Presentación de casos
Recepción: 12 Enero 2017
Aprobación: 27 Abril 2017
Resumen:
El síndrome de Sjögren (SS), enfermedad autoinmune crónica, primaria o secundaria a otros desórdenes inmunológicos. La prevalencia es 0.05-0.23%, relación hombre: mujer 1:9, grupo etáreo 52-72 años. La afectación renal en el SSP (primario) puede ocasionar compromiso glomerular y/o tubular.
Reportamos el caso de un hombre de 56 años, previamente sano que presentó síndrome nefrótico en el contexto de una glomerulonefritis membranoproliferativa (GMNMP), se diagnosticó SS con compromiso glomerular y se realizó revisión de la literatura. (Acta Med Colomb 2017; 42: 136-139).
Palabras clave: glomerulonefritis membranoproliferativa , síndrome nefrótico, síndrome de Sjögren.
Abstract:
Sjögren's syndrome (SS) is a chronic autoimmune disease primary or secondary to other immunological disorders. The prevalence is 0.05-0.23%, male: female ratio 1:9, age group 52-72 years. Renal involvement in primary SS can lead to glomerular and/or tubular involvement.
The case of a 56-year-old man previously healthy that presented nephrotic syndrome in the context of a membranoproliferative glomerulonephritis (MPGN) and was diagnosed with SS with glomerular involvement is reported, and a literature review was performed. (Acta Med Colomb 2017; 42: 136-139).
Keywords: membranoproliferative glomerulonephritis , nephrotic syndrome, Sjögren's syndrome.
Introducción
El síndrome de Sjögren primario (SSP) presenta amplio compromiso renal, glomerular y/o tubular. La nefritis tubulointersticial y los defectos de concentración son muy frecuentes. La asociación del SS con glomerulonefritis (GN) es 20-40%. Las glomerulonefritis se asocian al complemento, formación de inmunocomplejos o depósitos de proteínas, la más frecuente es la membranoproliferativa. La mortalidad del SSP es más frecuente cuando existe compromiso glomerular. Presentamos un caso de síndrome nefrótico asociado a glomeruloneritis membranoproliferativa (GMNMP) secundario a SSP.
Presentación del caso
Hombre de 56 años, casado, dos hijos, conductor de taxi, previamente sano, consultó por tres meses de edema progresivo de miembros inferiores, presión arterial elevada y alteración de la función renal. Proteinuria nefrótica y sedimento activo. Un mes antes, hospitalización extrainstitucional, le practicaron biopsia renal sospechando glomerulonefritis rápidamente progresiva, reporte compatible con GMNMP, predominio de C3. Se manejó con pulsos de metilprednisolona dieron egreso con prednisolona oral 1mg/Kg/día. Persistió con edemas y la presión arterial elevada consultando a nuestra institución. Al ingreso en regulares condiciones generales, presión arterial de 157/90 mmHg, frecuencia cardiaca de 100 latidos/min, frecuencia respiratoria 20/min, auscultación cardiopulmonar normal, edema grado III miembros inferiores. En el contexto de inmunosupresión farmacológica más taquicardia, leucocitosis y neutrofilia, se realizó rastreo microbiológico con hemocultivos y urocultivo. Dentro de paraclínicos se evidenció perfil infeccioso negativo (HIV, HbsAg, VHC, RPR), panel inmunológico: ANA positivos 1/80 patrón moteado, anti Ro y anti La positivos, AntiDNA y complemento sérico consumido (Tablas 1 y 2) 1,2.


Se sospechó lupus eritematoso sistémico (LES), SS o síndrome de sobreposición. Se confirmó por oftalmología xeroftalmia compatible con ojo seco. En la hospitalización presentó síntomas respiratorios y hallazgos radiológicos compatibles con neumonía. Los hemocultivos detectaron Staphylococcus aureus meticilino sensible (SAMS) recibiendo ampicilina/sulbactam durante 21 días para el manejo de bacteriemia y neumonía asociada al cuidado de la salud. Hemocultivos de control negativos con resolución de la infección.
