Reportes de caso
Pancreatitis aguda asociada a cocaína, una complicación inusual. Serie de casos
Cocaine-induced acute pancreatitis, an unusual complication. Case series
Pancreatite aguda associada à cocaína, uma complicação incomum. Número de casos
Pancreatitis aguda asociada a cocaína, una complicación inusual. Serie de casos
Medicina U.P.B., vol. 42, núm. 1, pp. 100-104, 2023
Universidad Pontificia Bolivariana

Recepción: 09 Marzo 2022
Aprobación: 01 Noviembre 2022
Resumen: La cocaína es una de las sustancias ilegales más consumidas y Colombia no es la excepción. Dentro de las sustancias ilegales es la segunda más consumida después del cannabis. Por su mecanismo mismo de acción, que produce aumento de aminas biógenas, se han asociado con la cocaína diferentes riesgos, tanto agudos como crónicos, y dentro de sus complicaciones se han descrito cambios comportamentales, compromiso cardiovascular y neurológico. La coingesta de cocaína y alcohol da lugar a un metabolito conocido como cocaetileno, que lleva a complicaciones cardiovasculares. Poco se ha descrito sobre el riesgo de la cocaína o la coingesta cocaína y alcohol, como un factor sumatorio, para la pancreatitis. Reportamos tres pacientes jóvenes consumidores del alcaloide que desarrollaron pancreatitis aguda, dos de ellos murieron. El objetivo de este reporte es sensibilizar a los trabajadores de la salud sobre otro riesgo para considerar en los pacientes consumidores de cocaína.
Palabras clave: pancreatitis, cocaína, trastornos relacionados con cocaína, drogas de abuso.
Abstract: Cocaine is one of the most consumed illegal substances and Colombia is no exception. It is the second most consumed among the illegal substances after cannabis. Due to its very mechanism of action, which produces an increase in biogenic amines, different risks, both acute and chronic, have been associated with cocaine, and among its complications, behavioral changes, cardiovascular and neurological compromise have been described. The co-ingestion of cocaine and alcohol gives rise to a metabolite known as cocaethylene, which leads to cardiovascular complications. Little has been described about the risk of cocaine or cocaine and alcohol co-ingestion, as a summative factor, for pancreatitis. We report three young patients consuming the alkaloid who developed acute pancreatitis, two of whom died. The objective of this report is to sensitize health workers about another risk to consider in cocaine-consuming patients.
Keywords: pancreatitis, cocaine, cocaine-related disorders, illicit drugs.
Resumo: A cocaína é uma das substâncias ilícitas mais consumidas e a Colômbia não é exceção. Dentro das substâncias ilícitas é a segunda mais consumida depois da maconha. Devido ao seu próprio mecanismo de ação, que produz aumento de aminas biogênicas, diversos riscos, tanto agudos quanto crônicos, têm sido associados à cocaína e, entre suas complicações, têm sido descritas alterações comportamentais, comprometimento cardiovascular e neurológico. A co-ingestão de cocaína e álcool dá origem a um metabólito conhecido como cocaetileno , que leva a complicações cardiovasculares. Pouco tem sido descrito sobre o risco da co-ingestão de cocaína ou cocaína e álcool, como fator somativo, para pancreatite. Relatamos 3 pacientes jovens consumindo o alcalóide que desenvolveram pancreatite aguda, dois dos quais morreram. O objetivo deste relatório é sensibilizar os profissionais de saúde sobre outro risco a ser considerado em pacientes consumidores de cocaína.
Palavras-chave: pancreatite, cocaína, distúrbios relacionados à cocaína, drogas de abuso.
Introducción
El informe mundial sobre las drogas de la Organización de las Naciones Unidas (ONU) del año 2022 reporta a 21 millones de personas consumidoras de cocaína, y a esta como una de las tres principales drogas de abuso1. Colombia no es ajena a esta realidad; en el país los productos derivados de este alcaloide se encuentran entre las sustancias más consumidas junto con el cannabis y el alcohol. Según lo evidenciado por la Encuesta Nacional de Consumo de Sustancias Psicoactivas (ENCSPA), realizada en el año 2019, el grupo etario que muestra mayor consumo se encuentra entre los 18 y 24 años, este representa un grupo poblacional económicamente activo2.
