Reportes de Caso
Síntomas gastrointestinales como manifestación de neuromielitis óptica: un reporte de caso
Gastrointestinal symptoms as a manifestation of Neuromyelitis Optica: A Case Report
Sintomas gastrointestinais como manifestação de neuromielite óptica: um reporte de caso
Síntomas gastrointestinales como manifestación de neuromielitis óptica: un reporte de caso
Medicina U.P.B., vol. 41, núm. 1, pp. 85-90, 2022
Universidad Pontificia Bolivariana

Recepción: 04 Agosto 2021
Aprobación: 23 Noviembre 2021
Resumen: Se presenta el caso de una mujer en la quinta década de la vida que ingresa al servicio de urgencias con manifestaciones gastrointestinales consistentes en vómito e hipo. Después de múltiples estudios e intervenciones por especialistas, se piensa en el origen central de los síntomas. Se realiza una resonancia magnética nuclear (RMN) cerebral que permite el enfoque del caso y posterior confirmación del diagnóstico de una enfermedad dentro del espectro de la neuromielitis óptica, positiva para anticuerpos anti-acuaporinas-4. El tratamiento con esteroide y anticuerpo monoclonal (Rituximab) llevan a un control adecuado de la enfermedad.
Palabras clave: hipo, hipotálamo, neuromielitis, vómito.
Abstract: We present a case report of a woman in her 50s admitted to the emergency room with gastrointestinal manifestations consisting of vomiting and hiccups. After a series of studies and interventions by specialists, a brain magnetic resonance imaging (MRI) is performed in order to find the central origin of the symptoms. This allows the approach of the case and subsequent confirmation of the diagnosis of Neuromyelitis optica, positive for anti-acuaporin-4 antibodies. Finally, it seems that treatment with steroids and monoclonal antibodies leads to proper control of the disease.
Keywords: hiccups, hypothalamus, neuromyelitis, vomit.
Resumo: Se apresenta o caso de uma mulher na quinta década de vida que ingressa ao serviço de urgências com manifestações gastrointestinais consistentes em vômito e soluço. Depois de múltiplos estudos e intervenções por especialistas, se pensa na origem central dos sintomas. Se realiza uma ressonância magnética nuclear (RMN) cerebral que permite o enfoque do caso e posterior confirmação do diagnóstico de uma doença dentro do espectro da neuromielite óptica, positiva para anticorpos anti-acuaporinas-4. O tratamento com esteroide e anticorpo monoclonal (Rituximab) levam a um controle adequado da doença.
Palavras-chave: soluço, hipotálamo, neuromielite, vômito.
INTRODUCCIÓN
La neuromielitis óptica o enfermedad de Devic es un trastorno autoinmune caracterizado por la inflamación del nervio óptico, la médula espinal y el sistema nervioso central1,2,3,4,5. Su forma espontánea es frecuente y pocos casos tiene relación con alteración genética. El cuadro predomina en mujeres de edad media y su prevalencia es de 1 a 4.4 por 100 0006,7,8,9. Los síntomas más comunes son las manifestaciones oftálmicas, como la neuritis óptica, pero hasta un 10% de los pacientes pueden presentar singulto (hipo), náuseas y emesis. Los síntomas menos comunes pueden llevar a múltiples diagnósticos diferenciales, como patologías del tracto gastrointestinal o neurológicas, como la esclerosis múltiple, mielopatías, enfermedades infiltrativas o cuadros infecciosos, como meningitis o encefalitis. Las dificultades en el diagnóstico llevan a retrasos en el tratamiento.
Es importante tener mayor sospecha diagnóstica en los pacientes con síntomas poco comunes. Conocer diagnósticos diferenciales y apoyarse en los estudios complementarios de imagen permiten llegar a ofrecer tratamiento oportuno.
CASO CLÍNICO
Paciente mujer de 43 años, sin antecedentes patológicos ni consumo de medicación a largo plazo. Niega antecedentes toxicológicos, no presenta antecedentes alérgicos ni quirúrgicos. Consulta al servicio de urgencias por cuadro de una semana de evolución consistente en epigastralgia, emesis de alto débito e hipo persistente. Se enfoca como un cuadro de enfermedad ácido péptica y se da tratamiento sintomático.
Debido a la persistencia de hipo y del vómito, pese al manejo, se ordena ecografía de hígado y vías biliares que no evidencia alteración. Se sigue estudio con endoscopia digestiva superior que documenta esofagitis grado A y gastritis crónica. Se considera en su momento que estos hallazgos no explican los síntomas ni su persistencia. Se hospitaliza en el servicio de cirugía general que realiza tomografía axial computarizada (TAC) de tórax y abdomen con contraste que descarta lesiones estructurales en mediastino y tracto gastrointestinal.
