Casos clínicos
Doble neumotórax secundario a único proyectil de arma de fuego: reporte de un caso y revisión de la literatura*
Double pneumotorax secondary to single proyectile weapon: One case report and review of literature
Doble neumotórax secundario a único proyectil de arma de fuego: reporte de un caso y revisión de la literatura*
Revista Médica del Instituto Mexicano del Seguro Social, vol. 55, núm. 4, pp. 532-539, 2017
Instituto Mexicano del Seguro Social
Recepción: 22 Mayo 2015
Aprobación: 11 Septiembre 2015
Resumen:
Introducción: el 25% de las muertes traumáticas son secundarias a trauma de tórax con una mortalidad de 28%. De estas, el trauma cerrado es el mecanismo de lesión más común, en el que el uso de armas de fuego eleva el riesgo relativo. Las cinco lesiones especificas de tórax mas frecuentes son la contusión pulmonar (31.8%), el hemotórax/neumotórax (19.4%), la fractura costal (13.2%) y la lesión diafragmática (7.5%).
Caso clínico: paciente de 25 años con herida por único proyectil de arma de fuego en tórax, la cual le condicionó dificultad respiratoria importante y ameritó vía aérea quirúrgica de urgencia. Se documentó doble neumotórax, laceración aórtica y ruptura de traquea, lo cual requirió manejo en la sala de Emergencias con colocación de sonda endopleural bilateral y posterior reparación quirúrgica.
Conclusión: el conocimiento anatómico y fisiopatológico y el manejo estandarizado con guías internacionales son la base para mantener un elevado índice de sospecha ante un paciente con trauma penetrante de tórax. Además, mejoran la posibilidad de diagnóstico y tratamiento oportuno.
Palabras clave: Traumatismos torácicos, Neumotórax, Heridas por arma de fuego, Balística.
Abstract:
Background: The 25% of traumatic deaths are due to chest trauma with a mortality of 28%, and closed trauma is the most common mechanism of injury. The use of firearms increases the relative risk of death. The five more frequent specific chest injuries are lung contusion (31.8%), hemothorax/pneumothorax (19.4%), rib fractures (13.2%), and diaphragmatic injury (7.5%).
Clinical case: Patient of 25 years with a single firearm projectile wound in the chest who assisted to the emergency room (ER) with significant respiratory distress and meriting surgical emergency airway, documenting double pneumothorax, aortic laceration and rupture of the trachea, which required management in the ER with bilateral chest tube placement and subsequent surgical repair.
Conclusion: Anatomical and pathophysiological knowledge and the standardized management of the international guidelines are the key to keep a high level of suspect with a patient with chest penetrating trauma. Besides they improve the possibility of diagnosis and timely treatment.
Keywords: Thoracic injuries, Pneumothorax, Gunshot wounds, Ballistics.
Trauma penetrante de tórax
Perspectiva histórica
En el año 1600 a. C., en el papiro de Edwin Smith, escrito probablemente por Imhotep, se encontraron los primeros casos de trauma de tórax. En el año 400 d. C., Hipócrates describió la hemoptisis al encontrarse ante una fractura costal y creó el vendaje de tórax para su tratamiento. En el 100 d. C. Galeno notó que las heridas cardiacas son uniformemente fatales. En el siglo XVIII William Bornfield realizó la primera toracentesis y describió la fisiopatología del neumotórax a tensión. En 1839, tras la invención del estetoscopio, Guillaume Dupuytren describió el término contusión pulmonar. En la Segunda Guerra Mundial hubo un descenso de la mortalidad de 24 a 8% respecto a la Primera Guerra Mundial, esto debido a que se le dio una mayor importancia a las técnicas de asepsia, antisepsia, control de trasfusión sanguínea, succión traqueal, además de que surgió la antibioticoterapia y hubo una mejoría en el tipo y material de sutura y en nuevas técnicas quirúrgicas.1,2
Epidemiología
En el contexto bélico, el Joint Theater Trauma Registry reportó entre 2002 y 2008 33 755 casos de pacientes civiles y militares, de los cuales 4.9% presentó trauma de tórax. El Injury Severity Score (ISS) promedio fue de 14.9. Se realizaron 4232 procedimientos, 50% de los pacientes fueron civiles, 34% de fuerzas armadas americanas y el resto de fuerzas de coalición. La mortalidad general fue de 12%.3
En la población militar las cinco lesiones especificas de tórax más frecuentes fueron: contusion pulmonar (31.8%), hemotórax/neumotórax (19.4%), fractura costal (13.2%) y la lesión diafragmática (7.5%). En esta población el mecanismo de lesión tiene que ver en 43% con explosiones, en 40% es penetrante, en 12% se trata de un trauma cerrado y en 5% tiene que ver con otros mecanismos. En el contexto civil esto cambia drásticamente.
