Presentación de casos
Recepción: 23 Noviembre 2017
Aprobación: 21 Enero 2019
Resumen
Antecedentes: la asociación entre glomerulopatía membranosa y glomerulonefritis necrosante crescéntica es infrecuente: 0.4%, confiriendo un escenario de peor pronóstico. Se requieren estudios que precisen el esquema de tratamiento óptimo, sin embargo, el rápido inicio de terapia inmunosupresora impacta en la preservación de la función renal.
Objetivo: exponer un caso en el cual se presenta esta asociación y tiene adecuada respuesta con el tratamiento realizado.
Métodos: en este artículo se presenta un caso de una mujer con síndrome nefrótico a quien se le documenta glomerulopatía membranosa con proliferación extracapilar confirmada con biopsia renal, sin evidencia de autoinmunidad, neoplasia ni proceso infeccioso. Tras el diagnóstico se inició manejo con metilprednisolona y ciclofosfamida con adecuada evolución, sin deterioro de la función renal y con mejoría de proteinuria.
Conclusión: la presencia de proliferación extracapilar da peor pronóstico en los pacientes con glomerulopatía membranosa, el inicio oportuno del tratamiento es fundamental. (Acta Med Colomb 2019; 44: 39-42).
Palabras clave: enfermedades renales, glomerulopatía membranosa, glomerulonefritis, inmunosupresión, síndrome nefrótico.
Abstract
Background: the association between membranous glomerulopathy and crescentic necrotizing glomerulonephritis is infrequent: 0.4%, conferring a worst prognosis scenario. Studies that require the optimal treatment scheme are required; however, it has been described that the rapid onset of immunosuppressive therapy impacts on the preservation of renal function.
Objective: to present a case in which this association is presented and has an adequate response to the performed treatment.
Methods: in this article, a case of a woman with nephrotic syndrome with a documented membranous glomerulopathy with extracapillary proliferation confirmed by renal biopsy, without evidence of autoimmunity, neoplasia or infectious process is presented. After the diagnosis, treatment with methylprednisolone and cyclophosphamide was started with adequate evolution, without deterioration of renal function and with improvement of proteinuria.
Conclusion: the presence of extracapillary proliferation gives worse prognosis in patients with membranous glomerulopathy. The timely initiation of treatment is essential. (Acta Med Colomb 2019; 44: 39-42).
Keywords: kidney diseases, membranous glomerulopathy, glomerulonephritis, immunosuppression, nephrotic syndrome.
Introducción
La asociación entre glomerulopatía membranosa y glomerulonefritis necrosante crescéntica es infrecuente: 0.4% 1,2. La glomerulopatía membranosa, junto con la glomeruloesclerosis focal y segmentaria, constituyen en la actualidad las principales causas de síndrome nefrótico en la población adulta. La enfermedad membranosa consiste en depósitos inmunes de IgG y componentes del complemento en la superficie subepitelial de la pared capilar glomerular, que lleva a una pérdida variable de los procesos podocitarios. El 80% de los casos son de etiología primaria y el 20% restante tiene una causa secundaria evidente, ya sea etiología neoplásica, infecciosa, tóxica o autoinmune 3. El antígeno podocitario objetivo es el receptor tipo M de fosfolipasa A2 (PLA2R) y anticuerpos contra este antígeno están presentes en el 75% de los pacientes con etiología primaria. Existen dos picos de incidencia, el primero se presenta entre los 30-40 años de edad, siendo la forma primaria la más prevalente, el segundo pico se describe entre los 50-60 años con una asociación más importante con condiciones paraneoplásicas 4, siendo el género masculino el más afectado con una relación de 2:1 5. El síndrome clínico característico es el nefrótico; sin embargo, aproximadamente 40% de los pacientes eventualmente presentan enfermedad renal crónica en estadios avanzados 3. Cuando otras patologías se sobreponen a la glomerulopatía membranosa se acelera el deterioro de la función renal, en este escenario las condiciones más frecuentemente asociadas son nefritis intersticial, enfermedad por anticuerpos antimembrana basal glomerular y trombosis de vena renal. Se ha reportado remisión espontánea de la proteinuria hasta en 30% de los pacientes con glomerulopatía membranosa, siendo menor la probabilidad de remisión cuando la severidad de la proteinuria con que se debute sea mayor. Sin embargo, es de resaltar que tras una remisión completa aproximadamente un 25-40% de los pacientes recaen y tras una remisión parcial de un 50% 3,5.
