Reporte de casos
Paciente con papilomatosis laringo-traqueo-bronquial recurrente y empiema at necessitates Dificultades de diagnóstico y manejo
Patient with recurrent laryngeal-tracheo-bronchial papillomatosis and empyema at necessitates Difficulties in diagnosis and management
Paciente con papilomatosis laringo-traqueo-bronquial recurrente y empiema at necessitates Dificultades de diagnóstico y manejo
Acta Medica Colombiana, vol. 43, núm. 3, pp. 171-174, 2018
Asociacion Colombiana de Medicina Interna;;
Recepción: 11 Noviembre 2017
Aprobación: 25 Junio 2018
Resumen: Paciente masculino de 17 años, con cuadro de PLR desde los 18 meses, al que se le han realizado 85 intervenciones a nivel laringo-traqueal, por lo que requirió traqueostomía permanente desde los cinco años, presentando cuadros de neumonías a repetición con invasión papilomatosa a pulmón de predominio derecho con aislamiento de actinomicetos; desarrolló empiema at neccesitatis del que se aislaron múltiples gérmenes multirresistentes con severo compromiso del parénquima pulmonar por lo que requirió neumonectomía radical derecha en intento de controlar la infección. Fue manejado con anfotericina B deoxicolato, meropenem, tigeciclina y polimixina B a pesar de lo cual presenta empeoramiento del cuadro clínico con posterior choque séptico refractario que lo llevó a la muerte.
Palabras clave: Papilomatosis laríngea recurrente, empiema neccesitatis, actinomicosis, neumonía.
Abstract: A 17-year-old male patient, with a clinical picture of RRP since18 months of age, who underwent 85 interventions at the laryngo-tracheal level, requiring permanent tracheostomy from the age of 5, presenting recurrent pneumonia with lung papillomatous invasion of right predominance with actinomycete isolation. He developed empyema at neccesitatis from which multiple multiresistant organisms with severe compromise of the pulmonary parenchyma were isolated, which required a right radical pneumonectomy in an attempt to control the infection. He was managed with am-photericin B deoxycholate, meropenem, tigecycline and polymyxin B, despite which he presented worsening of the clinical picture with subsequent refractory septic shock that led to his death.
Key words: Recurrent laryngeal papillomatosis, empyema neccesitatis, actinomycosis, pneumonia.
Introducción
La papilomatosis laríngea recurrente (PLR) es una entidad clínica poco frecuente causada por la transmisión perinatal del virus del papiloma humano (VPH), se estima una incidencia en menores de 14 años de 4.3 casos/100 000 habitantes y en mayores de 15 años de 1.8 casos/100 000 habitantes, que en muy pocos casos invade árbol bronquial 1. El empiema at necessitatis (EN) es una complicación rara, con incidencia desconocida, definida como la extensión de un empiema o derrame pleural purulento hacia los tejidos blandos adyacentes 2.
Se presenta el caso de un paciente PLR de curso crónico con extensión pulmonar y posterior desarrollo de EN, un escenario hasta el momento no descrito en la literatura, identificando los problemas de diagnóstico y tratamiento presentados con el fin de mejorar intervenciones en el futuro en otros pacientes que pudieren cursar con un cuadro clínico similar.
Caso clínico
Paciente masculino de 17 años, procedente de Girardot, Colombia, con antecedente de PLR diagnosticada desde los 18 meses de edad. Como antecedentes de importancia destacan 85 intervenciones quirúrgicas a nivel laringo-traqueal por múltiples reactivaciones de la papilomatosis (alrededor de cinco veces por año) proceso que configuró un síndrome de dificultad respiratoria crónica que requirió manejo con traqueostomía permanente desde los cinco años de edad. Desde hace siete años con extensión pulmonar progresiva propiciando múltiples episodios de neumonía complicada (cinco en el último año que requirieron hospitalización), uno de ellos de carácter necrotizante manejado con decorticación y pleurectomía hace dos años.