Gastroenterología analiza el caso y considera iniciar manejo médico con baclofeno para el tratamiento del hipo refractario y valorar respuesta.
A los tres días del ingreso empeoran los síntomas y se solicita apoyo de neurología para enfoque del cuadro. En la valoración encuentran una paciente alerta, orientada, sin alteración del lenguaje y sin signos de focalidad neurológica. No hay déficit motor ni sensitivo. La paciente refiere cefalea global, pero no encuentran al examen físico papiledema ni alteración pupilar o de pares craneales. El resto de examen físico no evidencia alteración cardiovascular, respiratoria, gastrointestinal o de otros sistemas. Por la cefalea referida y el hipo persistente se solicita una resonancia magnética cerebral contrastada (RMN), para evaluar la fosa posterior y el área postrema, con el fin de descartar origen central del hipo.
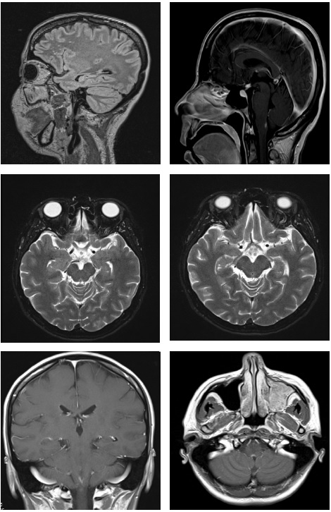
La RMN muestra lesiones hipercaptantes en hipotálamo y obex (Figura 1) descritas como lesiones inflamatorias. Como en estas áreas hay receptores de acuaporinas, el neurólogo sospecha enfermedad del espectro de la neuromielitis óptica o enfermedad de Devic, solicita anticuerpos IgG contra acuaporinas despues del estudio de las causas diferenciales más comunes, como enfermedades infecciosas, infiltrativas o autoinmunitarias. Se realizan ANAS, ENAS, ANCAS, biopsia de glándula salival, además de punción lumbar donde se toma film array, antígeno para criptococo y tinta china. También se estudiaron infecciones como VIH y Hepatitis B, con resultado negativo.

En conjunto con reumatología se decide iniciar pulsos de metilprednisolona a dosis de 1000 mg por día, con buena respuesta clínica al quinto día, lo que permite a la paciente seguir manejo ambulatorio con esteroide oral (prednisolona a dosis de 1mg/Kg/dia). Despues de dos meses de tratamiento, se realiza control clínico, ya se reportan anticuerpos anti-acuaporinas-4 positivos, con lo que deciden iniciar rituximab, dado el alto riesgo de recaída que confieren los anticuerpos. Se inicia de modo intravenoso 1000mg día, por 4 ciclos, cada uno con aplicación de dos dosis separadas por 15 días y se logra el desmonte del esteroide oral.
A los seis meses del inicio del tratamiento la paciente continúa con buena evolución clínica, sin síntomas, y se realiza RMN de control que muestra desaparición de las lesiones inflamatorias en el tallo y en el hipotálamo.
DISCUSIÓN
La neuromielitis óptica es un trastorno autoinmune descrito por el Dr. Eugene Devic en el siglo ix.. Se caracteriza por episodios de desmielinización y daño axonal que compromete principalmente la médula espinal y los axones del nervio óptico unilateral o bilateral.. Es de aparición espontánea principalmente, aunque también se ha encontrado en relación con genes.. Es más frecuente en mujeres de edad media, de 30-49 años7,8. Su prevalencia varía entre 1 a 4.4 por 100 000, en los casos reportados en el Reino Unido y Norteamérica7,9.
El proceso inmunológico tiene que ver con la presencia de autoanticuerpos de tipo IgG contra los canales de acuaporina-4 (IgG-ACP4). La acuaporina-4 es una proteína transmembranal de agua, abundante en el pie terminal de los astrocitos. Al haber anticuerpos contra estos canales se genera una respuesta inmune local con activación del complemento y daño del astrocito10.
El diagnóstico de la neuromielitis óptica (NMO) fue redefinido hace algunos años como un espectro de trastornos de la neuromielitis óptica (NMOSD)11,12,13,14 y se clasifica según características clínicas, radiológicas e inmunológicas.
