INMUNOPATOLOGÍA DEL COMPLEJO RESPIRATORIO BOVINO EN TERNEROS NEONATOS EN MONTERÍA-COLOMBIA
Immunopathology of bovine respiratory complex in calves in the Municipality of Monteria, Colombia
INMUNOPATOLOGÍA DEL COMPLEJO RESPIRATORIO BOVINO EN TERNEROS NEONATOS EN MONTERÍA-COLOMBIA
Revista Científica, vol. XXVII, núm. 2, pp. 95-102, 2017
Universidad del Zulia
Recepción: 19/11/16
Aprobación: 04/04/17
Resumen: El objetivo del presente estudio fue describir las lesiones y determinar la frecuencia de anticuerpos contra Rinotraqueitis Infecciosa Bovina (RIB), Diarrea viral bovina (DVB), Parainfluenza-3 (PI-3) y Virus respiratorio sincitial bovino (VRSB) en terneros neonatos sin haber recibido calostro. Se recolectaron 60 muestras de sangre con antecedentes de signos respiratorios, pertenecientes a cuatro fincas distribuidas en el Municipio de Montería. Se analizaron anticuerpos contra RIB; DVB, PI-3, VRSB mediante la prueba de ELISA y se hizo Inmunopatología a dos animales. Se determinó una frecuencia de infección del 60% contra RIB (36/60), del 41% contra PI-3 (25/60), del 36% para DVB (22/60) y del 31% contra el VSRB (19/60) en terneros recién nacidos que no habían recibido calostro. También se encontró una asociación significativa entre RIB y PI-3; hallazgos que confirman la participación de estos virus en el Complejo Respiratorio Bovino (CRB) en terneros. La presencia de lesiones histopatológicas compatibles con infección por los virus RIB y PI-3 permiten sugerir que las infecciones por estos agentes virales relacionados con CRB circulan activamente entre los animales estudiados.
Palabras clave: Terneros, bovinos, infección, enfermedad respiratoria.
Abstract: The aim of this study was to describe the lesions and determine the frequency of antibodies against Infectious Bovine Rhinotracheitis (IBR), bovine viral diarrhea (BVD), parainfluenza-3 (PI-3) and Bovine Respiratory Syncytial Virus (BRSV) in newborn calves without receiving colostrum. Blood samples were collected from 60 animals with respiratory antecedents belonging to four farms in Monteria Municipality. Antibodies against IBR, BVD, PI-3; VBSR were analyzed by using ELISA test and immunopathology was made using two animals. A infection rate of 60% against IBR (36/60), 41% against PI-3 (25/60), 36% against VDVB (22/60) and 31% against VSRB (19/60) and significant association between IBR and PI-3 were found in newborn calves that had not received colostrum, and these findings confirm the involvement of these viruses in the Bovine Respiratory Complex (BRC) in calves. The presence of histopathological lesions compatible with infection by IBR and PI-3 virus allow suggest that infections by these viral agents related to CRB actively circulating among animals studied.
Keywords: Calves, infection, respiratory diseases, bovines.
INTRODUCCIÓN
Las enfermedades del complejo respiratorio bovino (CRB) se encuentran entre las principales patologías que generan pérdidas económicas en el sector ganadero, principalmente en aquellas explotaciones dedicadas al engorde de terneros (Bos taurus x Bos indicus). Los agentes infecciosos involucrados no solo afectan el sistema respiratorio de los animales, sino que se diseminan a otros sistemas como el digestivo o el reproductor [6].
El CRB está caracterizado por disnea, tos, fiebre, descarga nasal, anorexia y depresión; ocurre por un proceso multifactorial en el cual intervienen agentes infecciosos, el sistema inmune del huésped comprometido y factores ambientales o factores de estrés ambiental, como el manejo no apropiado del ganado, errores en la alimentación animal, el transporte, así como algunas intervenciones veterinarias. Se ha descrito que la congestión y la inadecuada ventilación son factores predisponentes para el desarrollo del CRB [1]. Los patógenos virales más significantes que se encuentran asociados con la etiología y patogénesis de enfermedades del CRB incluyen: Rinotraqueitis Infecciosa Bovina (RIB), Virus de Parainfluenza-3 (PI3), Virus de la Diarrea Viral Bovina (VDVB) y el Virus Sincitial Respiratorio Bovino (VSRB) y por lo general se asocian con infecciones bacterianas secundarias representadas por: Mannheimia haemolytica, Mycoplasma bovis, Pasteurella multocida y Haemophilus somnus [27]. También pueden estar asociados con factores mycoplasmales como: Mycoplasma bovis, M. bovirhinis, M. dispar, Ureaplasma diversumy M. canis [7].
