Ciencias de la Salud Humana
Carcinoma oral de células escamosas, gravedad del diagnóstico tardío: reporte de caso y revisión de la literatura
Oral squamous cells carcinoma, severity of belated diagnosis: Case report and review of the literature
Carcinoma oral de células escamosas, gravedad del diagnóstico tardío: reporte de caso y revisión de la literatura
CIENCIA ergo-sum, Revista Científica Multidisciplinaria de Prospectiva, vol. 28, núm. 3, 2021
Universidad Autónoma del Estado de México
Recepción: 17 Enero 2020
Aprobación: 24 Septiembre 2020
Resumen: Se presentan los aspectos clínicos, anatomopatológicos e inmunohistoquímica de un caso de COCE diagnosticado tardíamente con desenlace fatal, así como un reporte retrospectivo-descriptivo. Se analizan los datos de la historia clínica, el estudio anatomopatológico y se mide el índice de proliferación celular a través del anticuerpo Ki-67. El resultado de este caso en etapa avanzada de cáncer es la muerte del paciente. Se resalta la importancia de un examen bucal realizado por un profesional con capacidad de identificar lesiones de forma precoz que pueda contribuir en la disminución de muertes por COCE en México. El carcinoma oral de células escamosas (COCE), que afecta en especial a hombres mayores de 50 años, es causado principalmente por el consumo excesivo de alcohol y tabaco.
Palabras clave: carcinoma oral de células escamosas, inmunohistoquímica, muertes por COCE.
Abstract: The clinical, pathological and immunohistochemical aspects of a OSCC case diagnosed belatedly with a fatal outcome are presented as well as a retrospective-descriptive report. The data of the clinical history, the anatomopathological study and the cell proliferation index are measured by the Ki-67 antibody. The result of this advanced stage cancer case is the death of the patient. We highlight the importance of an oral examination performed by a professional with the capacity to identify injuries early, that may contribute to the decrease of deaths due to OSCC in Mexico. Oral squamous cell carcinoma (OSCC) is mainly caused by excessive consumption of alcohol and tobacco. It mainly affects men over the age of 50.
Keywords: Oral squamous cell carcinoma, immunohistochemical, deaths from OSCC.
Introducción
La OMS (Organización Mundial de la Salud) define el carcinoma oral de células escamosas (COCE) como un tumor maligno invasor con grados variables de diferenciación celular, el cual puede metastatizar hacia ganglios linfáticos. Su aparición se da frecuentemente entre los 50 y los 60 años de edad (El-Naggar et al., 2017).
En 2018 la población mexicana era de 130 759 070 personas. Del total anterior, a 190 067 se les diagnosticó con algún tipo de cáncer, de los cuales 2 017 individuos tuvieron el diagnóstico de COCE. El carcinoma oral se ubicó en el lugar 22 en relación con todos los tipos de cáncer y fue responsable de 674 defunciones durante este mismo periodo (El-Naggar et al., 2017). Los principales factores de riesgo para desarrollar COCE son el consumo de tabaco y alcohol que al combinarse aumentan el riesgo hasta en un 50% (Hashibe et al., 2009; Anantharaman et al., 2011). La ingesta excesiva de alguna de las sustancias mencionadas aumenta el riesgo desarrollar carcinoma oral (Neville y Day, 2002; El-Naggar et al., 2017). Además de estos factores, el virus del papiloma humano (subtipos 16 y 18) en boca se considera otro factor de riesgo para el COCE (Ha et al., 2002).