En cuanto a la relación hombre-mujer, esta es de 6.1:1. El 25% de las muertes traumáticas son secundarias a trauma de tórax (la mortalidad es de 28%). El uso de armas de fuego respecto a las armas cortopunzantes eleva el riesgo relativo a 11.9. La mortalidad en presencia de lesion toracoabdominal, respecto a una lesión torácica pura eleva el riesgo relativo 4.8 veces más.4,5
Las lesiones vasculares se presentan en un 90% en el trauma abierto de tórax, en una serie reportada de 5760 pacientes.6
Fisiopatología
Los mecanismos de lesión traumática implicados en la mortalidad de pacientes por trauma penetrante de tórax son la oclusion de la vía aérea (lesiones traqueobronquiales, secreciones pulmonares, hemorragia), la alteracion en la oxigenación y ventilación (neumotórax, hemotórax, contusión pulmonar), la exanguinación, la falla cardiaca (contusion cardiaca) y el taponamiento cardiaco. Es la habilidad para reconocer este tipo de lesiones el factor principal para la reducción de la mortalidad.5
Heridas por arma de fuego
Los factores que elevan la morbimortalidad son las características del arma, la distancia, la velocidad del proyectil, el trayecto, la deformabilidad y la resistencia de los tejidos. Las armas de baja velocidad (< 2500 ft/s) son las pistolas, los revólveres o aquellas armas con mecanismo de aire comprimido, mientras que las armas de alta velocidad (> 2500 ft/s) hacen referencia a rifles y armamento militar. Cuanto mayor es la energía cinética, mayor es la formación de cavitaciones temporales y permanentes, razón por la cual pueden ser afectados órganos vecinos por efecto de su onda de expansión. Los órganos densos, como el hueso y el hígado, absorben mayor energía, lo cual resulta en mayor daño; caso contrario ocurre con órganos como los pulmones, con lo que se demuestra el mayor número de intervenciones en nivel abdominal.5,7
La formación de neumotórax
El neumotórax se define como la presencia de aire en la cavidad pleural y en el contexto traumático se clasifica como abierto (que presenta solución de continuidad) o cerrado (con la caja torácica intacta), simple (sin afección de corazón o estructuras mediatinales) o a tensión.7,8
En el paciente despierto, la presión intrapleural es subatmosférica y tiene rangos entre 25 y 28 cm H2O; la capacidad inspiratoria máxima logra presiones intrapleurales de 280 cm H2O.9
El neumotórax a tensión se presenta por lesión de la pleura parietal, visceral o del árbol traqueobronquial. Ocurre cuando entra aire al espacio pleural con un mecanismo univalvular, con lo que se evita la salida del mismo, aumenta la presión intrapleural y así se limita la espiración. Con esto el volumen aumenta con cada inspración y como resultado la presión se eleva en el hemitórax afectado, desplazando al mediastino hacia el hemitórax contralateral y comprimiendo no solo el pulmón sino tambien la auricula derecha, con lo que se compromete de tal forma el retorno venoso y disminuye la precarga con posterior falla cardiaca. El neumotórax abierto se reconoce por la entrada de aire a través de la herida, que es sincronizada con la respiración. Esto se debe a que el defecto en la cavidad torácica ejerce menos resistencia al flujo de aire que la traquea.7,8,9
Caso clínico
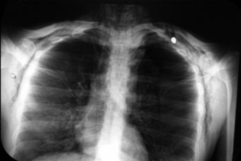
Paciente varón de 25 años de edad. Estilista, soltero, sin antecedentes alérgicos, quirúrgicos o crónico-degenerativos; ingresó al hospital a las 21:58 horas del 11 de agosto de 2014 por su propio pie, con el antecedente de haber sido agredido por terceras personas una hora previa a su ingreso. El paciente presentó una herida por proyectil de arma de fuego en el tórax anterior (figura 1), lo cual le produjo una considerable dificultad respiratoria y un aumento del volumen local. A su llegada el paciente estaba consciente, ansioso, cooperador y empleaba un lenguaje apropiado. Sus signos vitales eran de 130/80 de presión arterial, frecuencia cardiaca de 110 por minuto, frecuencia respiratoria de 28 por minuto, temperatura de 36 ºC y oximetría 96% al aire ambiente. Su vía aérea fue permeable en sedestación. Asimismo, el paciente presentó ventilación y movilidad torácica adecuadas ante la herida por proyectil de arma de fuego (orificio de entrada), la cual estaba a nivel infraclavicular derecho; no había hemorragias externas visibles y sus pulsos periféricos eran de buena intensidad, dado que eran rítmicos y simétricos.

