Resumen: La osteoporosis es una enfermedad sistémica esquelética, cuyas manifestaciones más comunes son las fracturas vertebrales y de cadera. En relación con el oído, se han realizado algunos estudios controversiales que sugieren el aumento de riesgo de pérdida auditiva en pacientes con osteoporosis, mientras otros indican que no hay relación alguna con esta enfermedad. Se realizó un reporte de caso donde se describen los hallazgos en el oído medio y oído interno, tras la valoración bajo microscopía de luz, en un espécimen de hueso temporal con antecedente de osteoporosis. Se evidencia desmineralización, porosidad y disminución cualitativa del tejido óseo, así como disminución del espacio incudomaleolar.
Palabras clave: otopatología, osteoporosis, oído medio.
Abstract: Osteoporosis is a skeletal systemic disease, commonly known for its affection on hips and spine. In relation to the ear, several controversial studies have documented an increased risk for hearing loss in patients with osteoporosis, while others do not find any association with these disorders. A case report was carried out which describes the findings in the middle ear and inner ear, after evaluation under light microscopy, in a temporary bone specimen with a history of osteoporosis. Demineralization, porosity and qualitative diminished bone tissue are found, as well as a decrease in the incudomallear joint.
Keywords: otopathology, osteoporosis, middle ear.
Resumo: A osteoporose é uma doença esquelética sistêmica, cujas manifestações mais comuns são as fraturas vertebrais e de quadril. Em relação ao ouvido, foram realizados alguns estudos controversos que sugerem um risco aumentado de perda auditiva em pacientes com osteoporose, enquanto outros indicam que não há relação com essa doença. Foi feito um relato de caso descrevendo os achados em ouvido médio e ouvido interno, após avaliação sob microscopia de luz, em espécime de osso temporal com histórico de osteoporose. Há evidências de desmineralização, porosidade e diminuição qualitativa do tecido ósseo, bem como diminuição do espaço incudomaleolar.
Palavras-chave: otopatologia, osteoporose, ouvido médio.
Reportes de Caso
Osteoporosis bilateral del yunque, hallazgos otopatológicos
Case report: Bilateral incus osteoporosis, otopathological findings
Relato de caso: Osteoporose bilateral da bigorna, achados otopatológicos

Recepción: 02 Octubre 2021
Aprobación: 04 Mayo 2022
La osteoporosis es una enfermedad sistémica esquelética progresiva, caracterizada por la pérdida de la masa ósea y deterioro de la microarquitectura del tejido óseo, que conduce a un incremento en la fragilidad ósea y mayor susceptibilidad a fracturas1. Esta es considerada uno de los mayores problemas emergentes en salud pública en el mundo, debido al número creciente de poblaciones en edad geriátrica, así como al aumento de deficiencia de vitamina D en diversos grupos2. Un estudio latinoamericano sobre osteoporosis vertebral realizado en Argentina, Brasil, Colombia, México y Puerto Rico encontró una prevalencia del 6.9% en mujeres de 50 a 59 años y un aumento al 27.8% en las mujeres mayores de 80 años3. Las fracturas vertebrales son la manifestación más común de osteoporosis y, a su vez, esta enfermedad está relacionada con mayor riesgo de fracturas en cadera.
Si bien las manifestaciones esqueléticas son las más comunes, la osteoporosis ha sido también identificada como un potencial factor para pérdidas auditivas. Los posibles mecanismos implicados en la pérdida auditiva asociada a esta enfermedad son la desmineralización sistémica del sistema esquelético que podría afectar el hueso temporal, la cápsula coclear y el sistema de conducción tímpano-osicular en el oído medio. A pesar de que múltiples estudios han revelado esta posible asociación entre la pérdida auditiva y osteoporosis4,5, poco se conoce sobre los posibles eventos otopatológicos en el hueso temporal. En el siguiente caso, se describen los hallazgos histopatológicos post mortem de hueso temporal en un paciente con antecedentes de osteoporosis y pérdida auditiva.
