentada, entretanto, a sua ausência não exclui o diagnóstico.1,6
Perante a suspeita clínica e laboratorial de SL, deve ser realizada a ressonância magnética cranioencefálica (RM-CE). Os achados mais comuns, na imagem em T2, são as hiperintensidades focais, bilaterais e simétricas localizadas tipicamente nos gânglios da base (especialmente no putâmen) e/ou no tronco cerebral. Outras áreas frequentemente envolvidas são tálamo, substância nigra, núcleo rubro, tronco cerebral, cerebelo, substância branca cerebral ou medula espinhal.2,6,7,13 Essas lesões, evidentes tanto na imagem cerebral como nos estudos anatomopatológicos, são atribuídas à depleção de ATP, com consequente lactoacidose, congestão vascular, hipóxia e, finalmente, necrose. O envolvimento preferencial das regiões subcorticais é atribuído à maior vulnerabilidade à lactoacidose, que parece ser secundária ao seu suporte vascular, as arteríolas penetrantes.2,4,14
O prognóstico da SL é reservado e não existe tratamento específico, devendo ser realizado o acompanhamento multidisciplinar paliativo.1
CASO CLÍNICO
Lactente do sexo feminino, referenciada à consulta de pediatria aos oito meses de idade por hipotonia axial e atraso global do desenvolvimento psicomotor (ADPM). Não apresentava antecedentes perinatais (somatometria ao nascimento adequada à idade gestacional), pessoais nem familiares (sem história de consanguinidade) relevantes. O exame objetivo confirmou a hipotonia, mas não exibiu outras particularidades, nomeadamente sem dismorfias. Realizou-se estudo analítico, que não revelou alterações, a saber: hemograma, glicose, creatinina, ureia, sódio, potássio, cloro, cálcio, fósforo, creatina cinase (CK), desidrogenase láctica (DHL), transaminases, fosfatase alcalina (FA), perfil lipídico, função tiroideia e gasometria venosa. Fizeram-se exames de urina tipo II/sedimento urinário, ecografia transfontanelar e cariótipo (46,XX em sangue periférico), que também foram normais.
Aos nove meses de idade, a paciente iniciou fisioterapia trissemanal, tendo cumprido seis meses de tratamento. Foi notada apenas discreta melhoria da hipotonia, com manutenção do ADPM, motivo pelo qual se optou pela RM-CE.
Aos 16 meses de idade, um dia após a realização da RM-CE com anestesia, a criança recorreu ao serviço de urgência (SU) por episódio de hiporreatividade. Havia noção parental de maior prostração nas horas precedentes ao referido episódio. Objetivamente, na admissão, destacavam-se a pouca reatividade, a hipotonia axial agravada, os reflexos osteotendinosos aumentados e a palidez cutânea. Repetiu-se o estudo analítico (que se mantinha em conformidade com a normalidade), realizou-se pesquisa de drogas na urina (negativa) e optou-se pela vigilância em regime de internação.
No primeiro dia de internação, foi constatado episódio de cianose generalizada e de apneia, com recuperação espontânea, seguido de sonolência e prostração. Realizou-se eletroencefalograma, que mostrou traçado globalmente alterado, com baixa amplitude e má definição dos elementos fisiológicos. Iniciou-se fenitoína 10 mg/kg/dia, sem recorrência dos episódios, no entanto, mantiveram-se hipotonia axial grave e prostração, com fraca interação social.