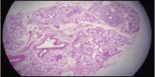
Por presencia de xerostomía y xeroftalmia asociado a ENA (anticuerpos nucleares extractables) positivos se realizó biopsia de glándula salival menor que documentó sialoadenitis crónica severa (Figura 1).

Una segunda revisión de la biopsia renal reportó glomerulonefritis de patrón membranoproliferativo con presencia dominante de proliferación extracapilar 33%, inmunofluorescencia IgG, IgM y C3, C1q negativo.
Presentamos un paciente con hallazgos clínicos, serológicos e histopatológicos compatibles con SSP. El compromiso renal se caracterizó por síndrome nefrótico en el contexto de una GMNMP tipo III. Se inició tratamiento con ciclofosfamida dosis de 500 mg/m2 superficie corporal cada mes hasta completar seis dosis y prednisolona oral 1 mg/Kg/día, pre-sentando evolución clínica favorable, resolución del edema, mejor control de la presión arterial y descenso progresivo de azoados, no requirió terapia de reemplazo renal.
Discusión
El SS es una enfermedad autoinmune crónica descrita por Henrik Sjögren (1933), es primaria o secundaria a otros desórdenes inmunológicos; afecta las glándulas salivales y lacrimales ocasionando síndrome seco en más de 90% de casos 1. Caracterizada por alto riesgo de enfermedad linfoproliferativa de origen en las células B. La serología puede ser positiva para anticuerpos anti-Ro y anti-La hasta 25% 2, y se manifiesta como una enfermedad sistémica con afectación extraglandular, vasculitis cutánea, afectación hepática o renal, sinovitis, neuropatía periférica y enfermedad pulmonar intersticial. El SS se confirma por patología de glándulas exocrinas que muestra infiltrado linfoide 3.
La prevalencia es de 0.05-0.23% 1, estudios suecos reportan valores hasta de 2,7% con una relación hombre: mujer de 1:9 y grupo etáreo de 52-72 años 4.
La frecuencia del compromiso renal en el SSP es amplia 1,5. Para nuestro paciente utilizamos los criterios propuestos por el Consenso Americano y Europeo realizado en el 2002 6 (Tabla 3).



El compromiso renal en SSP se divide en glomerular o tubular 5. La nefritis tubulointersticial aguda o crónica y los defectos de concentración son muy frecuentes 3. En el SS secundario el compromiso renal puede ser similar a otras enfermedades autoinmunes 1.
La acidosis tubular renal distal tipo 1 es la más común (73.1%) 5. La etiología primaria llega a comprometer el segmento tubular proximal en grado variable 3,5. El compromiso tubular distal es menos frecuente en el SSP, siendo más prevalente en SS de causas secundarias 8.
Los hallazgos patológicos muestran nefritis túbulointersticial crónica con infiltrados de predominio linfocito T CD4, células plasmáticas y monocitos, atrofia y fibrosis intersticial variables. La formación de cálculos se asocia más a la acidosis tubular distal, la acidemia ocasiona hipercalciuria y puede haber hipocitraturia 7.
La asociación del SS con GN fue descrita por Talal (1968), algunas series muestran compromiso glomerular 20-40% 9. La patogenesis de la GN en el SS se ha asociado con actividad del complemento, depósitos de proteínas o formación de inmunocomplejos 10.
En la literatura se ha descrito la disminución de C3, hipergamaglobulinemia en especial IgG (70.8%) y aumento de ß2 microglobulina 5,7. Son factores de predicción del compromiso glomerular niveles bajos de C4 y crioglobulinemia 10.
De todas las GN asociadas a SS, la más frecuente es la membranoproliferativa como se presentó en este caso 11. La asociación con crioglobulinemia y SSP ha sido descrita como la causa más frecuente no asociada a hepatitis C 9; las crioglobulinas y el perfil infeccioso fueron negativos, el paciente no presentó neuropatía, ni lesiones en piel.