Caso clínico
Paciente masculino de raza caucásica, de 71 años, registrado al momento del deceso. Como único antecedente relevante en la historia clínica del paciente se reporta osteoporosis en la senectud, pero se desconoce la edad de aparición y otros hallazgos clínicos asociados, así como realización de densitometrías óseas o exámenes bioquímicos. No se registraron antecedentes personales o familiares de enfermedad otológica previa o pérdida auditiva congénita. Igualmente, no se reportaron cirugías de oído medio o interno, síndromes hereditarios o lesiones tumorales.
Al revisar su historia clínica remota, relacionada con sintomatología auditiva, se encuentra que a los 30 años indicó pérdida auditiva en el oído derecho de una semana de evolución, por lo cual consultó al servicio de otorrinolaringología de la institución. En la otoscopía se observó opacidad y abombamiento de la membrana timpánica, sin otros signos aparentes de infección. En la evaluación audiológica se reportó una pérdida auditiva indeterminada (en tipo y grado) en el oído derecho, con audición preservada en el oído izquierdo. Posterior a una semana, el paciente indicó mejoría de los síntomas, con examen físico normal y audición funcional a la voz susurrada y conversacional.
A la edad de 71 años, el paciente presentó una debilidad motora en el brazo derecho que progresó a una hemiparesia derecha y disfonía. Se indicó intervención quirúrgica, tras estancia y evaluación hospitalaria, luego de que se encontrara tumor tipo astrocitoma grado 4, tras la realización de una craneotomía frontal izquierda. Luego de una estancia en unidad de terapia intensiva, el paciente permaneció en estado de coma y 10 días después falleció por una bronconeumonía.
Se realizó el proceso de colección, descalcificación y tinción del hueso temporal en el laboratorio de otopatología del hospital Massachusetts Eye and Ear Infirmary. Tras cuatro días de fijación en heidenhain-susa y 51 días de descalcificación en ácido tricoloacético, se procedió a la tinción con Hematoxilina- Eosina, corte y valoración histopatológica de los dos huesos temporales obtenidos del paciente, bajo expertos otopatólogos.
Evaluación otopatológica
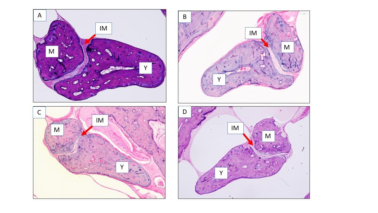
Se realizó la revisión bajo microscopía de luz de ambos especímenes de hueso temporal, se hizo la valoración anatómica de las estructuras incluidas en el oído medio y en el oído interno. En el oído derecho la membrana timpánica presentó una apariencia uniforme, sin presencia de perforaciones timpánicas o discontinuidad osicular. En la evaluación de los huesecillos, se observó porosidad con leve erosión intraósea y desmineralización del martillo, apófisis larga del yunque, proceso lenticular del yunque e inmediaciones de la articulación incudomaleolar (Figuras 1A y 1B), comparado con un control sin patología del mismo rango etario (Figuras 1C y 1D). Asimismo, se observó una disminución en el espacio incudomalolear comparado con especímenes de la misma edad y sexo sin diagnóstico de osteoporosis.

En los cortes horizontales del espécimen se observó en el yunque y estapedio una disminución cualitativa del hueso, siendo evidente en el área distal del yunque y de las cruras del estapedio, comparado con un control de la misma edad sin presencia de osteoporosis (Figura 2A y 2B). Dentro de la evaluación de estructuras en el oído interno, se encontró pérdida de células ciliadas externas en el órgano de Corti. No obstante, otras estructuras como la estría vascular, ligamento espiral y las neuronas ganglionares se observaron sin alteraciones anatómicas.

En el oído izquierdo hubo hallazgos similares a su par contralateral (Figura 1 y 2B). Las demás estructuras en oído medio e interno dentro del lado izquierdo se presentaron sin otras alteraciones. Las poblaciones de células ciliadas externas en este oído se observaron en rangos de normalidad en comparación con controles históricos.