Clínicamente, en etapas iniciales de la enfermedad las lesiones suelen ser asintomáticas y con facilidad tienden a omitirse cuando la inspección clínica es inadecuada. (Cooper et al., 2004). Se debe sospechar de cáncer bucal cuando se identifique una lesión en cavidad bucal que persista más de tres semanas, principalmente de úlceras que no sanan entre siete y veintiún días. Otras lesiones que pueden evolucionar a cáncer son las placas de color blanco (leucoplasia) o rojo (eritroplasia), e incluso la combinación de las anteriores (eritroleucoplasia), que se consideran desordenes potencialmente malignos (DPMs) (Farah et al., 2014). Cuando alguna de estas tres últimas entidades presenta crecimiento exofítico o endofítico existe una gran posibilidad de que el diagnóstico corresponda a una neoplasia maligna (Van der Waal, 2014). La infección por virus de papiloma humano (VPH), subtipos de alto riesgo 16 y 18, en cavidad bucal pertenece al grupo de DPMs, por lo que se considera factor etiológico de desarrollo de COCE; sin embargo, muestra una baja prevalencia (Ha et al., 2002). La OMS concuerda en que el VPH de alto riesgo es poco frecuente como DPM. (El-Naggar et al., 2017). Referente a la transformación maligna de DPM, el rol que juega el VPH en esta transformación aún se encuentra en debate (Candotto et al., 2017; Chung y Gillison, 2009; El-Naggar et al., 2017; Ha et al., 2002; Woo et al., 2013).
Se consideran estadios avanzados de una neoplasia maligna cuando se detecta crecimiento tumoral, pérdida de órganos dentarios, dificultad o dolor a la fonación, deglución, incapacidad de usar prótesis dentales y adenomegalia cervical. En casos muy graves, además de las complicaciones mencionadas, se puede presentar dolor, parestesia de lengua o labio y dificultad para abrir la boca (Neville y Day, 2002; Maymone et al., 2019).
El COCE se localiza comúnmente en los bordes laterales de la lengua, piso de boca, orofaringe, paladar blando, mucosa yugal y labio inferior. En personas con hábito de fumar tabaco y consumo de alcohol las zonas afectadas se encuentran en vientre de lengua, piso de boca, mucosa oral y reborde alveolar (Lingen et al., 2008).
La proteína Ki-67 a través de la técnica de inmunohistoquímica ha sido examinada en COCE y displasia epitelial oral, como un marcador molecular de proliferación celular; en casos de displasia la proliferación celular aumenta en los estratos epiteliales (basal, espinoso y córneo) y la severidad de estas alteraciones se puede medir con Ki-67 (González et al., 2000). Otros autores han revelado que la proliferación celular en tumores malignos medidos con Ki-67 se correlacionan con la agresividad del tumor (Tumuluri et al., 2002).
El sistema TNM, donde T = tamaño del tumor primario, N = presencia de ganglios linfáticos, M = metástasis a distancia, ayuda a establecer el factor pronóstico del tumor, así como el seguimiento clínico y terapéutico de COCE (El-Naggar et al., 2017).
Para conocer la probabilidad de supervivencia de un paciente con COCE es necesario establecer la etapa en la que la enfermedad ha sido diagnosticada. La etapa se determina dependiendo el estadio tumoral que sea asignado con base en las características de la lesión. En seguida, se enlistan los estadios reportados por la OMS (El-Naggar et al., 2017):
Estadio 0: Tis, N0, M0
Estadio I: T1, M0, N0
Estadio II: T2, M0, N0
Estadio III: T1-2, N1, M0, T3, N0-1, M0
Estadio IVA: T1-3, N2, N0, T4a, N0-2, M0
Estadio IVB: cualquier T, N3, M0, T4b, cualquier N, M0
Estadio IVC: cualquier T, cualquier N, M1
Se considera un periodo inicial cuando la lesión se clasifica en estadios I y II, donde la tasa de supervivencia es alta. Posteriormente, el pronóstico se agrava en estadios III y IV ya que afecta la calidad de vida del paciente (fonación, alimentación, higiene) y aumenta el riesgo de muerte (El-Naggar et al., 2017).
Por otra parte, es importante recalcar que un diagnóstico tardío impacta de manera directa en la calidad y tiempo de sobrevida de un paciente con COCE. Tumores malignos en etapas avanzadas generan deficiencias sistémicas y exige tratamientos agresivos que en ocasiones son sólo paliativos (Neville y Day, 2002; Gambotti et al., 2018).
