Casos clínicos
Resección de mixoma intracardiaco. Reporte de caso*
Resection of intracardiac myxoma. Case report
Resección de mixoma intracardiaco. Reporte de caso*
Revista Médica del Instituto Mexicano del Seguro Social, vol. 55, núm. 1, pp. 110-113, 2017
Instituto Mexicano del Seguro Social
Recepción: 15 Marzo 2013
Aprobación: 20 Mayo 2013
Resumen: Los mixomas son los tumores cardiacos benignos más frecuentes. Se consideran urgencias quirúrgicas. La resección no debe ser demorada ya que el 8-10% de los pacientes afectados pueden morir debido a la obstrucción intracardiaca del flujo sanguíneo. Se presenta el caso clínico de una mujer de 47 años, con antecedente de dislipidemia. Inicia padecimiento con sensación de opresión retroesternal, disnea de medianos esfuerzos, mareo, dolor en articulaciones de manos. Ruidos cardiacos arrítmicos, soplo mitral diastólico II/IV, ruidos respiratorios presentes, no ganglios. Laboratoriales: HB 11.0, leuc 9000, glucosa 96 mg/dL. Rx de tórax con prominencia de arco medio en silueta cardiaca. ECO TT: FEVI 60% con tumoración intracardiaca en aurícula izquierda: 13x11 cm, fijo y pediculado al septum interatrial, protruye a la válvula mitral, válvula mitral con insuficiencia leve, PSP 30 mm Hg. Se realiza esternotomía media, resección de tumor intracardiaco, colocación de parche de pericardio interatrial, con apoyo de circulación extracorpórea tiempo de DCP de 65 minutos, pinzamiento aórtico 40 minutos, hallazgos transoperatorio: tumor intracardiaco fijo a septum interatrial lado izquierdo pediculado, redondeado, amarillo, multiloculado blando, 13x10 cm de diámetro. Diagnostico histopatológico: mixoma cardiaco. Se concluye que la resección del tumor se llevó a cabo en tiempo y forma con evolución satisfactoria.
Palabras clave: Mixoma, Cirugía torácica, Procedimientos quirúrgicos cardiovasculares.
Abstract: Myxomas are the most common benign cardiac tumors, which are considered emergency surgery. The resection should not be delayed because 8-9% of affected patients may die due to intracardiac blood flow obstruction. We presente a clinical case of a 47 year old female, history of dyslipidemia. Disease starts with retrosternal oppression feeling, dyspnea on moderate exercise, dizziness, pain in joints hands. Arrhytmic heart sounds, diastolic mitral murmur II/IV, breth sounds present, no lymph. Laboratory: hemoglobin 11.0, leucocyte 9000, glucose 96 mg/dL, chest RX medium arch prominence cardiac silhouette. ECO transthoracic LVEF 60 %, with left atrial intracardiac tumor 13x11 cm, pedicle fixed the interatrial septum, the mitral valve bulges, with mild mitral valve. Half sternotomy is performed intracardiac tumor resection, pericardial placement interatrial with extracorporeal circulation support 65’, aortic clamping time of 40’. Intracardiac tumor surgical findings interatrial septum fixed to left side, pedicle, rounded, yellow, multiloculated, soft, 13x10 cm in diameter. Histopathological diagnosis cardiac myxoma. We conclude that the tumor resection was carried in a timely manner with satisfactory evoluction.
Keywords: Myxoma, Thoracic surgery, Cardiovascular surgical procedures.
