Reporte de Caso
Síndrome de pinzamiento femoroacetabular
Femoroacetabular impingement síndrome
Síndrome de pinzamiento femoroacetabular
Síndrome de pinzamiento femoroacetabular
Medicina U.P.B., vol. 38, núm. 1, pp. 71-77, 2019
Universidad Pontificia Bolivariana

Recepción: 13 Marzo 2018
Aprobación: 28 Mayo 2018
Resumen: El síndrome de pinzamiento femoroacetabular (SPFA) se caracteriza por un contacto anormal entre el fémur y el acetábulo al final de ciertos movimientos de la cadera, especialmente durante la flexión, la rotación interna y la externa. Ha sido propuesto recientemente como factor causal importante de osteoartritis temprana y de dolor de cadera en pacientes jóvenes. Es una entidad cuyo diagnóstico se basa en una buena historia clínica y en ayudas imagenológicas, como radiografías AP de pelvis, lateral verdadera de cadera o a través de la mesa (cross table) y artroresonancia magnética. El tratamiento se dirige hacia la corrección quirúrgica de la anormalidad anatómica que está desencadenando el cuadro y su éxito depende de una intervención temprana. El propósito de este artículo es brindar una aproximación a la patología, clínica, diagnóstico y tratamiento de este síndrome basado en el caso clínico de un paciente.
Palabras clave: fémur, acetábulo, osteoartritis, cadera, adulto joven.
Abstract: Femoroacetabular impingement (FAI) is a clinical syndrome characterized by an abnormal contact between the femur and acetabulum at the end of certain hip movements, especially during flexion, internal and external rotation, and has currently been proposed as an important causal factor of early-onset osteoarthritis and hip pain in young adults. This syndrome is diagnosed on the basis of a complete clinical history and imaging methods, such as pelvic and lateral hip or cross-table radiographs and magnetic resonance arthrography. Treatment involves surgical improvement of the anatomic abnormality that is producing the syndrome, and its success depends on an early intervention. The purpose of this paper is to gain a better understanding of the pathology, clinical aspects, diagnosis, and treatment of this syndrome based on a patient case report.
Keywords: femur, acetabulum, osteoarthritis, hip, young adult.
Resumo: A síndrome de pinçamento femoroacetabular (SPFA) se caracteriza por um contato anormal entre o fémur e o acetábulo ao final de certos movimentos do quadril, especialmente durante a flexão, a rotação interna e a externa. Há sido proposto recentemente como fator causal importante de osteoartrites precoce e de dor de quadril em pacientes jovens. É uma entidade cujo diagnóstico se baseia em uma boa história clínica e em ajudas imagenológicas, como radiografias AP de pélvis, lateral verdadeira de quadril ou através da mesa (cross table) e artroresonancia magnética. O tratamento se dirige para a correção cirúrgica da anormalidade anatómica que está desencadeando o quadro e seu sucesso depende de uma intervenção precoce. O propósito deste artigo é brindar uma aproximação à patologia, clínica, diagnóstico e tratamento deste síndrome baseado no caso clínico de um paciente.
Palavras-chave: fémur, acetábulo, osteoartrite, quadril, adulto jovem.
INTRODUCCIÓN
El síndrome de pinzamiento femoroacetabular (SPFA) es una entidad clínica que ha despertado interés en los últimos 15 años y que ha sido relacionada con el desarrollo del dolor de cadera y de la osteoartritis temprana1,2. Su prevalencia ha sido difícil de calcular, pero, en general, varios estudios han coincidido en que es alrededor del 10% al 15%3. Esta afección mecánica predispone la articulación coxofemoral a una inestabilidad dinámica, a una sobrecarga articular localizada, a un pinzamiento o a una combinación de estas características, que se convierten en potenciales mecanismos para el desarrollo de lesiones condrales, del labrum y osteoartritis progresiva en la mayoría de caderas4, alterando así los rangos de movimiento fisiológico del paciente e interfiriendo con sus actividades diarias2.
El síndrome es conocido por los ortopedistas, pero anteriormente era diagnosticado en el campo de otras enfermedades de la cadera como la displasia, el deslizamiento epifisiario de la cabeza femoral y la enfermedad de Perthes, entre otras5. Hay que tener en cuenta que hay limitaciones en los métodos diagnósticos, ya que pueden fallar y no hacer evidente la etiología de cambios sutiles en el espacio articular de la cadera, como en el caso de los rayos X simples2. Todos estos factores pueden llevar a que se practiquen intervenciones innecesarias que agraven el daño articular6.