En la segunda revisión el cráneo del paciente fue normocéfalo (sin hundimientos), con cabellera prominente, sin otorragia ni rinorragia. El cuello presentó enfisema subcutáneo en caras laterales y anterior, así como pulsos carotídeos identificables y bilaterales de buena intensidad. Las yugulares externas no tenían ingurgitación; a la palpación de la tráquea, esta estaba central, no era dolorosa y tampoco desplazable. Al cambiar al paciente a la posición de decúbito dorsal, inició la dificultad respiratoria y hubo huellas de hemorragia activa en cavidad oral. El tórax posterior presentó estertores subcrepitantes en ambos ápices, con disminución del murmullo vesicular generalizado y matidez en la base izquierda pulmonar. El tórax anterior presentó una herida por proyectil de arma de fuego a nivel infraclavicular derecho con bordes regulares no sangrante, exactamente en la línea media clavicular y sin evidencias de orificio de salida. El abdomen estaba blando y depresible, sin datos de irritación peritoneal; la pelvis estaba estable, y las extremidades inferiores y superiores sin deformidades, con pulsos, movilidad y sensibilidad conservada con fuerza por escala de Daniels de 5/5 en las cuatro extremidades.
El paciente ingresó a las 22:00 horas en forma urgente al área de choque para el aseguramiento de la vía aérea mediante intubación orotraqueal con secuencia de intubación rápida, la cual no se pudo realizar, por lo que se decidió hacer traqueotomía de urgencia en el servicio de Cirugía General. Se encontró perforación de la tráquea y durante este procedimiento el paciente presentó parada cardiaca, a la cual respondió a un ciclo de RCP y administración de 1 mg de adrenalina. Asimismo, se tomaron Rx de Tórax y se observó hemoneumotórax izquierdo y neumotórax derecho. Se colocó sonda endopleural bilateral, así como vía central sin accidentes ni incidentes evidentes.
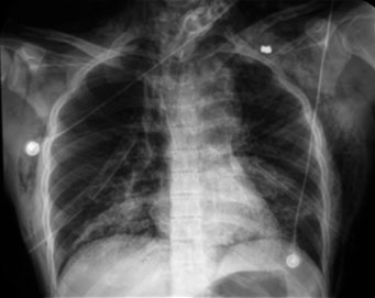
La radiografía de tórax, además de presentar evidencia de hemoneumotórax izquierdo y neumotórax derecho, mostró enfisema subcutáneo severo (figura 2), por lo que fue necesaria la colocación de sondas endopleurales bilaterales.

Asimismo, una radiografía tomada después de la colocación de sonda endopleural demostraría la imagen de apical izquierda y ensanchamiento mediastinal, lo cual sugirió lesión de aorta (figura 3).

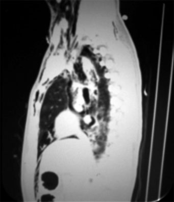
La tomografía computada de cuello y tórax mostró evidencia de neumotórax residual derecho de menos del 10% y neumotórax izquierdo resuelto. También hubo la presencia de un pequeño hematoma al nivel del tronco supraaórtico del lado izquierdo con neumomediastino (superior) (figuras 4 y 5).


Durante la realización de la tomografía axial computarizada (TAC), el paciente presentó una nueva parada cardiaca, a la cual respondió tras dos ciclos de RCP y 1 mg de adrenalina.