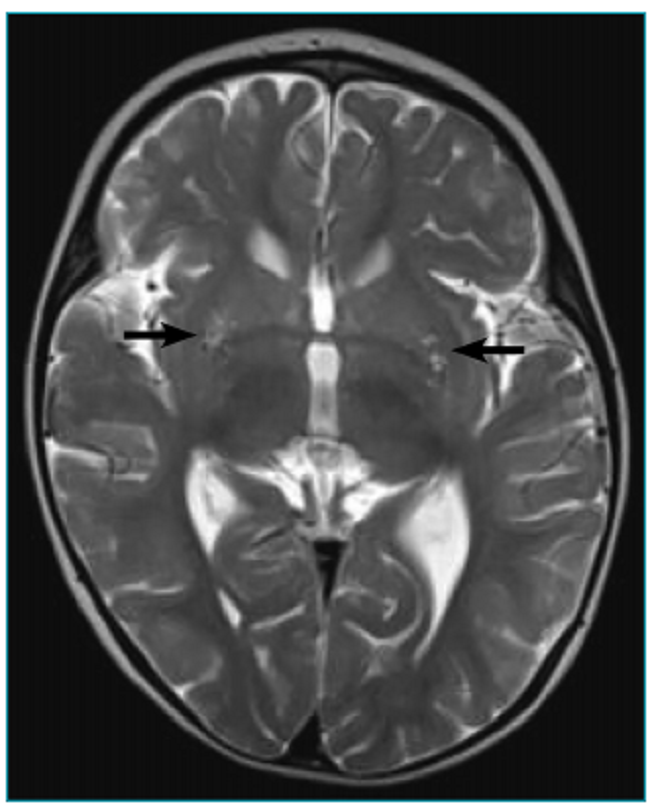
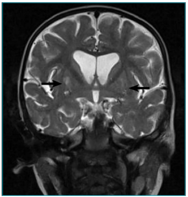
Nas imagens da RM-CE em T2, observava-se hipersinal lenticular, bilateral, expressando-se no putâmen e havendo dúvida em relação ao globo pálido esquerdo, o que sugeriu o diagnóstico de doença metabólica, principalmente na ausência de intercorrências durante a gestação e periparto (Figuras 1 e 2). Do estudo metabólico realizado, destacavam-se hipocitrulinemia de 5 µmol/L (normal 15 a 30 µmol/L) e hiperlactacidemia de 3,0 mmol/L (normal 0,5 a 2,2 mmol/L). A paciente apresentava piruvato sérico, amônia e cromatografia dos ácidos orgânicos normais. Executaram-se também potenciais auditivos evocados do tronco cerebral, eletrocardiograma e ecocardiograma, que não revelaram alterações. Foi avaliada por oftalmologista, revelando exame normal.


Tendo em conta os dados clínicos, laboratoriais e imagiológicos e na suspeição de SL, realizou-se o painel de genes mitocondriais com a identificação da mutação no DNA mitocondrial 8993T>G (MT-ATP6; heteroplasmia superior a 90%), confirmando-se, assim, a hipótese diagnóstica colocada. Foi referenciada à consulta em Centro de Referência de Doenças Hereditárias do Metabolismo, e passou-se à suplementação vitamínica com tiamina, riboflavina e coenzima Q10. Os pais foram informados acerca do risco da sedação ou anestesia. O estudo familiar materno foi positivo para a mesma mutação, com heteroplasmia de 75%.
Durante o seguimento, a criança desenvolveu ataxia, distonia e epilepsia com componente mioclônico. Houve substituição terapêutica para fenobarbital e levetiracetam, com boa resposta. Manteve-se fisioterapia e iniciou-se terapia ocupacional.
DISCUSSÃO
Apesar da SL ser uma doença mitocondrial, ela não se caracteriza pelo quadro clínico específico desse grupo de doenças, o que torna o seu diagnóstico um desafio médico. A ampla variabilidade clínica, laboratorial e genética deve ser conhecida, de modo a facilitar o diagnóstico mais precoce e, assim, melhorar a qualidade de vida. 1,2,3,4,5,6,8,9,10,11
Relata-se um caso de SL com início dos sintomas abaixo dos dois anos de idade, ou seja, a variante mais frequente da doença: a forma infantil.1,3,5,6,10,11 Habitualmente, a SL manifesta-se com um declínio progressivo da função do sistema nervoso central.2,10 No caso apresentado, os sintomas iniciais foram ADPM e hipotonia axial, tendo sido considerada a apresentação subaguda da doença. 1,3,5,6,10,11
Durante os primeiros meses de seguimento da doente e uma vez que apresentava estudo analítico e cariótipo e ecografia transfontanelar normais, optou-se por um seguimento expectante, com fisioterapia. No entanto, como não houve melhora significativa, iniciou-se o estudo da hipotonia central com o pedido de RM-CE.
