Cases presentation
Received: 16 July 2019
Accepted: 06 February 2020
Abstract: Moyamoya disease is a chronic neurovascular disease characterized by progressive bilateral stenosis of the internal carotid arteries with abnormal formation of new abnormal blood vessels whose blockage of blood flow causes a variety of clinical manifestations and complications associated with acute cerebrovascular events (ischemic or hemorrhagic), which may even be fatal. This article seeks to describe this entity, its incidence, prevalence, forms of presentation, therapeutic measures and prognosis through a clinical case report. (Acta Med Colomb 2020; 45. DOI:http://doi.org/10.36104/amc.2020.1424).
Key words: disease, cerebrovascular disorders, basal ganglia cerebrovascular disease.
Resumen: La enfermedad de Moyamoya es una enfermedad neurovascular crónica caracterizada por una estenosis progresiva bilateral de las arterias carótidas internas, con la formación anormal de nuevos vasos sanguíneos, cuyo bloqueo en flujo sanguíneo ocasiona variadas manifestaciones clínicas y complicaciones asociadas a eventos cerebrovasculares (isquémicos o hemorrágicos) agudos que pueden llegar a ser incluso mortales. El presente artículo pretende realizar una aproximación acerca de esta entidad, su incidencia, prevalencia, formas de presentación y medidas terapéuticas y pronostico mediante el reporte de un caso clínico.(Acta Med Colomb 2020; 45. DOI:https://doi.org/10.36104/amc.2020.1424).
Palabras clave: de Moyamoya, trastornos cerebrovasculars, enfermedad cerebrovascular gangliobasal..
Introduction
Moyamoya disease is a chronic disease characterized by progressive bilateral stenosis of the terminal portion of the internal carotid artery and its proximal branches with the consequent neoformation of an abnormal collateral arterial network of the arteries which make up the circle of Willis, with variable and nonspecific clinical manifestations 1-3.
This is a rare disease with a very low prevalence in Hispanics, with seizures and stroke symptoms being among the least frequent manifestations in adults 19,21.
The purpose of this article is to present the clinical case of a patient with this disease who arrived in a generalized tonic-clonic seizure preceded by a headache, with subsequent complete neurological recovery, and in whom right basal ganglia hemorrhage and bilateral arterial disease typical of this illness was documented through digital subtraction angiography of the brain 3,5.
Case report
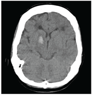
A 45-year-old female, ethnically mestizo patient with no significant past medical history was admitted to the emergency room of a quaternary hospital in the city of Cartagena (Bolívar) on July 1, 2019, due to a one week history of moderately intense holocranial headaches and a subsequent generalized tonic-clonic seizure, with sphincter relaxation and an unspecified length of the seizure. On admission to the emergency room, her blood pressure was 140/90 and the rest of her vital signs were normal with no focal neurological deficits. A simple computerized tomography (CT) of the head showed intraparenchymal hemorrhage in the right basal ganglia, mild multifocal small vessel ischemic disease, malacic changes in the right occipital region and an old left frontal ischemic event adjacent to the left lateral ventricle (Figure 1). The initial lab exams showed no abnormalities, with normal red and white blood cell and platelet counts, and nitrogen compounds, electrolytes and coagulation times all within normal limits. Cerebral panangiography found thinning of the internal carotid and posterior cerebral arteries (the latter seen in 50% of cases) with abnormal neovascularization in the basal nuclei, compatible with moyamoya disease (Figure 2). With these results, her possible treatment plan was assessed by a neurosurgery medical panel, concluding that she could benefit from endovascular treatment. However, in light of the high risk of recurrent bleeding, this procedure was postponed for at least four weeks.


