Presentación de casos
Recepción: 29 Marzo 2017
Aprobación: 12 Febrero 2018
Resumen:
La tuberculosis pulmonar es una infección frecuente en nuestro medio. Generalmente se presenta con síntomas sistémicos como tos, expectoración, fiebre y diaforesis. En algunos casos puede presentarse con hemoptisis cuyo espectro va desde leve hasta masiva. Una vez iniciado el tratamiento, los síntomas de sangrado generalmente resuelven.
Presentamos el caso de un paciente masculino de 38 años, con hemoptisis secundaria a una tuberculosis pulmonar, el cual a pesar del inicio del tratamiento, continuó con sangrado activo, por lo que fue llevado a embolización arterial selectiva como alternativa terapéutica con resolución del sangrado. (Acta Med Colom 2018; 43: 45-48).
Palabras clave: Tuberculosis, hemoptisis, Embolización arterial selectiva.
Abstract:
Pulmonary tuberculosis is a frequent infection in our environment. It usually presents with systemic symptoms such as cough, expectoration, fever and diaphoresis. In some cases it can present with hemoptysis whose spectrum ranges from mild to massive. Once the treatment is started, the symptoms of bleeding usually resolve.
The case of a 38-year-old male patient with hemoptysis secondary to pulmonary tuberculosis is presented. Despite the initiation of treatment, he continued with active bleeding, which led to selective arterial embolization as a therapeutic alternative with resolution of bleeding. (Acta MedColom 2018; 43: 45-48).
Key words: tuberculosis, hemoptysis, selective arterial embolization.
Introducción
La tuberculosis es una infección frecuente en nuestro medio, en Colombia se ha estimado una tasa de incidencia de 24.2 casos por cada 100 000 habitantes, según datos para el año 2014 1, de los que 80.4% correspondieron a tuberculosis pulmonar y 19.6% a formas extrapulmonares. Dentro de las complicaciones asociadas tenemos la hemoptisis la cual, puede suceder por desprendimiento caseoso, erosión endobronquial o por patologías concomitantes como aspergilomas, cáncer, bronquiectasias o reactivación de la tuberculosis 2.
En términos generales la hemoptisis ocurre en estadios avanzados de la enfermedad, alrededor de 20-30% de los casos (aunque puede estar presente en cualquier fase de la enfermedad) y rara vez llega a debutar como hemoptisis amenazante o "masiva". Con la instauración del tratamiento antituberculoso, al final del segundo mes de tratamiento, más de 80% de los pacientes, tendrán una respuesta clínica favorable, sin embargo, en pacientes en quienes la hemoptisis persiste, otras posibilidades terapéuticas invasivas, como la embolización, se convierte en una opción, como parte del manejo individualizado. A continuación, se presenta el caso de un paciente con tuberculosis pulmonar quien, a pesar del tratamiento antituberculoso, requirió embolización selectiva para el control de la hemoptisis.
Descripción del caso
Presentamos el caso de un paciente masculino de 38 años, procedente del área rural de Antioquia; de ocupación agricultor, sin antecedentes patológicos relevantes; con cuadro clínico de 20 días de evolución de tos productiva, fiebre, diaforesis vespertina, compromiso del estado general y pérdida de 7 Kg de peso. Los síntomas progresan a expectoración hemoptoica por lo que consultó a urgencias. Al examen físico inicial, se encontró con signos vitales estables, sin signos de dificultad respiratoria y sin hallazgos pulmonares relevantes. La radiografía de tórax mostró un área de radiopacidad en los segmentos superiores del pulmón derecho, por una posible consolidación neumónica. El hemograma inicial era normal, sin presencia de anemia, y las pruebas de función hepática, renal y tiempos de coagulación se reportaron dentro de rangos normales. Se realizó primer diagnóstico de neumonía adquirida en la comunidad, caso altamente probable de tuberculosis y hemoptisis no amenazante secundaria.
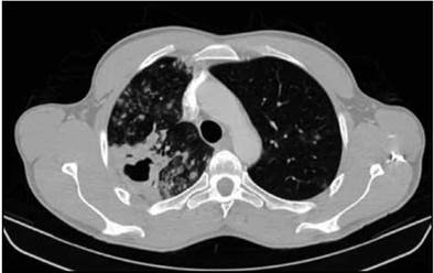
Posteriormente se obtuvo dos de tres baciloscopias positivas para bacilos ácido alcohol resistente en dos cruces (++ BAAR). La serología de anticuerpos para virus de inmunodeficiencia humana fue negativa. Se inició tratamiento antituberculoso estándar a base de tetraconjugado (rifampicina + isoniacida + pirazinamida + etambutol) ajustado al peso. Por progresión a hemoptisis no masiva, se realizó tomografía de tórax de alta resolución, documentándose múltiples densidades parcheadas, difusas comprometiendo ambos campos pulmonares, pero con mayor compromiso del pulmón derecho. También se anotó la presencia de cavitación en el lóbulo superior derecho, de 25 x 22 mm de diámetro con área de consolidación pericavitaria (Figura 1).

