Notas
A new pathology in the red abalone Haliotis rufescens (Mollusca: Gastropoda) cultured in Baja California, Mexico, associated with macro-crystal inclusions in gonadal tissue
Una nueva patología en el abulón rojo Haliotis rufescens (Mollusca: Gastropoda) cultivado en Baja California, México, asociada con inclusiones de macro-cristales en tejido gonadal
A new pathology in the red abalone Haliotis rufescens (Mollusca: Gastropoda) cultured in Baja California, Mexico, associated with macro-crystal inclusions in gonadal tissue
Hidrobiológica, vol. 25, no. 2, 2015
Universidad Autónoma Metropolitana-Unidad Iztapalapa
Received: 23 May 2014
Accepted: 28 January 2015
ABSTRACT: A new severe pathological alteration in the gonadic tissue of red abalone was observed, which compromises reproduction of affected organisms. The alteration is related to the presence of numerous extracellular macro-crystal inclusions (Mci) reaching up to 300 μm in size. These Mci may be surrounded by hemocytes, cellular debris, and deposition of fibroblasts. Moreover, hypertrophy of the nuclei of cells in the top germinal epithelium and presence of brown cells in trabeculae were observed. The normal architecture of the tissue looks entirely altered and destroyed in some cases. No gonadal development was observed. The chemical nature of the Mci is unknown, but it is possibly related to inorganic toxic compounds. No previous records of similar alterations in abalone are known to exist. This record could help determine if this pa thology has been observed in other abalone culture areas in the world, its possible origin, and if control is necessary.
Key words: Extracellular crystal inclusions, Haliotis rufescens, pathology, red abalone.
RESUMEN : Se observó una nueva alteración patológica severa en el tejido gonadal de abulón rojo que compromete la reproducción de los organismos afectados. Esta alteración está asociada con la presencia de numerosas inclusiones extracelulares formadas por macro cristales (Mci) de hasta 300 μm de longitud. Estas Mci pueden estar rodeadas por hemocitos, restos celulares y acumulación de fibroblastos. Además, se observó hipertrofia del núcleo de las células del extremo externo del epitelio germinal y presencia de células cafés en las trabéculas. La arquitectura normal del tejido se vió completamente alterada y en algunos casos destruida. No se observó desarrollo gonadal. La naturaleza química de las Mci no se conoce, pero posiblemente está relacionada con compuestos tóxicos inorgánicos. No se conocen registros previos de alteraciones similares en abulón. Este registro podría ayudar a determinar si esta patología se ha observado en otras áreas de cultivo a el abulón en el mundo, así como su posible origen y si es necesario su control.
Palabras clave: Abulón rojo, Haliotis rufescens, inclusiones extracelulares de cristales, patología.
Cáceres-Martínez J., R. Vásquez-Yeomans y R. Cruz-Flores. 2015. A new pathology in the red abalone Haliotis rufescens (Mollusca: Gastropoda) cultured in Baja California, Mexico, associated with macro-crystal inclusions in gonadal tissue). Hidrobiológica 25 (2): 315-319.
Interest in the culture of red abalone Haliotis rufescens (Swainson, 1822) has increased in Baja California, Mexico, in part due to the decrease in the commercial fishery of blue abalone Haliotis fulgens (Philippi, 1845) and yellow abalone Haliotis corrugate (Wood, 1828), available culture technology, and market demands (Ramade-Villanueva et al., 1998; Searcy-Bernal et al., 2010). This species is also cultivated in California, USA (McBride, 1998) and has become a fast-growing industry in Chile where red abalone was introduced in 1977 (Flores-Aguilar, 2007). One of the main challenges for successful production is maintaining a healthy culture population. In this sense, sanitary surveillance must be permanent. Red abalone H. rufescens can be affected by different symbionts and parasites, such as ciliates in the esophageal pouch, ciliates in branchial filaments, the renal coccidian Margolisiella haliotis (Desser & Bower, 1997) that causes abalone coccidiosis, and the intracellular prokaryote Candidatus Xenohaliotis californiensis (Friedman, Andree, Robbins, Shields, Moore, Beauchamp, & Hedrick, 2000), a causal agent of withering syndrome (WS) in abalone that is flagged by the World Organisation for Animal Health (OIE). Descriptions of histopathological alterations associated with these symbionts and parasites are relatively well described (Friedman et al., 1995; Gardner et al., 1995; Moore et al., 2000; Cáceres-Martínez & Tinoco-Orta, 2001; Alvarez-Tinajero et al., 2002; Cáceres-Martínez et al., 2011; OIE, 2014). However, the emergence of new infectious and non-infectious pathologies must be permanently recorded due to their potential negative impact in production. To date, reports on non-infectious diseases or descriptions of tissue alterations not associated to biologic agents in abalone are practically unknown. This note describes a new pathological condition associated with the presence of macro-crystal inclusions (Mci) of unknown composition located in the tissue between the inner and exterior walls of the gonad of cultured red abalone.
