Reporte de casos
Tumor neuroendocrino ileal con síndrome carcinoide de difícil control
Neuroendocrine ileal tumor with difficult to control carcinoid syndrome
Tumor neuroendocrino ileal con síndrome carcinoide de difícil control
Acta Medica Colombiana, vol. 43, núm. 3, pp. 161-164, 2018
Asociacion Colombiana de Medicina Interna;;
Recepción: 05 Octubre 2017
Aprobación: 05 Junio 2018
Resumen: Los tumores neuroendocrinos son neoplasias infrecuentes y de abordaje complejo. Actualmente se necesitan más ensayos clínicos aleatorizados para establecer el manejo óptimo de los pacientes afectados por metástasis hepáticas no resecables. Aportamos un caso de TNE metastásico en el que se indicó trasplante hepático por sintomatología derivada del síndrome carcinoide no controlable con el tratamiento médico habitual.
Palabras clave: Neuroendocrino, carcinoide, metástasis hepáticas, análogos de la somatostatina, trasplante hepático, telotristat, radiometabólica.
Abstract: Neuroendocrine tumors are infrequent neoplasms with a complex approach. Currently, more randomized clinical trials are needed to establish the optimal management of patients affected by unresectable liver metastases. A case of metastatic NET in which hepatic transplantation was indicated due to symptoms derived from the carcinoid syndrome that cannot be controlled with the usual medical treatment is provided.
Key words: Neuroendocrine, carcinoid, hepatic metastasis, somatostatin analogues, liver transplantation, telotristat, radiometabolic.
Introducción
Los tumores neuroendocrinos (TNE) son neoplasias poco frecuentes. Su funcionalidad la define la capacidad de liberación de hormonas en cantidad suficiente como para causar un síndrome clínico. El tumor carcinoide produce un síndrome clínico derivado de la producción de aminas vasoactivas (serotonina, bradiquininas, histamina) que no son aclaradas adecuadamente por un hígado afectado por metástasis. Se caracteriza por la tríada de flushing, diarrea secretora y valvulopatía derecha, la cual interfiere en la calidad de vida y en la supervivencia global.
La elevada capacidad metastásica de estas neoplasias, especialmente sobre el hígado, está cambiando su paradigma de manejo. La resección quirúrgica se considera la opción más beneficiosa, pero, si la elevada carga tumoral no lo permite, el clínico dispone de un amplio abanico de posibilidades terapéuticas igualmente válidas. En ausencia de ensayos clínicos aleatorizados que comparen los efectos sobre la supervivencia a largo plazo, el manejo de esta enfermedad es un importante punto de actualidad y controversia en el campo de la endocrinología.
Presentamos el caso de un varón afectado por un TNE metastásico funcionante. Asociaba una carga tumoral hepática muy elevada y un síndrome carcinoide invalidante y resistente al tratamiento con análogos de la somatostatina.
Presentación del caso
Varón de 38 años, remitido a consultas de endocrinología con clínica de eritema facial de generalización progresiva de cuatro años de evolución, diarreas intermitentes y leve disnea de esfuerzo. Las biopsias cutáneas eran inconcluyentes y la ecocardiografía mostraba insuficiencia tricuspídea y pulmonar moderadas, todo ello muy sugestivo de síndrome carcinoide.
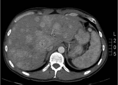
El diagnóstico se confirmó ante niveles muy elevados de cromogranina A (2499 ng/ml, VN: 0-100) y de 5-hidroxin-dolacético (5HIA) en orina (814 mg/24 horas, VN: 2-9), marcador específico de TNE productores de serotonina. En las pruebas de imagen se evidenciaron lesiones hepáticas múltiples ocupando el 30% de la glándula (Figura 1), captantes en el octreoscan (Figura 2). El resultado histopatológico fue metástasis de TNE con un Ki67<5% (compatible con bajo grado). El tumor primario se identificó mediante cápsula endoscópica en íleon medio y no existía más enfermedad a distancia en el estudio de extensión.


Se procedió a resección del tumor primario ileal excluyendo actitud agresiva sobre el hígado, dada la elevada carga tumoral metastásica. Se pautaron análogos de la somatostatina (ASS) para control sintomático del síndrome carcinoide, iniciando lanreótido 90 mg cada 30 días, con escalada progresiva a 120 mg cada 30 días y posteriormente a 120 mg cada 21 días por mala respuesta de la sintomatología diarreica. Además se asoció everolimus 10 mg al día para control del volumen tumoral.