Dos semanas posteriores al inicio del tratamiento, el paciente persistía con hemoptisis, presentando deterioro clínico determinado por caída de hemoglobina de más de tres gramos (de 14.7 a 11.2 g/dL). Por el riesgo de mayor deterioro clínico, se discutió el caso por grupo multidisciplinario (medicina interna, neumología, radiología intervencionista) individualizar el manejo del paciente y someterlo a embolización arterial selectiva. Se tuvo en cuenta que el paciente no presentaba contraindicaciones para el procedimiento como coagulopatía, insuficiencia renal (referida como TFG < 30 mL/min), ni alergia conocidas al medio de contraste.
En el procedimiento se documentó arteria bronquial derecha tortuosa, ramas neoformadas que se dirigían a la caverna. Posteriormente, se realizó embolización selectiva con partículas PVA de 300 - 500 micras, con control angiográfico que demostró oclusión de los vasos intervenidos (Figura 2). Posterior al procedimiento, la hemoptisis resolvió en las siguientes 48 horas y no se presentaron complicaciones secundarias. Seis meses posteriores al evento, el paciente no presentó nuevos episodios de sangrado.

Las preguntas que se formularon para este caso fueron: ¿Cuál es la probabilidad de hemoptisis en pacientes con tuberculosis pulmonar? ¿En pacientes con hemoptisis y tuberculosis, qué casos pueden requerir tratamiento adicional al farmacológico? ¿Cuál es la utilidad y eficacia de la embolización selectiva en este escenario?
Discusión
La hemoptisis es uno de los síntomas que con frecuencia puede acompañar la tuberculosis pulmonar, cerca de un tercio de los pacientes puede presentarla, constituye una de las principales causas de la misma 3. El espectro clínico es amplio que va desde una cantidad leve hasta masiva. Con relación a la tuberculosis pulmonar, la hemoptisis puede presentarse como síntoma inicial durante el tratamiento como recaída de la misma o incluso como secuela de lesiones estructurales 4. Se espera que mejore en cerca de 80% de los casos con el tratamiento instaurado, pero en caso de progresar la enfermedad o no recibir tratamiento oportuno, puede generar un riesgo importante de obstrucción de la vía aérea, riesgo que puede llegar a ser hasta de 80% 3,4; comprometiendo la vida de los pacientes.
En nuestro paciente se pudo ver que a pesar de llevar dos semanas de tratamiento dirigido, persistía con hemoptisis llevándolo a deterioro clínico reflejado en caída de la hemoglobina y la no disminución del volumen del sangrado. Si bien no cursaba con una hemoptisis amenazante, era necesario explorar otras medidas terapéuticas. Luego de discusión multidisciplinaria se consideró la posibilidad de la embolización arterial selectiva bajo la consideración, de ser un procedimiento poco invasivo disponible, que permite la identificación del sitio de sangrado y así lograr una intervención rápida, dirigida, segura y eficaz 5; sin olvidar que se trata de un procedimiento transitorio mientras el tratamiento de la patología de base surte efecto. Además como se anotó, el paciente no presentaba contraindicaciones para el procedimiento.
Algunos criterios que pueden sugerir la necesidad de intervención adicional al tratamiento terapéutico son: hemoptisis masiva, pacientes con hemoptisis leve o persistente con pobre reserva pulmonar (VEF1 < 30%), o pacientes con riesgo de deterioro clínico 3,6. Este último criterio corresponde al caso presentado.
Durante la arteriografía se pudo determinar que el vaso principal comprometido es la arteria bronquial superior derecha, lo cual está en relación con la literatura, donde se describe que aproximadamente en 90% de los casos corresponde a las arterias bronquiales 4. El material descrito para embolización fue el alcohol polivinílico, siguiendo las recomendaciones actuales, dado que son agentes más estables y permanentes en el tiempo que generan mejores resultados y menos recaídas. Los agentes embolizantes más pequeños y los líquidos no han demostrado mayor efectividad ni presentan recomendación fuerte a favor de su uso 7.
El hecho de que el procedimiento fue exitoso es acorde con lo esperado. Actualmente se considera que debido al mejoramiento de las técnicas utilizadas en la embolización y de los materiales, se ha logrado aumentar la efectividad del procedimiento con un éxito superior a 90%, como se demuestra en el estudio del doctor Shin B. S. y colaboradores 8, los cuales luego de seguir un grupo de 163 pacientes observaron buena respuesta clínica en 94.4% al primer mes y 76.1% a los 12 meses. Resultados similares fueron documentados por los grupo del doctor Kim 9 y Dabo 10.