Para 1995 habia seis casos publicados de SSP tratados con esteroide y ciclofosfamida 12, nuestro caso recibió este esquema con buena respuesta. En algunos estudios de vasculitis crioglobulinemica no infecciosa y SSP, el tratamiento con rituximab y corticoesteroides fue superior 1.
Algunas series describen mayor mortalidad del SSP cuando existe compromiso glomerular. Publicaciones con seguimiento a tres años evidencian supervivencia de 100% sin compromiso glomerular y 66% si lo hay (p= 0.02), la sepsis es la causa más frecuente de muerte 13.
Conclusión
El compromiso glomerular en el SSP es raro, se asocia a mayor morbimortalidad por causas infecciosas. El tratamiento se basa en esteroide, ciclofosfamida o rituximab, los estudios no han sido conclusivos para interpretar los desenlaces. En este caso se descartaron causas secundarias del SS, la neumonía resolvió con manejo antibiótico. El tratamiento fue esquema NIH ciclofosfamida 500 mg/m2 y esteroides de mantenimiento presentando remisión parcial.
Declaración de conflictos de interés y fuentes de financiación
Ninguno
Referencias
1. Evans R, Zdebik A, Ciurtin C, Walsh SB. Renal involvement in primary Sjogren's syndrome. Rheumatology. 2015; (May): 1-8.
2. Vitali C, Tavoni A, Sciuto M, Maccheroni M, Moriconi L, Bombardieri S. Renal Involvement in Primary Sjogren's Syndrome: A Retrospective-prospective Study. Scand J Rheumatol. 1991; 20(2): 132-6.
3. Samarkos M, Moutsopoulos HM. Chapter 19 Renal Involvement in Sjögren Syndrome. 2007;7(2000):349-61.
4. Aasarød K, Haga H, Berg KJ, Hammerstrøm J, Jørstad S. Renal involvement in primary Sjögren's syndrome. 2000; 297-304.
5. Ren H, Wang W-M, Chen X-N, Zhang W, Pan X-X, Wang X-L, et al. Renal involvement and followup of 130 patients with primary Sjogren's syndrome. J Rheumatol. 2008; 35(2): 278-84.
6. Vitali C, Bombardieri S, Jonsson R, Moutsopoulos HM, Alexander EL, Carsons SE, et al. Classification criteria for Sjögren's syndrome: a revised version of the European criteria proposed by the American-European Consensus Group. Ann Rheum Dis. 2002; 61(6): 554-8.
7. Gamron S, Barberis G, Onetti CM, Strusberg I, Hliba E, Martellotto G, et al. Mesangial nephropathy in Sjögren's syndrome. Scand J Rheumatol. 2000; 29(6): 65-7.
8. Both T, Hoorn EJ, Zietse R, van Laar JAM, Dalm V a SH, Brkic Z, et al. Prevalence of distal renal tubular acidosis in primary Sjögren's syndrome. Rheumatology (Oxford). 2014;1-7.
9. Anand A, Krishna GG, Sibley RK, Kambham N. Sjögren Syndrome and Cryoglobulinemic Glomerulonephritis. Am J Kidney Dis. 2015; 66(3): 532-5.
10. Skopouli FN. Kidney injury in Sjögren's Syndrome. Nephrol Dial Trasplant 2001; (16): 63-63.
11. Kronbichler A, Mayer G. Renal involvement in autoimmune connective tissue diseases. BMC Med. BMC Medicine; 2013; 11(1): 95.
12. Cortez MS, Sturgill BC, Bolton WK. Membranoproliferative glomerulonephritis with primary Sjögren's syndrome. Am J Kidney Dis. 1995; 25(4): 632-6.
13. Kidder D, Rutherford E, Kipgen D, Fleming S, Geddes C, Stewart G a. Kidney biopsy findings in primary Sjögren syndrome. Nephrol Dial Transplant. 2015; (8): 1363-9.
Notas de autor
* Correspondencia: Dra. Martha Patricia Rodríguez. Bogotá, D. C. (Colombia). Email: mprs566@gmail.com