Los patógenos virales del CRB son capaces de causar la infección primaria que se asocia generalmente con signos clínicos leves del síndrome respiratorio bovino. Se propagan a través de aerosoles y producen inmunosupresión en los bovinos, especialmente el virus de la DVB, lo cual aumenta la susceptibilidad a infecciones bacterianas secundarias [1]. El virus de la RIB es capaz de persistir en un estado latente en los tejidos neuronales y recrudece durante situaciones de estrés. Los virus PI-3 y VSRB participan en menor proporción en el CRB [9].
En Colombia se han realizado varios estudios epidemiológicos en bovinos para detectar la circulación indirecta de RIB, VDVB, PI-3 y VSRB a través de estudios de seroprevalencia [2, 3, 13, 14, 19]. A pesar de las altas frecuencias serológicas encontradas, pocos estudios se dirigen a determinar el papel de estos agentes virales relacionados con el CRB [3,5]. El objetivo del presente estudio fue describir las lesiones y determinar la frecuencia de esos agentes virales en el CRB en terneros neonatos (Bos taurus x Bos indicus), sin haber ingerido calostro en el municipio de Montería, departamento de Córdoba, Colombia.
MATERIALES Y MÉTODOS
Se realizó un estudio prospectivo, donde se tuvieron en cuenta los siguientes factores:
Localización. El trabajo se realizó en el municipio de Montería, departamento de Córdoba, Colombia, ubicado a 8º 45’ de LN y a 75º 53’ de LO; la temperatura promedio osciló entre 28 y 35 ºC, humedad relativa del 85% y una precipitación anual de 1.200 a 1.500 mm. El área municipal es de 3.043 km2, conformado por 27 corregimientos. Limita al norte con Puerto Escondido, San Pelayo y Cereté; al este con San Carlos y Planeta Rica; al sur con Tierralta. (FIG. 1).

Población objeto de estudio. Se tomó como población de estudio los animales de cuatro fincas ubicadas en el municipio de Montería con antecedentes de cuadros respiratorios frecuentes en terneros, la cual estuvo conformada por un total de 300 vacas preñadas correspondientes al 10% de la población, distribuidas de la siguiente manera (TABLA I):

Cálculo del tamaño de la muestra. A partir de la población de 300 vacas se seleccionó una muestra de tamaño n determinado por la siguiente fórmula:

Donde Z corresponde al percentil de la distribución normal que se probará a los niveles 90; 91; 92; 93; 94 y 95%. P, corresponde a la proporción, en este caso desconocida, de animales con una cierta característica, este se tomará igual a 0,5 dado que arroja el mayor tamaño de muestra. E, es el error máximo permisible y se probará a los niveles 1; 2; 3; 4; 5; 6; 7; 8; 9 y 10. N=300. Según los datos suministrados por la Federación Colombiana de Ganaderos (FEDEGAN), para el año 2007 la población bovina del municipio de Montería estuvo compuesta por 178.320 hembras mayores de dos años (FEDEGAN, 2007); este dato fue tomado como n. Las especies bovinas de estas zonas estuvieron compuestas principalmente por animales cebuínos cruzados con razas europeas, de doble propósito cárnico y lechera.
Para determinar el tamaño de muestra se utilizó una tabla de distribución normal, con una confiabilidad estadística del 94% y con un error máximo permisible del 5%, el tamaño de muestra final fue de 60 animales. Los 60 terneros (Bos taurus x Bos indicus) recién nacidos fueron evaluados en un lapso de dos meses, de tal manera que no hubiera influencia de cambio climático.