Es de anotar, que no se presentaron complicaciones asociadas al procedimiento. En la literatura se menciona que estos pacientes pueden presentar principalmente dolor en tórax en 24-91% 11, siendo una complicación autolimitada en la mayoría de los casos, disfagia en 18% y menos frecuente, pero de mayor gravedad la mielitis transversa secundaria a isquemia de arterias distales de la médula espinal por el procedimiento. Otras complicaciones poco comunes que se deben tener en cuenta son la estenosis bronquial, necrosis y fístulas broncoesofágicas por isquemia de la pared bronquial e infartos 12.
Luego de seis meses, el paciente no presentó recurrencia de la hemoptisis. Se menciona este aspecto, ya que a pesar del tratamiento puede existir recaídas en más de 20 % de los casos, que pueden estar asociadas a reactivación de la tuberculosis, o como secuela de la enfermedad como lo anota el grupo del doctor Kim y colaboradores 13, los cuales al revisar de forma retrospectiva una cohorte de 190 pacientes intervenidos por hemoptisis y tuberculosis, 47 pacientes de ellos resangraron, y las características asociadas fueron las lesiones del parénquima pulmonar, la enfermedad hepática crónica, tuberculosis activa, fungal ball, proteína C reactiva (PCR) elevada en el momento del diagnóstico y el uso de agentes anticoagulantes o antiplaquetario.
Conclusiones
La embolización arterial selectiva, surge como alternativa terapéutica segura, efectiva y transitoria, en los pacientes con tuberculosis pulmonar, que cursen con hemoptisis y que requiera intervención adicional al tratamiento médico.
Referencias
1. Instituto Nacional de salud pública. Protocolo de Vigilancia en Salud Pública: Tuberculosis. Bogotá. Junio 2014. Inst Nac Salud [Internet]. 2014;1-36. Available from: http://www.ins.gov.co/lineas-de-accion/Subdireccion-Vigilancia/sivigila/ProtocolosSIVIGILA/PROTuberculosis.pdf.
2. Edim L. Hemoptisis en tuberculosis: la importancia de la tomografía computarizada con contraste. Arch Bronconeumol. 2014; 47(6): 285-6.
3. Sidhu M, Wieseler K, Burdick TR, Shaw DWW. Bronchial Artery Embolization for Hemoptysis. 2008; 98201(212): 310-8.
4. Larici AR, Franchi P, Occhipinti M, Contegiacomo A, del Ciello A, Calandriello L, et al. Diagnosis and management of hemoptysis. Diagnostic Interv Radiol. 2014; 20(4): 299-309.
5. Javier F, Povedano C, Cordovilla R, Bollo E, Miguel D, Nu A. Diagnóstico Y Tratamiento De La Hemoptisis. 2017; 52(7): 368-77.
6. Wu Q, Sun X, Li L, Xing Z, Sun H, Shao H, et al. Bronchial Artery Embolization for Hemoptysis: A Retrospective Observational Study of 344 Patients. Chin Med J (Engl) [Internet]. 2015; 128(1): 58. Available from: http://www.cmj.org/text.asp?2015/128/1/58/147811.
7. Sopko DR, Smith TP. Bronchial artery embolization for hemoptysis. Semin Intervent Radiol. 2011; 28(1): 48-62.
8. Shin BS, Jeon GS, Lee SA, Park MH. Bronchial artery embolisation for the management of haemoptysis in patients with pulmonary tuberculosis. Int J Tuberc Lung Dis. 2011; 15(8): 1093-8.
9. Kim YG, Yoon H, Ko GY, Lim C, Kim WD, Koh Y. Long-term effect of bronchial artery embolization in Korean patients with haemoptysis. Respirology. 2006; 776-81.
10. Dabó H, Gomes R, Marinho A, Madureira M, Paquete J, Morgado P. Bronchial artery embolisation in management of hemoptysis - A retrospective analysis in a tertiary university hospital. Rev Port Pneumol [Internet]. 2016; 22(1): 34-8. Available from: http://dx.doi.org/10.1016/j.rppnen.2015.09.001.
11. Burke CT, Mauro MA. Bronchial Artery Embolization. 2004; 21(1): 43-8.
12. Lee MK, Kim SH, Yong SJ, Shin KC, Kim HS, Yu TS, et al. Moderate hemoptysis: Recurrent hemoptysis and mortality according to bronchial artery embolization. Clin Respir J. 2015; 9(1): 53-64.
13. Kim SW, Lee SJ, Ryu YJ, Lee JH, Chang JH, Shim SS, et al. Prognosis and Predictors of Rebleeding After Bronchial Artery Embolization in Patients with Active or Inactive Pulmonary Tuberculosis. Lung [Internet]. 2015; 193(4): 575-81. Available from: http://dx.doi.org/10.1007/s00408-015-9728-4.
Notas de autor
*Correspondencia: Dr. Alfredo Hernández Ruiz. Rionegro (Colombia). E-mail: alfredohdezmd@hotmail.com.