Cuando un paciente presenta un carcinoma oral la supervivencia en los estadios tempranos es de 80%, mientras que en los avanzados es de 35% (Cooper et al., 2004; Mateo-Sidrón Antón y Somacarrera Pérez, 2015). El manejo terapéutico de esta neoplasia maligna pretende que la cirugía garantice la eliminación completa del tejido neoplásico y al mismo tiempo sea lo menos mutilante. Tanto la cirugía como la radioterapia siguen siendo el gold standard para el tratamiento de tumores en labio y cavidad oral; estos tratamientos se dan por separado o en combinación y adicionalmente se complementan con quimioterapia cuando se considere necesario (Majumdar et al., 2017; Cooper et al., 2004; Gambotti et al., 2018; Ganly et al., 2012; Majumdar et al., 2017). La radioterapia juega un papel muy importante en el tratamiento del cáncer de cabeza y cuello; al respecto, algunos protocolos usan radioterapia como tratamiento inicial o como coadyuvante de la cirugía, y dependiendo la severidad del caso se combina con la quimioterapia (Neville y Day, 2002; Cooper et al., 2004; Vissink et al., 2003).
En síntesis, este artículo presenta los aspectos clínicos, anatomopatológicos e inmunohistoquímica de un caso de COCE diagnosticado tardíamente con desenlace fatal.
1. Materiales y métodos
1. 1. Reporte de caso
Un paciente masculino de 63 años de edad acude por primera vez a la Clínica de Orocentro de la Facultad de Odontología de la Universidad Autónoma del Estado de México el día 13 de noviembre de 2018 con la queja de “tumor en la lengua”. A la anamnesis refiere antecedentes personales patológicos de hipertensión arterial desde hace seis años bajo tratamiento; asimismo, indica antecedentes heredofamiliares de una tía con cáncer de mama. Comenta ser fumador desde los 20 años de edad, entre cuatro y cinco cigarrillos diarios, además de consumir de marihuana ocasionalmente durante tres años. Niega la ingesta de alcohol. Señala pérdida de peso de más 10 kg a partir de junio del mismo año. En la exploración extraoral se identifican adenomegalias bilaterales en regiones IIA y III, que miden 2 × 1 cm y 3 × 2 cm respectivamente.
Por medio del examen intraoral se observa un tumor en borde lateral izquierdo de la lengua con extensión al dorso, mide 15 cm × 15 cm × 12 cm, y presenta discretas áreas leucoplásicas y eritoplásicas. El tumor presenta ulceras necróticas con bordes elevados e indurados. La consistencia de la masa tumoral es firme. La base es predominantemente sésil con una zona pediculada, el crecimiento tumoral es exofítico y endofítico. Gracias a la palpación se percibe fijación a planos profundos. Presenta dificultad a la fonación, masticación y deglución (figura 1).
Ya con el diagnóstico clínico de COCE, se realiza biopsia incisional bajo anestesia local. Se envían muestras a patología para su estudio anatomopatológico (figura 2). Se prescribe ketorolaco 10 mg cada ocho horas por tres días. En la siguiente cita se observa proceso de reparación normal en la zona de toma de biopsia. El paciente presenta dolor, por lo que se prescribe tramadol/paracetamol 37.5 mg/325mg cada ocho horas.