Toma y procesamiento de la muestra. Previa desinfección del área y adecuada sujeción del animal, se obtuvieron 5 mL de sangre venosa de la vena umbilical en los terneros; el procedimiento se realizó con jeringas heparinizadas. La sangre se obtuvo inmediatamente después del nacimiento sin que los terneros succionaran el calostro; la cual fue depositada en tubos sin anticoagulante. Los datos de identificación y antecedentes de cada animal fueron recolectados en un formulario clínico previamente diseñado y entre 8 a 12 horas de nacidos se observó la presencia de signos clínicos relacionados con el CRB. Durante el estudio dos animales que murieron de enfermedad respiratoria fueron necropsiados y las muestras fueron conservadas en formaldehido buferado al 10% para el análisis histopatológico.
Las muestras sanguíneas recolectadas se mantuvieron en un refrigerador a 4°C (So-Low, SDHH4-14SDRX, Cincinnati, EUA.); luego fueron enviadas al laboratorio FUNCEP, (Fundación Colombiana para el Estudio de Parásitos) ubicado en la ciudad de Bogotá. Las muestras fueron centrifugadas a 3500 x g, (Scilogex, D3024 Micro, Rocky Hill, EUA.), el suero fue separado y conservado en un ultracongelador (Thermo Scientific, TSD40320A, Massachusetts, EUA.) a -20°C hasta su análisis. Las muestras de suero fueron analizadas mediante kits comerciales para prueba de ELISA (Ensayo inmuno-absorbente enzimático): test HerdChek; Idexx© Laboratories, (Laboratories, Inc., Westbrook), siguiendo las instrucciones del fabricante. Se realizó la estimación cuantitativa de anticuerpos específicos para RIB. DVB, PI-3, VRSB. El análisis inmuno-patológico se realizó en el laboratorio de Diagnóstico Veterinario del Instituto Colombiano Agropecuario (ICA).
Análisis estadístico. Se utilizó la distribución Ji cuadrado y los coeficientes de contingencia de Pearson y Gamma, para analizar el grado de asociación entre las distintas variables. Para la obtención de los resultados de las distintas variables se utilizó el paquete estadístico SPSS versión 16 [25].
Aspectos éticos
Se garantizó que los animales no sufrieran durante el muestreo y se siguieron las normas de bioseguridad vigentes y reguladas por el ICA. Se tuvo en cuenta la resolución No. 008430 de 1993, del Ministerio de Salud de la República de Colombia, así como la "Declaración Universal de los derechos de los animales", proclamada por la Liga Internacional de los Derechos de los Animales [15].
RESULTADOS Y DISCUSIÓN
El porcentaje de animales seropositivos en este estudio fue mostrado en la FIG. 2.

Se detectó una alta frecuencia de infección para RIB (36/60 =60%) seguida de 25/60 (41%) para PI-3, 22/60 (36%) para VDVB y 19/60 (31%) para VRSB en terneros que no recibieron calostro. Se encontró asociación estadística entre RIB y PI-3.
Los resultados por región se muestran en la TABLA II.

No se encontraron diferencias significativas entre las regiones estudiadas; sin embargo, se encontró una ligera tendencia de aumento de la seropositividad en todos los agentes virales en las zonas 1 y 4; lo cual confirma la participación de estos virus en el CRB en terneros de Montería, Colombia.
En un estudio similar realizado en Argentina [6], se evaluaron los factores de riesgo del CRB en 852 terneros lactantes procedentes de 55 explotaciones de las provincias de Córdoba y Santa Fe. Se encontraron seroprevalencias del 66% para RIB; 60% para el VDVB; 46% para el VRSB y 44% para el VPI-3, las cuales fueron superiores en comparación con las reportadas en el presente estudio. Estos resultados pueden ser explicados por las diferencias en las edades de los terneros estudiados, ya que en el estudio argentino, los animales fueron evaluados hasta los tres meses de edad, por lo que pudieron adquirir inmunidad a través del calostro, mientras que en la presente investigación se evaluaron terneros neonatos que no habían ingerido calostro, lo cual sugiere que los animales evaluados pudieron entrar en contacto directo con el virus.
La seroprevalencia de RIB ha sido evaluada en bovinos de diferentes regiones de Colombia. En un estudio previo realizado en Montería, Colombia, se informó un 74,7% de animales seropositivos con antecedentes de infertilidad [2]. En la región del Magdalena medio colombiano se reportó un 55,5% [19], en Antioquia y Valle del Cauca [24] se documentaron seroprevalencias del 85 y 69%, respectivamente, un 35% en el municipio de Toca, Boyacá [16] y un 17,6% de animales seropositivos en Pasto [21]. En el departamento del Caquetá se informó una seroprevalencia de RIB en bovinos superior al 90% [14]. Factores como la densidad de animales (en estabulación o encierro temporal), tamaño del rebaño y el manejo de los mismos pueden influenciar en las diferencias de los valores de seroprevalencia de RIB para las distintas regiones de Colombia [12].
