Casos clínicos
Enfermedad asociada a IgG4: reporte de un caso*
IgG4-related disease: a case report
Enfermedad asociada a IgG4: reporte de un caso*
Revista Médica del Instituto Mexicano del Seguro Social, vol. 55, núm. 6, pp. 796-800, 2017
Instituto Mexicano del Seguro Social
Recepción: 10 Agosto 2016
Aprobación: 23 Enero 2017
Resumen: La enfermedad relacionada con IgG4 es una condición fibroinflamatoria en la que existe elevación de IgG4, afección a nivel de glándulas salivares, lacrimales, páncreas, ganglios linfáticos y pulmón. Para su diagnóstico se requiere la identificación de un patrón histológico sugestivo que muestre infiltrado linfoplasmocitario denso, fibrosis focal o flebitis a nivel de una glándula, más de 10 células positivas para IgG4 por campo de gran aumento y relación de IgG4/IgG arriba de 40% en plasma. Describimos el caso de una paciente que presentó enfermedad de Mikulicz y cumplió con los datos histológicos para diagnóstico de enfermedad relacionada con IgG4.
Palabras clave: Enfermedad de Mikulicz, Inmunoglobulina G, Linfadenopatía, Flebitis.
Abstract: IgG4-related disease is an inflammatory condition characterized by high levels of IgG4. It affects salivary and lacrimal glands, pancreas, lymph nodes, lungs or kidney. The diagnosis is based on identifying a histological pattern with a dense lymphocyte and plasmacyte infiltration, focal fibrosis or phlebitis, finding more than 10 IgG4 positive cells per high power field and/or IgG4/IgG ratio in plasma higher than 40%. We present a patient with Mikulicz’s disease who meets histological findings required for the diagnosis of IgG4 related disease.
Keywords: Mikulicz' Disease, Immunoglobulin G, Lymphadenopathy, Phlebitis.
La inmunoglobulina G4 (IgG4) es la menos común de las cuatro subclases de inmunoglobulina G. Abarca del 3 al 6% de la totalidad de la fracción de IgG. La enfermedad relacionada con IgG4 es una condición fibroinflamatoria caracterizada recientemente, la cual se manifiesta con recaídas y remisiones, lesiones tumefactas, elevación de IgG4, respuesta a glucocorticoides. La etiología aún no se conoce por completo, aunque se ha relacionado con alteraciones en el sistema inmune adquirido. Se ha encontrado baja expresión de genes relacionados con la inmunidad innata, entre los que se incluyen aquellos que codifican para la proteína de Charcot Leyden, la alfa-defensina 3 y 4, y los receptores de IL -8. Además se ha identificado la presencia de anticuerpos antiprohibitina en pacientes, presentes en el 73.5% de los pacientes con pancreatitis autoinmune, en el 53.3% de los pacientes con enfermedad de Mikulicz y en 54.5% de los pacientes con fibrosis retroperitoneal.1,2,3
La enfermedad sistémica relacionada con IgG4 se caracteriza por lesiones pseudotumorales que involucran uno o más órganos, los cuales se pueden ver afectados al mismo tiempo o de forma sucesiva. Las manifestaciones más comunes incluyen pancreatitis autoinmune, periaortitis crónica, fibrosis retroperitoneal (enfermedad de Ormond) y enfermedad de Mikulicz.4
La paciente que se describe a continuación presentó linfadenopatía de forma inicial, la cual se ha reportado hasta en el 80% de los casos. Además manifestó afección en glándulas salivares y lacrimales (lo cual es descrito en la literatura como sitio de afección inicial). Las adenopatías se caracterizan por ser asintomáticas, de menos de 2 cm a nivel cervical, infraclaviculares, mediastinales, se presentan en forma bilateral, en cadena mamaria interna, así como retroperitoneales.5
Se cree que la fisiopatología puede estar relacionada con la exposición prolongada a un antígeno y el correspondiente aumento de la respuesta TH2. Para diagnosticar esta patología se requiere la identificación del patrón histológico, así como un aumento en la IgG4 plasmática, y los siguientes patrones histológicos sugieren la presencia de esta patología:
Infiltrado linfoplasmocitario denso
Fibrosis focal
Flebitis obliterativa
Es importante contar con un cociente IgG4/IgG de más del 40%, además de buena respuesta a tratamiento con esteroide.6
Dado que la enfermedad relacionada con IgG4 tiene una forma de presentación muy heterogénea y llegar al diagnóstico de esta entidad puede tardar de 4 a 60 meses, según reportes de algunas series, el objetivo de presentar este caso es proporcionar información sobre las características clínicas y la correlación con los hallazgos histológicos y serológicos.