La cocaína (benzoilmetilecgonina) es un alcaloide que se extrae de la hoja Erythroxylumcoca, la cual según su proceso de fabricación se puede encontrar en diferentes formas como: pasta básica de coca, clorhidrato de cocaína o base de cocaína (crack). Estas formas se pueden administrar por vía oral, intravenosa, intranasal y la base puede fumarse3,4. Los efectos tóxicos de este alcaloide se explican debido a la inhibición en la recaptación presináptica de noradrenalina, dopamina y serotonina, que produce un exceso de neurotransmisores a nivel postsináptico. Sumando a esto, inhibe las monoaminoxidasas, tiene un efecto anticolinérgico directo y estimula los receptores alfa-adrenérgicos, lo que lo hace un potente simpaticomimético5.
Se une a la albúmina y a la glicoproteína ácida α1 a una tasa de alrededor del 90% y se encuentra en concentraciones más altas en el cerebro, el bazo, los riñones y los pulmones, seguida de la sangre, el corazón y el tejido muscular6. Por sus características de liposolubilidad se absorbe rápidamente y alcanza niveles pico en sangre entre 1-3 minutos, lo cual se correlaciona con su inicio de acción; lugeo, a través de diferentes procesos enzimáticos, se metaboliza a benzoilecgonina y ecgonina metil éster y norcocaína, este último metabolito es de importancia entendiendo que se asocia a toxicidad hepática y cardiovascular. Es significativo resaltar que, ante la coingesta de cocaína y alcohol, la vía metabólica de la cocaína cambia, parte de esta se transesterifica con etanol y produce un metabolito conocido como cocaetileno. Este metabolito, en comparación con la cocaína, tiene una eliminación más lenta, un mayor volumen de distribución y una vida media más prolongada, lo cual se ha asociado a una cardiotoxicidad unas 10 veces mayor, secundaria al vasoespasmo7,8.
Los riesgos del consumo de la cocaína son ampliamente conocidos y dentro de las principales complicaciones se encuentran las cardiovasculares, incluyendo el síndrome coronario agudo, arritmias, la miocardiopatía y la falla cardiaca9.
Aunque es infrecuente, también se han descrito complicaciones gastrointestinales, las cuales pueden ser letales a corto plazo como lo son: la falla hepática, isquemia mesentérica y la pancreatitis aguda5,10.
A continuación se reportan tres casos de pacientes consumidores de cocaína que desarrollaron pancreatitis aguda. Se realiza una correlación con casos ya reportados en la literatura, en los que se destacan la presentación clínica, el diagnóstico y desenlace comparativo. El objetivo de este artículo es sensibilizar a los trabajadores de la salud sobre la asociación entre el consumo de cocaína y la pancreatitis aguda, pues solo si se logra identificar y suspender la causa, se impactará positivamente en la historia de la enfermedad.
Casos clínicos
Caso uno
Paciente de sexo masculino de 30 años, quien ingresó al servicio de urgencias de un hospital de tercer nivel de atención, por cuadro clínico de dos días de evolución de dolor abdominal localizado en epigastrio, de alta intensidad, con irradiación hacia la espalda y asociado a episodios eméticos. Como único antecedente de importancia indicó uso de un gramo de clorhidrato de cocaína semanalmente y consumo de alcohol ocasional.
Al examen físico: presión arterial: 110/85 mmHg, frecuencia cardiaca: 107 latidos/min, saturación de oxígeno: 89%, abdomen doloroso a la palpación y disminución del murmullo vesicular en la base derecha.
En la valoración inicial se solicitaron paraclínicos que reportaron leucocitosis con neutrofilia, lipasa de 8358.5 U/l y amilasa de 1083.1 U/l. Se diagnosticó pancreatitis aguda, se hospitalizó y se inició manejo con tramadol 50 mg cada seis horas, lactato de ringer en bolo (1000cc), seguido de 150cc/hora.
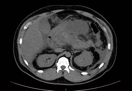
En busca de etiología, se realizó una ecografía de hígado y vías biliares donde no se evidenciaron cálculos ni dilatación de la vía biliar; se solicitó calcio sérico de 7.8 mg/dL y triglicéridos de 320 mg/d. Por incremento del dolor dos días posteriores al inicio del tratamiento, se ordenó una tomografía contrastada de abdomen y pelvis, cuyo resultado mostró necrosis pancreática del 50%, asociado a colección peripancreática de 83 mm de diámetro compatible con Balthazar D (Figura 1). Por este hallazgo se traslada al paciente a la Unidad de Cuidados especiales, donde se realiza drenaje de colecciones peripancreáticas.

Durante los siguientes días, el paciente tuvo aumento del dolor, con persistencia de leucocitosis y elevación de PCR, con taquicardia, pero con estabilidad hemodinámica, por lo cual se realizó tomografía de control que descartó nuevas colecciones y necesidad de nuevos drenajes.