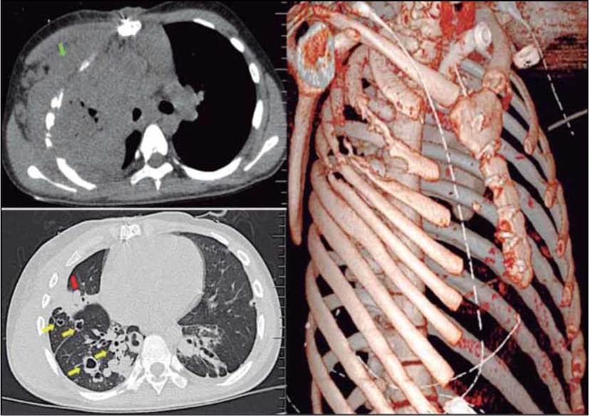
Debido al cuadro clínico de neumonía a repetición debió recibir múltiples esquemas antibióticos, con última hospitalización en diciembre de 2017 con tratamiento antibiótico con vancomicina y cefepima. Debido a que no se presentaba mejoría clínica, en enero de 2017 se realizó fibrobroncoscopia y nasofibrolaringoscopia para determinar si había mayor crecimiento de las lesiones papilomatosas que estuvieran empeorando el pronóstico del paciente y pudieran ser tributarias de nueva corrección quirúrgica, se evidenció que dichas lesiones generaban obstrucción significativa de la tráquea (50%), se tomaron biopsias cuyos cultivos reportaron actinomicetos sensibles exclusivamente a quinolonas y sulfas. Posteriormente se evidenció formación de fístula en pared anterior de tórax por lo que se decidió realizar imágenes por tomografía en las que se evidenciaron múltiples consolidaciones y bronquiectasias generalizadas predominantemente en lóbulo superior derecho, con extensión a pared torácica (EN) y osteomielitis en 2-3-4-5 arcos costales derechos; cultivos de la secreción de la pared torácica reportaron Klebsiella pneumoniae, con presencia de betalactamasas tipo Amp C por antibiograma. En la Figura 1 se observan algunos de los hallazgos radiológicos más destacados.

Por la complejidad del cuadro, el caso fue llevado a junta médica con cirugía de tórax, infectología pediátrica, pediatría y cirugía pediátrica quienes determinaron manejo antibiótico de amplio espectro con vancomicina, ampicilina y trimetoprim/sulfametoxazol y exámenes complementarios para descartar micobacterias, hongos, e inmunosupresión; por último, se indicó la realización de lobectomía superior derecha. Los exámenes descartaron la presencia de tuberculosis, neoplasias o inmunosupresión asociada.
El paciente fue llevado a cirugía el 4 de abril de 2017, donde se confirma empiema at necessitatis con osteomielitis de arcos costales 2-3-4-5 derivado de infección pulmonar extensa, múltiples papilomas en pulmón, destrucción de lóbulo superior pulmonar con absceso y fístula a pared anterior de tórax por lo que realizan neumonectomía radical derecha en intento de controlar la infección. Se planeó resección de arcos costales y toracoplastia en un segundo momento quirúrgico y se tomaron nuevos cultivos. Microbiología reportó el crecimiento de Pseudomonas stutzeri, Staphylococcus aureus meticilinorresistente con patrón hospitalario, Scopulariopsis brevicaulis y Klebsiella oxytoca panresistente por lo que se cambia manejo antibiótico a anfotericina B deoxicolato, meropenem, tigeciclina y polimixina B.
Tras diez días de tratamiento antibiótico se realizó nuevo abordaje quirúrgico que evidenció empiema at necessitatis post neumonectomía derecha con extensión anterolateral y se realizó resección de arcos costales con drenaje, desbridamiento de tejidos blandos profundos de pared torácica y pleurectomía, sin embargo, durante el posoperatorio inmediato el paciente desarrolla un trastorno de la oxigenación severo asociado a shock séptico y fallece.
