Hiperplasia endometrial y criterios ecográficos: reporte de caso y revisión de la literatura
Endometrial hyperplasia and sonographic criteria: Case report and literature review
Hiperplasia endometrial e critérios ecográficos: relato de caso e revisão da literatura
Hiperplasia endometrial y criterios ecográficos: reporte de caso y revisión de la literatura
Medicina U.P.B., vol. 37, núm. 2, pp. 149-153, 2018
Universidad Pontificia Bolivariana

Recepción: 27 Diciembre 2017
Aprobación: 27 Febrero 2018
Resumen: El objetivo de este artículo es revisar los criterios ecográficos de hiperplasia endometrial y evaluar los puntos de corte para indicar la realización de biopsia endometrial. Se reporta el caso de una mujer de 47 años, con cuadro clínico de 4 años de evolución de sangrado vaginal anormal tipo menorragia, metrorragia e hipermenorrea, en manejo con anticonceptivos orales, sin mejoría, y con ecografía transvaginal con diagnóstico de hiperplasia endometrial. Para el diagnóstico de patología endometrial en las mujeres posmenopáusicas con sangrado vaginal, los autores recomiendan un valor de corte del grosor endometrial por ecografía transvaginal entre 4-5 mm con sensibilidad del 98% y valor predictivo negativo del 99% debido a que valores superiores están altamente relacionados con carcinoma endometrial.
Palabras clave: metrorragia, hemorragia uterina, cáncer endometrial, hiperplasia endometrial, enfermedades uterinas.
Abstract: The aim of this article is to review the sonographic criteria of endometrial hyperplasia and define the cutoff value to indicate the completion of the endometrial biopsy due to its relationship with the risk of endometrial carcinoma. We report the case of a woman aged 47 with four years of vaginal bleeding characterized by menorrhagia, metrorrhagia, and hypermenorrhea being treated with oral contraceptives without improvement, and transvaginal ultrasound diagnosis of endometrial hyperplasia. For the diagnosis of endometrial pathology in postmenopausal women with vaginal bleeding, the authors recommend a cutoff value of endometrial thickness by transvaginal ultrasound of 4-5 mm with sensitivity of 98% and negative predictive value of 99% since higher values are closely related to endometrial carcinoma.
Keywords: metrorrhagia, uterine hemorrhage, endometrial neoplasms, endometrial hyperplasia, uterine diseases.
Resumo: O objetivo deste artigo é revisar os critérios ecográficos de hiperplasia endometrial e avaliar os pontos de corte para indicar a realização de biopsia endometrial. Se reporta o caso de uma mulher de 47 anos, com quadro clínico de 4 anos de evolução de sangrado vaginal anormal tipo menorragia, metrorragia e hipermenorreia, em manejo com anticonceptivos orais, sem melhora, com ecografia transvaginal com diagnóstico de hiperplasia endometrial. Para o diagnóstico de patologia endometrial nas mulheres pós-menopáusicas com sangrado vaginal, os autores recomendam um valor de corte do espessura endometrial por ecografia transvaginal entre 4-5 mm com sensibilidade de 98% e valor preditivo negativo de 99% devido a que valores superiores estão altamente relacionados com carcinoma endometrial.
Palavras-chave: metrorragia, hemorragia uterina, câncer endometrial, hiperplasia endometrial, doenças uterinas.
INTRODUCCIÓN
La hemorragia uterina anormal (HUA) corresponde a cualquier sangrado diferente al patrón menstrual en frecuencia, regularidad, volumen y duración. Definiéndose así como anormal una frecuencia menor a 21 días o mayor a 35 días, ciclos irregulares (variación de un ciclo al siguiente de más de 20 días), volumen mayor a 80 ml generalmente difícil de medir, por lo que se ha adoptado el término menstruaciones pesadas y se define como aquella que empapa una toalla o un tampón cada dos horas o como un volumen de sangrado que interfiere con las actividades diarias, por ejemplo despierta a la paciente o mancha la ropa o sábanas y tiene una duración mayor a 5 días. Cualquier sangrado que se presente en mujeres menopáusicas se considera HUA1. La hiperplasia endometrial es una entidad en la que existe una proliferación de glándulas endometriales de tamaño y forma irregular, con mayor proporción de glándulas sobre el estroma, como consecuencia de una excesiva exposición a los estrógenos2.