A suspeição diagnóstica inicial de SL surgiu um dia após a realização da RM-CE, em que a doente foi submetida à anestesia com consequente agravamento neurológico. Esse agravamento surgiu por estresse metabólico, aqui induzido pelo procedimento anestésico, mas pode ser induzido por infecções, vacinação ou períodos de jejum, o que é habitual ocorrer em doentes com essa entidade.1,3,5,6,10,11
As alterações de neuroimagem encontradas, em conjunto com a hiperlactacidemia e a hipocitrulinemia, reforçaram a hipótese diagnóstica colocada. Por esse motivo, dirigiu-se o estudo genético para o painel de genes mitocondriais, encontrando-se a mutação 8993T>G. Embora mais estudos sejam necessários, essa mutação deve ser considerada precocemente na avaliação diagnóstica de doenças mitocondriais infantis com hipocitrulinemia, o que minimiza a necessidade de procedimentos invasivos, como biópsias musculares, associados a risco pequeno, mas não negligenciável, de complicações.6,12 Sabe-se que o aporte de citrulina por meio da dieta é mínimo e que os enterócitos são o principal local da sua síntese (via prolina--ornitina-citrulina, que requer a reação carbamilfosfato I sintase ATP-dependente). Assim, na SL, pensa-se que a hipocitrulinemia está relacionada com a alteração da biossíntese intestinal da citrulina, secundária à carência de ATP nos enterócitos.12
No momento do diagnóstico, foi excluído o envolvimento oftalmológico, do músculo cardíaco (eletrocardiograma e ecocardiograma normais), musculoesquelético (CK normal) e do tronco cerebral (potenciais auditivos evocados normais). Durante o seguimento, verificou-se o desenvolvimento de ataxia, distonia e epilepsia, condições que estão descritas nos doentes com SL,2,10 contudo, o rastreio de outras manifestações com as quais a SL pode cursar, neurológicas ou não, mantém-se importante no decorrer do acompanhamento, pois essas manifestações podem surgir posteriormente na evolução.2,4,10
A síndrome neuropatia, ataxia e retinite pigmentosa (NARP), também associada à mutação 8993T>G no gene mitocondrial MT-ATP6, surge geralmente em adultos jovens, como combinação de retinopatia em sal e pimenta, fraqueza muscular, ataxia e neuropatia sensitiva. Essa mutação ocorre em 8 a 10% dos casos de SL, representando uma apresentação fenotípica mais grave da NARP.15
Apesar de não existir terapêutica curativa para a SL, é imprescindível o acompanhamento multidisciplinar paliativo. A utilização de algumas substâncias tem sido proposta para o tratamento da SL, como coenzima Q10, carnitina, ácido lipoico, biotina, riboflavina e outros, no entanto, sem clara evidência da sua eficácia.1,6,14 No caso apresentado foi realizada suplementação com tiamina, riboflavina e coenzima Q10, sem impedimento do agravamento progressivo característico da SL.1 A sobrevida média dos doentes com SL infantil é de cinco anos, e a idade atual da doente descrita aqui é de três anos.2
O diagnóstico pré-natal (DPN) nas citopatias mitocondriais com mutação do DNA mitocondrial raramente é efetuado, pela baixa fiabilidade do procedimento, dado que a percentagem de heteroplasmia varia ao longo da gestação.2,6 No entanto, excepcionalmente, o DPN para essa mutação poderá ser disponibilizado em razão da alta percentagem com que se apresenta em todos os órgãos nos casos afetados.16 Dessa forma, e tendo em conta que a mãe tem a mesma mutação, o aconselhamento genético dessa família é de extrema importância.