Las NMOSD se agrupan en los que tienen IgG-ACP4 positivas (NMOSD IgGACP4) y en los que el estatus respecto a la IG es desconocido o negativo. La presencia de IgG-ACP4 en el espectro de la enfermedad se relaciona con mayor extensión de las lesiones en la médula espinal, mayor discapacidad por el compromiso motor y óptico y más prolongación temporal de la enfermedad11.
Para establecer el diagnóstico de NMOSD IgGACP4 deben presentarse las características clínicas típicas, con al menos uno de los seis principales síndromes descritos en diencéfalo, área postrema, tronco, hemisferios o médula espinal. La NMOSD con anticuerpos negativos o desconocidos debe tener como mínimo dos de las características principales, donde una de ellas debe ser neuritis óptica, mielitis aguda o síndrome de área postrema y presencia de lesiones en el espacio que corresponda a la característica clínica y lesiones típicas, evidenciadas mediante RMN1.
La NMOSD se caracteriza por seis síndromes básicos con manifestaciones clínicas útiles para establecer el diagnóstico15,16:
- La neuritis óptica es la primera de estas, se caracteriza por pérdida aguda de visión, dolor ocular y defecto pupilar aferente.
- La mielitis transversa se presenta de forma subaguda con debilidad, quejas sensitivas y disfunción vesical o intestinal.
- Los síndromes cerebrales hacen referencia a lesiones hemisféricas con síntomas variables, desde encefalopatía hasta hemiparesia.
- El síndrome diencefálico evidencia lesiones en tálamo e hipotálamo y se manifiesta mediante secresión inadecuada de hormona antidiurética, hiponatremia, hipotensión, narcolepsia y galactorrea.
- El síndrome del tronco encefálico, que está presente en el 30% de los pacientes, se caracteriza por vómito e hipo (compromiso del área postrema) y neuropatía de los pares craneales.
- El síndrome del área postrema se ocasiona hipo y vómito intratable que indican compromiso del área dorsal del tallo en contacto con el cuarto ventrículo y el centro del vómito. Se cree que esta es la puerta de entrada de los autoanticuerpos IgG al cerebro porque es el sitio más delgado de la barrera craneoencefálica y es rico en acuaporinas. Este síndrome es la manifestación inicial de la NMOSD en el 12% de los pacientes.
La características típicas incluyen neuritis óptica unilateral o bilateral con compromiso importante de la visión, mielitis transversa con lesiones focales centrales y longitudinales extensa y presencia de anticuerpos IgG ACP4 en suero, test de alta especificidad para la enfermedad11. Segun sus manifestaciones, hay tambien presentaciones atípicas frecuentes y atípicas infrecuentes. Las presentaciones atípicas frecuentes incluyen espasmos dolorosos en la fase de recuperación de la mielitis transversa, elevación transitoria y asintomática de la creatin fosfocinasa (CPK) despues del cuadro agudo de neuromielitis óptica, vómito e hipo de duración mayor a 48 horas y lesiones de tálamo, cuerpo calloso, tronco y cerebrales periventriculares. Por último, las presentaciones atípicas poco frecuentes son la hipersomnia asociada a lesiones talámicas bilaterales y la elevación marcada de la CPK17.
Se han descrito alteraciones en otros organos. En la piel se puede presentar esclerodermia, prurito, rash, edema en extremidades, sjogren, entre otros18. Puede presentarse miopatía, retinopatía con edema macular, pérdidas auditivas e hiposmia. En la placenta se ha evidenciado inflamación e infiltración sobre el sincitiotrofoblasto con necrosis placentaria y pérdida fetal19.
El hipo persistente y el vómito intratable se han documentado mediante reporte de casos20, donde son la manifestación inicial en una crisis aguda de neuromielitis óptica. Iorio et al. realizan un estudio donde describen estos síntomas como inusuales (solo en el 12% de los pacientes con la enfermedad)21, por lo que se consideran como manifestaciones atípicas. Aun así, se reportan como expresión inicial, lo que hace que el hipo y el vómito no sean despreciables entre el abanico de síntomas22,23.
Varios reportes de casos describen el vómito y el hipo como síntomas de la enfermedad. Kaloudi et al. documentan el caso de un paciente de 74 años con estos síntomas, en quien el diagnóstico se retrasa un mes al no considerarlos como manifestación inicial de la NMO. Concluyen que estos retrasos pueden aumentar el riesgo de secuelas graves, como la mielitis transversa24.