El carcinoma endometrial es la malignidad del tracto genital femenino más común en los países desarrollados3, y en mujeres posmenopáusicas, se manifiesta clínicamente como sangrado vaginal en el 4 al 11%4, pero es el síntoma principal en más del 90% de los casos. La ecografía transvaginal es el mejor método de evaluación en mujeres posmenopáusicas, tanto sintomáticas como asintomáticas, para el diagnóstico de patología endometrial5.
Los principales factores de riesgo para carcinoma endometrial son: edad entre 50 y 59 años (31.8%), Obesidad (24.9%), nuliparidad (22.7%), uso de estrógenos sin asociación con progestágenos por más de 1 año y uso de tamoxifeno (20% a 50%)6,7,8. La hiperplasia endometrial se clasifica histológicamente en hiperplasia con o sin atipia. La atipia citológica está caracterizada por un aumento en la estratificación con pérdida de la polaridad celular, núcleos hipercromáticos, nucléolos prominentes, cromatina de aspecto grumoso e incremento de la razón núcleo/citoplasma9.
La medición del grosor endometrial se realiza mediante la ecografía transvaginal en un corte sagital del útero. El resultado es la medida del doble espesor de la capa endometrial tomando una medida anteroposterior de una capa basal a la otra, con exclusión de cualquier fluido dentro de la cavidad10. Los valores de corte para el grosor endometrial han sido estudiados en relación con la sensibilidad y especificidad para el diagnóstico de cáncer de endometrio y definir así cuándo indicar un estudio histológico en estas pacientes; teniendo en cuenta además si tienen o no sangrado vaginal. La mayoría de los autores mencionan un valor de corte de 4-5 mm (Ver Tabla 1).
| Autor (año) [Ref.] | Tipo de estudio | Lugar | Año de estudio | Rango de edad | Años de seguimiento | Resultado de interés |
| Breijer y cols (2012) [3] | Metanálisis- Revisión | Alemania (1989) Finlandia (1993) Suecia (1993) Bulgaria (1996) Holanda (2000) Dinamarca (2002) Japón (2005) Irán (2011) | 2011 | posmenopáusicas | 30 | Grosor endometrial promedio estimado: 2.9 mm Prevalencia de CA endometrial 0.62%(95% CI, 0.42–0.82%) Prevalencia de Hiperplasia atípica 0.59% (95% CI, 0.22–0.96%) Sensibilidad de la medida de grosor endometrial por eco TV para predecir CA endometrial 0.83 (95% CI, 0.19–1.00) y especificidad de 0.72 (95% CI, 0.23–0.95) para un corte de 5-mm Y sensibilidad 0.33 (95% CI, 0.04–0.85) y especificidad de 0.94 (95% CI, 0.92–0.96) para un corte de 6-mm No se recomienda el uso del grosor endometrial para tamización de CAa endometrial o hiperplasia endometrial en mujeres posmenopáusicas asintomáticas |
| Smith- Bindman y cols (2004) [7] | Revisión | San Francisco, USA | 1992-1996 | Posmenopáusicas ≥ 50 años | 4 | Mujer posmenopáusica con sangrado vaginal y endometrio >11 mm, se debe realizarle biopsia porque el riesgo de CA endometrial es 6.7% Si es ≤11 mm no se recomienda biopsia porque el riesgo de CA es extremadamente bajo |
| Raby y cols (2014) [11] | Revisión | Chile | 2007-2012 | 18-84 años (promedio 47 años) | 5 | Se recomienda biopsia endometrial en toda mujer posmenopáusica que presente HUA y endometrio ≥3 mm No se recomienda tamización con eco TV en mujeres posmenopáusicas sin HUA |
| Timmermans y cols (2010) [12] | Revisión sistemática y metanálisis | Holanda | 2000-2006 | 52-70 años | 6 | La medida del espesor endometrial sobreestima la precisión diagnóstica para la detección de CA endometrial. Se aconseja un valor de corte de 3 mm para descartar CA endometrial en la mujer posmenopáusica |
| Dimitraki y cols (2011) [13] | Revisión | Grecia | 1991-1993 | >40 años | 2 | Espesor endometrial reportado por eco TV >5 mm se recomienda biopsia endometrial, por mayor riesgo de CA endometrial |
| Hosoi y cols (2013) [14] | Revisión | Japón | 2010-2012 | 45-89 años (promedio 63 años) | 2 | El grosor endometrial es confiable para predicción de CA endometrial y se recomienda un corte entre 4-5 mm en mujeres posmenopáusicas para descartar esta patología |
CASO CLÍNICO
Paciente de 47 años, casada, natural de Medellín, residente en Itagüí. Sin antecedentes patológicos relevantes. Antecedentes gineco-obstétricos: gestas: 2, abortos: 1, partos: 2. Menarca a los 12 años. Fecha de la última menstruación: 21 de septiembre de 2015.