In August 2004, six red abalone of a mean size of 72.5 mm in shell length, reared in an aquaculture facility located in Eréndira, Baja California, Mexico, were sent to the biology and pathology laboratory of aquatic organisms at the Centro de Investigación Científica y de Educación Superior de Ensenada, B.C. Mexico (CICESE) for health analysis. The abalone arrived live packed in ice. Two abalones had an externally healthy appearance; the others showed weakness, lethargy, mantle retraction, inability to adhere tightly to the substrate, and their foot muscle appeared shrunken. After an external analysis, the shell was detached from the soft body and tissues were individually fixed in Davidson´s fixative for 24 h. Four transverse sections containing portions of the digestive tract, gonad, kidney, muscle, and gills were processed for conventional histology. Deparaffinized 5 μm sections were stained with hematoxylin and eosin (Howard et al., 2004). Slides were reviewed under the microscope at magnifications of 100X to 630X looking for parasites and tissue alterations. Prevalence of parasites was estimated as the number of infected animals in the sample expressed in percentage (Olivas-Valdez & Cáceres-Martínez, 2002). The intensity of the infection was determined using specific scales previously established by Friedman et al. (1997) and Cáceres-Martínez and Tinoco-Orta (2001) for Candidatus X. californiensis and Friedman et al. (1995) for M. haliotis. A photographic record documented results. In February 2014 a sample of 30 fixed red abalone tissues was obtained from animals of a mean size of 80 mm in shell length, from a different aquaculture facility located in Bahía Falsa, Baja California, located approximately 100 km south of Eréndira, B.C. These mollusks were analyzed for health status using the conventional histological procedure described above; in this case, the record from the aquaculture facility indicated that all the abalone had a healthy external appearance before fixation. Similarly, slides were reviewed and documented photographically.
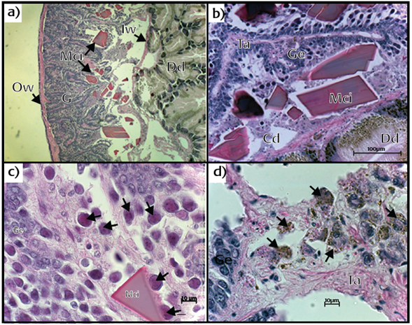
All abalone from the first sample were infected by Candidatus X. californiensis. Cell and tissue alterations agree with the characteristics of WS at a histological level that went from host cell hypertrophy in light infections, to metaplasia of digestive diverticula, and detachment of some colonies to the lumen of the post-esophagus in severe ones. Three abalones were females, two were males, and one was undefined; this latter abalone had a light infection caused by Candidatus X. californiensis. This abalone also had abundant extracellular macro crystal inclusions (Mci) among the tissue placed between the inner and outer wall of the gonad, where the germinal epithelium growths and gametogenesis take place (Fig. 1). The shape of Mci varied from irregular to polygonal and their size, measuring along the larger axis, reached 300 μm (Figs. 2- 3 ). The gonadal tissue was entirely affected by the Mci; the connective tissue and fibers lost their normal architecture (Fig. 2a). In some cases, the Mci were surrounded by hemocytes, cellular debris and deposition of fibroblasts (Fig. 2b). In others, the Mci seemed to be in degradation among hemocytes and cellular debris with brown granules (Fig. 2c).