Discussion
Moyamoya disease is a chronic illness characterized by progressive bilateral stenosis of the terminal portion of the internal carotid artery and its proximal branches, with the ensuing neoformation of an abnormal collateral network of the arteries which make up the circle of Willis, with an as yet unknown etiology 1-3. The term is derived from the appearance of the collateral arteries which develop progressively throughout the course of the disease and look like "cigar smoke in the air" ("moyamoya" in Japanese) on angiography 2.
The case we present refers to this disease, which must be differentiated from moyamoya syndrome which is linked to unilateral vascular lesions associated with other entities such as neurofibromatosis, sickle cell anemia, Down syndrome, meningitis, trauma, autoimmune diseases, secondary to cranial radiation and Graves' disease 4,6.
This entity tends to be more common in Asian people and less common in Hispanics, as some studies have shown. However, it may affect people of any ethnic background. In Japan, a prevalence of 3.16 per 100,000 inhabitants has been found, while in the United States (US) the disease prevalence has been found to be 0.086 per 100,000 inhabitants. It affects women more than men in a 2:1 ratio, and two incidence peaks have been reported: children between 5-9 years old and adults between 40-50 years old (more common) 7-9. In Colombia, in 2013, only four cases of moyamoya disease had been described, all in children 22; while in 2015, only one case of an adult female patient was reported, with a fatal outcome 23.
The clinical manifestations of this disease vary according to age. Children 5-9 years old with moyamoya disease typically present with arterial ischemic strokes or transient ischemic attacks (TIAs) 11, while geographic variations have been noted in adults from 40-49 years of age, with intracranial bleeds being more frequent in the Asian population compared to the US population 1,10. As has been noted, our patient had the sociodemographic factors of age, mestizo ethnic background, and female sex along with the bleeding process which is characteristic in adults with this disease.
The typical presentation in adults includes seizures; ischemic, hemorrhagic or transient cerebrovascular accidents (with focal signs and symptoms depending on the lesion site); cognitive impairment, personality changes and headache. The individual variations in degree of arterial involvement, progression of the stenosis, ischemic regions of the cortex and response to reduced blood supply help to explain the broad range of clinical presentations.
In our case, moyamoya disease presented as a first generalized seizure with subsequent recovery, without apparent motor or cognitive deficits, caused by an intraparenchymal hemorrhage in the right basal nuclei detected through a simple cranial CT. This finding matches the literature which mentions that intraparenchymal hemorrhage is more common than the intraventricular or subarachnoid forms in patients with this disease, and that the most common locations are the basal nuclei, the medial temporal lobe, and the thalamus 1,4.
The possible causes of bleeding in patients with moyamoya disease include rupture of a fragile collateral vessel and/or an aneurysm caused by the alterations in cerebral flow (high and low-pressure zones formed during the disease). The most common places for these aneurysms to form are the terminal portion of the basilar artery, and the posterior communicating artery. The location of the bleeding in our case suggested a differential diagnosis of a ruptured aneurysm or bleeding from an arteriovenous malformation.
Various tests for assessing cerebral vasculature, such as angiotomography and angioresonance, are used for diagnosis, with good results. However, cerebral panangiography (also known as digital subtraction angiography) is the gold standard for definitive diagnosis of moyamoya disease, when the characteristic arteriographic appearance is seen. It detects stenosis of the terminal portion of the internal carotid artery and its proximal branches, as well as the formation of the network of collaterals 4. In our case, cerebral panangiography was ordered as part of the workup for intracraneal hemorrhage in a young patient, and it showed progressive thinning of both internal carotid arteries, along with neovascularization and bilateral disappearance of the medial and anterior cerebral arteries.
