Imágenes en medicina interna
Signo del calcio
Calcium sign
Signo del calcio
Acta Medica Colombiana, vol. 43, núm. 1, p. 50, 2018
Asociacion Colombiana de Medicina Interna
Recepción: 20 Julio 2016
Aprobación: 24 Enero 2018
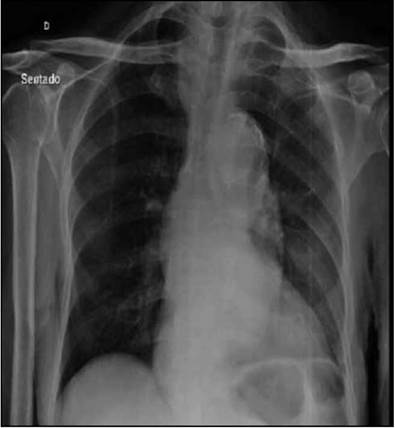
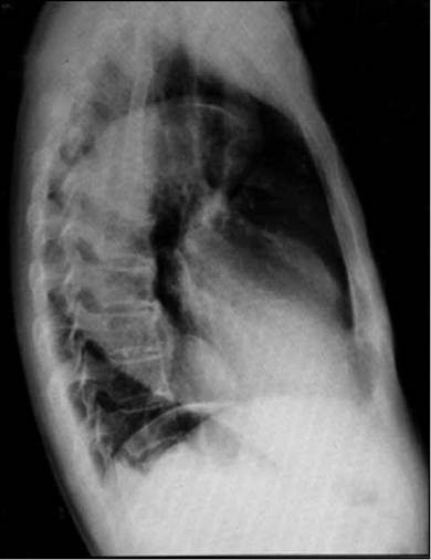
Paciente masculino de 85 años, con cuadro de 12 horas de evolución consistente en dolor torácico opresivo, intensidad moderada, no irradiado, inicio gradual, duración mayor de 30 minutos, asociado a disnea de medianos esfuerzos. Antecedentes personales: HTA, enfermedad renal crónica, insuficiencia cardiaca (FE 22%). Examen físico: normotenso, euvolémico, auscultación cardiaca con soplo sistólico en foco mitral, resto del examen sin alteraciones. Se realiza impresión diagnóstica de síndrome coronario agudo y se solicita electrocardiograma que muestra bradicardia sinusal y hemibloqueo anterior izquierdo; marcadores de necrosis miocárdica negativos y radiografía de tórax con signo del calcio positivo: calcificación del botón aórtico con separación mayor a 1 cm entre la calcificación intimal y el borde externo de los tejidos blandos de la aorta torácica (Figuras 1, 2). Sospechamos síndrome aórtico agudo y solicitamos eco transesofágico, con arco aórtico de difícil visualización, dilatación de la aorta descendente (44 mm), imagen sugestiva de hematoma intramural aórtico. Se realizó an-giotomografía de tórax confirmando hematoma en la aorta torácica descendente. Evaluado por cirugía vascular se opta por tratamiento clínico debido a la edad y comorbilidades.


Notas de autor
*Correspondencia: Dr. Hermes Luis Oñate. São Paulo (Brasil) E-mail: hermes-dr25@hotmail.com