Reportes de caso
Más allá de lo común: paniculitis por histoplasma. Reporte de caso
Beyond common ground: histoplasmosis panniculitis. A case report
Além do comum: paniculite por histoplasma. Relato de caso
Más allá de lo común: paniculitis por histoplasma. Reporte de caso
Medicina U.P.B., vol. 44, núm. 1, pp. 61-65, 2025
Universidad Pontificia Bolivariana

Recepción: 11 Marzo 2024
Aprobación: 01 Octubre 2024
Resumen: La histoplasmosis es una micosis endémica de América Latina y es causada por el Histoplasma capsulatum. La infección es provocada por la inhalación de esporas y el principal órgano involucrado es el pulmón. Las lesiones cutáneas son ampliamente variables, siendo la paniculitis una de las presentaciones más inusuales. Presentamos una paciente con diagnóstico de lupus eritematoso sistémico, quien presentó paniculitis asociada a infección por histoplasmosis diseminada.
Palabras clave: paniculitis, histoplasma, diseminada, lupus eritematoso sistémico.
Abstract: Histoplasmosis is an endemic mycosis in Latin America produced by Histoplasma capsulatum. The infection is caused by inhalation of spores and the main organ involved is the lung. Skin lesions are widely variable, with panniculitis being one of the most unusual presentations. We present a patient with a history of systemic lupus erythematosus who presented panniculitis associated with disseminated histoplasmosis infection.
Keywords: panniculitis, histoplasma, scattered, systemic lupus erythematosus.
Resumo: A histoplasmose é uma micose endêmica da América Latina e é causada pelo Histoplasma capsulatum . A infecção é causada pela inalação de esporos e o principal órgão envolvido é o pulmão. As lesões cutâneas são amplamente variáveis, sendo a paniculite uma das apresentações mais incomuns. Apresentamos um paciente com diagnóstico de lúpus eritematoso sistêmico, que apresentou paniculite associada à infecção por histoplasmose disseminada.
Palavras-chave: paniculite, histoplasma, espalhado, Lúpus eritematoso sistêmico.
INTRODUCCIÓN
La paniculitis es una inflamación del tejido celular subcutáneo, que puede tener etiologías reactivas, infecciosas, autoinmunes o neoplásicas. Histológicamente, se clasifica en paniculitis lobulillar, septal o mixta, de acuerdo con la localización del infiltrado inflamatorio. El hongo dimórfico Histoplasma capsulatum es el agente causal de la histoplasmosis, una micosis sistémica endémica en América Latina, que afecta predominantemente los pulmones. Las manifestaciones cutáneas de la histoplasmosis son variadas, siendo la paniculitis una presentación clínica poco frecuente1.
CASO CLÍNICO
Mujer de 56 años con diagnóstico de lupus eritematoso sistémico (LES) en tratamiento inmunosupresor con micofenolato mofetilo y metilprednisolona oral, quien consultó por un cuadro clínico de siete meses de evolución caracterizado por epistaxis, asociado a perforación del septo nasal; posteriormente, asociado a disnea y poliartralgias. Tres meses después refiere presencia de placas eritematosas, edematosas, dolorosas y mal definidas en el muslo derecho (Figura 1, izquierda).
Al inicio es evaluada por el servicio de reumatología, en donde se sospecha una posible exacerbación del LES, con una puntuación de SLEDAI de 8. Los estudios paraclínicos iniciales revelaron niveles normales de complemento, anticuerpos anti-DNA negativos y un citoquímico urinario sin hematuria ni proteinuria. Ante la sospecha de compromiso pulmonar, se realizó una tomografía de alta resolución (TACAR) la cual evidenció múltiples lesiones quísticas en el parénquima pulmonar, asociado a nivel hidroaéreo en la lesión quística dominante del pulmón derecho, sugiriendo una neumonía intersticial linfocítica (Figura 1, derecha).

Debido a la inmunosupresión, se descartaron infecciones oportunistas mediante pruebas diagnósticas: el examen directo con KOH del lavado bronco-alveolar fue negativo, la PCR para Mycobacterium tuberculosis resultó negativa y la antigenuria para Histoplasma capsulatum fue no reactiva. Inicialmente se consideró que el cuadro correspondía a una crisis lúpica con afectación pulmonar y cutánea, por lo que se incrementó la dosis de esteroides sistémicos. Sin embargo, la paciente presentó un empeoramiento clínico progresivo.
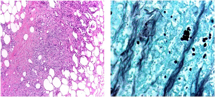
Dado el fracaso de la terapia inmunosupresora, se instauró tratamiento antibiótico de amplio espectro, con piperacilina-tazobactam y aztreonam ante la sospecha de una infección bacteriana subyacente, sin respuesta clínica significativa. Por ende; se realizó una biopsia cutánea de muslo en la que se observaron zonas de necrosis e infiltrado inflamatorio linfohistiocitario en la dermis y el panículo adiposo, con algunos plasmocitos y formación de granulomas y células gigantes multinucleadas (Figura 2, izquierda). Se realizó una tinción de plata metenamina, la cual reveló numerosas levaduras de tamaño y morfología compatibles con Histoplasma spp. (Figura 2, derecha), lo que permitió confirmar el diagnóstico de histoplasmosis diseminada.