A los seis meses del diagnóstico existía estabilidad radiológica hepática, pero empeoramiento de las diarreas y de la valvulopatía derecha (hasta volverse grave) pese al tratamiento con ASS, todo ello en probable relación con los niveles plasmáticos persistentemente elevados de serotonina. Ante la edad del paciente y la ausencia de metástasis extra-hepáticas, siendo las hepáticas irresecables y causantes de la clínica carcinoide, se decidió realizar trasplante hepático ortotópico con objetivo de control sintomático. A la espera del procedimiento, para reducir la carga tumoral y la producción hormonal derivada se realizó radioembolización hepática con microesferas de itrio de ambos lóbulos. Se decidió posponer la corrección quirúrgica de la valvulopatía a la espera de un mejor control del síndrome carcinoide.
Pese a ASS a dosis plenas, al cabo de 14 meses el paciente persistía con diarreas invalidantes (>20 deposiciones al día), palpitaciones y astenia que ocasionaban una calidad de vida nefasta y desnutrición mixta leve. Se procedió a acortar el intervalo posológico de lanreótido a 120 mg cada 14 días, que aun fuera de ficha técnica venía avalado por un estudio en desarrollo 7. Obtuvo mala respuesta y se sustituyó por octeótrido de acción corta 50 mg cada 8 horas subcutáneo, con mejoría clínica. Se valoró iniciar terapia radiometabólica con lutecio, pero antes de poder iniciar los trámites surgió un donante hepático. El post operatorio del trasplante transcurrió sin complicaciones y con una marcada mejoría del cuadro diarreico y el flushing, permitiendo retirar todos los tratamientos sintomáticos.
La evolución posterior fue muy satisfactoria, con desaparición completa de los síntomas del síndrome carcinoide y recuperación del estado nutricional. Los niveles de 5HIAA y de cromogranina se normalizaron tras el trasplante hepático y permanecen en rango 20 meses después. Las pruebas de imagen no muestran recidiva tumoral alguna y el injerto funciona correctamente. Actualmente nuestro paciente está asintomático para insuficiencia cardiaca, por lo que Cardiología ha adoptado actitud conservadora sobre la valvulopatía. Consecuentemente, presenta una mejoría drástica de la calidad de vida y es físicamente activo de nuevo.
Discusión
Los TNE gastrointestinales de bajo grado (Ki<20%) con enfermedad a distancia al diagnóstico son una situación clínica frecuente 1. La resecabilidad de las metástasis es el factor más determinante sobre la supervivencia, pero está limitada por la carga tumoral hepática. Incluso en los casos irresecables el curso indolente de estos tumores determina un buen pronóstico de supervivencia global. Por ello, el objetivo principal del tratamiento es el control sintomático y la mejoría de la calidad de vida del paciente, intentando prolongar el tiempo libre de progresión.
En este aspecto, los ASS constituyen el tratamiento de primera línea al reducir la secreción hormonal de los TNE funcionantes y ayudar al control de la sintomatología derivada. Adicionalmente se demostró en dos estudios clásicos 2,3 su beneficio en TNE de bajo grado sobre el control del tamaño tumoral y la prolongación del tiempo libre de progresión, habiéndose recientemente informado de que mantienen este efecto a largo plazo 4. Por ello son de elección tanto en estadios precoces paucisintomáticos, independientemente de la carga tumoral hepática, como en estadios evolucionados 5. La dosis de ASS inicialmente aprobada por la FDA demostró ser insuficiente para el control de la diarrea y el flushing de los pacientes con car-cinoides metastásicos más avanzados, como es el caso aquí expuesto. En ausencia de datos publicados que sugirieran toxicidad con dosis de ASS por encima de las aprobadas 6, se propuso el estudio CLARINET FORTE 7 en el que se acorta el intervalo posológico a 14 días para lograr el objetivo de control clínico y antitumoral. Los resultados de seguridad y eficacia todavía están pendientes.
Las irresecabilidad de las metástasis hepáticas de un TNE asciende al 80%, lo que obligó a desarrollar diferentes técnicas para reducir la carga tumoral productora de sustancias biológicamente activas y mitigar la sintomatología derivada. Están indicadas en casos refractarios a tratamiento con ASS o que progresan en la evolución, si bien la recurrencia tumoral en cinco años es casi universal 8. En ausencia de ensayos clínicos aleatorizados que comparen este abanico de técnicas médico-quirúrgicas entre sí, no existe todavía consenso sobre su manejo. La cirugía hepática de citorreducción es de elección siempre que sea posible 8. Como adyuvantes contamos con la radiofrecuencia hepática y con diferentes procedimientos de embolización transarterial, todos ellos eficaces, aunque atendiendo a los resultados disponibles es controvertido cuál es el más óptimo sobre control sintomático y antitumoral 9,10.