2. Resultados
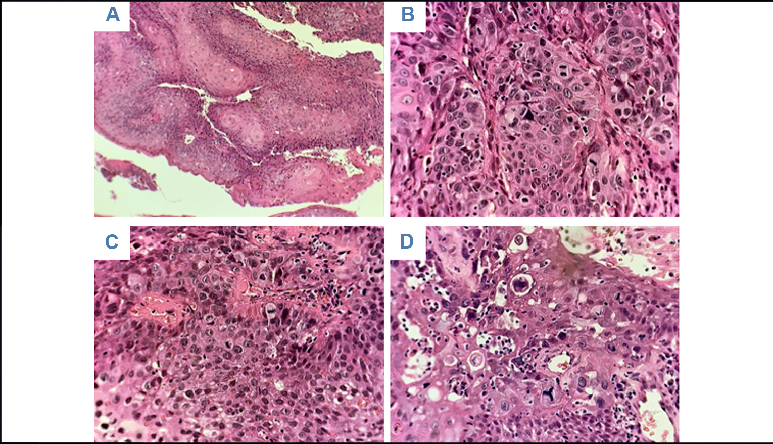
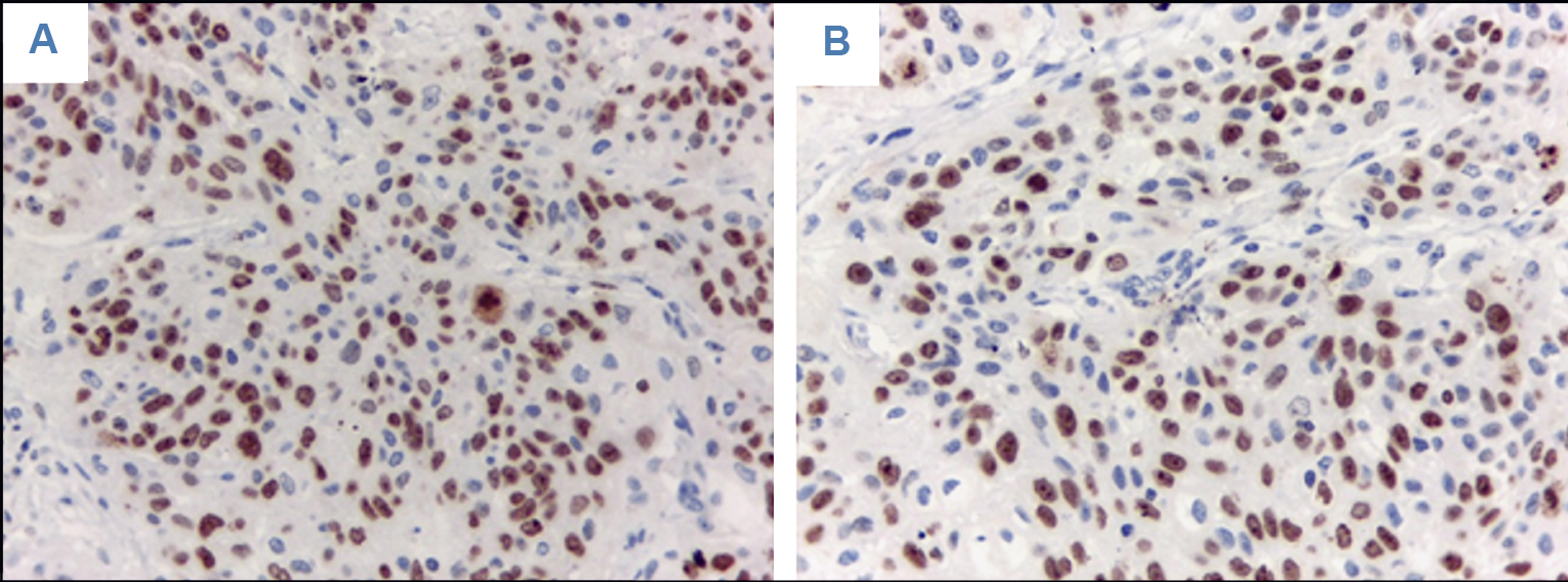
El análisis histopatológico revela neoplasia maligna de estirpe epitelial, la cual se caracteriza por mantos invasivos de células epiteliales, algunos con disqueratosis, con la formación de perlas de queratina (figura 3). Se observa alto grado de pleomorfismo en las islas que invaden al tejido conectivo, más de cuatro mitosis por campo de mayor aumento, así como frecuentes mitosis atípicas. También se identifica invasión perivascular y linfática, no apreciándose invasión perineural. En el nivel del tejido conectivo entre las islas de células neoplásicas se observa moderado infiltrado inflamatorio de predominio linfoplasmocitario. Se confirma el diagnóstico de COCE, moderadamente diferenciado, invasor. Se realiza Ki-67 para establecer el grado de proliferación celular y se obtiene como resultado un índice elevado de proliferación celular (+++) (figura 4).
Una semana después de la toma de biopsia se entrega el resultado anatomopatológico con diagnóstico de COCE moderadamente diferenciado, invasor. Se entrega reporte original, laminilla, bloque de parafina y se elabora referencia hacia centro oncológico para su valoración y manejo.