Se da a conocer a continuación el caso de una paciente que cumple con los datos histológicos para enfermedad relacionada con IgG4, así como con la presentación clínica característica de la patología.
Observación clínica
Mujer de 47 años, casada, ama de casa, sin antecedentes personales patológicos. Su padecimiento inició en el 2008 con adenopatía axilar derecha asintomática. Se le hizo biopsia escisional que reportó linfadenitis mixta inespecífica y la paciente no recibió tratamiento. Al año siguiente, la paciente presentó nueva adenopatía axilar con biopsia que reveló hiperplasia folicular reactiva sin recibir manejo específico, por lo que fue estudiada en su hospital general de zona.
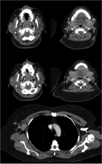
En el 2010 la paciente tuvo un aumento de volumen en el párpado superior de forma bilateral, adenopatías cervicales indoloras, además de que refirió datos de sequedad ocular y oral. El servicio de Oftalmología realizó tomografía computarizada (TC) de órbitas en la cual se apreció aumento de volumen y lesiones sólidas en fosas lacrimales bilaterales. En la TC de cuello-tórax-abdomen se observó crecimiento parotídeo derecho con densidad heterogénea y adenopatías cervicales bilaterales (figura 1), infraclaviculares, mediastinales, en cadena mamaria interna y retroperitoneales. Se realizó biopsia de párpado superior izquierdo con reporte de linfoma no Hodgkin de bajo grado, con inmunohistoquímica positiva para CD20 en forma difusa, 100% de células, negativo para proteína S-100, kappa, lambda y citoqueratinas.

Crecimientos ganglionares (7 y 10 mm) bilaterales en cuello.
Crecimientos ganglionares axilares bilaterales (32 x 20 mm)
La paciente fue referida al servicio de Hematología, en el cual se estableció la ausencia de síntomas B, se tomó biopsia de hueso con reporte de médula ósea normocelular y se solicitó revisión de laminillas con inmunohistoquímica de biopsias previamente realizadas de ganglio y párpado, las cuales reportaron párpado con hiperplasia linfoide policlonal y esclerosis, con IgG4 positiva, sugerente de síndrome de Sjögren y ganglio con hiperplasia folicular reactiva con proliferación vascular, con lo que se descartó la posibilidad de linfoma.
Ante probable síndrome de Sjögren, fue evaluada por el servicio de Reumatología, en el que se estableció que la paciente tenía síndrome Sicca con factor reumatoide elevado, con anti-Ro y La negativos. Ante la ausencia de una conclusión diagnóstica la paciente fue referida a Medicina Interna. Al ingresar a nuestro servicio destacaba la presencia de dolor en mesogastrio e hipocondrio derecho y a la exploración física: TA 120/80 mm Hg, FC 75 lpm, FR 18/min, peso 83 kg, talla 1.52 m. La paciente cursaba con aumento de volumen de ambos párpados superiores, glándulas lagrimales a la palpación con aumento de tamaño, asimetría facial a expensas de crecimiento parotídeo derecho, glándulas submaxilares cuyo tamaño aumentó e indoloras (figura 2), cuello sin otra alteración, a nivel cardiopulmonar con murmullo vesicular y ruidos cardiacos normales, abdomen blando globoso, ausencia de adenomegalias, Murphy positivo, ausencia de adenopatías periféricas y extremidades sin alteración.