El paciente se mantuvo inestable y hasta ese momento el pleurovac izquierdo tuvo un gasto de 1100 mL de contenido hemático. Fue valorado por el servicio de Cirugía General, el cual refirió que había una alta posibilidad de requerir toracotomía por probable lesión de grandes vasos o hemopericardio. Por lo tanto se trasladó al paciente a las 01:20 hrs a un hospital civil y fue atendido por cirugía de tórax cardiovascular ante el reporte de laceración aortica pequeña. Se hizo la intervencion quirúrgica sin complicaciones y el paciente fue referido a otra unidad hosptalaria para cuidados postquirúrgicos.
Tratamiento del trauma penetrante de tórax
El tratamiento inicial en un paciente con trauma de tórax debe ser realizado por el personal del servicio de urgencias, guiado por el ATLS (cuyo nombre viene del inglés Advanced Trauma Life Support).10Se debe asegurar una vía aérea y proteger el cuello (incluso en lesiones penetrantes) hasta descartar una lesión cervical. En caso de existir una herida en cuello o laceración, el paciente puede necesitar una vía aérea establecida quirúrgicamente (cricotiroidotomía o traqueotomía) También se debe hacer una búsqueda de alteraciones a la ventilacion, así como de zonas de sangrado activo.11Dicho protocolo debe incluir acceso intravenoso. Debe llevarse el registro de la historia clínica en relación con el trauma, la posición del paciente, el tiempo de lesión, el uso de drogas, la posibilidad de embarazo, comorbilidades, medicamentos, anticoagulantes, antecedentes médico-quirúrgicos, etcétera.11
Todos los pacientes deben ser monitorizados y evaluados repetidas veces por la presencia de lesiones ocultas, ya que pacientes con lesiones graves pueden presentar hipoxia severa, choque hipovolémico, choque cardiogénico, taponamiento cardiaco, lesión cardiaca directa o neumotórax a tensión (figura 6).11

Manejo específico de lesiones torácicas
A continuación describimos el manejo específico que se debe aplicar ante las distintas lesiones torácicas:
Lesión en esófago y árbol traqueobronquial: la vía aérea y el esófago deben ser evaluados en pacientes con trauma de tórax, broncoscopia, gastrografía, esófago-gastroduedonoscopia flexible (es menos favorable). Los proyectiles pueden no penetrar el esófago pero pueden causar necrosis y perforación retardada.
Heridas penetrantes: cuando la lesión es una herida penetrante, se debe conocer el tamaño y la forma del instrumento, así como la dirección, el ángulo de ataque, la posición del paciente y la actividad en el momento del ataque. Estos datos pueden ayudarnos a identificar posibles órganos y estructuras lesionadas. Cuando los pacientes presenten lesiones penetrantes, es mejor remover el objeto en quirófano.
Taponamiento cardiaco: siempre se debe sospechar de la presencia de taponamiento en todo paciente con lesión penetrante de tórax con signos vitales inestables. El taponamiento cardiaco causa una disminución en la perfusión cardiaca y la subsecuente falla cardiaca y choque cardiogénico. Su cuadro clínico incluye disnea, taquicardia, pulso paradójico, presión venosa yugular elevada y cardiomegalia en radiografía de tórax. Se recomienda la pericardiocentesis como manejo inicial de tamponade. Si el paciente presenta lesión torácica concomitante a lesión abdominal, la realización de ventana pericárdica subxifoidea está indicada (o la realización de FAST) junto con laparotomía exploradora.
Hemotórax: cada hemotórax puede alojar rápidamente más de la mitad de la sangre total de un paciente antes de que los datos clínicos lleguen a ser obvios. La percusión mate y la disminución de ruidos respiratorios o el jadeo pueden sugerir hemitórax. El tubo endopleural descomprime el aire o drena el sangrado y sirve para normar la conducta para futuras opciones. El sangrado rápido y continuo, la fuga de aire constante con ausencia de expansión del pulmón, la presencia de contenido gástrico o líquido con bajo pH son indicaciones para cirugía. La colocación del tubo torácico debe hacerse para determinar la posición del tubo y la reexpansión del pulmón. La indicación de toracotomía es 1500 mL de sangrado o más o si es más de 250 mL/h, o 20 cc por k de peso o 2 cc por k de peso por hora.
Neumotórax: cuando se sospecha de neumotórax a tensión puede colocarse un catéter a nivel del segundo espacio intercostal en la región anterior o colocar un tubo en la línea axilar anterior tercera o en el cuarto espacio intercostal.