El paciente es recibido y valorado completamente en centro oncológico y se clasifica como T4, N2c y M0, por lo que se estadifica como IVB. Se propone como tratamiento la glosectomía total con resección radical bilateral de cuello. El paciente se rehúsa al tratamiento, por lo que sólo se indica quimioterapia con fines paliativos. A los tres meses y siete días de haber recibido el diagnóstico se informa del fallecimiento del paciente.


3. Discusión
El diagnóstico tardío de COCE compromete la sobrevida de los pacientes. La edad juega un rol importante respecto al pronóstico de cáncer oral, el cual afecta generalmente a mayores de 50 años de edad; asimismo, el sexo masculino sigue encabezando la lista en predominio de esta patología (Abadeh et al., 2019; El Nagar et al., 2017). El caso aquí relatado corresponde con la edad y el género descritos por la literatura.
Son múltiples los factores que inician las lesiones de COCE; sin embargo, este caso es ejemplo de los efectos nocivos del uso excesivo de tabaco (Feghali et al., 2019). El paciente descrito refirió haber consumido tabaco por un largo periodo (43 años). La frecuencia de este hábito se considera el principal factor para el desarrollo de carcinoma oral (Feghali et al., 2019; Perry et al., 2015) y fue una pista importante para sospechar del diagnóstico clínico (Feghali et al., 2019; Perry et al., 2015). El uso de marihuana con fines recreativos, como en el caso de este paciente, se ha reportado también como un factor que contribuye al desarrollo de cáncer bucal (De Carvalho et al., 2015). A pesar de que mencionó no ser bebedor, el daño causado por el abuso del tabaco parece haber sido suficiente para ocasionar el desarrollo de este tumor (Feghali et al., 2019; Perry et al., 2015).
Como se ha descrito en la literatura (Lingen et al., 2008, El-Naggar et al., 2017), los bordes laterales y el vientre lingual seguidos del piso de boca son los sitios más comunes para la localización del COCE. El dorso de lengua es considerado una localización extremadamente rara para el carcinoma oral (Lingen et al., 2008). En este caso la lesión se origina del borde lateral izquierdo de la lengua y se extiende hacia el dorso y la punta dando la falsa impresión de que la lesión surge de esta zona.
La presentación clínica del paciente, de lesión tumoral de gran tamaño, adherida a planos profundos y áreas ulceradas de bordes indurados, coincide con tumores en etapas avanzadas descritos en la literatura (El Nagar et al., 2017). Es primordial que los odontólogos y el personal de salud tengan la capacidad de identificar cualquier alteración en cavidad bucal, ya que permitirá reconocer lesiones en etapas iniciales o entidades en etapas avanzadas. Con el mismo valor de importancia, los pacientes deben acudir a consulta odontológica con regularidad para realizarse un examen clínico en busca de lesiones potencialmente malignas, el cual debe llevarse a cabo con minuciosidad: iniciar por el examen extraoral y seguir con la exploración intraoral. Es fundamental que esta evaluación se realice con ayuda de espejos intraorales y con buena iluminación. Pacientes que en su historia clínica relaten factores de riesgo, como uso de tabaco, consumo de alcohol o antecedentes de neoplasias malignas en otras partes del cuerpo, deben ser evaluados con mayor frecuencia (Maymone et al., 2019; Cooper et al., 2004). Asimismo, es necesario prestar especial atención en lesiones orales que persistan más de dos o tres semanas en boca; pasado este tiempo, se debe considerar la posibilidad de que se tome una biopsia para determinar la naturaleza de la lesión (Maymone et al., 2019; Abadeh et al., 2019).
Un gran número de los casos de COCE corresponde al subtipo queratinizante convencional. El grado histológico en este reporte fue de un tumor moderadamente diferenciado, diagnóstico que se confirmó a través la biopsia incisional (Majumdar et al., 2017). En el reporte anatomopatológico se describen algunos factores que fungen como pronósticos, por ejemplo, el grado de invasión, la diferenciación escamosa, la invasión vascular, linfática y perineural, así como la presencia de mitosis, necrosis y el grado de inflamación (Majumdar et al., 2017).