Discusión
La PLR es una lesión usualmente benigna de laringe y tráquea, causada por el virus del papiloma humano principalmente los serotipos 6, 11 y 13; en niños es de peor pronóstico, pudiendo requerir múltiples procedimientos quirúrgicos debido a la alta recidiva 2. Hasta el 50% de mujeres con hijos con la enfermedad tienen condilomas genitales 3, por lo que su presencia se considera el principal factor de riesgo 4. Sin embargo, la transmisión vertical de una madre con lesión condilomatosa al hijo durante el parto es de uno entre 231-400 casos 5, siendo esta la forma de transmisión más aceptada en niños. El contacto del virus con la mucosa laríngea que llega a producir infección se asocia a inmuno-deficiencias, por lo que en individuos inmunocompetentes es de extraña aparición 6; en este caso se realizó tamizaje para ambos escenarios los cuales resultaron negativos.
La extensión pulmonar de la PLR se presenta en menos de 1% de los casos, generalmente con un curso agresivo y mal pronóstico 4,6. Este desenlace se relaciona directamente con la aparición de neumonías a repetición debido a la alteración de las vías aéreas distales con presencia de nódulos y quistes que pueden alterar el funcionamiento del ascensor mucociliar, propiciando acumulación de secreciones y aparición de atelectasias y bronquiectasias lo que favorece la colonización e infección a repetición por diversos microorganismos. En este caso clínico se produjo un empiema con extensión a los tejidos blandos de la caja torácica, complicación conocida como EN, la cual es poco frecuente, causada en su mayoría por M. tuberculosis, Actinomyces spp, S.pneumoniae, E.coli, Aspergillus spp, y con menor frecuencia S.aureus7, congruente con este caso en el cual se aisló Actinomyces spp, con el cual se ha descrito el desarrollo de fístulas cutáneas en el contexto de EN de curso crónico, caracterizado por la presencia de lesiones granulomatosas destructivas de extensión progresiva 8. Resulta importante realizar el diagnóstico diferencial del EN con neoplasia, como en este paciente en quien la biopsia realizada no reportó signos de malignidad.
Es importante analizar el caso clínico en el contexto en el que se desarrolló pues al estar en un país en vía de desarrollo, no fue posible determinar el serotipo de VPH causante de la papilomatosis laríngea debido a que no se contaba con acceso al equipo necesario para su tipificación. Adicionalmente, el tratamiento de elección según la literatura son los interferones recombinantes alfa a dosis altas 9, un tratamiento de alto costo de muy difícil acceso para nuestra población, situación por la que el manejo del paciente se limitó a la intervención quirúrgica de las lesiones papilomatosas.
Se debe resaltar además la dificultad que se presentó en este caso para el diagnóstico de EN, donde se han descrito como manifestaciones clínicas la presencia de masa indolora en la pared torácica sin signos inflamatorios, tos, dolor pleurítico y disnea 7,10, presentándose sólo en casos crónicos síntomas constitucionales y fístulas cutáneas 7. En este caso el paciente llegó a presentar fístula cutánea lo que nos indica la cronicidad de esta patología, sin embargo es probable que el diagnóstico haya sido tardío debido a los múltiples episodios de neumonía complicada recurrente dirigiendo el tratamiento a la administración de antibiótico y posteriormente a realizar imágenes diagnósticas de la vía aérea como la broncoscopia para realizar seguimiento de su patología pensando en la posibilidad de nueva intervención quirúrgica como se venía realizando, por lo que las imágenes tomográficas de tórax se realizaron solamente al presentar la fístula cutánea.
Se encontró otro reporte en el cual también se identificaban problemas para el diagnóstico del EN 11, evidenciando que es imprescindible contextualizar a la comunidad científica sobre las manifestaciones clínicas de ambas patologías, dado que son poco comunes, con el fin de mejorar el pronóstico de estos pacientes, teniendo en cuenta que retrasar el drenaje de un EN aumenta el riesgo de ocurrencia de complicaciones.