El uso de antibioticoterapia y la colocacion de sonda endopleural se sugiere a pesar de que la Eastern Association for the Surgery of Trauma (EAST) concluye que no hay nivel de recomendación para el uso de antibiótico profiláctico en pacientes con sonda endopleural después de trauma. Con base en algunos estudios pequeños de mas de 10 años de antigüedad y un metaanalisis de 1234 pacientes, la profilaxis antibiótica tubo una razón de momios de infecciones de 0.24 con un intervalo de confianza del 95% con un rango de 0.12 a 0.49. Pacientes con profilaxis antibiótica han demostrado una reducción tres veces mayor de empiema que aquellos que no la recibieron, con una razón de momios de 0.32, un intervalo de confianza al 95% de 0.17-0.61. En pacientes con trauma abierto de tórax se reduce el riesgo de infección con una razón de momios de 0.28 y un rango de 0.14 a 0.57, mientras que en pacientes de trauma cerrado de tórax no hubo efecto profiláctico. Por ende, la profilaxis antibiótica reduce las complicaciones infecciosas.12,13,14
Lesiones diafragmáticas: una pequeña laceración diafragmática como resultado de un traumatismo penetrante puede tener poco efecto, pero puede estar asociada con lesiones abdominales. A más largo plazo puede conducir a la hernia con consecuencia fatal. La toracoscopia proporciona un método mínimamente invasivo para evaluar y reparar el diafragma antes de que surjan complicaciones.15
Embolismo aéreo: la incidencia de embolismo aéreo sistémico ha sido estimada en 4-14% con dos tercios resultado de lesión penetrante y un tercio por trauma de pulmón. El aire puede embolizar vasos cerebrales o arterias coronarias, ocasionando déficit neurológico, convulsiones, choque cardiogénico, isquemia miocárdica o infarto.
Cuando se sospecha de embolismo aéreo, el paciente debe ser colocado en posición de trendelemburg y decúbito lateral izquierdo para dispersar el aire que se encuentra en el ventrículo derecho o que el paciente aspire por línea central. La toracotomía o grapa de hilio son usados para prevenir la propagación de los émbolos de aire. El uso de ventilador con lesión y volumen pueden reducir la incidencia y severidad del embolismo aéreo.11
Consideramos que se deben abordar los diferentes ámbitos de forma sistemática y establecer un manejo más adecuado según el caso:
Ambito toraco-abdominal: para detectar lesiones a estos niveles de forma rápida se usa el FAST; con ello podemos establecer rápidamente si existe sangrado intrapleural, pericárdico o abdominal.
Ambito cardiaco: se debe considerar en heridas localizadas entre el hueco supraesternal, el ombligo y los pezones un ecocardiograma, dado que en estos pacientes puede descartar una lesión cardiaca significativa.
Ambito vascular: las principales arterias afectadas son la mamaria interna y las intercostales pueden requerir de toracotomía urgente.
Ambito hemodinámico e importancia de la hipotensión: se recomienda una hipotensión permisiva; el objetivo es controlar el sangrado antes de regresar la presión arterial a la normalidad. Se debe evitar una reanimación agresiva con líquidos, ya que esta se asocia a síndromes compartimentales de abdomen, insuficiencia renal, coagulopatías dilucionales e insuficiencia respiratoria, lo que lleva a estancias prolongadas en UCI.
Toracotomía en la sala de urgencias
La abertura inmediata del tórax en la sala de urgencias para el paciente inestable ha sido realizada con varios grados de éxito, lo cual ha generado controversia. El objetivo inmediato de este procedimiento es remitir el taponamiento cardiaco, reparar lesiones cardiacas, dar masaje cardiaco abierto, controlar una hemorragia intratorácica (corazón o pulmón), un embolismo aéreo masivo o una fístula broncopleural.11 Las posibilidades de reanimación son altas cuando el paciente es joven, presenta una sola herida e ingresa con signos vitales. La toracotomía de emergencia debe ser considerada solo como “una cirugía de control de daños”.
La toracotomía izquierda es el procedimiento de elección para obtener un acceso a la aorta, vasos suclavios izquierdos y esófago distal. La toracotomía derecha es la adecuada para visualizar tráquea, carina y esófago medio.