Por otro lado, el uso de la clasificación TNM ha sido reportado en varios estudios como una herramienta que ayuda a definir el tratamiento y aporta información importante para establecer el pronóstico de los pacientes con COCE (Majumdar et al., 2017; Cooper et al., 2004; Gambotti et al., 2018; Ganly et al., 2012; Majumdar et al., 2017). En el caso de este reporte se da a conocer el grado de agresividad presente en la neoplasia según el tamizaje TNM donde, de acuerdo con el tamaño del tumor y el número de ganglios afectados, se descartó la posibilidad de metástasis y, con base en estos datos, se dio el diagnóstico y se estableció el tratamiento para el paciente, quien lamentablemente lo rechazó y las opciones que restaron (quimioterapia paliativa) disminuyeron de manera significativa el pronóstico en este caso.
Boza (2017) menciona la clave para un diagnóstico y tratamiento oportuno, la cual consiste en que el paciente acuda a consulta tan pronto observe alguna mancha o lesión con potencial de transformación maligna, que podrían llevar al desarrollo de COCE. En el reporte de caso de Boza (2017) la paciente acude de manera oportuna por presentar una eritroplasia, que al tomar la biopsia excisional con márgenes de seguridad se establece el diagnóstico de COCE bien diferenciado e invasor. El tratamiento que se le dio a la paciente lo aceptó bien y no alteró su calidad de vida; por el contrario, en el reporte de este artículo el paciente con COCE en etapa avanzada no aceptó el tratamiento, que consistía en la mutilación de la lengua, lo cual repercutiría en los procesos de fonación y deglución. El desenlace del paciente en este caso fue trágico, ya culmina con su defunción. Ernani y Saba (2015) mencionan la gran responsabilidad que tienen los dentistas para la detección oportuna y correcta de lesiones conocidas como premalignas. La identificación de este grupo de entidades en una etapa inicial ayudará a disminuir los casos de COCE, así como a minimizar los efectos adversos que el tratamiento quirúrgico provoca. Uno de los factores que más afectan la calidad de vida que quienes padecen COCE es la deficiencia nutricional debido a la anorexia-caquexia (Gellrich et al., 2015; Perboni e Inui, 2006; Sánchez-Lara et al., 2011) como la que presentaba el paciente. Si bien aquellos pacientes con diagnóstico de cáncer presentan síntomas similares, existen otros tipos, además del COCE, que afectan el estado nutricional como el de pulmón, de próstata y el gástrico (Molfino et al., 2017; Perboni e Inui, 2006; Sánchez-Lara et al., 2011). El paciente descrito presentaba pérdida de peso de más de 10 kg en cinco meses. Alhambra et al. (2017) menciona que el grado de desnutrición influye directamente en el estadio de la enfermedad y en el tratamiento antineoplásico. Tumores grandes en cavidad bucal, como el que se expone, limita las funciones de masticación y deglución. Se ha reportado que hasta 20% de pacientes con algún carcinoma tienen alto riesgo de morir debido a la desnutrición. De acuerdo con el Instituto Nacional de Cáncer y la Sociedad Americana de Cáncer, uno de cada tres pacientes con cáncer mueren a causa del estado nutricional (Alhambra et al., 2017).
Análisis prospectivo
El carcinoma oral de células escamosas diagnosticado de manera tardía afecta gravemente la calidad de vida y disminuye el tiempo de sobrevida de estos pacientes. Por lo tanto, dar a conocer a la población en general y a los profesionales de la salud bucal, los factores de riesgo, el uso de un estadiaje adecuado, acompañado de técnicas inmunohistoquímicas para determinar la fase y agresividad con la que se presenta esta patología, así como la importancia de un diagnóstico oportuno de cualquier lesión en cavidad bucal, es indispensable para disminuir que esta neoplasia afecte en severidad y extensión los tejidos de la cavidad bucal. La identificación precoz de lesiones en cavidad bucal mejora el pronóstico en pacientes con neoplasias benignas y malignas, además de disminuir los costos de tratamiento de estos tumores.