El trasplante hepático encuentra su indicación en TNE metastásicos irresecables, sin enfermedad a distancia extrahepática, en situación estable y con sintomatología refractaria a otros tratamientos 11. Con buenos resultados sintomáticos y de progresión a cinco años 12 es el único tratamiento posiblemente curativo en casos bien seleccionados, pero la recurrencia de la enfermedad es difícil de predecir.
La terapia radiometabólica emplea isótopos emisores de radiación |3 unidos a un péptido ASS para dirigirlos selectivamente contra las células del tumor, siempre que éstas expresen receptores de superficie para la somatostatina. El radionúclido que ha demostrado mejor perfil de seguridad y eficacia por menor penetrabilidad en tejidos sanos es lutecio 13. En pacientes con TNE en progresión pese a ASS es una terapia prometedora, como demuestra el recientemente publicado estudio Netter-1 fase III 14.
La enfermedad valvular cardiaca es una comorbilidad frecuente en presencia de síndrome carcinoide no controlado y asocia significativo incremento de morbimortalidad. La insuficiencia tricuspídea supone el 90% de los casos y provoca aumento de presiones en cavidades derechas, fallo cardiaco derecho e hígado congestivo, incrementando el riesgo quirúrgico y particularmente del trasplante hepático 15. La reparación valvular está indicada en casos sintomáticos y valvulopatías graves por asociarse a mejoría de la capacidad funcional y de la supervivencia 16. No obstante, el momento de la intervención y el tipo de prótesis valvular más idóneos han sido tema de debate en la literatura por el riesgo de degeneración fibrosa precoz de las bioprótesis si persisten expuestas a elevados niveles de serotonina circulantes. Actualmente se aboga por la reparación valvular previa a cualquier intervención hepática para reducir el sangrado 16, con excepciones como la presencia de un síndrome carcinoide refractario al tratamiento médico, como el paciente que presentamos.
Una de las complicaciones que más afectan a la calidad de vida de los pacientes con síndrome carcinoide son las diarreas. En los casos sintomáticos pese a los tratamientos anteriormente expuestos (estimados en más del 20%), aún disponemos de una última herramienta, el telotristat etilo, que reduce la liberación de serotonina por la masa tumoral. Ha demostrado en recientes ensayos clínicos seguridad y eficacia en control de los síntomas 17. La dificultad metodológica para cuantificar la mejoría subjetiva percibida por los pacientes y su repercusión sobre la calidad de vida condiciona que no sea una variable recogida en la mayoría de ensayos clínicos, como concluía una revisión sistemática reciente 18. No obstante, dada su relevancia clínica en pacientes oncológicos cada vez se le atribuye más importancia para valorar la respuesta a los tratamientos.
Conclusiones
Los TNE son neoplasias complejas y de presentación muy variada 19, que requieren un abordaje ajustado a las características de cada paciente. Disponemos de diversas opciones terapéuticas dirigidas a las metástasis hepáticas y la sintomatología hormonal derivada, cuya indicación y combinación con otros tratamientos deben estar respaldadas por evidencia clínica de calidad. Para ello todavía son necesarios ensayos clínicos aleatorizados que las comparen y que sean diseñados rigurosamente para facilitar la interpretación de los resultados, lo cual viene limitado por la heterogeneidad de los pacientes incluidos en los ensayos, dada la baja frecuencia de los TNE. Es necesario atender a objetivos a corto plazo, como la calidad de vida percibida por el paciente, la supervivencia libre de enfermedad, la modificación de los niveles de mediadores hormonales o la respuesta radiológica, que funcionan como subrogados de la supervivencia global (la cual pierde utilidad en tumores de esperanza de vida larga). La información que obtengamos ayudará a definir los pasos de tratamiento más óptimos y a sugerir nuevos escenarios de investigación, de los que eventualmente se podrán beneficiar nuestros pacientes.
Referencias
1. Modlin I M, Lye KD, & Kidd M. (2003). A 5-decade analysis of 13,715 carcinoid tumors. Cancer, 97 (4): 934-959.
2. Rinke A, Müller HH, Schade-Brittinger C, Klose KJ, Barth P, Wied M, ... & Harder J. Placebo-controlled, double-blind, prospective, randomized study on the effect of octreotide LAR in the control of tumor growth in patients with metastatic neuroendocrine midgut tumors: a report from the PROMID Study Group. J Clin Onco 2009; 27 (28): 4656-4663.
3. Caplin ME, Pavel M, Cwikla JB, Phan AT, Raderer M, Sedlácková E, ... & Rindi G. Lanreotide in metastatic enteropancreatic neuroendocrine tumors. New Engl J Med 2014; 371 (3): 224-233.