La incisión más versátil es la toracotomía anterolateral (también llamada clam shell), la cual se realiza con el paciente en posición supina y permite la visualización de la región contralateral. Esta da excelente exposición a corazón, grandes vasos y contenido de ambos hemitórax.
La esternotomía media es adecuada para exponer mediastino anterior y medio; es especialmente usada para acceder a corazón, carina, vasos inominados, carótida derecha, lesiones que involucran pulmones o hilio pulmonar. Se usa principalmente para lesiones penetrantes en la región superoanterior de tórax.
Así pues, la toracotomía de emergencia se justifica según su beneficio fisiológico, a saber:
Libera el taponamiento cardiaco, dado que hay una liberación del gasto cardiaco y un mejor control de la hemorragia.
Permite un control vascular intratorácico o de la hemorragia cardiaca, puesto que facilita la resucitación de fluidos, mejorando el gasto cardiaco y la perfusión miocárdica.
Posibilita un control de las embolias aéreas o las fístulas broncopleurales, pues resuelve la isquemia miocárdica y previene la lesión neurológica.
Permite el masaje cardiaco abierto, ya que mejora el gasto cardiaco y la perfusión coronaria, con volúmenes de llenado ventricular limitados.
Posibilita el cross clamping de aorta descendente, dado que redistribuye el volumen sanguíneo al miocardio y al cerebro, limitando la perfusión subdiafragmatica.16
Un estudio sudafricano llevado a cabo entre 2006 y 2009 abarcó 1186 pacientes, de los cuales 9% requirió tratamiento con cirugía de emergencia; se identificó lesión cardiaca en su mayoría, sangrado en parénquima pulmonar (n = 12), lesión vascular intercostal (n = 10) y de grandes vasos (n = 6), lesión pericárdica sin lesión miocárdica (n = 2). Hubo una mortalidad de 10%.17
Pronóstico
En este tipo de pacientes el pronostico para mortalidad se ensombrece con factores de riesgo reportados por Onat et al., como puntaje de ISS, Chest AIS Score, Toracic Trauma Severity Score, hipotensión arterial sistólica, volumen de transfusion sanguínea, lesión diafragmática y asociación con trauma abdominal.18,19,20
Discusión
Los pacientes traumatizados tienen una alta probabilidad de presentar trauma de tórax; sin embargo, fuera del contexto bélico, esta probabilidad disminuye, exceptuando el caso del traumatismo múltiple, que ocurre de manera más común en accidentes de vehículos automotores. Este caso no pertenecía a ninguno de ellos y se encontró con una lesión torácica compleja con más de una lesión inminentemente fatal que ameritó manejo multidisciplinario. Esto va de acuerdo con las estadisticas en cuanto a la alta morbimortalidad del trauma penetrante de tórax, en gran medida por el alto riesgo de lesión vascular. A pesar de que se desconocen las características del arma de fuego, se sabe que fue de baja velocidad, pese a lo cual causó daño a múltliples estructuras vecinas, aun siendo un proyectil único. Lesiones como estas han sido poco documentadas en nuestro ambiente de trabajo y con este mecanismo de lesión, por lo que se decidió compartir la experiencia con la comunidad médica. Este paciente fue atendido con base en las recomendaciones de los protocolos ATLS de primera instancia, con resultados favorables, logrando, con una adecuada coordinación entre servicios y hospitales, ya que no fue recibido en un hospital de trauma, la referencia a un hospital especializado para tratamiento quirúrgico multidisciplinario.
Conclusiones
El conocimiento anatómico y fisiopatológico y el manejo estandarizado con guías internacionales son la base para mantener un elevado índice de sospecha ante un paciente con trauma penetrante de tórax y mejoran la posibilidad de diagnóstico y tratamiento oportuno en el paciente; incluso de ante sintomatología precoz. La solicitud de estudios de imagen no convencionales está indicada para descartar patologías que ponen en riesgo inminente la vida, incluso desde la sala de choque si se cuenta con la sospecha fundada en un mecanismo de lesión grave.
Referencias
1. Khandhar SJ, Johnson SB, Calhoon JH. Overview of thoracic trauma in the United States. Thorac Surg Clin. 2007 Feb;17(1):1-9.
2. Asensio J, Stewart M, Murray J, Fox A, Falabella A, Gomez H, et al. Penetrating Cardiac Injuries. Surgical Clinics of North America. August 1996;76(4):645-997.