The prevalence of Candidatus X. californiensis in abalone from the second sample (30 animals) was 60%, the tissue damages were similar to those described above. In this case, the presence of M. haliotis was recorded at 30%; this parasite invades the right and left kidney occupying some areas of the tissue, but no haemocytic reaction was observed. In this sample 63% of abalone were females, 10% males and 27% were undifferentiated. In one of the undifferentiated abalones, a light infection caused by M. haliotis was observed, but it was not infected by Candidatus X. Californiensis this animal showed a pathology associated with Mci similar to those found in the individual from the sample taken in 2004. The shape and sizes of the Mci were in the range previously determined; however, in this case, there was a major development of trabeculae accompanied by the loss of its normal architecture throughout the inner wall of the gonad (Fig. 3a). In the trabeculae, growth of germinal epithelium was detected, but it appeared deformed by the shape of the Mci (Fig. 3b). The nuclei of the top cells in the germinal epithelium were hypertrophied and strongly basophilic (Fig. 3c). As in the previous case, some brown cells were observed in the connective tissue of the trabeculae (Fig. 3d) and no development of gametes was observed.

No record of extracellular Mci formation in the gonadic tissue of abalone species has been documented previously. However, a study exists regarding metal bioaccumulation as inorganic granules in the cytoplasm of cells from the digestive gland, gills and kidney of the blacklip abalone Haliotis rubra (Leach, 1814) (Hyne et al., 1992), and on the effect of iron on red abalone post larvae in a controlled-culturing system. Results indicate that H. rufescens post larvae accumulate iron granules in the stomach, digestive gland. and mantle, but not in the gills or in other tissues (Pino-Chandia et al., 2012). An observation of extracellular crystals formation of iron, chloride, and sulfur was recorded in the gonads of the sea-urchin Paracentrotus lividus (Lamarck, 1816), collected from a wastewater outfall near Marseilles, France. The gonads had a black and brown appearance (Delmas, 1990). Accumulation of iron crystal formation in animal tissues has been reported in dogs poisoned with ethylene glycol; calcium oxalate crystals in renal tubules and in the brain have been observed by histopathology and confirmed as ethylene glycol poison (García-Ortuño et al., 2006). In humans, hyperuricemia can be induced by a purine-rich diet producing uric-acid crystals in tissues (Chizyński & Rózycka, 2005). In accordance with the previous references, crystal formation in animal and/ or in human tissues could be induced by pollution, poisoning, or by dietary composition. Those crystals have particular physical-chemical characteristics and a direct comparison among them is not possible. Mci in the studied abalone suggests the possible effect of pollution, poisoning, or nutritional alterations, but this must be determined by the physical-chemical characterization of the Mci. On the other hand, studies on the effect of contaminants at a histological level in mollusks are common in scientific literature; for example, Calabrese et al. (1984) studied the histopathological alterations of mussels exposed to silver and copper. Berthou & Balouët (1987) studied the presence of hydrocarbons and histopathological abnormalities in oysters after the Amoco Cadiz oil split. Lowe & Clarke (1989) studied the alterations in the digestive epithelial cells of the mussel Mytilus edulis (Linnaeus, 1798) following exposure to a mixture of hydrocarbons and copper. Gibbs and Bryan (2009) studied the reproductive failure in populations of the Dog- Whelk, Nucella Lapillus (Linnaeus, 1758), caused by imposex induced by tributyltin from antifouling paints. Jin Zhou et al. (2010) studied tributyltin (TBT) toxicity in abalone (Haliotis diversicolor supertexta Reeve, 1846) assessed by antioxidant enzyme activity, metabolic response, and histopathology. Kruatrachue et al. (2011) studied the snail Pomacea canaliculata (Lamarck, 1828) which was exposed experimentally to contaminated sediments in Thailand. In any of these studies there is a mention of Mci formation that could be related to this study.
To determine the chemical nature of Mci, it is necessary to remove them from the tissue without modifying their structure and chemical composition so as to carry out X-ray and electron microscopy studies. Alternatives include the analysis for contaminants, poisons, or inorganic substances in gonadal tissues. The severe activation of the defense mechanisms of the host and damages in tissues suggests a high toxicity of Mci and an obvious impediment for reproduction of the individual.