Conclusión
La PLR y el EN son patologías de muy baja prevalencia lo que hace que puedan ser desconocidas por los clínicos dificultando su diagnóstico y tratamiento oportuno por lo que resulta importante contextualizar sobre sus posibles presentaciones y causas de errores diagnósticos. En países en vía de desarrollo la situación se ve agravada debido a la dificultad en el acceso a medicamentos y paraclínicos tal como se evidenció en este caso. Resulta importante la descripción de complicaciones como el EN en el contexto de PLR, una asociación aún no descrita en la literatura y sus dificultades para el diagnóstico y tratamiento con el fin de mejorar estos aspectos en la práctica clínica y así el pronóstico de los pacientes, se espera que este reporte pueda dar pie a futuros estudios o intervenciones que contribuyan a mejorar este panorama.
Referencias
1. Derkay CS. Task Force on Recurrent Respiratory Papillomas: A Preliminary Report. Arch Otolaryngol - Head Neck Surg. 1995 Dec 1; 121(12):1386-91. Available from: http://archotol.jamanetwork.com/article.aspx?articleid=623185.
2. Amado S, Gomez JS. Empiema Necessitatis. Acta Med Colomb. 2013; 38(1):28-31. Available from: http://www.scielo.org.co/scielo.php?script=sci_arttext&pid=S0120-24482013000100008.
3. Silverberg MJ, Thorsen P, Lindeberg H, Grant LA, Shah K V. Condyloma in pregnancy is strongly predictive of juvenile-onset recurrent respiratory papil-lomatosis. Obstet Gynecol. 2003 Apr; 101(4):645-52. Available from: http://www.ncbi.nlm.nih.gov/pubmed/12681865.
4. RUAN S-Y, CHEN K-Y, YANG P-C. Recurrent respiratory papillomatosis with pulmonary involvement: A case report and review of the literature. Respirology. 2009 Jan;14(1):137-40. Available from: http://doi.wiley.com/10.1111/j.1440-1843.2008.01421.x.
5. Singh Bakshi S. Recurrent Laryngeal Papillomatosis. Mayo Clin Proc. 2017;92(2):322-322. Available from: https://www.clinicalkey.es/service/content/pdf/watermarked/1-s2.0-S0025619616307674.pdf?locale=es_ES.
6. Carifi M, Napolitano D, Morandi M, Dall'Olio D. Recurrent respiratoiy papil-lomatosis: Current and future perspectives. Ther Clin Risk Manag. 2015; 11:731-8.
7. Llamas-Velasco M, Domínguez I, Ovejero E, Pérez-Gala S, García-Diez A. Empyema necessitatis revisited. Eur J Dermat. 2010; 20(1): 115-9.
8. Msougar Y, Fenane H, Maidi M, Benosman A. L'actinomycose thoracique multiple chez l'immunocompétent. Pan Afr Med J. 2013 Oct; 16:59.
9. Castillo Gonzalez P, Torrentera García Rogelio, Flores Sergio, Perez Redondo C. Tratamiento combinado de la papilomatosis laringotraqueal con láser ND-YAG y cidofovir intralesional. Reporte de un caso y revisión de la literatura. Neumol y cirug tórax6. 2005; 64(1):30-3. Available from: http://www.medigraphic.com/pdfs/neumo/nt-2005/nt051f.pdf.
10. Kono SA, Nauser TD, Wilson C, Tsubota N, et al. Contemporary Empyema Necessitatis. Am J Med [Internet]. 2007 Apr 1:120(4):303-5. Available from: http://linkinghub.elsevier.com/retrieve/pii/S0002934306011843
11. Bhanja S, Guha A, Samanta A, Mia HA, Kumar N. A Case of Empyema Neces-sitans: An Uncommon Presentation of Empyema. Int J Pediatr. 2017; 5(743).
Notas de autor
* Correspondencia: Dra. Laura María García Henao. Manizales, Caldas (Colombia). E-mail: lauragarciah20@gmail.com