3. Propper BW, Gifford SM, Calhoon JH, McNeil JD. Wartime thoracic injury: perspectives in modern warfare. Ann Thorac Surg. 2010 Apr;89(4):1032-5; discussion 1035-6.
4. Loogna P, Bonnano F, Bowley D, Doll D, Grgensohn R, Smith M, et al. Emergency thoracic surgery for penetrating, non-mediastinal trauma. ANZ J Surg. 2007 Mar;77(3):142-5.
5. Khandhar SJ, Johnson SB, Calhoon JH. Overview of thoracic trauma in the United States. Thorac Surg Clin. 2007 Feb;17(1):1-9.
6. Wall M, Granchi T, Liscum K, Mattox K. Penetrating Thoracic vascular Injuries. Surgical Clinics of North America. August 1996;76(4):749-61.
7. Kuhajda I, Zarogoulidis K, Kougioumtzi I, Huang I, Li Q, Dryllis G, et al. Penetrating trauma. J Thorac Dis. 2014;6(S4):S461-5.
8. Sharma A, Jindal P. Principles of diagnosis and management of traumatic pneumothorax. J Emerg Trauma Shock. 2008 Jan;1(1):34-41.
9. Leigh-Smith S, Harris T. Tension pneumothorax—time for a re-think? Emerg Med J. 2005 Jan;22(1):8-16.
10. Beattie R, Mhandu P, McManus K. Penetrating thoracic trauma. Surgery (Oxford). May 2014;32(5): 249-53.
11. Badmanaban B, McManus KG, Graham ANJ, MacGuigan JA. Penetrating injuries of the chest. Surgery (Oxford). May 2004;22(5):117-20. Disponible en http://ac.els-cdn.com/S0263931906700096/1-s2.0- S0263931906700096-main.pdf?_tid=c99d869e-fd33-11e6-b07c-00000aab0f6c&acdnat=1488231135_aa0e2f7178c5e6cdc106e74064351c72
12. McGillicuddy D, Rosen P. Diagnostic dilemmas and current controversies in blunt chest trauma. Emerg Med Clin North Am. 2007 Aug;25(3):695-711, viii-ix.
13. Gonzalez RP, Holevar MR. Role of prophylactic antibiotics for tube thoracostomy in chest trauma. Am Surg. 1998 Jul;64(7):617-20; discussion 620-1.
14. Bosman A, de Jong MB, Debeij J, van den Broek PJ, Schipper IB. Systematic review and meta-analysis of antibiotic prophylaxis to prevent infections from chest drains in blunt and penetrating thoracic injuries. Br J Surg. 2012 Apr;99(4):506-13.
15. Bastos R, Baisden CE, Harker L, Calhoon JH. Penetrating thoracic trauma. Semin Thorac Cardiovasc Surg. 2008 Spring;20(1):19-25.
16. Hunt PA, Greaves I, Owens WA. Emergency thoracotomy in thoracic trauma-a review. Injury. 2006 Jan;37(1):1-19.
17. Clarke DL, Quazi MA, Reddy K, Thomson SR. Emergency operation for penetrating thoracic trauma in a metropolitan surgical service in South Africa. J Thorac Cardiovasc Surg. 2011 Sep;142(3):563-8.
18. Onat S, Ulku R, Avci A, Ates G, Ozcelik C. Urgent thoracotomy for penetrating chest trauma: analysis of 158 patients of a single center. Injury. 2011 Sep; 42(9):900-4.
19. Mommsen P, Zeckey C, Andruszkow H, Weidemann J, Frömke C, Puljic P, et al. Comparison of different thoracic trauma scoring systems in regards to prediction of post-traumatic complications and outcome in blunt chest trauma. J Surg Res. 2012 Jul; 176(1):239-47.
20. Hasler RM, Nüesch E, Jüni P, Bouamra O, Exadaktylos AK, Lecky F. Systolic blood pressure below 110 mmHg is associated with increased mortality in penetrating major trauma patients: Multicentre cohort study. Resuscitation. 2012 Apr;83(4):476-81.
Notas
Notas de autor
jorgefernando007@hotmail.com
Información adicional
PubMed: https://www.ncbi.nlm.nih.gov/pubmed/28591509
Enlace alternativo
http://revistamedica.imss.gob.mx/editorial/index.php/revista_medica/article/view/1569/2197 (pdf)