La paciente fue tratada, en un principio, con anfotericina B liposomal intravenosa durante 14 días, con una evolución clínica favorable. Posteriormente, fue dada de alta con tratamiento prolongado con itraconazol oral durante un año, logrando la resolución completa de las lesiones cutáneas.
DISCUSIÓN
La histoplasmosis es una micosis sistémica debida al Histoplasma capsulatum, un hongo dimórfico que representa una de las principales infecciones fúngicas a nivel mundial. Su incidencia varía de 0,1 a 1 pacientes por cada 100 000 habitantes al año en regiones de clima templado, y se incrementa a 10-100 casos por 100 000 habitantes en zonas tropicales. En poblaciones de alto riesgo, como los pacientes inmunosuprimidos o durante brotes epidémicos, la incidencia puede superar los 100 casos por 100 000 habitantes1.
Es endémica en América Latina y prevalente en Centro y Sudamérica, con la mayor incidencia reportada en Brasil. El hongo prospera en áreas húmedas con temperaturas entre 22 °C y 29 °C. La infección en humanos ocurre por inhalación de microconidias que, una vez en los pulmones, se transforman en levaduras. Hasta el momento no se ha descrito transmisión de persona a persona2,3.
La infección por Histoplasma capsulatum es asintomática en aproximadamente el 95 % de los casos en la población general. Sin embargo, tiene un espectro amplio de manifestaciones clínicas que varían según la carga infectante y la respuesta inmune del paciente. Entre las formas más comunes se encuentra la histoplasmosis aguda, que se manifiesta con síntomas inespecíficos leves, similares a un cuadro gripal, principalmente en individuos inmunocompetentes4.
En contraste, la histoplasmosis pulmonar aguda y crónica —esta última de evolución progresiva y con características clínicas similares a la tuberculosis— son más frecuentes en pacientes mayores de 50 años. Clínicamente suelen presentar tos, expectoración y compromiso de las mucosas4,5.
En casos de diseminación, la enfermedad puede involucrar el sistema nervioso central, con meningoencefalitis y producir osteólisis en huesos largos. Los órganos más comúnmente afectados son el sistema reticuloendotelial y los pulmones4.
El compromiso cutáneo en la histoplasmosis puede presentarse de dos formas: como histoplasmosis cutánea primaria (HCP), una entidad poco frecuente, o como manifestación en el contexto de una histoplasmosis diseminada. En esta última, el compromiso mucocutáneo se reporta en un 40 % a 80 % de los casos con una amplia variedad de lesiones, siendo las más comunes las pápulas, placas eritematosas, nódulos costrosos, verrucosos o descamativos, abscesos y dermatitis generalizada. En ocasiones se pueden presentar úlceras y celulitis6.
Las lesiones mucocutáneas son típicamente observadas en las formas crónicas o diseminadas, sobre todo, en pacientes con compromiso pulmonar crónico7.
La paniculitis se ha descrito como una forma inusual de presentación en la histoplasmosis8. Los reportes en la literatura sobre paniculitis por Histoplasma capsulatum son limitados, siendo aún más raros los casos asociados a enfermedades autoinmunes del tejido conectivo. La literatura existente coincide en la administración de dosis moderadas a altas de esteroides, generalmente debido a una confusión inicial con una crisis lúpica9,10 (Tabla 1).
En pacientes inmunosuprimidos, la histoplasmosis diseminada puede comprometer múltiples órganos, incluyendo los ojos, la cavidad oral, la laringe, el sistema nervioso central, el tracto gastrointestinal y, con menor frecuencia, la región sinonasal7.
El diagnóstico de la histoplasmosis cutánea puede realizarse por distintos métodos, incluyendo la observación directa al microscopio con tinciones de giemsa o plata metenamina, detección de antígenos en suero, reacción en cadena de polimerasa (PCR) específica para H. capsulatum, serologías para anticuerpos específicos por técnica de ELISA en suero o en orinay el cultivo del microorganismo; cabe destacar que este último puede generar falsos positivos en presencia de coinfección con otras micosis4,11. Aunque el cultivo de muestras clínicas es considerado el patrón de referencia para la confirmación de la histoplasmosis, su sensibilidad es baja y presenta la desventaja de un tiempo prolongado de hasta 4-6 semanas para obtener resultados definitivos11,12.
En la histopatología se observan células gigantes multinucleadas y granulomas con o sin necrosis de caseificación, así como levaduras intracelulares dentro de macrófagos, visibles con tinciones de ácido peryódico de Schiff (PAS) o plata metenamina11,12. En los casos de paniculitis asociada, los hallazgos más comunes incluyen una paniculitis mixta de predominio lobulillar, con infiltración de neutrófilos, proliferación vascular, hemorragia y necrosis de adipocitos12. La histología del lupus y la histoplasmosis puede ser muy similar, por lo que las tinciones especiales son cruciales para diferenciarlas4.