Se ha descrito que el Herpesvirus Bovino tipo 1 (HVB-1), causante de la RIB, genera innumerables pérdidas económicas debido a la disminución en la producción de leche y carne, debido a que se incrementan los gastos destinados hacia el cuidado, diagnóstico y tratamiento de los animales infectados. Uno de los principales problemas en el control de la RIB es su capacidad de persistir en las poblaciones de ganado a largo plazo como resultado de su capacidad para volverse latente, reactivarse periódicamente, como consecuencia de estrés fisiológico del animal o por tratamiento con corticoides y a su vez, transmitirse fácilmente entre los animales que se encuentren en unidades de producción intensiva [29].
A pesar de la elevada seroprevalencia de la RIB obtenida en el presente estudio, como en los otros reportes en Colombia, descritos anteriormente, varios estudios realizados han presentado dificultades para un aislamiento viral exitoso en condiciones naturales y se ha encontrado que las evidencias clínicas y virológicas de la RIB son escasas [32]. Este tipo de circunstancias han conllevado a que algunos autores pongan en duda la importancia de la RIB en Colombia, atribuyendo la elevada seroprevalencia al uso no controlado de vacunas.
Adicionalmente, consideran que las cepas circulantes en Colombia son de baja virulencia, debido a la alta incidencia de manifestaciones genitales y las pocas presentaciones respiratorias; además, desde que el virus HVB-1 previamente aislado en 1995 fue caracterizado molecularmente, se encontró que este concuerda con una cepa de HVB-1 subtipo 2b, que ha sido asociada con las formas clínicas genitales y descrita como una cepa de baja virulencia [31].
Otro de los agentes virales del CRB evaluados en el presente estudio es el virus de la Parainfluenza bovina tipo 3 (PI-3). La seroprevalencia obtenida en este estudio fue del 41%, y difiere de la reportada en un estudio previo realizado en el departamento de Antioquia en ganado blanco Orejinegro, la cual fue del 68,9% [13]. Sin embargo, en un estudio realizado de Montería, se encontró una seroprevalencia del 13,5% en bovinos de doble propósito [5] y un 11% fue hallado en hatos ganaderos de Florencia, Caquetá [23]. A pesar de que las diferencias entre las seroprevalencias reportadas pueden estar relacionadas con los diferentes métodos serológicos utilizados, población de estudio y el diseño metodológico, estos resultados sugieren que existe una amplia distribución del virus PI-3 en Colombia.
La frecuencia de anticuerpos contra el virus DVB encontrada en los animales estudiados (36%) se asemeja a los valores obtenidos en otro estudio realizado en Montería, en el cual se reportó una seroprevalencia de 29,5% en bovinos de 32 fincas que tampoco presentaban antecedentes de vacunación [4]. En otros trabajos desarrollados en el departamento del Caquetá, se reportaron prevalencias de VDVB del 35% [8] y 58% [14]. En el valle del Cesar se reportó un 46% [18], en Antioquia, un 75% de animales se encontraron seropositivos en 24 hatos lecheros no vacunados [22] y en Sotará, Boyacá se reportó un 62,7% de seropositividad en vacas Holstein [20]. La DVB se encuentra mundialmente distribuida y los valores de seroprevalencia reportados en el presente estudio como en los diferentes departamentos de Colombia, sugieren que este agente es endémico en la mayoría de las poblaciones bovinas del país, para la cual el nivel de seropositividad se ha descrito que fluctúa entre el 40 y 80% [28].
El VSRB fue otro de los agentes virales evaluados en la presente investigación. Para este virus se han reportado mundialmente prevalencias superiores al 65% [10] y se ha descrito que las infecciones que resultan en una enfermedad clínica severa, son generalmente observadas en terneros menores de seis meses [30]. En el presente estudio se encontró que 31% de los terneros presentaron seropositividad para este agente, sin embargo, no se encontraron lesiones histopatológicas relacionadas con el mismo. En otro estudio realizado en Montería, se reportó una prevalencia del 13% contra este virus en bovinos con edades entre 3 y 7 años procedentes de 28 fincas ganaderas sin antecedentes de vacunación [3]. No obstante, en un estudio realizado en Argentina, se reportó una prevalencia del VSRB del 30% en bovinos de 6 a 12 meses de edad [17]. Estos hallazgos indican una importante exposición del VSRB en animales relativamente jóvenes.