Por otro lado, la evidencia histopatológica de proliferación de células epiteliales viscerales o parietales en el espacio de Bowman se conoce como proliferación extracapilar. Cuando el daño glomerular es muy severo, se asocia con ruptura de la pared capilar o de la cápsula de Bowman lo que permite el ingreso de proteínas plasmáticas y material inflamatorio al espacio de Bowman, configurando una forma de crescencia o medialuna, hallazgo que generalmente implica un deterioro acelerado de la función renal en el contexto clínico de una glomerulonefritis rápidamente progresiva, generalmente asociada a vasculitis, enfermedad de Goodpasture o a otras glomerulonefritis agudas y severas de cualquier otra etiología 5.
Es inusual la coexistencia de glomerulopatía membranosa y medialunas, en ausencia de enfermedad autoinmune o infección crónica 6. Los casos reportados, con frecuencia se asocian a vasculitis por anticuerpos contra el citoplasma de los neutrófilos (ANCA) y/o a enfermedad antimembrana basal glomerular y confieren peor pronóstico a quienes lo presentan 1,2. El tratamiento es más agresivo, dado el riesgo de no respuesta con la terapia convencional indicada en glomerulopatía membranosa primaria. No se ha estudiado específicamente este escenario dada su baja frecuencia. A continuación, presentamos un caso de una paciente con esta asociación y su evolución favorable ante la intervención temprana.
Presentación del caso
El caso corresponde a una mujer de 30 años, con antecedente de hipotiroidismo, obesidad grado I y preeclampsia en primera gestación, en manejo con levotiroxina 100 μg/día con última TSH en metas un mes previo al ingreso. Consulta por cuadro de una semana de evolución consistente en astenia, adinamia, síndrome edematoso y artralgias en codos, rodillas y en metatarsofalángicas. A la revisión por sistemas la paciente no presentaba artritis, artralgias previas, caída abundante de cabello, lesiones en piel y/o mucosas, pérdida de peso y en general síntomas en otros sistemas.
Al ingreso registró tensión arterial de 110/70 mmHg, frecuencia cardiaca de 70 latidos por minuto, frecuencia respiratoria de 18 respiraciones por minuto, saturación de oxígeno de 96%, temperatura 37.5°C, con edema en párpados y edema grado II en miembros inferiores con fóvea positiva, sin sinovitis ni otros hallazgos positivos al examen físico.
Los paraclínicos de ingreso mostraron creatinina de 1.1 mg/dL, uroanálisis con proteinuria, hematuria microscópica y leucocituria, proteínas en orina de 24 horas de 12 gramos, hipoalbuminemia y dislipidemia, con riñones ecográficamente normales.
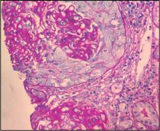
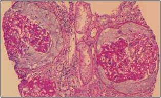
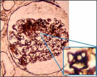
Se confirmó el diagnóstico de síndrome nefrótico y se decidió solicitar biopsia renal que reportó hallazgos de nefropatía membranosa con un componente agudo necrosante de proliferación extracapilar (Figuras 1-3).



En busca de etiología secundaria, se avanzó en estudios inmunológicos con C3 y C4 normales, ANAs negativos, ENAs negativos, ANCA p y c negativos, Anti MPO y PR3 negativos, anticuerpos contra membrana basal glomerular negativos. No cumplía criterios para lupus eritematoso sistémico. Así mismo, se descartó razonablemente proceso infeccioso, con perfil viral para hepatitis B, hepatitis C, VIH y sífilis negativo (Tabla 1) y sin antecedentes epidemiológicos para considerar estudio de malaria.

Se realizó un interrogatorio amplio y dirigido a consumo de tóxicos y medicamentos (antiinflamatorios no esteroides -AINE-, sales de oro, penicilamina, mercurio), el cual fue negativo. Adicionalmente con los hallazgos a la anamnesis y al examen físico no existía sospecha clínica de proceso neoplásico subyacente.