Agradecimientos
Se agradecen los comentarios de los árbitros de la revista que mejoraron sustancialmente el contenido del artículo.
Referencias
Abadeh, A., Ali, A. A., Bradley, G., & Magalhaes, M. A. (2019). Increase in detection of oral cancer and precursor lesions by dentists. The Journal of the American Dental Association, 150(6), 531-539.
Alhambra, M. R., Herrera, A. D., Manzano, G., Espinosa, M., Bueno, C. M., & Gálvez, M. A. (2017). Early nutrition support therapy in patients with head-neck cancer. Nutrición Hospitalaria, 35(3), 505-510.
Anantharaman, D., Marron, M., Lagiou P., Samoli, E., Ahrens, W., & Pohlabeln, H. (2011). Population attributable risk of tobacco and alcohol for upper aerodigestive tract cancer. Oral Oncology, 47, 725-731.
Boza, Y. (2017). Carcinoma oral de células escamosas diagnosticado precozmente: reporte de caso y revisión de literatura. Odovtos-International Journal of Dental Sciences, 19(1), 33-42.
Candotto, V., Lauritano, D., Nardone, M., Baggi, L., Arcuri, C., Gatto, R., Gaudio, R. M., Spadari, F., & Carinci, F. (2017). HPV infection in the oral cavity: Epidemiology, clinical manifestations and relationship with oral cancer. ORAL & implantology, 10(3), 209-220. https://doi.org/10.11138/orl/2017.10.3.209
Cooper, J. S., Pajak, T. F., Forstiere, A. A., Jacobs, J., & Campbell, B. (2004). Postoperative concurrent radiotherapy and chemotherapy for high risk squamous cell carcinoma of the head and neck. The New England Journal of Medicine, 350(19), 37-44.
Chung, C. H., & Gillison, M. L. (2009). Human papillomavirus in head and neck cancer: Its role in pathogenesis and clinical implications. Clinical Cancer Research, 15(22), 6758-62. https://doi.org/10.1158/1078-0432.CCR-09-0784.
De Carvalho, M. R., Dourado, I. B., Fernandes Araújo, A. T. M., Mesquita, M. L., & Ramos, J. (2015). Head and neck cancer among marijuana users: A meta-analysis of matched case-control studies. Archives of Oral Biology, 60(12), 1750-5.
El-Naggar, A. K., Chan, J. K. C., Grandis, J. R., Takata, T., & Slootweg, P. J. (2017). WHO Classification of Head and Neck Tumours (4th edition).
Ernani, V., & Saba, F. N. (2015). Oral cavity cancer: Risk factors, pathology, and management. Oncology, 89(4), 187-95.
Farah, C. S., Woo, S. B., Zain, R. B., Sklavounou, A., McCullough, M. J., & Lingen, M. (2014). Oral cancer and oral potentially malignant disorders. International Journal of Dentistry, 853479. https://doi.org/10.1155/2014/853479
Feghali, K. A. A., Ghanem, A. I., Burmeister, C., Chang, S. S., Ghanem, T., & Keller, C. (2019). Impact of smoking on pathological features in oral cavity squamous cell carcinoma. Journal of Cancer Research and Therapeutics, 15, 582-8.
Gambotti, L., Schwob, E., Schouman, T., Murcier, G., Goudot, P., Mallet, A., & Bertolus, C. (2018). Are elderly patients presenting with squamous cell carcinoma of the oral cavity given the appropriate treatment? Surgical Oncology, 27(4), 715-721.
Ganly, I., Patel, S., & Shah, J. (2012). Early stage squamous cell cancer of the oral tongue-clinicopathologic features affecting outcome. Cancer, 118(1), 101-11.
Gellrich, N. C., Handschel, J., Holtmann, H., & Krüskemper, G. (2015). Oral cancer malnutrition impacts weight and quality of life. Nutrients, 7(4), 2145-60.
Gonzalez, M. A., Ruiz, I., Rodriguez, A. & Martinez, I. (2000). Suprabasal expression of Ki-67 antigen as a marker for the presence and severity of oral epithelial dysplasia. Head & Neck, 22(7), 58-61.