En el hospital de Huashan en China se realizó un reporte de 12 pacientes que debutaron con hipo, náuseas y vómito intratable. Todos los casos eran en mujeres, el 83% tenía anticuerpos antiacuaporina-4 y el 50% alteraciones en la RMN25. En concordancia con lo sucedido al caso clínico de la presente revisión.
El hipo y el vómito obligan a buscar más allá de las causas gastrointestinales y a descartar lesiones en el área postrema y en el sistema nervioso central, sobre todo las de etiología autoinmune, como la neuromielitis óptica o la esclerosis múltiple.
El predominio de la neuritis óptica con compromiso visual grave y los episodios de mielitis con alteracion motora permite hacer el diagnóstico diferencial con la esclerosis múltiple. A su vez el patrón de referencia en la neuromielitis óptica es la positividad de los anticuerpos anti-acuaporinas, que es el marcador más específico. Se deben descartar causas prevalentes en el medio, que expliquen los síntomas, como las enfermedades inflamatorias o infecciosas, tipo encefalitis o meningitis. Es necesaria la punción lumbar para estudiar el líquido cefalorraquídeo2. La neuroimagen es clave para descartar causas neoplásicas o vasculares.
En cuanto al tratamiento, los esteroides son para la crisis aguda, para el episodio de neuritis óptica o para la mielitis. Se debe administrar una dosis inicial de 1000mg al día de metilprednisolona por 3-5 días, seguida de prednisolona oral hasta la remisión clínica de los síntomas, especialmente en pacientes IgGACP4 positivos.
En reporte de casos en diferentes países se describen retrasos en el tratamiento debidos a diagnósticos tardíos explicables por la presencia de hipo y vómito, considerados inusuales. Una vez definida la necesidad de tratamiento farmacológico, se empleó esteroide venoso por cinco días para manejo de la crisis aguda, con transición a esteroide oral y azatioprina para control de la enfermedad26,27,28.
El tratamiento de mantenimiento se debe hacer con inmunomoduladores como rituximab, micofenolato mofetil, azatriopina, metrotexate o ciclofosfamida29 y, en los pacientes que no responden a esteroides, se puede usar plasmaféresis30.
Algunos estudios han mostrado mayor eficacia para el rituximab, que logra la remisión de la enfermedad en más del 50% de los pacientes3,4. Dichos estudios son observacionales, pero son la mejor evidencia porque no hay ensayos clínicos fuertes.
En conclusión, presentamos un caso con el fin de resaltar las manifestaciones menos comunes de la neuromielitis óptica. Esperamos que sirva para incrementar la sospecha diagnóstica, ayudar a guiar la anamnesis y el uso de las ayudas diagnósticas. Resaltamos la importancia del diagnóstico diferencial a partir de un síntoma puntual como el singulto. El reconocimiento temprano de la neuromielitis óptica permite un tratamiento oportuno y mejora el pronóstico de los pacientes.
REFERENCIAS
1. Ferrán C, Pedemonte V, Turcatti E, González G. Neuromyelitis optica. Medicina. 2019; 79(Suppl 3):60-5.
2. Sung-Min K, Seong-Joon K, Haeng JL, Hiroshi K, Palace J, Fujihara K. Differential diagnosis of neuromyelitis optica spectrum disorders. Therapeutic Advances in Neurological Disorders. 2017; 10(7):265-89.
3. Mealy MA,Wingerchuk DM, Palace J, Greenberg BM, Levy M. Comparison of relapse and treatment failure rates among patients with neuromyelitis optica: multicenter study of treatment efficacy. JAMA Neurol. 2014; 71:324–30.
4. Torres J, Pruitt A, Balcer L, Galetta S, Markowitz C, Dahodwala N. Analysis of the treatment of neuromyelitis optica. J Neurol Sci. 2015; 351:31–5.
5. Jarius S, Wildemann B, Paul F. Neuromyelitis optica: Clinical features, immunopathogenesis and treatment. Clinical & Experimental Immunology. 2014; 176(2):149-64.
6. Matiello M, Kim HJ, KimW, Brum DG, Barreira AA, Kingsbury DJ, et al. Familial neuromyelitis optica. Neurology. 2010; 75:310–5.
7. Jacob A, Panicker J, Lythgoe D. The epidemiology of neuromyelitis optica amongst adults in the Merseyside county of United Kingdom. J Neurol. 2013; 260:2134–7.