Introducción
Los tumores cardiacos primarios, constituyen una patología poco frecuente en todos los grupos de edad, sin embargo tienen una relevancia importante por el órgano que comprometen. Pueden clasificarse en primarios (cuando surgen del órgano cardiaco) y secundarios (por metástasis). De acuerdo a su comportamiento clínico también se dividen en benignos y malignos.1 (cuadro I)

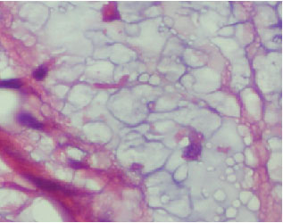
Los tumores del corazón corresponden mayoritariamente a metástasis, siendo los tumores primarios menos frecuentes. Se estima que estos últimos tienen una incidencia entre 0.00017% y 0.05% en autopsias. El mixoma cardiaco corresponde al tumor cardiaco primario más frecuente, constituyendo entre 30 y 50% en distintas series de tumores primarios que afectan dicho órgano. Su localización más frecuente es la aurícula.2 Tiene un aspecto gelatinoideo y mamelonado, frecuentemente es un tumor pedunculado pero puede tener una base ancha de implantación. Histológicamente se caracteriza por estar revestido de endotelio y por la presencia de células poligonales inmersas en una matriz de mucopolisacáridos. Aunque es benigno, algunos pueden recurrir e incluso metastatizar (figura 1).2 Debido a su localización, pueden generar obstrucción al flujo de sangre dentro del corazón o embolizar, siendo por lo tanto potencialmente letales.2 Generalmente aparecen de forma única o aislada, pero también se han reconocido formas múltiples y familiares, presentándose a veces asociados a otras patologías, formando el complejo de Carney (mixomas de piel, tumores endocrinos y lentiginosis), o también como lo expresado mediante la sigla NAME (nevi, atrial myxoma, mixoide neurofibroma y efélides) y el síndrome de LAMB (lentigines, atrial myxoma y blue nevi).3,4 A diferencia de los mixomas no familiares, estos tumores tienen, además, localizaciones no cardiacas, tales como mama o la piel. Son acompañados por pecas en la piel, se presentan en jóvenes, generalmente son multiples y frecuentemente recidivan luego de su extirpación quirúgica. Tienen mayor predilección por el sexo femenino y se transmiten de forma autosómico dominante.3,4

La prevalencia de los mixomas en rango de edad va desde los 13 a los 80 años, con un promedio de 49 años.3 Desde el punto de vista anatómico, pueden ser encontrados en la aurícula izquierda, que es la presentación más frecuente, en la aurícula derecha y los ventrículos. En la aurícula izquierda se encuentran adosados a la fosa oval, a la pared posterior o a la valva anterior de la mitral.5,6 Levent et al. han documentado el caso de una paciente de 13 años con un mixoma auricular derecho. Pueden presentarse obstruyendo el tracto de salida del ventrículo derecho, y esa localización indicaría un probable origen maligno del tumor, ya que la ubicación de los tumores malignos es más frecuente a nivel de las cámaras derechas.7,8 A nivel ventricular son raros y generalmente no aparecen comprometiendo las válvulas cardiacas, se les debe diferenciar de los trombos ventriculares. A diferencia de otro tipo de tumores, no infiltran las paredes cardiacas, por lo cual es rara la presencia de trastornos de la conducción o arritmias.9
La resección quirúrgica no debe ser demorada, ya que se ha documentado que el 8-10% de los pacientes pueden morir en espera de la operación debido a la obstrucción intracardiaca del flujo sanguíneo.10
Caso clínico
Mujer de 47 años de edad, cuenta con antecedentes de tabaquismo positivo, alérgica a los betalactámicos con manifestación de edema laríngeo, resección de quiste de ovario, con factores de riesgo cardiovascular de hipertensión arterial sistémica y dislipidemia.
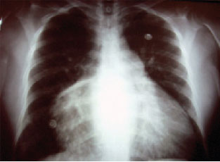
El padecimiento lo inicia con disnea de grandes esfuerzos de 1 año de evolución, para posteriormente debutar con disnea de pequeños esfuerzos, ortopnea, así como disnea paroxística nocturna, acompañada de tos productiva, con expectoración hialina en escasa cantidad, emesis en dos ocasiones, insomnio, astenia, adinamia y pérdida de peso. En la exploración física, con edad mayor a la cronológica, consciente, actitud endomórfica, constitución hipotrófica, fascies inespecífica, palidez de piel y tegumentos, regular estado hídrico; TA: 90/60 mm Hg, FC: 60 lat/min, Temp: 36.5 °C. Con ingurgitación yugular G II, aumento de los movimientos respiratorios, con rudeza respiratoria bilateral, ruidos cardiacos rítmicos con soplo diastólico mitral II/ IV, borde hepático rebasa 5 cm el reborde costal, dolor a la palpación en hipocondrio derecho. Exámenes de laboratorio: HB de10 mg/dL, glucosa 95 mg/dL, Na 140, K 4.5, leucocitos 10 900, neutrófilos 12 500, RX de tórax: cardiomegalia grado IV, aurícula izquierda dilatada, con cuarto arco izquierdo de la silueta cardiaca, cefalización de flujo (figura 2). ECG: eje eléctrico 45°, ritmo sinusal, crecimiento auricular izquierda, no isquemia, lesión o necrosis. ECO TT: aurícula izquierda dilatada, tumor de aurícula izquierda 40x40 mm, fijo al septum interatrial izquierdo, protruye a la válvula mitral, con HAP 30 mm Hg, insuficiencia triscupídea leve a moderada, FEVI 54%. Se somete a sesión médico-quirúrgica y se programa para resección de tumor intracardiaco y revisión de válvula tricuspídea por esternotomía media estándar, con los siguientes hallazgos: cardiomegalia III, aurícula izquierda de 49x38 mm de diámetro con pedículo a nivel del septum intraarterial izquierdo que protruye a válvula mitral, de aproximadamente 80x90 mm de diámetro (figura 3).