Ha, P. K., Pai, S. I., Westra, W. H., Gillison, M. L., Tong, B. C., Sidransky, D., & Califano, J. A. (2002). Real-time quantitative PCR demonstrates low prevalence of human papillomavirus type 16 in premalignant and malignant lesions of the oral cavity. Clinical Cancer Research, 28(5), 1203-9.
Hashibe, M., Brennan, P., Chuang, S. C., Boccia, S., Castellsague, X., Chen, C., & Boffetta, P. (2009). Interaction between tobacco and alcohol use and the risk of head and neck cancer: Pooled analysis in the INHANCE Consortium. Cancer Epidemiol Biomarkers & Prevention, 18(2), 541-550.
Lingen, M. W., Kalmarr, J. R., Karrison, T., & Serbit, P. M. (2008). Critical evaluation of diagnostic aids for the detection of oral cancer. Oral Oncology, 44(1), 10-22.
Majumdar, B., Patil, S., Sarode, S., & Sarode, G. (2017). Clinico-pathological prognosticators in oral squamous cell carcinoma: An update. Translational Research in Oral Oncology, 2(7), 1-14.
Mateo-Sidrón Antón, M. C., & Somacarrera Pérez, M. L. (2015). Cáncer oral: genética, prevención, diagnóstico y tratamiento. Revisión de la literatura. Avances en Odontoestomatología, 31(4), 247-59.
Maymone, M. B. C., Greer, R. O., Kesecker, J., Sahitya, P. C., Burdine L. K., Cheng, A. D., Maymone, A. C., & Vashi, N. A. (2019). Premalignant and malignant oral mucosal lesions: Clinical and pathological findings. Journal of the American Academy of Dermatology, 81, 59-71.
Molfino, A., Iannace, A., Colaiacomo, M. C., Farcomeni, A., Emiliani, A., Gualdi, G., Laviano, A., & Rossi Fanelli, F. (2017). Cancer anorexia: Hypothalamic activity and its association with inflammation and appetite-regulating peptides in lung cancer. Journal of Cachexia, Sarcopenia and Muscle, 8(1), 40-47.
Neville, B. W., & Day, T. (2002). Oral cancer and precancerous lesions. CA: A Cancer Journal for Clinicians, 52(4), 195-215.
Perry, B. J., Zammit, A. P., Lewandowski, A. W., Bashford, J. J., Dragovic, A. S., Perry, E. J., Hayatbakhsh, R., & Perry, C. F. L. (2015). Sites of origin of oral cavity cancer in nonsmokers vs smokers possible evidence of dental trauma carcinogenesis and its importance compared with human papillomavirus. JAMA Otolaryngoly-Head Neck Surgery, 141(1), 5-11.
Perboni, S., & Inui, A. (2006). Anorexia in cancer: Role of feeding-regulatory peptides. Philosophical Transactions of the Royal Society B: Biological Sciences, 361(1471), 1281-9.
Sánchez-Lara, K., Sosa-Sánchez, R., Green-Renner, D., y Méndez-Sánchez, N. (2011). Observaciones sobre la patogénesis de la anorexia asociada a cáncer y su regulación por el sistema nervioso central. Nutrición Hospitalaria, 26(4), 677-684.
Tumuluri, V., Thomas, G. A., & Fraser, I. S. (2002). Analysis of the Ki-67 antigen at the invasive tumour front of human oral squamous cell carcinoma. Journal of Oral Pathology and Medicine, 31(10), 598-604.
Van der Waal, I. (2014). Oral potentially malignant disorders: Is malignant transformation predictable and preventable? Medicina Oral, Patología Oral y Cirugía Bucal, 19(4), e386-90.
Vissink, A., Jansma, J., Spijkernet, K. L., Burlage, F. R., & Coppes, R. P. (2003). Oral sequeale of head and neck radiotherapy. Critical Reviews in Oral Biology & Medicine, 14(3), 199-212.
Woo, S. B., Cashman, E. C., & Lerman, M. A. (2013). Human papillomavirus-associated oral intraepithelial neoplasia. Modernd Patology, 26(10), 1288-97. https://doi.org/10.1038/modpathol.2013.70.
Enlace alternativo