Diagnósticos diferenciales
Existen numerosos diagnósticos diferenciales de dolor inguino-femoral en el adulto que deben tenerse en cuenta. Entre los más representativos se encuentran7:
-Endometriosis.
-Cólico renal.
-Varicocele.
-Epididimitis.
-Hernia inguinal.
-Linfangitis.
-Hernia del deportista.
-Pubalgia del deportista.
-Síndrome piriforme.
-Fracturas por estrés del fémur.
-Desgarro del músculo sartorio.
-Tendinitis glútea.
-Bursitis del trocánter mayor.
-Necrosis avascular de la cabeza femoral.
-Coxartrosis.
El fin último del tratamiento del SPFA es la mejoría de los síntomas y la preservación de la articulación, es por esto por lo que una adecuada comprensión de la anatomía de la cadera y la fisiopatología de la enfermedad son claves para obtener mejores resultados en el manejo8. Este artículo está dirigido a explicar la fisiopatología, la presentación clínica, el diagnóstico y el tratamiento del SPFA a partir de un caso clínico y de la recopilación de información, principalmente de ScienceDirect y PubMed, con el fin de clarificar conceptos y facilitar al personal médico el reconocimiento temprano de esta importante patología.
CASO CLÍNICO
El paciente es un hombre de 45 años de edad con un cuadro que consistía en dolor en la cadera izquierda, de ocho años de evolución, que empeoraba al montar bicicleta, al jugar fútbol y, en general, con el esfuerzo físico, y que se irradiaba a la región lumbar y a la pierna izquierda, zona lateral. Además, sensación subjetiva de bloqueos. Como antecedente importante se encuentra la actividad física fuerte. Alérgicos negativos.
En el examen físico, el paciente caminó sin mostrar cojera. Arcos de movimiento de la cadera izquierda limitados. Tuvo una prueba para pinzamiento femoroacetabular con FADIR (flexión, aducción, rotación interna) positiva en la misma cadera, al igual que el test para pinzamiento femoroacetabular con FABER (flexión, abducción, rotación externa), con dolor a la palpación del trocánter mayor y a la compresión lumbar y sacroilíaca izquierda. La cadera derecha sin alteraciones al examen clínico.
Los rayos X de pelvis y lateral de cadera izquierda fueron sugestivos de pinzamiento femoroacetabular tipo CAM (forma de leva) al presentar una prominencia ósea en la unión de la cabeza con el cuello de este, con osteofito en reborde acetabular.
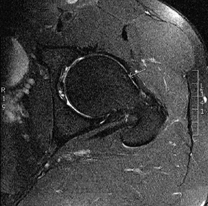
En la artroresonancia magnética se observó: en la cadera izquierda un fémur tipo CAM, con ruptura del labrum anterosuperior y quiste intralabral. Lesión condral superior, con pequeños pits en transición cabeza-cuello (ver Figura 1 y Figura 2).


El diagnóstico de pinzamiento femoroacetabular tipo CAM fue hecho en base a la historia y al examen clínico, hallazgos que fueron confirmados posteriormente por las ayudas imagenológicas, por lo que el paciente fue programado para luxación quirúrgica de cadera izquierda, con cefaloplastia y reparación del labrum.
La intervención quirúrgica incluyó cefaloplastia femoral, osteotomía trocantérica, acetabuloplastia y reparación del labrum. Se realizó un abordaje posterolateral, la cápsula anterior fue expuesta a través del intervalo entre el músculo piramidal y el glúteo menor. Se realizó capsulotomía en Z y se luxó la cadera. Entre los hallazgos se encontraron degeneración del labrum y ruptura en su porción anterosuperior, desde las 12 hasta las 7. Delaminación del cartílago acetabular supero externo en un área de 1x2 cm en toda la zona de apoyo, con profundidad hasta el hueso subcondral. BUMP (deformidad en giba) en la unión cabeza-cuello femoral. EL cartílago de la cabeza femoral y del resto del acetábulo, sano. Durante el procedimiento se protegió el músculo piramidal, los rotadores cortos y la circulación de la cadera utilizando la técnica de luxación segura de cadera desarrollada por Ganz et al. Luego de la cefaloplastia se verificó la ausencia de pinzamiento.