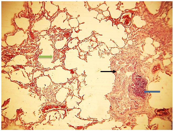
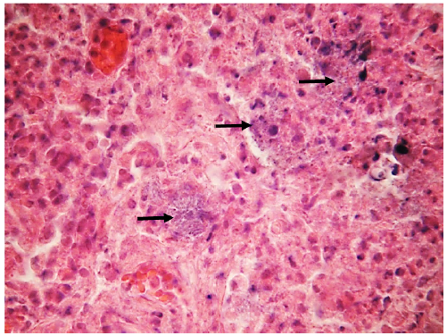
En este estudio se analizaron lesiones histopatológicas de dos terneros que fallecieron y estas fueron compatibles con infección por los virus RIB y PI-3. En la FIG. 3 se describe una lesión de neumonía bronco-intersticial en una muestra de pulmón, compatibles con los virus de la RIB y PI3. Los animales que fueron inmunopositivos a RIB y a PI-3 presentaron neumonía fibrinosa con presencia de hiperplasia alveolar FIG 4. Los resultados encontrados indican que las neumonías predominantes fueron las exudativas y que de esas, la neumonía intersticial fibrinosa fue la más común FIG. 5.



Algunos autores sugieren que los virus de la RIB y PI-3 son los principales agentes causales que participan en el CRB y que el efecto inmunosupresor del virus de la DVB, predispone a los animales a infecciones secundarias con el HVB-1 y el PI-3, además sugieren que esa infección concurrente podría ser considerada como una de las causas infecciosas de neumoenteritis y causar alta morbilidad y mortalidad entre animales jóvenes [26].
Aunque la RIB no es el único agente infeccioso asociado con CRB, este puede iniciar la afección si el animal se encuentra inmunosuprimido; consecuentemente, infecciones bacterianas secundarias por Manheimia haemolytica y Haemophilus somnus pueden complicar la progresión de la enfermedad y permitir el desarrollo de neumonía [11]. No obstante, en el presente estudio no se aislaron las bacterias antes mencionadas, lo cual puede ser atribuido a las altas dosis de antibióticos que son administrados a los terneros una vez empiezan a mostrar signos respiratorios.
CONCLUSIONES E IMPLICACIONES
Este es el primer estudio inmunopatológico en Colombia en el que se detecta la seroprevalencia de agentes virales del CRB (RIB, PI-3, VDVB y VSRB) en terneros recién nacidos con manifestaciones neumónicas y que no habían ingerido calostro. La presencia de lesiones histopatológicas compatibles con infección por los virus de la RIB y PI-3 permiten sugerir que las infecciones por estos agentes virales relacionados con CRB circulan activamente entre los animales estudiados. Estos resultados deben alertar a las autoridades sanitarias para que implementen estrategias de prevención y control del CRB.
Agradecimientos
Al laboratorio Novartis por el suministro de los kits comerciales para prueba de ELISA. A la Facultad de Medicina Veterinaria y Zootecnia de la Universidad de Córdoba. Montería Colombia. A los productores quienes facilitaron el muestreo de sus animales.
Referencias
[1] BEDNAREK, D.; SZYMAŃSKA-CZERWIŃSKA, M.; DUDEK, K. Bovine Respiratory Syndrome (BRD) Etiopathogenesis, Diagnosis and Control. In: Carlos C. Perez-Marin (Ed.). A Bird's-Eye View of Veterinary Medicine. InTech. Croatia. Pp 363-379. 2012.