8. Diaz CA, Zarco LA, Lasalvia P. Caracterización clínica, paraclínica e imaginológica de una población de pacientes colombianos con espectro de neuromielitis óptica del Hospital Universitario San Ignacio. Acta Neurol Colomb. 2019; 35(4):179-85
9. Bizzoco E, Lolli F, Repice AM. Prevalence of neuromyelitis optica spectrum disorder and phenotype distribution. J Neurol. 2009; 256:1891–8.
10. Sato D, Kazuo F. Atypical presentations of neuromyelitis optica. Arquivos de Neuro-Psiquiatría. 2011; 69(5):824-28.
11. Takahashi T, Fujihara K, Nakashima I. Anti-aquaporin-4 antibody is involved in the pathogenesis of NMO: A study on antibody titre. Brain. 2007; 130:1235–43.
12. Weinshenker BG, Wingerchuk DM. Neuromyelitis spectrum disorders. Mayo Clin Proc. 2017; 92:663–79.
13. Sato DK, Lana-Peixoto MA, Fujihara K, de Seze J. Clinical spectrum and treatment of neuromyelitis optica spectrum disorders: evolution and current status. Brain Pathol. 2013; 23:647–60.
14. Marignier R, Cobo A, Vukusic S. Neuromyelitis optica and neuromyelitis optica spectrum disorders. Curr Opin Neurol. 2017; 30:208–15.
15. Mandler RN. Neuromyelitis optica - Devic's syndrome, update. Autoimmun Rev. 2006; 5:537–43.
16. Apiwattanakul M, Popescu BF, Matiello M. Intractable vomiting as the initial presentation of neuromyelitis optica. Ann Neurol. 2010; 68(5):757–61.
17. Suzuki N, Takahashi T, Aoki M. Neuromyelitis optica preceded by hyperCKemia episode. Neurology. 2010; 74:1543-5.
18. Jinming H, Yang M, Zhu J, Jin T. Complexity and wide range of neuromyelitis optica spectrum disorders: More than typical manifestations. Neuropsychiatric Disease and Treatment. 2017; 13:2653-60.
19. Rosales D, Ilya K. Common and rare manifestations of neuromyelitis optica spectrum disorder. Current Allergy and Asthma Reports. 2016; 16(6):42.
20. Jin X, Pei S, Liu Y, Li X. Clinical analysis of neuromyelitis optica presenting as intractable nausea, vomiting and hiccups. Int J Neurosci. 2017; 127:854-8.
21. Iorio R, Lucchinetti CF, Lennon VA, Farrugia G, Pasricha PJ, Weinshenker BG, et al. Intractable nausea and vomiting from autoantibodies against a brain water channel . Clin Gastroenterol Hepatol. 2013; 11:240-5.
22. Popescu BF, Lennon VA, Parisi JE. Neuromyelitis optica unique area postrema lesions: Nausea, vomiting, and pathogenic implications. Neurology. 2011; 76:1229-37.
23. Mukhyaprana PM, Agrawal U. Intractable vomiting and hiccups: An atypical presentation of neuromyelitis optica. Cureus. 2019; 11(11):e6245.
24. Kaloudi D, Svenningsson A, von Heijne A. [Diagnostic challenge in a man with intractable hiccups and vomiting: A case of neuromyelitis optica spectrum disorder (NMOSD)]. Lakartidningen. 2019; 116:FL4F.
25. Jin X, Pei S, Liu Y, Li X. Clinical analysis of neuromyelitis optica presenting as intractable nausea, vomiting and hiccups. Int J Neurosci. 2017; 127(10):854-8.
26. Prabhu MM, Agrawal U. Intractable vomiting and hiccups: An atypical presentation of neuromyelitis optica. Cureus. 2019; 11(11):e6245.
27. Zaidi SM, Mohib A, Rizvi SA, Zafar A. Vomiting in neuromyelitis optica: An atypical presentation. Cureus. 2019; 11(7):e5225.
28. Enweluzo C, Yarra P. Neuromyelitis optica: An often forgotten cause of intractable nausea and vomiting. Case Rep Gastroenterol. 2013; 7(2):281-6.
29. Biswas A, Mukherjee A. Therapy of NMO spectrum disorders. Ann Indian Acad Neurol. 2015; 18:S16–23.
30. Abboud H, Petrak A, Mealy M, Sasidharan S, Siddique L, Levy M. Treatment of acute relapses in neuromyelitis optica: Steroids alone versus steroids plus plasma exchange. Mult Scler. 2016; 22:185–92.
Notas de autor
tati2110@hotmail.com
Información adicional
Declaración de conflictos de intereses: Los autores declaran no tener ningún conflicto de intereses.