Seguimiento del caso
Se realizó seguimiento a los 3 años del tratamiento quirúrgico y se encontró arco de movilidad en cadera izquierda de 10-120°, rotación externa 45°, rotación interna 15° dolorosa, abducción 45°, aducción 15°, retracción isquiotibial en miembro inferior izquierdo. Dolor en la articulación sacroilíaca, dolor a la palpación en región peritrocantérica izquierda.
Nuevamente se realiza revisión a los 7 años del tratamiento quirúrgico: arcos de movilidad con los mismos ángulos de revisión previos, sin limitación de los arcos de movimiento de la cadera con respecto a personas sin antecedentes de lesiones y con capacidad completa para la realización de movimientos sin restricción en su vida diaria.
DISCUSIÓN
Las razones para que se dé el contacto patológico de estructuras en el SPFA están relacionadas con anormalidades en el fémur, en el acetábulo o en ambos. De acuerdo con la parte afectada, se distinguen dos tipos del síndrome9 (ver Figura 3):
Por una parte, cuando está comprometida la cabeza femoral se habla de SPFA tipo CAM, como el caso de nuestro paciente. En esta variedad hay una cabeza femoral no esférica o anormalidades en la unión entre la cabeza y el cuello del fémur que aumentan el radio de estas estructuras10,11. Durante la flexión completa de la cadera, esta prominencia en la cabeza del fémur entra en contacto con el reborde acetabular y causa abrasión del cartílago acetabular y/o avulsión del labrum, principalmente en su reborde anterosuperior12. Este tipo de SPFA es más común en hombres jóvenes activos, entre los 20 y 40 años13 y se asocia a antecedentes de deslizamiento epifisiario femoral, enfermedad de Perthes, osteonecrosis y fracturas mal unidas o no unidas de la cabeza femoral14. Por otra parte, cuando el compromiso es a nivel acetabular, se habla de SPFA tipo pincer (deformidad en tenaza), en este caso la patología ocurre por sobrecubrimiento de la cabeza femoral por el acetábulo que se encuentra anormalmente más profundo o en retroversión, generando lesiones a nivel del labrum que desgastan el cartílago en la articulación. Este tipo es más frecuente en mujeres activas alrededor de los 40 años1,4,11, y hay que tener en cuenta que puede deberse a movimientos excesivos de la cadera en pacientes en los cuales no se aprecia un trastorno acetabular claro, esto ocurre típicamente en mujeres jóvenes que practican deporte fuerte3.
Hasta en el 86% de los casos se puede presentar una combinación de ambas características descritas arriba15. La localización típica de las lesiones por daño condral temprano es el cuadrante anterosuperior del acetábulo, ya que es el sitio donde ocurre el más alto impacto entre el fémur y el acetábulo16. En general, esta patología afecta más frecuentemente al sexo femenino12 y hay que señalar que muchos pacientes que presentan SPFA tienen una anatomía femoroacetabular normal, y que el dolor es causado por diferentes tipos de estrés sobre la articulación y por ciertas actividades específicas (personas que deben estar agachándose continuamente) que predisponen a este tipo de pinzamiento17.

Los síntomas típicos incluyen dolor en la región anterior de la cadera y en la región inguinal, que se empeora en posición sentado prolongada18, al bajarse de un carro, sobre torsión en rotación interna con la pierna afectada en flexión o posición de soportar peso y con caminadas prolongadas1, como en nuestro paciente. Hay limitación en los movimientos para amarrar los cordones o manipular los pies estando sentado, y una característica es que en los movimientos continuos el dolor es leve, mientras que aquellas actividades que implican moverse y detenerse o saltar sobre la cadera afectada generan un intenso dolor5. Algunas veces el dolor puede irradiarse a la región anterior del muslo o la parte superior del glúteo y haber atrapamiento y bloqueo de la cadera6,12,14. En estadios más avanzados del SPFA, es posible ver rigidez y dolor durante la noche, especialmente si ya han aparecido cambios degenerativos articulares1.