Por los antecedentes de xerostomía y xeroftalmia, tumefacción de glándulas salivares y lagrimales, adenopatías, así como por la presencia de factor reumatoide y reporte histopatológico con positividad para IgG4, se inició protocolo de estudio.
Los parámetros de la química sanguínea y la biometría hemática se reportaron en rangos normales, y la determinación de enzimas reportó AST 228 U/L, ALT 297 U/L, FA 244 U/L, DHL 547U/L, BT 7.61 mg/dL a expensas de BD 4.89 mg/dL, proteínas totales 8.4 g/dL (6.3-8.3), albúmina 4.2 g/dL, globulina 4.2 g/dL (2.5-3.1), RA/G 1.0. El panel viral para HIV, VHB, VHC y TORCH fue negativo. El perfil tiroideo, el examen general de orina y la función renal presentaron valores normales.
Los anticuerpos antinucleares presentaron valores de 1:160 en homogéneo, PCR 11 mg/dL, VSG 47 mm/h (0.9-14.9), C3 116 mg/dL, C4 9 mg/dL (10-50 mg/dL), factor reumatoide 44 UI/mL (0-15), ENAs totales negativos, IgG 2130 mg/dL (700-1800); el IgA, el IgM y el IgE fueron normales. La radiografía de tórax fue normal. Se realizó ultrasonido de cuello y parotídeo que reportó glándulas parótidas hiperecogénicas, multilobuladas con lesiones quísticas; glándulas submaxilares hipoecoicas, multilobuladas y con conductos discretamente ectásicos e irregulares. El gammagrama de parótidas mostró la presencia de sialoadenitis crónica.
Ante la alteración de globulinas séricas, con elevación de inmunoglobulina total IgG, el servicio de Inmunología y Alergia sospechó que estaba ante la presencia de síndrome de Mickulicz y realizó proteinograma electroforético, que evidenció incremento de la fracción gamma de 2.56 g/dL (0.6-1.10), 30.5% (9.0-16), y realización de subclases de IgG: IgG total 3260 mg/dL ( 483-1225), IgG1 13.2 g/L (4.0-10.1), IgG2 5.9 g/L (1.6-7.8), IgG3 0.71 g/L (0.03-2.0), IgG4 12.7 g/L (0.03-2.0), lo cual mostró una elevación predominante de subclase de la IgG4.
Dado que la pancreatitis autoinmune tipo 1 se asocia con la enfermedad por IgG4 y ante la presencia de dolor abdominal con elevación enzimática y de bilirrubinas se realizó USG abdominal y se hospitalizó para descartar la presencia de pancreatitis o colangitis asociada a IgG4. El estudio reportó colecistitis crónica litiásica, con hígado, bazo y páncreas normales.
Después de corroborar el diagnóstico de enfermedad relacionada a IgG4, se inició manejo con esteroide a dosis de 0.65 mg kg día (25 mg cada 24 horas con dosis inicial de 30 mg al día) con dosis de reducción hasta su suspensión, además de 150 mg de cloroquina al día. Se logró una importante mejoría, con disminución del tamaño glandular y con una evolución estable actualmente. Se realizó cirugía programada de colecistectomía sin complicaciones.