Tumor de 60 x 70 mm diámetro, con pedículo de 10 mm fijo al septum interatrial izquierdo
Válvula mitral integra, válvula tricúspide sin datos de insuficiencia valvular. Con tiempo de derivación cardiopulmonar 65 minutos, pinzamiento aórtico de 40 minutos.
Sale la paciente de bomba al primer intento, taquicardia ventricular, dos descargas eléctricas de 20 J directos, posteriormente estable eléctrico y hemodinámico, se realiza cierre de cavidad y de esternotomía media, se extuba en sala de quirófano, pasa a terapia intensiva con apoyo de dopamina y milrinona con estabilidad hemodinámica y sin sangrado activo, para manejo posoperatorio inmediato, durante estancia en UTI evoluciona satisfactoriamente y es egresada sin complicaciones a sala general de hospital en 48 horas, ya sin drenajes torácicos; es dada de alta del hospital con cita a consulta para continuar manejo médico. Resultado histopatológico: mixoma cardiaco.
Conclusiones
El mixoma cardiaco es un tumor que ha sido diagnosticado desde los 0 hasta los 95 años de edad,11 nuestra paciente con 47 años de edad se diagnosticó por cuadro caracterizado por obstrucción de válvulas auriculoventriculares y, por ende, disnea. Se realizaron los estudios en tiempo y forma, realizándose la extirpación quirúrgica exitosamente en un centro en el cual se inicia la cirugía cardiaca con la seguridad que requiere dicho procedimiento, sin olvidar que el tratamiento debe ser inmediato luego del diagnóstico y oportuno por el alto índice de morbimortalidad en caso de cursar con embolias u obstrucciones totales valvulares.
Referencias
Favela PE, Pérez GJ, Ramírez CS, Medecigo MC. Diagnóstico y tratamiento de los tumores cardiacos primarios en adultos. Catálogo maestro de guías prácticas clínicas. IMSS; 2010. p. 397-10.
Becker P, Ramirez A, Zalaquett R, Moran VS, et al. Mixoma cardiaco: Caracterización clínica, métodos diagnósticos y resultados alejados del tratamiento quirúrgico durante tres décadas de experiencia. Rev Méd Chile. 2008;136:287-295.
Masuda I. Tumores cardiacos primarios. Mixoma Auricular. Rev Fed Arg Cardiol. 2004;33:196-204.
Gardner SS, Solomon AR. Cutaneous and cardiac myxoma: an important association. Semin Dermatol. 1991;10:148-151.
Fiorilli R, Tomasco B, Serino W: Asymptomatic left ventricular myxoma in pregnancy: echocardiographic diagnosis and surgical treatment. G Ital Cardiol. 1996;26:887-890.
Satish K. Right atrial myxoma in a patient presenting with syncope. Images in Cardiovascular Medicine, 2001; p. 28.
Nowrangi SK, Ammash NM, Edwards WD, Breen JF, Edmonson JH. Calcified left ventricular mass: unusual clinical, echocardiographic, and computed tomographic findings of primary cardiac osteosarcoma. Mayo Clin Proc. 2000;75:743-747.
Ueno Y, Yanagihara K, Toba T et al. A resected case of sporadic myxoma of the right ventricle: the diagnosis was supported with DNA flow cytometry. Kyobu Geka. 1994;47:1020-1022.
Rocco M, Pizzolitto S, Luciani M et al. Quantitative analysis of DNA using flow cytometry and immunocytochemical findings in 16 cases of cardiac myxomas. Pathological. 1991;83:295-300.
Bermudez YG, Medrano YP, Bermudez YR, Lagomasina HD. Tratamiento quirúrgico urgente en paciente con mixoma auricular izquierdo pediculado. CorSalud. 2009;1(14).
Vargas BJ, Vargas AG, Roldán FJ, Vázquez AC, Vásquez Z, Erdmenger O. Mixomas cardiacos y complejo de Carney. Rev Esp Cardiol. 2008;61(11):1205-9.
Notas
Notas de autor
drvicsurgery1@yahoo.com.mx
Información adicional
PMID PubMed: 28092256
Enlace alternativo
http://revistamedica.imss.gob.mx/editorial/index.php/revista_medica/article/view/1140/1759 (pdf)