Al día 10 de estar en cuidados especiales, el paciente evoluciona de manera tórpida hasta una falla orgánica multisistémica que requirió soporte ventilatorio y vasopresor. Por marcada distensión abdominal, se mide presión intrabdominal que es mayor a 25 mmHg, con lo que se hace diagnóstico de síndrome compartimental abdominal, requiriendo laparotomía exploratoria en la que se observa un síndrome adherencial en hemiabdomen superior. Continúa deteriorándose hasta presentar arresto cardíaco, con actividad eléctrica sin pulso y muerte.
Caso dos
Paciente de sexo masculino de 36 años, con antecedente de consumo de cocaína, quien ingresó al servicio de urgencias de un hospital de tercer nivel, por alteración en el estado de alerta luego de ingesta de clorhidrato de cocaína y alcohol durante cuatro días consecutivos. Negaba consumo de otros tóxicos o medicamentos.
Al examen físico se encontró somnoliento, desorientado, con una presión arterial de 152/93 mmHg, frecuencia cardiaca 94 latidos/ minuto, saturación de oxígeno 91%, anúrico.
Por el antecedente de consumo, se solicitó CPK 125 920 U/l, nitrógeno urémico 125 mg/dl, creatinina 10.7 mg/dl, transaminasa alcalina 2741 U/l, aspartato de aminotransferasa 2 888 U/l. Por la alteración del sensorio se solicita tomografía de cráneo simple que no mostró alteraciones.
Con una impresión diagnóstica de intoxicación etílica y hepatitis alcohólica, se ingresó a UCE y se ordena manejo con lactato de ringer bolo de 1000cc, seguido de 240cc cada hora. El paciente presentó mejoría del estado de alerta y de la función renal, pero inició con dolor abdominal asociado a vómito e intolerancia vía oral, por lo que se ordenó prueba de lipasa con un resultado de 2 117 U/l. Con este resultado se realizó el diagnóstico de pancreatitis aguda grave, se descarta etiología biliar en tomografía de abdomen, donde no se evidencian cálculos ni dilatación de la vía biliar, entre otros estudios calcio y triglicéridos en rango de normalidad.
Se trató con analgésico con tramadol 50 mg cada seis horas y nutrición enteral por sonda nasogástrica. En la ecografía de hígado y vías biliares se descartó la litiasis como posible etiología, lo cual confirmó la ingesta de cocaína y alcohol como causa más probable. A los siete de días de su estancia, el paciente evolucionó hacia la mejoría clínica y fue dado de alta luego de iniciar manejo para el cese del consumo de cocaína.
Caso tres
Paciente de sexo femenino de 41 años, quien consultó por dolor epigástrico asociado a emesis. Como antecedente relató consumo frecuente de pasta básica de coca, sin consumo de alcohol concomitante, medicamentos u otros tóxicos. Niega otros síntomas a la revisión por sistemas.
Al examen físico se encontró alteración del estado de consciencia, deshidratación, con disminución del murmullo vesicular en ambas bases pulmonares.
Con una impresión diagnóstica de pancreatitis aguda, se hicieron paraclínicos como lipasa 1 141 U/l, gases arteriales que mostraron una acidosis metabólica severa pH 6.6, HCO3 1.7, ácido láctico 0.85 mmol/L y creatinina 5.9 mg/dL.
Se inició manejo con lactato de ringer bolo de 2000cc, seguido de 200cc/ hora, bicarbonato 70 mEq y soporte vasopresor con norepinefrina 0.03mcg/kg/minuto. Posteriormente presentó deterioro ventilatorio, por lo que se solicita una radiografía de tórax que mostró infiltrados alveolares en cuatro cuadrantes, compatibles con síndrome de dificultad respiratoria aguda, por lo cual se inició soporte ventilatorio.
Se realiza tomografía contrastada de abdomen que indica páncreas edematoso, aumentado de su tamaño, con hipodensidad en cabeza y cuello, sin evidencia de calcificaciones, masas ni colecciones y vesícula biliar bien distendida, sin obstrucción en su luz ni dilatación en la vía biliar intra o extrahepática. Se continuó manejo con líquidos, vasopresores, bicarbonato, por sospecha de shock séptico y distributivo, se inició meropenem 1 gramo cada 24 horas, hidrocortisona 50 mg cada 6 horas. Por persistencia de deterioro, presentó paro cardiorrespiratorio, con actividad eléctrica sin pulso y falleció.
Discusión
La pancreatitis aguda es un trastorno inflamatorio exocrino del páncreas, que se caracteriza por una respuesta inflamatoria local y sistémica. Presenta un curso clínico variable que puede ir desde una enfermedad leve hasta grave, en esta última cursa con falla orgánica múltiple, necrosis del tejido pancreático o peripancreático, insuficiencia orgánica, o ambas, fenómeno que se manifiesta en el 30 a 40% de los pacientes3,11.