In spite of this pathology, apparently of low prevalence or rare appearance, sampling is required to determine prevalence in aquaculture facilities, as are studies to establish potential negative effects in cultured red abalone populations from Baja California, Mexico. This pathology was found in an abalone infected by Candidatus X. califor niensis, with the characteristic external signs of withering syndrome and in other abalone infected by M. haliotis with an external healthy appearance, showing an independent origin of this non-infectious pathology. These findings constitute the first record of a non-infectious pathology in the gonad of the cultured red abalone. Due to the lack of information on this alteration in abalone culture around the world, these results can be used to determine if this pathology could also be present in other abalone species and aquaculture facilities. Further research to determine its chemical composition and origin would help dimension the problem and would point to any appropriate sanitary measures needed to control this pathology.
ACKNOWLEDGEMENTS
To Yanet Guerrero Rentería for helping us to carry out histological procedures. This study was supported by the Instituto de Sanidad Acuícola, A.C. and the Centro de Investigación Científica y de Educación Superior de Ensenada, Baja California.
REFERENCES
Alvarez-Tinajero, M. D. C., Cáceres-Martínez, J. & González-Avilés, G. 2002. Histopathological evaluation of the yellow abalone Haliotis corrugata and the blue abalone Haliotis fulgens from Baja California, México. Journal of Shellfish Research 21 (2): 825-830.
Berthout, F. & Balouët, G. 1987. The occurrence of hydrocarbons and histopathological abnormalities in oysters for seven years following the wreck of the Amoco Cadiz in Brittany (France). Marine Environmental Research 23 (2): 103-133.
Cáceres-Martínez, J. & Tinoco-Orta, G. D. 2001. Symbionts of cultured red abalone Haliotis rufescens from Baja California, Mexico. Journal of Shellfish Research20 (2): 875-881.
Cáceres-Martínez, J., Vásquez-Yeomans, R. & Flores-Saaib, D. 2011. Intracellular prokaryote Xenohaliotis californiensis in abalone Haliotis spp. from Baja California, México. Ciencia Pesquera 19 (2): 5-11.
Calabrese, A., MacInnes, J. R., Nelson, D. A., Greig, R. A. & Yevich, P. P. 1984. Effects of long-term exposure to silver or copper on growth, bioaccumulation and histopathology in the blue mussel Mytilus edulis. Marine Environmental Research
Chizyński, K. & Rózycka, M. 2005. "Hyperuricemia" (in Polish). Polski Merkur Lekarski 19 (113): 693-696.
Delmas, P. 1990. Bioaccumulation of iron-containing crystals in the gonads of the sea urchin Paracentrotus lividus (Lam.). Ultraestructural study. Comptes rendus de l´Académie des Sciences Paris, Séries III 311 (2): 68-74.
Desser, S. S. & Bower, S. M. 1997. Margolisiella kabatai gen. et sp. n. (Apicomplexa: Eimeriidae), a parasite of native littleneck clams, Protothaca staminea, from British Columbia, Canada, with taxonomic revision of the coccidian parasites of bivalves (Mollusca: Bivalvia). Folia Parasitologica 44: 241-247.
Flores-Aguilar, R., Gutiérrez, A., Ellwanger, A. & Searcy-Bernal, R. 2007. Development and current status of abalone aquaculture in Chile. Journal of Shellfish Research26 (3): 705-711.
Friedman, C. S., Gardner, G. R., Hedrick, P., Stephenson, M., Cawthorn, R. J. & Upton, S. J. 1995. Pseudoklossia haliotis sp. n. (Apicomplexa) from Kidney of California Abalone, Haliotis spp. (Mollusca). Journal of Invertebrate Pathology 66: 33-38.
Friedman, C. S., Thomson, M., Chun, C., P. Haaker, L. & Hedrick, R. P. 1997. Withering syndrome of the black abalone, Haliotis cracherodii (Leach): water temperature, food availability, and parasites as possible causes. Journal of Shellfish Research16: 403-411.