Em conclusão, os autores querem alertar para a importância do reconhecimento precoce da SL, permitindo a maximização da qualidade de vida desses doentes e das suas famílias.
REFERÊNCIAS
1. Roma A, Pereira PR, Dantas A. Leigh syndrome: case report. Arq Bras Oftalmo. 2008;71:118-21.
2. Finsterer J. Leigh and Leigh-like syndrome in children and adults. Pediatr Neurol. 2008;39:223-35.
3. Tetreault M, Fahiminiya S, Antonicka H, Mitchell G, Geraghty M, Lines M, et al. Whole-exome sequencing identifies novel ECHS1 mutations in Leigh syndrome. Hum Genet. 2015;134:981-91.
4. Lee HF, Tsai CR, Chi CS, Lee HJ, Chen CC. Leigh syndrome: clinical and neuroimagins follow-up. Pediatr Neurol. 2009;40:88-93.
5. Huntsman R, Sinclair DB, Bhargava R, Chan A. Atypical presentations of Leigh syndrome: a case series and review. Pediatr Neurol. 2005;32:334-40.
6. Baertling F, Rodenburg R, Schaper J, Smeitink JA, Koopman WJ, Mayatepek E, et al. A guide to diagnosis and treatment of Leigh syndrome. J Neurol Neurosurg Psychiatry. 2014;85:257-65.
7. Bonfante E, Koenig MK, Adejumo RB, Perinjelil V, Riascos RF. The neuroimaging of Leigh syndrome: case series and review of the literature. Pediatr Radiol. 2016;46:443-51.
8. Nogueira C, Santos M, Vilarinho L. Investigação molecular em 20 doentes com citopatia mitocondrial. Nascer e Crescer. 2005;14:277-85.
9. Rocha G, Azevedo M, Figueiroa S, Costa FM, Vilarinho L. Mitochondrial Diseases. One Disease? Several Diseases? 2 Case Reports. Acta Pediatr Port. 1999;6:503-7.
10. Genge A, Massie R [homepage on the internet]. Mitochondrial myopathies: clinical features and diagnosis. UpToDate [cited 2016 Oct 5]. Available from: http://cursoenarm.net/UPTODATE/contents/mobipreview.htm?18/47/19185
11. Leigh disease: mitochondrial deletions/duplications and tageted mutation analysis - OMIM [homepage on the internet] [cited 2016 Oct 5]. Available from: http://www.omim.org/entry/256000
12. Debray FG, Lambert M, Allard P, Mitchell G. Low citrulline in Leigh disease: still a biomarker of maternally inherited Leigh syndrome. J Child Neurol. 2010;25:1000-2.
13. Saneto RP, Friedman SD, Shaw DW. Neuroimaging of mitochondrial disease. Mitochondrion. 2008;8:396-413.
14. Lake NJ, Bird MJ, Isohanni P, Paetau A. Leigh syndrome: neuropathology and pathogenesis. J Neuropathol Exp Neurol. 2015;74:482-92.
15. Orpha.net [homepage on the Internet]. France: French National Institute for Health and Medical Research [cited 2016 Oct 5]. Available from: http://www.orpha.net/consor/cgi-bin/index.php?lng=EN
16. Steffann J, Gigarel N, Corcos J, Bonnière M, Encha-Razavi F, Sinico M, et al. Stability of the m.8993T?G mtDNA mutation load during human embryofetal development has implications for the feasibility of prenatal diagnosis in NARP syndrome. J Med Genet. 2007;44:664-9.
Financiamento
Autor notes
*Autor correspondente. E-mail: taniaamorimlopes@hotmail.com (T. Lopes).
Declaração de interesses