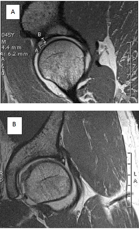
En el examen físico se logra demostrar limitación a la rotación interna en la cadera afectada4. También es posible reproducir el dolor con la prueba de flexión a 90°, aducción y rotación interna de la cadera afectada en SPFA anterior19, que en nuestro paciente estaba marcadamente alterada (ver Figura 4). También es posible evaluar con la maniobra de flexión, abducción y rotación externa. Otras pruebas complementarias pueden ser extensión completa de los miembros y luego aplicarles rotación externa, principalmente cuando hay patología en la región posterior3,5.
Frecuentemente el dolor que se siente en la región anterior sugiere patología en el labrum y en cartílagos anteriores, que se encuentran en el SPFA tipo CAM, mientras que el dolor que se irradia a la región posterior sugiere pinzamiento posteroinferior en el SPFA tipo pincer20.

El papel que juega la imagenología en el SPFA es el de permitir evaluar las anormalidades de la cadera asociadas con el pinzamiento y excluir artritis, necrosis avascular y otros problemas articulares3. El diagnóstico del SPFA se basa en la historia clínica y en el examen físico. Las imágenes ayudan a soportar el diagnóstico de acuerdo a los hallazgos encontrados en ellas17.
Todo paciente que se presente con dolor en la cadera debe tener una radiografía AP de pelvis y una lateral verdadera de cadera o a través de la mesa (cross table), ya que son imágenes que permiten observar la línea articular, la profundidad de la articulación de la cadera y grado de versión del acetábulo5,12,15. La vista lateral a través de la mesa y la vista en posición de rana de la cadera (que no debe ser practicada en pacientes con caderas dolorosas o artrósicas), pueden demostrar la morfología de la articulación, de la cabeza y del cuello del fémur, a la vez que muestran signos de deslizamiento epifisiario previo11,13. Hay que prestar atención en situaciones de trauma, ya que la retroversión del cuello femoral puede causar pinzamiento anterior, y una mala unión de la cabeza femoral puede generar pinzamiento intraarticular5,10. En la proyección AP, hay que revisar la relación entre el borde anterior y lateral del acetábulo. En casos normales, el borde posterior del acetábulo se proyecta lateral al borde anterior, mientras que en casos de retroversión del acetábulo, que es típicamente más evidente a lo largo de la porción anterosuperior del acetábulo, el borde anterior de esta estructura se proyecta lateral al borde posterior, característica conocida como el signo del ocho o crossover, descrito por autores como Kassarjian et al., Lee, Sink y Laude5,9,12,13.
Otro aspecto importante por evaluar es si hay aplanamiento de la parte superior de la cabeza y cuello del fémur, con pérdida de la concavidad normal, signo históricamente conocido como deformidad de pistol-grip (deformidad en mango de pistola)5,12,18.
En la proyección lateral, se evalúa la parte anterior de la articulación coxofemoral y la cabeza y el cuello femorales. En un fémur normal, la parte anterior es cóncava, mientras que, en pacientes con pinzamiento tipo CAM, hay una pérdida de la concavidad normal, frecuentemente referida como una pérdida de la desviación de la cabeza y del cuello del fémur, que claramente se apreciaba en los rayos x de nuestro paciente. Esta protuberancia anormal entra en contacto con el acetábulo cuando la cadera es traída en posición de rotación interna5,10.
TAC: puede mostrar algunas de las lesiones asociadas con pinzamiento y la adición de medio de contraste intraarticular también permite visualizar el labrum y el cartílago5. Técnica poco usada en la actualidad.
RMN: permite identificar el estado del cartílago articular y del labrum. La artrografía por RMN es el examen de elección porque delinea mejor los fragmentos del labrum y sutiles lesiones del cartílago, ya que el medio de contraste intraarticular distiende las partes de la articulación y permite una mejor visualización de sus estructuras10, 18. Este método fue el utilizado para confirmar el diagnóstico del paciente al evidenciar el daño articular.
La evidencia sugiere que, una vez las lesiones del cartílago están en un nivel avanzado, los resultados quirúrgicos del tratamiento del SPFA no son tan exitosos como en aquellos casos en los que el cartílago se encuentra en buenas condiciones o con poco daño. Aunque en la mayoría de los casos de pinzamiento de la cadera, particularmente aquellos SPFA tipo CAM, las lesiones en el cartílago son vistas en primera instancia a lo largo de la región anterosuperior del acetábulo, pacientes con SPFA tipo pincer también desarrollan una lesión característica a lo largo de cartílago posteroinferior del acetábulo5.