Tiene una incidencia de 110 a 140 por 100 000 habitantes en Estados Unidos, donde se estiman más de 300 000 visitas a los servicios de urgencias por año12. En Colombia, se desconoce la incidencia real de la pancreatitis aguda, pero se calcula que cerca del 80% de las pancreatitis agudas son de etiología biliar, 9% son de etiología alcohólica y 0.6% son de diferentes etiologías, entre las cuales se encuentran las pancreatitis toxicas. Al ser conocida la alta prevalencia del consumo de cocaína es importante resaltar su asociación con la pancreatitis aguda, como una complicación debida a su consumo7.
El mecanismo fisiopatológico de la pancreatitis asociada al consumo de cocaína está aún en estudio. Algunos autores como Chapela et al. plantean que es una suma de diferentes mecanismos como la vasoconstricción causada por aminas biógenas por la trombosis de vasos mesentéricos. Esta trombosis es explicada por un aumento de la agregación plaquetaria y un disbalance entre factores de coagulación donde hay disminución del activador del plasminógeno. La trombosis mesentérica lleva a una disminución del flujo esplácnico lo que a su vez ocasiona otras complicaciones como la colitis isquémica. Otra teoría planteada por Linari et al., en 2001, es la inhibición de la síntesis de proteínas en el páncreas endocrino, la salida de calcio de la célula acinar y la actividad de la fosfolipasa A2 que llevan a disfunción10.
En la literatura se han reportado algunos casos de pancreatitis inducida por cocaína, con presentación y desenlaces variables. En el Clinical Journal of Gastroenterology se publicó un caso en 2021 de una mujer de 29 años con dolor abdominal asociado a náuseas y vómito con antecedente de consumo de cocaína en los últimos meses13. Este caso comparte características con el paciente expuesto en el ejemplo clínico número uno, un hombre de 30 años que refirió los mismos síntomas y tenía consumo frecuente de cocaína. Ambos presentan lipasa elevada y ecografía de hígado y vías biliares normal, con la que se excluyen los cálculos biliares como causa de la pancreatitis. En el primer paciente reportado para esta serie, se propone que su pobre desenlace y múltiples complicaciones pueden ser consecuencia de la ingesta concomitante de cocaína con alcohol, que forman cocaetileno, metabolito que ha demostrado contribuir fuertemente a la inhibición de la secreción pancreática exocrina, sumado a los efectos deletéreos del alcohol en el páncreas14.
El segundo caso reportado contrasta con otros de la literatura, como el Umar et al., que anotaron asociación del consumo de cocaína como causa de pancreatitis en pacientes jóvenes. Aquí es importante resaltar que el síndrome adrenérgico causado por el consumo de los alcaloides de cocaína, explica una vasoconstricción esplácnica severa a la cual se le atribuye la pancreatitis15.
También se han registrado formas graves de presentación después del consumo agudo de cocaína. En Argentina, Chapela et al.10 revisaron un caso de un paciente que ingresó con shock y síndrome de disfunción multiorgánica con alteración del sensorio e inestabilidad hemodinámica, similar a la presentación de la paciente reportada en el caso tres, quien después de consumir pasta básica de coca presentó encefalopatía. En ambos casos, después de la mejoría del estado mental, los pacientes refirieron dolor abdominal y se documentó lipasa marcadamente elevada, con páncreas edematoso por tomografía contrastada. Los dos se manejaron con líquidos, vasopresores, analgesia y suspensión de la vía oral10. Se recalca que el cese permanente de la cocaína es imperativo en términos de tratamiento como medida adicional a las estrategias de soporte administrados en concomitantemente16.
Finalmente, en el 2021 Goraya MHN et al. publican una revisión sistemática de la literatura basada en casos, que señalan características similares en cuanto a presentación clínica e historia de la enfermedad, destacando en dichos pacientes el trastorno por uso de múltiples sustancias en el 57% de los casos y el desarrollo de los síntomas 48 horas posteriores a la exposición a la cocaína en el 86% de los pacientes16.
Conclusiones
La cocaína y sus derivados son unas de las sustancias ilícitas más consumidas en nuestro planeta. En Colombia es la segunda droga ilegal más usada, seguida de la marihuana, y derivado del consumo de este alcaloide, se han descrito ampliamente múltiples complicaciones locales y sistémicas.
Tradicionalmente se ha hecho énfasis sobre los riesgos cardiovasculares y neurológicos; no menos importante son las complicaciones gastrointestinales como ulceración, perforación gastrointestinal y colitis isquémica17.