Discusión
La enfermedad asociada a IgG4 es una patología de reciente conocimiento. Se calcula que su tasa de incidencia es de 2.63 a 10.2 por millón de habitantes. En Japón la incidencia es de 336 a 1300 casos nuevos por año. Existe predilección étnica, pues en población japonesa se ha visto relación con DRB1 04015 y 0405 y en población coreana con DQB1. En cuanto a su fisiopatología se sabe que existe una alteración en los receptores tipo Toll y NOD. Al existir una mayor activación del receptor tipo Toll 4 se origina un incremento de la interleucina 10, favorecido además por el aumento de células T reguladoras de memoria y convencionales. De igual forma se ha visto un aumento en la respuesta Th2 y mayor producción de IgG4. Estas alteraciones ocasionan activación e infiltración de células plasmáticas, eosinófilos y fibroblastos, así como liberación de citosinas.7
De acuerdo con los criterios diagnósticos del 2011 propuestos por el Comité Japonés para la Investigación sobre la Enfermedad Relacionada con IgG4 (cuadro I), en la paciente se establece enfermedad definida por IgG4. En cuanto al primer criterio, se documentó afección a nivel de glándulas exocrinas. Se integró diagnóstico de enfermedad de Mikulicz al presentar aumento de volumen en dos pares de glándulas exocrinas (submandibulares y lacrimales) durante más de tres meses, niveles de IgG4 por encima de 135 mg/L y relación IgG4/IgG de más del 40%.8,9
El segundo criterio diagnóstico establece un valor de IgG4 por arriba de 135 mg/dL. En la paciente se determinó un valor de 1270 mg/dL. Este valor de corte de 135 mg/dL tiene una sensibilidad de 90% y una especificidad de 60% según algunos estudios. Sin embargo la IgG4 puede estar elevada en otras condiciones, en especial en el 10% de las neoplasias, lo que sugiere que no es un marcador específico.10,11
El tercer criterio diagnóstico se basa en los hallazgos histopatológicos. En la biopsia realizada, los cortes a nivel de piel de órbita izquierda muestran hiperplasia linfoide con plasmocitosis policlonal y esclerosis. La otra característica histológica es el hallazgo de un cociente de IgG4/IgG en plasma mayor de 40% (en la paciente el resultado es de 64%) y la identificación de más de 10 células de IgG4 por campo de gran aumento.2,12
En la figura 3 se muestra un corte histológico de piel periorbitaria. La inmunohistoquímica identifica células CD20, IgG e IgG4. El CD20 identifica células B. La IgG e IgG4 se deben observar en el citoplasma de células plasmáticas.13

a Biopsia de la región periorbitaria con infiltrado inflamatorio polimorfo intenso, el cual muestra predominio de linfocitos y células plasmáticas (HE 10x)
b Coctel de citoqueratinas AE1/AE3 positivo en glándulas lagrimales atróficas
c Positividad a IG4 en más del 10% de la población de células plasmáticas (10x)
d Células plasmáticas periglandulares positivas a IG4 (40x)
e y f Cadenas ligeras kappa y lambda positivas (40x)

Definida 1+2+3
probable 1+3
Posible 1+2
Todos los pacientes sintomáticos con enfermedad por IgG4 activa requieren tratamiento. Los pacientes a quienes no se les otorga tratamiento de inducción con inmunosupresores son más propensos a sufrir complicaciones de la enfermedad y tienen menos probabilidades de alcanzar la remisión. El tratamiento inicial puede ser a base de prednisona de 30-40 mg por día, el cual se puede ajustar según el peso del paciente o la severidad de la enfermedad. Al otorgar tratamiento con prednisona 25 mg diarios y cloroquina 150 mg cada 24 horas se obtuvo disminución del volumen de las glándulas lacrimales, parotídeas y submaxilares, así como la desaparición de las adenomegalias a nivel axilar, inguinal y cervical.14
Conclusiones
La enfermedad sistémica relacionada con IgG4 se presenta con un cuadro clínico heterogéneo, caracterizado por lesiones pseudotumorales que involucran uno o más órganos (glándulas), los cuales se pueden ver afectados al mismo tiempo o de forma sucesiva. El diagnóstico se realiza si cumple con los criterios serológicos, histológicos y ante la respuesta al tratamiento con esteroides.