La medición del ángulo α puede aproximar al diagnóstico de SPFA tipo CAM. Esta medición consiste en dibujar un círculo que pase por los bordes laterales de la cabeza femoral, luego, se traza una línea oblicua a través del centro del cuello femoral que biseque el círculo previamente dibujado. Finalmente se traza una segunda línea desde el centro del círculo hacia el punto en el que la cabeza femoral o el cuello protruye más allá de los confines del círculo. El ángulo α es el que se forma entre estas dos líneas y un valor mayor a 50° es anormal. Es importante resaltar que este ángulo puede estar aumentado en numerosas patologías que afectan la anatomía normal de la cabeza y del cuello del fémur, no es específico de SPFA. Es así como la presencia de estas tres características sugiere un SPFA tipo CAM: ángulo α mayor a 55°, lesión anterosuperior en el cartílago acetabular y erosión en la región anterosuperior del labrum; según observó Kassarjian, en varios de sus estudios21.
Los resultados quirúrgicos dependen del estadio clínico de las lesiones de la cadera y del estado general del paciente4,20, de ahí que aquellos con cambios radiográficos tempranos sugestivos de osteoartritis (moderada a severa) tienen un pronóstico menos alentador a la hora de pensar en preservar la articulación14. Se espera que los pacientes obtengan la máxima mejoría de los síntomas combinando modificaciones en la actividad física5,12, uso de antiinflamatorios no esteroideos y tratamiento quirúrgico para remover las fuentes del pinzamiento5. Pacientes que presentan rangos de movimiento cercanos a los normales, el origen del pinzamiento identificado y sin adelgazamiento del cartílago en una radiografía de la cadera en posición de pie, son buenos candidatos quirúrgicos. Es importante identificar si una combinación de factores es la que está creando el síndrome para solucionarlos cada uno5.
En la actualidad la luxación quirúrgica de la cadera es el patrón de referencia (técnica desarrollada por Ganz et al.) porque provee un completo acceso a la articulación y preserva el flujo sanguíneo de la cabeza femoral22. Típicamente, en SPFA tipo CAM, se identifica lesión del labrum en su segmento anterolateral, con disrupción del cartílago en el borde acetabular anterior5,20, hallazgos encontrados en nuestro paciente y que ya fueron descritos. Al producir una fuerza cortante sobre el cartílago acetabular, el exceso anormal de hueso delamina el cartílago creando el signo de la onda intraarticular. En el SPFA tipo pincer, el labrum puede ser lacerado, aplanado, desgastado o presentar cambios quísticos5,14. En estadios tardíos, se pueden encontrar quistes subcondrales alrededor del cartílago en la región anterior1,9. La prominencia ósea es resecada. Luego de esta resección, la cadera es puesta nuevamente dentro del rango de movimiento para confirmar la adecuada corrección de las anormalidades previamente presentes1,5.
En el posoperatorio el paciente puede tener un soporte parcial sobre la cadera por un periodo de tres semanas, con la práctica de movimientos de la cadera asistidos, luego se inicia un entrenamiento isométrico del cuádriceps y extensores de la cadera. La extensión mejora mientras que la abducción y la rotación externa son protegidas por el primer mes. Luego de dos meses de la cirugía, los pacientes pueden caminar sin asistencia, con un entrenamiento específico. Al final del tercer mes posoperatorio, pueden regresar a practicar actividades físicas leves, mientras que las actividades que requieren torsión y pivoteo con soporte del propio peso, deben ser evitadas por cinco meses5. Pueden ocurrir ciertas complicaciones, como daño de nervios periféricos, no unión del trocánter mayor, osteonecrosis de la cabeza femoral y fractura del cuello femoral2. En algunos casos puede permanecer dolor inguinal al realizar flexión y rotación interna profundas de la cadera5.
Referencias
Standaert CJ, Manner PA, Herring SA. Expert opinion and controversies in musculoskeletal and sports medicine: femoroacetabular impingement. Arch Phys Med Rehabil 2008; 89(5):890-893.
Tannast M, Goricki D, Beck M, Murphy SB, Siebenrock KA. Hip damage occurs at the zone of femoroacetabular impingement. Clin Orthop Relat Res 2008; 466(2):273-280.