Ante la evidencia de componente agudo necrosante de proliferación extracapilar, se decidió iniciar tratamiento con metilprednisolona 500 mg/día por tres días y ciclofosfamida endovenosa 500 mg/m2 SC, la paciente evolucionó favorablemente, sin deterioro de la función renal y con mejoría de la proteinuria, egresó en manejo con ciclofosfamida según recomendaciones EUVAS el cual completó satisfactoriamente sin efectos adversos. Continuó terapia de mantenimiento con azatriopina y tras un año del diagnóstico, la paciente permanece en remisión parcial, con creatinina de 0.82 mg/dL, proteinuria de 24 horas de 2.4 g y albúmina de 4 g/dL.
Discusión
La coexistencia de glomerulopatía membranosa y medialunas es frecuente en pacientes con nefritis lúpica clase V asociada con clase III o IV, evidenciándose simultáneamente proliferación endocapilar y depósitos de complejos inmunes subendoteliales 5,7. En caso de no tener la presentación clínica ni histopatológica de LES, se proponen otras dos entidades como posibles etiologías: enfermedad antimembrana basal glomerular o glomerulonefritis pauci inmune 6,8, esta última característicamente cursa con ANCA positivos, sin embargo, hasta 20% se presentan con el marcador negativo 9,10. Son pocos los reportes de casos en este último contexto clínico 1,11-13, generalmente los pacientes debutan con proteinuria asociada a deterioro de función renal, diferenciándose de los pacientes ANCA positivos principalmente por la ausencia de manifestaciones extrarrenales de la vasculitis 7.
Los casos descritos hasta la fecha coinciden en el desenlace más desfavorable en los pacientes con glomerulopatía membranosa con proliferación extracapilar asociada 14. Una de las más grandes series de casos publicadas de pacientes con la coexistencia de estas patologías ha sido presentada por Rodríguez et al. 1, describiendo 19 casos. Tras el seguimiento (media de 22 [rango de 1.5-138] meses) la media de creatinina fue de 1.7 (rango, 0.8-4.1) mg/dL y la media de la proteinuria fue 3.2 (rango, 0-9.9) g/24 horas, excluyendo los pacientes que desarrollaron ERC estadio 5 (n: 4 [21%]). Se destaca la variabilidad de los tratamientos inmunosupresores utilizados, reflejando la inexistencia de evidencia en el manejo de estos pacientes tal vez condicionada por lo poco frecuente de esta entidad. El manejo predominante, en ocho casos, fue prednisolona con ciclofosfamida oral. De igual forma es llamativa la positividad de los anticuerpos anti MPO desarrollada por un paciente tras ocho meses de seguimiento. En el 2015, Wang et al. 13 también analizó una serie de casos de pacientes con enfermedad membranosa y crescencias, en ausencia de etiología secundaria, comparando con un grupo de pacientes con enfermedad membranosa únicamente, concluyendo que existe 10.2 veces más riesgo de tener elevación de la creatinina en los pacientes con medialunas asociadas (p: 0.046).
Finalmente, el caso descrito no cumple criterios de LES, tiene ANCA y anticuerpos antimembrana basal negativos, con ausencia de tinción lineal en membrana basal glomerular (anti- IgG y anti-C3) en estudio de inmunofluorescencia. En este sentido, surge la hipótesis de si se trata de una expresión anormal de una glomerulopatía membranosa o si por el contrario es una glomerulopatía membranosa a la que se adiciona una glomerulonefritis pauci-inmune ANCA negativo. El tratamiento inmunosupresor establecido de forma temprana fue determinante para una evolución adecuada.
Conclusión
La presencia de medialunas es una rara complicación de la glomerulopatía membranosa presentándose en 0.4% (1) de los casos y constituyendo una entidad clínico patológica distinta que confiere un peor pronóstico 1,9. El inicio oportuno del tratamiento impacta en la preservación de la función renal, como en el caso expuesto. Siempre debe descartarse la presencia de infecciones y autoinmunidad asociados.
Consentimiento informado
La paciente fue informada y se solicitó su aprobación por escrito para el reporte de caso, se presentó al comité de ética institucional con respuesta favorable.