Como diagnóstico final otopatológico, se determinó osteoporosis bilateral del proceso lenticular del yunque de carácter severo, erosión y desmineralización en los tres huesecillos, disminución del espacio incudomaleolar, así como presencia de pérdida bilateral de células ciliadas externas, posiblemente asociados a trauma acústico.
Discusión
La pérdida auditiva asociada a osteoporosis ha sido descrita por diversos estudios. Uno de los más recientes, de carácter longitudinal, ha sugerido un riesgo aumentado de padecer pérdida auditiva incrementada en aquellos pacientes con densidad mineral ósea disminuida u osteoporosis4. La presencia de una disminución o pérdida de la audición en pacientes con osteoporosis podría explicarse de acuerdo con hallazgos en estudios animales, en los cuales se ha descubierto que la homeostasis ósea sería de gran importancia para la preservación de la integridad coclear neurosensorial así como de la audición misma6. Diversos análisis de carácter observacional en humanos han indicado pérdidas auditivas evidentes en pacientes con reporte de densidad mineral ósea disminuida5,7,8, sin embargo, otros han sugerido que no hay una asociación directa entre osteoporosis y una pérdida notoria de la audición7.
Poco se conoce sobre estudios de hueso temporal que informen acerca de hallazgos otopatológicos de pacientes con osteoporosis, es más frecuente el estudio en patologías como la otosclerosis y enfermedad de Paget9,10,11. Una hipótesis previamente conocida sobre la afectación del oído en la otosclerosis indicaría que hay una posible desmineralización de la cápsula ótica y degeneración neuronal, lo cual podría explicar la presencia de pérdidas auditivas de carácter neurosensorial.12,13 Otra de las hipótesis conocidas sobre la afectación de la osteoporosis al hueso temporal es el compromiso de la cadena osicular, donde se indica la posible desmineralización de los huesecillos12,13.
En este reporte de caso se han evidenciado hallazgos en los tres huesecillos del oído medio, tales como desmineralización y porosidad en martillo, yunque y estribo, además de disminución cualitativa de tejido óseo del yunque distal y disminución del espacio de la articulación incudomaleolar, comparado con especímenes del mismo rango etario sin patología ósea activa. Lo anterior podría tener implicaciones clínicas a en lo biomecánico dada la proximidad de los huesecillos, así como la disminución notoria de tejido óseo del yunque, lo cual podría traducirse en alteraciones en la conducción ósea y en la transmisión de sonido en los pacientes con osteoporosis.
En este caso se encontró, a su vez, pérdida de células ciliares externas, las cuales podrían estar mayormente relacionadas con presencia de trauma acústico previo, así como procesos de envejecimiento y no directamente implicada en la presencia de osteoporosis. Si bien este caso no menciona el antecedente de osteoporosis en vida del paciente, los hallazgos reportados podrían ser un punto de partida para mayores estudios de huesos temporales de pacientes con osteoporosis, pues sugiere una posible alteración en el tejido óseo, similar a los descubrimientos sistémicos de la enfermedad.
Dentro de las limitaciones de este reporte de caso, está la poca información referente a la edad de aparición de la osteoporosis, así como las manifestaciones clínicas esqueléticas presentes. Se considera, además, que la falta de precisión en los estudios audiológicos reportados y la ausencia de otras evaluaciones posteriores al diagnóstico de osteoporosis es otra de las limitaciones del presente estudio.
A futuro se requieren estudios en huesos temporales, en los cuales pueda medirse la densidad ósea del hueso temporal, así como la presencia de desmineralización de la cápsula ósea y otras estructuras adjuntas al oído interno. Estudios inmunopatológicos para la búsqueda de osteoclastos también serían óptimos en próximas investigaciones, así como estudios de correlación clínico-audiológica.
Declaración de conflictos de intereses: Los autores declaran no tener ningún conflicto de intereses.
Agradecimientos: Agradecimientos al Doctor Aaron Remenschneider, investigador principal en el Massachusetts Eye and Ear Infirmary y al equipo de otopatología del Hospital Massachusetts Eye and Ear Infirmary en la ciudad de Boston, Estados Unidos.
melissa.castillo@upb.edu.co