[2] BETANCUR, C.; GONZÁLEZ, M.; REZA, L. Seroepidemiología de la rinotraqueitis infecciosa bovina en el Municipio de Montería, Colombia. Rev. MVZ, Córdoba. 11(2):830-6.2006
[3] BETANCUR, C.; RODAS, J.; GONZÁLEZ, M. Estudio seroepidemiológico del virus respiratorio sincitial bovino en el municipio de Montería, Colombia. Rev. MVZ, Córdoba. 16(3):2778-84.2011
[4] BETANCUR, H.; GOGORZA, L.M.; MARTÍNEZ, F. Seroepidemiología de la diarrea viral bovina en Monteria (Córdoba, Colombia). Analecta Vet. 27(2):11-16.2007
[5] BETANCUR, C.; ORREGO, A.; GONZÁLEZ, M. Estudio seroepidemiológico del virus de parainfluenza 3 en bovinos del municipio de Montería (Colombia) con trastornos reproductivos. Rev. Med. Vet. 20:63-70.2010
[6] CARBONERO, A.; MALDONADO, A.; PEREA, A.; GARCÍA-BOCANEGRA, I.; BORGE, C.; TORRALBO, A.; ARENAS-MONTES, A.; ARENAS-CASAS, A. Factores de riesgo del síndrome respiratorio bovino en terneros lactantes de Argentina. Arch. Zoot. 60(229):41-51.2011.
[7] DUDEK, K.; BEDNAREK, D. Occurrence and diagnosis of mycoplasma infections in ruminants. Med. Wet. 66(9):597-9.2010
[8] GIRALDO J.M.; GARCÍA I.W.; ABELEDO M.A.; FERNÁNDEZ O. Estudio retrospectivo de agentes infecciosos que afectan la reproducción bovina en el departamento del Caquetá, Colombia. Rev. Salud. Anim. 34(3):159.2013.
[9] GRISSETT, G.; WHITE, B.; LARSON, R. Structured literature review of responses of cattle to viral and bacterial pathogens causing bovine respiratory disease complex. J. Vet. Intern. Med. 29(3):770-80. 2015
[10] HÄGGLUND, S.; SVENSSON, C.; EMANUELSON, U.; VALARCHER, J.; ALENIUS, S. Dynamics of virus infections involved in the bovine respiratory disease complex in Swedish dairy herds. Vet. J. 172(2):320-8.2006.
[11] JONES, C.; NEWBY, T.; HOLT T,; DOSTER A,; STONE, M.; CIACCI-ZANELLA J; WEBSTER, C.J.; JACKWOOD, M.W. Analysis of latency in cattle after inoculation with a temperature sensitive mutant of bovine herpevirus 1 (RLB106). Vaccine. 18(27):3185-95. 2000.
[12] MAHMOUD, M.; MAHMOUD, N.A.; ALLAM, A. Investigations on infectious bovine rhinotracheitis in Egyptian cattle and buffaloes. Glob. Vet. 3(4):335-40. 2009.
[13] MOLINA, S,; CASTAÑO, H.; ARBOLEDA, J.; CADAVID, F.; ZAPATA, O. Estudio serológico para el virus de parainfluenza-3 en el Hato BON en el departamento de Antioquia. Rev. Colomb.Cien.Pec. 11(2):81-6.2015.
[14] MOTTA-GIRALDO, J.L.; WALTERO-GARCÍA, I.; ABELEDO, M.A. Prevalencia de anticuerpos al virus de la Diarrea Viral Bovina, Herpesvirus bovino 1 y Herpesvirus bovino 4 en bovinos y búfalos en el Departamento de Caquetá, Colombia. Rev. Salud. Anim. 35(3):174-81. 2013.
[15] MRAD DE O, A. Ética en la investigación con modelos animales experimentales. Rev. Col. Bioética. 1:163-184. 2006
[16] OCHOA, X.; ORBEGOZO, M.; ABRIL, F.G.M, PULIDO, M.; OSPINA, J. Seroprevalencia de rinotraqueítis infecciosa bovina en hatos lecheros de Toca-Boyacá. Rev. MVZ, Córdoba. 17(2):2974-82. 2012.
[17] ODEÓN, A.C.; SPATH, E.; PALOMA, E.J.; LEUNDA, M.R.; SAINZ, I.F.; PEREZ, S.; KAISER, G.G.; DRAGHI, M.G.; CETRÁ, B.M.; CANO, A. Seroprevalencia de la diarrea viral bovina, herpesvirus bovino y virus sincicial respiratorio en Argentina. Rev. Med. Vet. (B Aires). 82(4):216-21. 2001.
[18] PEÑA-CORTES, L. Estudio serológico de diarrea viral bovina en la microrregión del Valle del Cesar. AICA. 1:309-12.2011.