Tannast M, Siebenrock KA, Anderson SE. Femoroacetabular impingement: radiographic diagnosis--what the radiologist should know. AJR Am J Roentgenol 2007; 188(6):1540-1552.
Jaberi FM, Parvizi J. Hip pain in young adults: femoroacetabular impingement. J Arthroplasty 2007; 22(7 Suppl 3):37-42.
Kassarjian A, Belzile E. Femoroacetabular impingement: Presentation, diagnosis, and management. Semin Musculoskelet Radiol 2008; 12:136-145.
Philippon MJ, Maxwell RB, Johnston TL, Schenker M, Briggs KK. Clinical presentation of femoroacetabular impingement. Knee Surg Sports Traumatol Arthrosc 2007; 15(8):1041-1047.
Mardones R. pinzamiento femoro acetabular: conceptos básicos en una nueva causa de dolor inguinal. Rev Med Chile 2010; 138:102-108.
Ferguson TA, Matta J. Anterior Femoroacetabular Impingement: A clinical presentation. Sports Med Arthrosc 2002; 10:134-140.
Lee A, Emmett L, Van der Wall H, Kannangara S, Mansberg R, Fogelman I. SPECT/CT of femeroacetabular impingement. Clin Nucl Med 2008; 33(11):757-762.
Kassarjian A, Yoon LS, Belzile E, Connolly SA, Millis MB, Palmer WE. Triad of MR arthrographic findings in patients with cam-type femoroacetabular impingement. Radiology 2005; 236(2):588-592.
Kassarjian A, Brisson M, Palmer WE. Femoroacetabular impingement. Eur J Radiol 2007; 63(1):29-35.
Sink EL, Gralla J, Ryba A, Dayton M. Clinical presentation of femoroacetabular impingement in adolescents. J Pediatr Orthop 2008; 28(8):806-811.
Laude F, Boyer T, Nogier A. Anterior femoroacetabular impingement. Joint Bone Spine 2007; 74(2):127-132.
Ito K, Leunig M, Ganz R. Histopathologic features of the acetabular labrum in femoroacetabular impingement. Clin Orthop Relat Res 2004; 29:262-271.
Johnston TL, Schenker ML, Briggs KK, Philippon MJ. Relationship between offset angle alpha and hip chondral injury in femoroacetabular impingement. Arthroscopy 2008; 24(6):669-675.
Ferguson TA, Matta J. Anterior Femoroacetabular Impingement: A Clinical presentation. Sports Med Arthrosc 2002; 10:134-140.
Beall DP, Sweet CF, Martin HD, Lastine CL, Grayson DE, Ly JQ, et al. Imaging findings of femoroacetabular impingement syndrome. Skeletal Radiol 2005; 34(11):691-701.
Mamisch TC, Bittersohl B, Hughes T, Kim YJ, Welsch GH, Dudda M, et al. Magnetic resonance imaging of the hip at 3 Tesla: clinical value in femoroacetabular impingement of the hip and current concepts. Semin Musculoskelet Radiol 2008; 12(3):212-222.
Peters CL, Erickson JA. Treatment of femoro-acetabular impingement with surgical dislocation and débridement in young adults. J Bone Joint Surg Am 2006; 88(8):1735-1741.
Pfirrmann CW, Mengiardi B, Dora C, Kalberer F, Zanetti M, Hodler J. Cam and pincer femoroacetabular impingement: Characteristic MR arthrographic findings in 50 patients. Radiology 2006; 240(3):778-785.
Kassarjian A, Cerezal L, Llopis E. Femoroacetabular impingement. Top Magn Reson Imaging 2006; 17(5):337-345.
Ganz R, Gill TJ, Gautier E, Ganz K, Krügel N, Berlemann U. Surgical dislocation of the adult hip. J Bone Joint Surg Br 2001; 83-B:1119-1124.
Notas de autor
andresestrada23@hotmail.com
Información adicional
DECLARACIÓN DE
CONFLICTO DE INTERESES: Los autores
declaran no tener ningún conflicto de intereses.
AGRADECIMIENTOS: Doctor Christian Pérez Nielsen, Ortopedista, módulo de cadera,
Hospital Pablo Tobón Uribe Medellín.
Doctora Érica Tatiana Loaiza Echeverri, Epidemióloga, Facultad de
Medicina UPB.