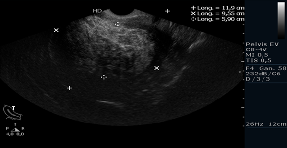
Presenta cuadro clínico de 4 años de evolución de sangrado vaginal abundante tipo menorragia, ciclos de 24 días, duración de 5 días, con volumen mayor a 80 ml (refiere cambio de toalla cada 2 horas, completamente impregnada), ocasionalmente presenta metrorragias, asociado con dolor pélvico crónico; síntomas que han alterado su calidad de vida y desempeño laboral. Fue valorada en consulta de ginecología hace 2 años, se le pide una ecografía transvaginal con diagnóstico de hiperplasia endometrial, no se realizó biopsia. Le iniciaron tratamiento con anticonceptivos orales a base de levonogestrel a dosis de 25 mcg vo /día por 6 meses, con mejoría parcial y episodio de reagudización del sangrado posterior a la suspensión del tratamiento. Se le realiza nueva ecografía transvaginal 2 años después, reportando engrosamiento endometrial de 59 mm (ver Figura 1). Se le realizó curetaje biopsia que reportó endometrio secretor, negativa para displasia o malignidad.

DISCUSIÓN
La hiperplasia endometrial se clasifica histológicamente en hiperplasia con o sin atipia. La presencia de atipia celular es el factor pronóstico más importante para la progresión a carcinoma endometrial, pues el 23% de las pacientes con hiperplasias atípicas desarrollan adenocarcinoma de endometrio en un promedio de 4 años posterior al diagnóstico de la lesión precursora, mientras que solo el 2% de lesiones sin atipia progresan en un periodo estimado de 13 años9.
Entre la 6ª y la 7ª década de la vida, hay mayor riesgo de carcinoma endometrial mientras que en mujeres menores de 40 años, la incidencia es menor al 5%. El sangrado vaginal es el síntoma principal en más del 90% de los casos de carcinoma endometrial.
Como se ha mencionado, la ecografía transvaginal es el mejor método de screening en mujeres posmenopáusicas, tanto sintomáticas como asintomáticas, para el diagnóstico de patología endometrial, siendo una técnica no invasiva y sencilla. Se han definido los valores de corte para el grosor endometrial según su sensibilidad y especificidad para el diagnóstico de cáncer de endometrio, que permiten establecer la indicación de un estudio histológico en estas pacientes. La mayoría de los autores mencionan un valor de corte entre 4-5 mm, con una sensibilidad de 94,8 % y una especificidad del 46.7 % para 4 mm y 90.3% y 54.0% para 5 mm.
Raby et al11 publicaron un estudio en 2014 donde se realizó una revisión retrospectiva de biopsias de endometrio e historias clínicas de mujeres posmenopáusicas atendidas entre 2007 y 2012, en el que se analizaron 132 casos, de los cuales el 63,6% presentaron HUA. Hubo 17 casos de cáncer de endometrio (12.9%), con un grosor endometrial promedio de 18 mm, de los cuales el 88% presentó HUA. En mujeres sintomáticas la sensibilidad para el diagnóstico de cáncer de endometrio fue de 100% y de 93% para valores de corte 3 y 5 mm respectivamente. En mujeres asintomáticas, el punto de corte 11 mm, tuvo una sensibilidad de 50% y una especificidad de 65% para el diagnóstico de cáncer de endometrio por lo que se concluyó que en mujeres posmenopáusicas con HUA y endometrio >3mm se recomienda realizar biopsia endometrial, mientras que en mujeres asintomáticas no es recomendable realizar evaluación ecográfica endometrial de rutina12.
Dimitraki et al13 informan en su estudio una prevalencia del 0.6% de cáncer de endometrio en mujeres posmenopáusicas con HUA y una medida endometrial <4 mm; esta prevalencia aumenta hasta 19% en las mujeres con un grosor endometrial de 5 mm, por lo que concluyen que en las mujeres con una medida endometrial <4 mm no se requiere la realización de biopsia endometrial. Otros estudios sugieren un grosor endometrial mínimo de 5 mm como el valor de corte para la realización de biopsia, proporcionando mínimos falsos positivos en la mayoría de los casos y un porcentaje de falsos negativos entre el 0.25% y 0.50%14. Por otra parte, varios estudios sugieren que un grosor endometrial >15 mm es altamente sugestivo de carcinoma endometrial13.