Dentro de este último grupo, la pancreatitis aguda es una complicación poco descrita debido a que está más asociada al abuso de alcohol. Su fisiopatología incluye vasoconstricción y trombosis de la circulación mesentérica; además, en combinación con alcohol, la cocaína produce metabolitos como el cocaetileno que ha sido explicado como un factor de riesgo para la enfermedad cardiovascular.
Nuestro objetivo es resaltar que el consumo del alcaloide o la mezcla del alcaloide y de alcohol concomitantemente, derivan en un factor de riesgo a tener en consideración en el desarrollo de pancreatitis aguda y tomando en cuenta los criterios epidemiológicos de causalidad de Bradford Hill se encuentran criterios como temporalidad plausibilidad biológica gradiente biológico y coherencia, lo que fundamenta lo que fundamenta su asociación.
Referencias
1. UNODC, World Drug Report 2022 (United Nations publication, 2022); 2022.
2. DANE. Encuesta Nacional de Consumo de Sustancias Psicoactivas – (ENCSPA). Colombia: DANE; 2019.
3. Meher S, Mishra TS, Sasmal PK, Rath S, Sharma R, Rout B, et al. Role of biomarkers in diagnosis and prognostic evaluation of acute pancreatitis. J Biomarkers. 2015;2015:1-13.
4. Zimmerman JL. Cocaine intoxication. Crit Care Clin. 2012;28(4):517-26.
5. Carlin N, Nguyen N, DePasquale JR. Multiple gastrointestinal complications of crack cocaine abuse. Case Reports in Medicine. 2014;2014:1-3.
6. Roque R, Faria AC, Brito-da-Costa AM, Carmo H, Mladěnka P, Dias da Silva D, et al. Cocaine: An updated overview on chemistry, detection, biokinetics, and pharmacotoxicological aspects including abuse pattern. Toxins. 2022;14(4):278.
7. Nieto JA, Rodríguez SJ. Manejo de la pancreatitis aguda: guía de práctica clínica basada en la mejor información disponible. Rev Colom. 2010;25(2): 91-8.
8. Pergolizzi J, Breve F, Magnusson P, LeQuang JAK, Varrassi G. Cocaethylene: When cocaine and alcohol are taken together. Cureus [Internet]. 22 de febrero de 2022 [citado 8 de octubre de 2022]; Disponible en: https://www.cureus.com/articles/73024-cocaethylene-when-cocaine-and-alcohol-are-taken-together
9. Cortés F, Guislain PF, Quesada JV. Efectos cardiovasculares en usuarios de cocaína. Rev Méd Sinerg. 2019;4(5):5-14.
10. Chapela SP, Paz S, Ballestero FM. Pancreatitis induced by cocaine. Case Rep Gastroenterol. 2017;11(1):212-8.
11. Boxhoorn L, Voermans RP, Bouwense SA, Bruno MJ, Verdonk RC, Boermeester MA, et al. Acute pancreatitis. Lancet. 2020;396(10252):726-34.
12. Mederos MA, Reber HA, Girgis MD. Acute pancreatitis: A review. JAMA. 2021;325(4):382.
13. Strzepka J, Tian F, Nassani N, Garcia-Bedoya O, Yazici C. Cocaine-induced acute pancreatitis. ACG Case Rep J. 2020;7(12):e00487.
14. Linari G, Antonilli L, Nencini P, Nucerito V. Ethanol combined with cocaine inhibits amylase release in guinea pig pancreatic lobules. Pharmacological Research. 2001;44(1):41-5.
15. Umar M, Noor E, Ali U, Khan I, Ahmed Z. Cocaine-induced acute pancreatitis: A rare etiology. Cureus [Internet]. 6 de julio de 2020 [citado 8 de octubre de 2022]; Disponible en: https://www.cureus.com/articles/35842-cocaine-induced-acute-pancreatitis-a-rare-etiology
16. Goraya MHN, Malik A, Inayat F, Ishtiaq R, Zaman MA, Arslan HM, et al. Acute pancreatitis secondary to cocaine use: A case-based systematic literature review. Clin J Gastroenterol. 2021;14(4):1269-77.
17. Cerezo-Ruiz A, Lozano A, Cortés-Rodríguez B, De Paula F. Pancreatitis aguda leve asociada a consumo de cocaína. Gastroenterol y Hepatol. 2012;35(8):610-1.
Notas de autor
judablancov@gmail.com
Información adicional
Declaración de conflictos de intereses: Los autores declaran no tener ningún conflicto de intereses.