Imágenes en medicina interna
Pancreatitis crónica calcificante en un paciente con enolismo y tabaquismo pesado
Chronic calcifying pancreatitis in a patient with enolism and heavy smoking
Pancreatitis crónica calcificante en un paciente con enolismo y tabaquismo pesado
Acta Medica Colombiana, vol. 43, núm. 2, p. 120, 2018
Asociacion Colombiana de Medicina Interna
Recepción: 10 Octubre 2016
Aprobación: 10 Abril 2018
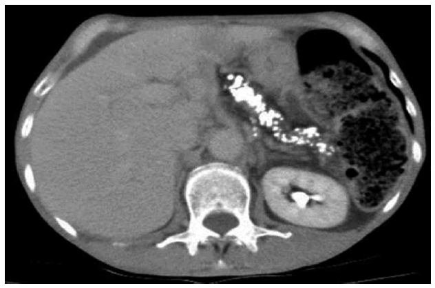
Hombre de 62 años con enolismo crónico y tabaquismo pesado activo. Refiere tres meses de deposiciones diarreicas amarillentas, flotantes, fétidas, doce diarias, que no mejoran con el ayuno, lo despiertan en la noche, con meteorismo, dolor abdominal, pérdida de 12/kg de peso y edemas periféricos. La tomografia de abdomen confirmó la sospecha de pancreatitis crónica e insuficiencia exocrina como causal de la diarrea crónica y esteatorrea 1. La pérdida de peso y malnutrición son hallazgos frecuentes de esta patología, se requiere suplencia con enzimas pancreáticas 2. El alcoholismo y el tabaquismo activo aceleran y contribuyen al progreso de calcificación 3,4 y en esta fase, hasta 90% de los pacientes presentarán diabetes mellitus 5, como ocurrió en nuestro caso.

Referencias
1. Corinaldesi R, Stanghellini V, Barbara G, Tomassetti P, de Giorgio R. Clinical approach to diarrhea. Intern Emerg Med. 2012; 7 (Suppl. 3): 255-62.
2. Pongprasobchai S. Maldigestion from pancreatic exocrine insufficiency. J Gastroenterol Hepatol. 2013; 28 (S4): 99-102.
3. Lee JW, Kim HG, Han J, Kim BS, Jung JT, Kwon JG, et al. Association between smoking and the change of computed tomography findings in chronic pancreatitis. Gastrointest Endosc. 2011; 73 (4): AB273.
4. Lee ATK, Xu Z, Pothula SP, Patel MB, Pirola RC, Wilson JS, et al. Alcohol and Cigarette Smoke Components Activate Human Pancreatic Stellate Cells: Implications for the Progression of Chronic Pancreatitis. Alcohol Clin Exp Res. 2015; 39 (11): 2123-33.
5. Chari ST, Dimagno EP. Chronic pancreatitis. Curr Opin Gastroenterol. 1999; 15 (5): 398-403.
Notas de autor
aCorrespondencia: Dr. Héctor Andrés Castañeda Camacho, Bucaramanga (Colombia). E-mail: hcastaneda@unab.edu.co