En nuestro caso, tenemos una paciente posmenopáusica, con sangrado uterino anormal y ecografía con grosor endometrial de 59 mm, que según la evidencia analizada en los diferentes estudios, está muy por encima del valor de corte definido como de alta sensibilidad y especificidad para el diagnóstico de carcinoma endometrial. Por lo que para esta paciente se consideró mandatorio un estudio histológico en forma prioritaria, que si bien, el resultado fue negativo para malignidad, es sin duda alguna el procedimiento más pertinente a seguir con la paciente con un adecuado soporte en la literatura.
REFERENCIAS
Kaunitz A. Approach to abnormal uterine bleeding in nonpregnant reproductive-age women. (Internet) Walthman (MA): UpToDate; 2015 (acceso el 28 de febrero de 2015)
Giuntoli R, Zacur H. Classification and diagnosis of endometrial hiperplasia. (Internet) Walthman (MA): UpToDate; 2014 (acceso el 23 de octubre de 2015)
Breijer MC, Peeters JA, Opmeer BC, Clark TJ, Verheijen RH, Mol BW, Timmermans A. Capacity of endometrial thickness measurement to diagnose endometrial carcinoma in asymptomatic postmenopausal women: a systematic review and meta-analysis. Ultrasound Obstet Gynecol 2012; 40(6):621-629.
Goodman A. Postmenopausal uterine bleeding (Internet) Walthman (MA): UpToDate; 2015 (acceso el 23 de octubre de 2015)
Cornelia L, Method M, Leitao M, Ioffe O, Hampton M, Higgins R, Lu K, Zaino R, Mutter G. Management of Endometrial Precancers. Obstet Gynecol 2012; 120(5):1160–1175.
Steven R. Goldstein, MD. Sonography in Postmenopausal Bleeding. J Ultrasound Med 2012; 31:333–336.
Smith-Bindman R, Weiss E, Feldstein V. How thick is too thick? When endometrial thickness should prompt biopsy in postmenopausal women without vaginal bleeding. Ultrasound Obstet Gynecol 2004; 24(5):558-565.
Scucces M. Epidemiología del carcinoma de endometrio. Rev Obstet Ginecol Venez 2010; 70(1):37-41.
García E, Cárdenas L, Sandoval D, Mayorga H. Hiperplasia endometrial: Análisis de serie de casos diagnosticados en biopsia endometrial. Rev Chil Obstet Ginecol 2010; 75(3):146–152.
Feldman S. Evaluation of the endometrium for malignant or premalignant disease. (Internet) Walthman (MA): UpToDate; 2014 (acceso el 23 de octubre de 2015).
Raby T, Sierra P, Tsunekawa H, Craig J, Carvajal J, Cuello M. Capacidad diagnóstica de la ecografía para detectar cáncer de endometrio en mujeres posmenopáusicas sintomáticas y asintomáticas. Rev Chil Obstet Ginecol 2014; 79(3):166-172.
Timmermans A, Opmeer B, Khan K, Bachmann L, Epstein E, Clark J, et al. Endometrial thickness measurement for detecting endometrial cancer in women with postmenopausal bleeding. Obstet Gynecol 2010; 116:160–167.
Dimitraki M, Tsikouras P, Bouchlariotou S, Dafopoulos A, Liberis V, Maroulis G, et al. Clinical evaluation of women with PMB. Is it always necessary an endometrial biopsy to be performed? A review of the literature. Arch Gynecol Obstet 2011; 283(2):261-266.
Hosoi A, Ueda Y, Shindo M, Nakagawa S, Matsuzaki S, Kobayashi E, et al. Endometrial thickness measured by ultrasonography in postmenopausal patients with endometrial carcinoma has significance, irrespective of histological subtype. Int J Gynecol Cancer 2013; 23:1266-1269.
Notas de autor
Información adicional
Consideraciones
éticas: En
la elaboración del presente documento nos abstenemos de publicar nombres,
documentos de identidad o cualquier información que pudiese vincular a la
paciente o los médicos tratantes, que pudieran ser objeto de violación de la
privacidad. El material fotográfico de la ecografía transvaginal es exclusivo
del caso clínico.
DECLARACIÓN
DE CONFLICTO DE INTERESES: Los
autores declaran no tener ningún conflicto de intereses.