Gardner, G. R., Harshbarger, J. C., Lake, J. L., Sawyer, T. K., Price, K. L., Stephenson, M.D., Haaker, P. L. & Togstad, H. A. 1995. Association of prokaryotes with symptomatic appearance of withering syndrome in black abalone Halotis cracherodii. Journal of Invertebrate Pathology 66: 111-120.
García-Ortuño, L. E., Bouda, J., Jardón-Herrera, G. & Morales-Salinas, E. 2006. Clinical-pathological diagnosis of ethylene glycol poisoning: A case report. Veterinaria México 37 (4): 503-512.
Gibbs, P. E. & Bryan, G. W. 2009. Reproductive Failure in Populations of the Dog-Whelk, Nucella Lapillus, Caused by Imposex Induced by Tributyltin from Antifouling Paints. Journal of the Marine Biological Association of the United Kingdom 66 (4): 767-777.
Howard, D. W., Earl, J., Lewis, B., Keller, J. & Smith, C. S. 2004. Histological techniques for marine bivalve mollusks and crustaceans2nd ed. NOAA Technical Memorandum NOS NCCOS 5. 218 p.
Hyne, R. V., Smith, J. D. & Ellender, G. 1992. Tissue and sub-cellular distribution of Fe, Cu, Zn and 210Po in the abalone Haliotis rubra. Marine Biology 112: 75-80.
Kruatrachue, M., Sumritdee, C., Pokethitiyook, P. & Singhakaew, S. 2011. His topathological Effects of Contaminated Sediments on Golden Apple Snail (Pomacea canaliculata, Lamarck 1822). Bulletin of Environmental Contamination and Toxicology 86 (6): 610-614.
Lowe, D. M. & Clarke, K. R. 1989. Contaminant-induced changes in the structure of the digestive epithelium of Mytilus edulisAquatic Toxicology 15 (4): 345-358.
McBride, S. C. 1998. Current status of abalone aquaculture in the Californias. Journal of Shellfish Research17 (3): 593-600.
Moore, J. D., Robbins, T. T. & Friedman, C. S. 2000. Withering syndrome in farmed red abalone, Haliotis rufescens: thermal induction and association with a gastrointestinal Rickettsiales-like prokaryote. Journal of Aquatic Animal Health 12: 26-34.
OIE (Organización Internacional de Sanidad Animal). 2014. Manual of diagnostic tests for aquatic animals. 6th ed. World Organisation for Animal Health. 547 p.
Olivas-Valdéz, J. A. & Cáceres-Martínez, J. 2002. Infestation of the blue Mussel Mytilus galloprovincialis by the copepod Pseudomyicola spinosus and its relation to size, density, and condition index of the host. Journal of Invertebrate Pathology 79: 65-71.
Pino-Chandia, L. A., Alfaro, A. C., Flores-Aguilar, R., Godoy, M. & Gutiérrez-Venegas, A. 2012. Histological evidence of accumulation of iron in postlarvae of red abalone, Haliotis rufescens. Aquaculture Research 43 (11): 1635-1642.
Ramade-Villanueva, M., Lluch-Cota, D. B., Hernández-Vázquez, S. E., Espinoza-Montes, A. & Vega-Velázquez A., A. 1998. An evaluation of annual quota mechanism as a management tool in the Mexican Abalone fishery. Journal of Shellfish Research17: 847-851.
Rogers-Bennett, L., Dondanville, R. F. & Kashiwada, J. 2004. Size specific fecundity of red abalone (Haliotis rufescens): evidence for reproductive senescence? Journal of Shellfish Research23 (2): 553-560.
Searcy-Bernal, R., Ramade-Villanueva, M. & Altamira, B. 2010. Current Status of Abalone Fisheries and Culture in Mexico. Journal of Shellfish Research29 (3): 573-576.
Zhou, J., Xiao-shan, Z. & Zhong-hua, C. 2010. Tributyltin toxicity in abalone (Haliotis diversicolor supertexta) assessed by antioxidant enzyme activity, metabolic response, and histopathology. Journal of Hazardous Materials 183: 428-433.