Referencias
1. Montironi R, Scarpelli M, Cheng L, Lopez-Beltran A, Burattini M, Kirkali Z, et al. Immunoglobulin G4-related disease in genitourinary organs: an emerging fibroinflammatory entity often misdiagnosed preoperatively as cancer. Eur Urol. 2013 Dec; 64(6):865-72. doi: 10.1016/j.eururo.2012.11.056
2. Nakajima A, Masaki Y, Nakamura T, Kawanami T, Ishigaki Y, Takegami T, et al. Decreased Expression of Innate Immunity-Related Genes in Peripheral Blood Mononuclear Cells from Patients with IgG4-Related Disease. PLoS ONE. 2015;10(5):e0126582. doi:10.1371/journal.pone.0126582.
3. Du H, Shi L, Chen P, Yang W, Xun Y, Yang C, et al. Prohibitin Is Involved in Patients with IgG4 Related Disease. PLoS ONE. (2015);10(5):e0125331. http://doi.org/10.1371/journal.pone.0125331
4. Khalil F, Ouslim H, Mhanna T, Barki A. Extensive primary retroperitoneal fibrosis (Ormond’s disease) with common bile duct and ureteral obstruction: A rare case report. Int J Surg Case Rep. 2015;13:5-7. http://doi.org/10.1016/j.ijscr.2015.06.005
5. Divatia M, Kim SA, Ro JY. IgG4-Related Sclerosing Disease, an Emerging Entity: A Review of a Multi-System Disease. Yonsei Medical Journal. 2012;53 (1):15-34. doi:10.3349/ymj.2012.53.1.15.
6. Deshpande V, Zen Y, Chan JK, Yi EE, Sato Y, Yoshino T, et al. Consensus statement on the pathology of IgG4-related disease. Mod Pathol. 2012 Sep; 25(9): 1181-92. 18. doi: 10.1038/modpathol.2012.72
7. Abud C. Enfermedades relacionadas con IgG4 (IgG4-RD), con horizonte no limitado a la enfermedad de Mikulicz. Reumatol Clin. 2013;9(3):133-5.
8. Campos-Esteban J, Méndez-Perles C, Mulero-Mendoza J. Enfermedad sistémica relacionada con inmunoglobulina G4: ¿por qué interesa al reumatólogo? Semin Fund Esp Reumatol. 2013;14:2-7.
9. Masaki Y, Kurose N, Umehara H. IgG4-related disease: a novel lymphoproliferative disorder discovered and established in Japan in the 21st century. J Clin Exp Hematop. 2011;51(1):13-20.
10. Deshpande V. IgG4-Related Disease of the Gastrointestinal Tract: A 21st Century Chameleon. Arch Pathol Lab Med. 2015 Jun;139(6):742-9. doi: 10.5858/arpa.2014-0181-RA
11. Motohisa Y, Hiroki T, Yasuhisa S. Mechanisms and assessment of IgG4-related disease: lessons for the rheumatologist. Nat Rev Rheumatol. 2014 Mar; 10(3): 148-59. doi: 10.1038/nrrheum.2013.183
12. Della-Torre E, Lanzillotta M, Doglioni C. Immunology of IgG4-related disease. Clinical and Experimental Immunology. 2015;181(2):191-206. doi: 10.1111/cei.12641.
13. Ochoa ML, Lopez BG, Cabello RR, Feregrino RR. IgG4-related multiorgan disease: report of the first autopsy case. BMJ Case Rep. 2013. doi:10.1136/bcr-2013-009636.
14. Khosroshahi A, Wallace ZS, Crowe JL, Akamizu T, Azumi A, Carruthers MN; Second International Symposium on IgG4-Related Disease. International consensus guidance statement on the management and treatment of IgG4-related disease. Arthritis Rheumatol. 2015 Jul;67(7):1688-99.
Notas
Notas de autor
luigi_doc@yahoo.com
Información adicional
Pubmed: https://www.ncbi.nlm.nih.gov/pubmed/?term=29190875
Enlace alternativo
http://revistamedica.imss.gob.mx/editorial/index.php/revista_medica/article/view/2230/2650 (pdf)