Agradecimientos
Al Dr. Samuel Morales Patólogo del Hospital Universitario San Ignacio, por la toma de las fotografías de la patología del riñón
Referencias
1. Rodriguez EF, Nasr SH, Larsen CP, Sethi S, Fidler ME, Cornell LD. Membranous Nephropathy With Crescents: A Series of 19 Cases. Am J Kidney Dis. 2014;64(1):66-73. doi: 10.1053/j.ajkd.2014.02.018.
2. Basford AW, Lewis J, Dwyer JP, Fogo AB. Membranous Nephropathy with Crescents. J Am Soc Nephrol. 2011;22(10): 1804-1808. doi: 10.1681/ASN.2010090923.
3. Fervenza FC, Passerini P, Sethi S, Ponticelli C. Membranous Nephropathy. In: Core Concepts in Parenchymal Kidney Disease. New York, NY: Springer New York; 2014:51-75. doi:10.1007/978-1-4614-8166-9_5.
4. Bacchetta J, Juillard L, Cochat P, Droz J-P. Paraneoplastic glomerular diseases and malignancies. Crit Rev Oncol Hematol. 2009;70(1):39-58. doi: 10.1016/j.critrevonc.2008.08.003.
5. Johnson RJ (Richard J, Feehally J, Floege J. Comprehensive Clinical Nephrology. http://www.elsevierhealth.com.au/comprehensive-clinical-nephrology-9781455758388.html. Accessed August 2, 2017.
6. Kwan JTC, Moore RH, Dodd SM, Cunningham J. Crescentic transformation in primary membranous glomerulonephritis. Postgr Med J. 1991;67. https://www.ncbi.nlm.nih.gov/pmc/articles/PMC2398889/pdf/postmedj00078-0075.pdf. Accessed August 2, 2017.
7. Balafa O, Kalaitzidis R, Liapis G, et al. Crescentic glomerulonephritis and membranous nephropathy: a rare coexistence. Int Urol Nephrol. 2015;47(8):1373-1377. doi:10.1007/s11255-015-1031-z.
8. Troxell ML, Saxena AB, Kambham N. Concurrent anti-glomerular basement membrane disease and membranous glomerulonephritis: a case report and literature review. Clin Nephrol. 2006;66(2): 120-127. http://www.ncbi.nlm.nih.gov/pubmed/16939068. Accessed August 2, 2017.
9. Surindran S, Ayalon R, Hasan N, et al. Coexistence of ANCA-associated glomerulonephritis and anti-phospholipase A(2) receptor antibody-positive membranous nephropathy. Clin Kidney J. 2012;5(2):162-165. doi:10.1093/ndtplus/sfr149.
10. Chen M, Kallenberg CGM, Zhao M-H. ANCA-negative pauci-immune crescentic glomerulonephritis. Nat Rev Nephrol. 2009;5(6):313-318. doi: 10.1038/nrneph.2009.67.
11. Arrizabalaga P, Sans Boix A, Torras Rabassa A, Darnell Tey A, Revert Torrellas L. Monoclonal antibody analysis of crescentic membranous glomerulonephropathy. Am J Nephrol. 1998;18(1):77-82. doi: 13310.
12. Debiec H, Ronco P. Immunopathogenesis of membranous nephropathy: an update. Semin Immunopathol. 2014;36(4):381-397. doi: 10.1007/s00281-014-0423-y.
13. Wang J, Zhu P, Cui Z, Qu Z, Zhang YM, Wang F, et al. Clinical Features and Outcomes in Patients With Membranous Nephropathy and Crescent Formation. Medicine (Baltimore). 2015;94(50):e2294. doi: 10.1097/MD.0000000000002294.
14. Vozmediano C, Sánchez de la Nieta D, González L, Álvarez T, De la Torre M, Blanco J, et al. Síndrome nefrótico e insuficiencia renal aguda por nefropatia membranosa y proliferación extracapular. Nefrologia. 2005; XXV (3): 328-331.
Notas
Notas de autor
* Correspondencia: Dra. Kateir Mariel Contreras-Villamizar. Bogotá, D.C. (Colombia). E-mail: kamacovi@gmail.com