El tratamiento incluye varias alternativas, como anfotericina B, itraconazol y otros antimicóticos del grupo de los azoles13,14. En la elección del tratamiento se debe considerar la gravedad de la enfermedad, siendo la anfotericina B liposomal el fármaco de elección en compromiso sistémico, seguido de una fase de consolidación con azoles, generalmente itraconazol 400 mg/día durante al menos 12 meses11. La intervención quirúrgica se reserva para lesiones aisladas causadas por hongos formadores de gránulos que no responden adecuadamente al tratamiento médico4.

CONCLUSIONES
Aunque la paniculitis se asocia, por lo general, con enfermedades del tejido conectivo, es esencial considerar la histoplasmosis como una posible etiología en pacientes inmunosuprimidos, sobre todo aquellos que han recibido dosis altas de esteroides y presentan una respuesta insuficiente a las terapias convencionales; particularmente en individuos provenientes de áreas endémicas. La presentación cutánea de la histoplasmosis diseminada, aunque poco frecuente, puede ser diversa y fácilmente subestimada. Por lo tanto, un diagnóstico oportuno y preciso es crucial para guiar un tratamiento adecuado y prevenir complicaciones graves.
REFERENCIAS
1. Zida A, Guiguemdé TK, Sawadogo MP, Tchekounou C, Sangaré I, Bamba S. Epidemiological, clinical, diagnostic, and therapeutic features of histoplasmosis: A systematic review. Journal of Medical Mycology. 2024;34(2):101474.
2. Patterson JW, Requena L. Paniculitis. En: Dermatología de Bolognia. 4.a ed. España: Elsevier; 2019:1733-57.
3. Colombo AL, Tobón A, Restrepo A, Queiroz-Telles F, Nucci M. Epidemiology of endemic systemic fungal infections in Latin America. Medical Mycology. 2011;49:785–798.
4. Landau DC, Alazar M, Mainardi CM, Kurpis M, Ruiz A. Histoplasmosis cutánea: a propósito de un caso. Med Cutan Iber Lat Am 2018;46(3):194-197.
5. Mary J, Jency Maria K, Sangeetha M, Preethi P. Histoplasmosis presenting as a laryngeal ulcer in an immunocompetent host. J Assoc Physicians India. 2015;63(6):69-71.
6. Avila RM, Camacho-Leon G, Faytong-Haro M, Merino-Alado RL, Pineda Carrillo J, Mautong H, et al. Case Report: Primary Cutaneous histoplasmosis in an immunocompetent patient after cosmetic injection of platelet-rich plasma treated with trimethoprim-sulfamethoxazole. Am J Case Rep. 2024;4;25:e942660
7. Negri M, Gontero R, Benavente E. Rev Arg Reumatol. 2012;23(2):26-39.
8. Flores-Bozo LR, Ortiz-Brizuela E, Soto-Ramírez LE. Histoplasma panniculitis in a patient with systemic lupus erythematosus. An Bras Dermatol. 2019;94(1):96-8
9. Abildgaard WH. Histoplasma panniculitis. Archives of Dermatology. 1985;121(7):914.
10. Posada C, Romero JD, Velásquez CJ, Márquez JD, Trujillo MC, Mestra L. Histoplasmosis como causa de paniculitis en lupus eritematoso sistémico y dermatomiositis. Rev. Colomb. Reumatol. 2012;19(1):59-63.
11. Gómez-Santana L, Torre A, Hernández B, Volonteri V, Laura B, Luis-Galimberti R. Manifestaciones mucocutáneas de la infección por Histoplasma capsulatum en pacientes inmunosuprimidos. Actas Dermo-Sifiliográficas. 2018;109(4):e27–e32.
12. Ahuja A, Bhardwaj M, Agarwal P. Cutaneous histoplasmosis in HIV seronegative patients: A clinicopathological analysis. Dermatology. 2021;1-6:513399.
13. Sinha S, Agrawal D, Sardana K, Malhotra P. Cutaneous Histoplasmosis: An unusual presentation with nasal obstruction. Indian Dermatol Online J. 2020;11(4):612-615.
14. Dufresne SF, LeBlanc RE, Zhang SX, Marr KA, Neofytos D. Histoplasmosis and subcutaneous nodules in a kidney transplant recipient: Erythema nodosum versus fungal panniculitis. Transplant Infectious Disease. 2013;15(2).
Notas de autor
sarisorozco@hotmail.com
Información adicional
FINANCIACIÓN: Este reporte no recibió ninguna subvención específica de ninguna agencia de financiación del sector público, comercial o sin fines de lucro.
CONFLICTOS DE INTERÉS: Los autores declaran no tener conflictos de intereses.