4. Broder MS, Beenhouwer D, Strosberg JR, Neary MP, & Cherepanov D. Gastrointestinal neuroendocrine tumors treated with high dose octreotide-LAR: A systematic literature review. World J Gastroent: WJG 2015; 21 (6): 1945.
5. Kos-Kudla B. Treatment of neuroendocrine tumors: new recommendations based on the CLARINET study. Contemp Oncol (Pozn) 2015; 19 (5): 345-349.
6. Caplin ME, Pavel M, Cwika JB, Phan AT, Raderer M, Sedlácková E, ... & Rindi G. Anti-tumour effects of lanreotide for pancreatic and intestinal neuroen-docrine tumours: the CLARINET open-label extension study. Endocrine-related cancer 2016; 23 (3): 191-199.
7. Pavel M, Dromain C, Massien C, & Houchard A. Safety and efficacy of lanreotide autogel/depot (LAN) every 14 days for patients with pancreatic or midgut neuroendocrine tumours (NETs) progressing on LAN every 28 days: The prospective, international CLARINET FORTE study. Annals of Oncology 2016; 27(suppl 6): 449TiP.
8. Pasqual EM. Surgical treatment and survival in patients with liver metastases from neuroendocrine tumors: a meta-analysis of observational studies. Internat j hepat, 2013.
9. Kennedy A, Bester L, Salem R, Sharma RA, Parks RW, & Ruszniewski P. Role of hepatic intra-arterial therapies in metastatic neuroendocrine tumours (NET): guidelines from the NET-Liver-Metastases Consensus Conference. HPB 2015; 17 (1): 29-37.
10. Chen JX, Rose S, White SB, El-Haddad G, Fidelman N, Yarmohammadi H, ... & Wileyto EP. Embolotherapy for Neuroendocrine Tumor Liver Metastases: Prognostic Factors for Hepatic Progression-Free Survival and Overall Survival. CardioVas Interven Rad 2017; 40 (1): 69-80.
11. Olausson M, Friman S, Herlenius G, Cahlin C, Nilsson O, Jansson S, ... & Ahlman H. Orthotopic liver or multivisceral transplantation as treatment of metastatic neuroendocrine tumors. Liver transplantation 2007; 13 (3): 327-333.
12. Pasqual EM, Bertozzi S, Londero AP, Bacchetti S, Lorenzin D, Pasqualucci A,… & Risaliti A. Long term results of hepatic resection or orthotopic liver transplantation in patients with liver metastases from gastrointestinal neuroendocrine tumors. Onco Lett 2016; 12 (5): 3563-3570.
13. Kwekkeboom DJ, Mueller-Brand J, Paganelli G, Anthony LB, Pauwels S, Kvols LK,… & Maecke HR. Overview of results of peptide receptor radionuclide therapy with 3 radiolabeled somatostatin analogs. J Nuc Med 2005; 46 (1 suppl): 62S-66S.
14. Strosberg J, El-Haddad G, Wolin E, Hendifar A, Yao J, Chasen B, ... & Bushnell D. Phase 3 Trial of 177Lu-Dotatate for Midgut Neuroendocrine Tumors. New England J Med 2017; 376 (2): 125-135.
15. Yuan Shi-Min. Valvular Disorders in Carcinoid Heart Disease. Brazilian J Cardiovas Surg 2016; 31 (5): 400-405.
16. Bonou M, Kapelios CJ, Kaltsas G, Perreas K, Toutouzas K, & Barbetseas J. Cardiac Surgery for Carcinoid Heart Disease: A Weapon Not to Be Misused. Cardiology 2016; 136 (4): 243-251.
17. Lamarca A, Barriuso J, McNamara MG, Hubner RA, & Valle JW. Telotristat ethyl: a new option for the management of carcinoid syndrome. Expert Opin Pharmaco 2016; 17 (18): 2487-2498.
18. Martini C, Gamper EM, Wintner L, Nilica B, Sperner-Unterweger B, Holzner B, & Virgolini I. Systematic review reveals lack of quality in reporting health-related quality of life in patients with gastroenteropancreatic neuroendocrine tumours. Health Qual Life Outco 2016; 14 (1): 127.
19. Ramírez GAM, Treviño CR, Limache LI, & Isaac DS. Tumores carcinoides gastrointestinales: Reporte de 6 casos. Acta Médica Grupo Ángeles 2009; 7 (4): 210.
Notas de autor
* Dra. Jana Caudet-Esteban, Valencia (España). E-mail: janacaudet@gmail.com