[19] PIEDRAHITA, L.E.; MONTOYA, L.M.; PEDRAZA, F.J. Herpes Virus Bovino tipo 1 (BoHV-1) como posible causa de encefalitis en bovinos de la región del Magdalena Medio Colombiano: Estudio serológico y análisis epidemiológico. Rev. Colomb. Cien. Pec. 23(2):191-8. 2010.
[20] PULIDO, M.; ANDRADE, R.; SANABRIA, O.; SALAMANCA, A.; AGREDO, L. Presencia del virus de la Diarrea Viral Bovina (BVDV) y evidencia de animales persistentemente infectados en un hato de la sabana de Bogotá. Rev. Colomb.Cien. Pec. 22(3):677-688.2009.
[21] QUEVEDO, D.C.; BENAVIDES, B.B.; CÁRDENAS, G.; HERRERA, C. Seroprevalence and risk factors associated to BHV-1 and DVBV in dairy herds in Pasto, Colombia, in 2011. Rev. Lasallista. Investig. 8(2):61-8. 2011.
[22] RAMÍREZ-VÁSQUEZ, N.F.; FERNÁNDEZ-SILVA, J.A.; VILLAR-ARGAIZ, D.; LONDOÑO-PINO, J.; CHAPARRO-GUTIÉRREZ, J.J.; OLIVERA-ÁNGEL, M.E. Seroprevalence and risk factors of several bovine viral diseases in dairy farms of San Pedro de los Milagros, Antioquia, Colombia. Rev. CES Med.Vet.Zoot. 11(1):15-25.2016.
[23] RODRIGUEZ, J.; OCAÑA, H.; VARGAS, M. Determinación de presencia de enfermedades infecciosas en hatos doble propósito, Vereda Balcanes, Florencia, Caquetá. Rev. Fac. Cien. Agrop. 2(2):35-42.2010.
[24] RUIZ-SÁENZ, J.; JAIME, J.; VERA, V.J. Prevalencia serológica y aislamiento del Herpesvirus Bovino-1 (BHV- 1) en hatos ganaderos de Antioquia y del Valle del Cauca. Rev. Colomb.Cien.Pec. 23(3):299-307.2010.
[25] SIEGEL, S. Elección de la prueba estadística adecuada. Estadística no paramétrica aplicada a las ciencias de la conducta. 3ra Ed. México: Trillas; Pp. 30-47. 2005.
[26] SMITH PC, F.G.; GILL-ETTE, J.K. Viral infections in bovine respiratory diseases in the United States. Bull. Of. Intern. Epizzot. 88:179-90. 1977.
[27] TAYLOR, J.D.; FULTON, R.W.; LEHENBAUER, T.W.; STEP, D.L.; CONFER, A.W. The epidemiology of bovine respiratory disease: What is the evidence for predisposing factors? Can. Vet. J. 51(10):1095. 2010.
[28] VARGAS, D.S.; JAIME, J.; VERA, V.J. Perspectivas para el control del Virus de la Diarrea Viral Bovina (BVDV). Rev. Colomb.Cien. Pec. 22(4):677-88. 2009.
[29] WHETSTONE, C.; MILLER, J.; BORTNER, D.; VAN DER MAATEN, M. Changes in the bovine herpesvirus 1 genome during acute infection, after reactivation from latency, and after superinfection in the host animal. Arch. Virol. 106(3- 4):261-79.1989.
[30] YAEGASHI, G.; SEIMIYA, Y.M.; SEKI, Y; TSUNEMITSU, H. Genetic and antigenic analyses of bovine respiratory syncytial virus detected in Japan. J. Vet. Med. Sci. 67(2):145-50. 2005.
[31] ZAPATA, J.C.; OSSA-LONDOÑO, J.; BEDOYA, G.; ZULUAGA-TOBON, F.N. Rinotraqueitis Infecciosa Bovina (RIB). Caracterización Molecular de una cepa Colombiana de Herpesvirus Bovino tipo 1. Rev. Colomb.Cien. Pec. 15(1): 92-9.2009.
[32] ZAPATA, J.C.F.; LONDOÑO, J.O.; TOBÓN, F.N.Z. Actualización de los viejos enigmas y visión de futuro de la RIB en Colombia. Rev. Colomb.Cien.Pec. 15(2):155-9. 2002.
Notas