No treatment can stop the progression or reverse the arterial changes produced in patients with moyamoya disease. Treatment is aimed at relieving the symptoms, preventing the recurrence of cerebrovascular accidents and limiting cognitive impairment 12. Medical and surgical measures are available. The recommended medical measures include the use of antiplatelet agents, except in patients with intracranial hemorrhage. Long periods of dehydration and hyperventilation should also be avoided, and patients who present with a migraine should be given medications such as topiramate, and nonsteroidal anti-inflammatory drugs are not recommended 13. The most important surgical measure in these patients is revascularization (direct, indirect or combined), whose general objective is to improve cerebral blood flow 14. Various studies have shown that revascularization in patients with moyamoya disease decreases the rate of recurrence of cerebrovascular accidents (ischemic and hemorrhagic), reduces symptoms (like headache), improves the functional clinical status and even improves cognitive disturbances, with a satisfactory safety profile 15-18. It is therefore recommended by the American Heart Association (AHA) 19. In addition, Liu et al. reported that revascularization therapy has a positive impact on the prevention of rebleeding in patients with a hemorrhagic presentation 20. Revascularization therapy is indicated in our case (endorsed by a medical panel), which was postponed for one month due to the recent intracerebral bleeding.
Moyamoya disease should be suspected in children or adults under the age of 50 with clinical signs of acute ischemic and/or hemorrhagic cerebrovascular disease without risk factors, with or without a history of neurological deficit or focal neurological episodes. It is important to determine the diagnosis quickly, since the evidence shows that therapeutic measures, both medical and surgical, are associated with a better prognosis, with the latter being the treatment of choice and the one which produces the best results. The prognosis for patients with this disease is not completely predictable.
References
1. Scott RM, Smith ER. Moyamoya disease and moyamoya syndrome.N Engl J Med.2009;360(12): 1226-37.
2. Suzuki J, Takaku A. Cerebrovascular moyamoya disease. Disease showing abnormal net-like vessels in base of brain.Arch Neurol.1969;20(3):288-99.
3. Research Committee on the Pathology and Treatment of Spontaneous Occlusion of the Circle of Willis, Health Labour Sciences Research Grant for Research on Measures for Infractable Diseases. Guidelines for diagnosis and treatment of moyamoya disease (spontaneous occlusion of the circle of Willis).Neurol Med Chir(Tokyo). 2012; 52(5): 245-66.
4. Smith ER, Scott RM. Moyamoya: epidemiology, presentation, and diagnosis. Neurosurg Clin N Am. 2010;21(3):543-51.
5. Ramírez-Quiñones JA, Barrientos-Imán DM, Calle-La RP, Ecos-Quispe RL, Novoa-Mosquera ME, Valencia-Chávez AM, et al. Enfermedad de Moyamoya: reporte de un caso. Rev Neuropsiquiatr. 2015;78(3): 165-170
6. Lizarazo J, Niño F, Alvarado H, Castro N. Síndrome moyamoya y enfermedad de Graves en una mujer joven.Acta Med Colom.2013;38(4): 262-267
7. Baba T, Houkin K, Kuroda S. Novel epidemiological features of moyamoya disease.J Neurol Neurosurg Psychiatry.2008;79(8):900-4
8. Ahn IM, Park DH, Hann HJ, Kim KH, Kim HJ, Ahn HS. Incidence, prevalence, and survival of moyamoya disease in Korea: a nationwide, population based study.Stroke.2014; 45(4): 1090-5.
9. Uchino K, Johnston SC, Becker KJ, Tirschwell DL. Moyamoya disease in Washington State and California.Neurology.2005;65(6):956-8.
10. Hallemeier CL, Rich KM, Grubb RL Jr, Chicoine MR, Moran CJ, Cross DT 3rd, Zipfel GJ, Dacey RG Jr, Derdeyn CP. Clinical features and outcome in North American adults with moyamoya phenomenon.Stroke.2006 Jun;37(6):1490-6.
11. Fung LW1, Thompson D, Ganesan V. Revascularisation surgery for paediatric moyamoya: a review of the literature. Childs Nerv Syst. 2005 May;21(5):358-64.
12. Kronenburg A, Braun KPJ, vander Zwan A, Klijn CJM. Recent advances in moyamoya disease: pathophysiology and treatment.Curr Neurol Neurosci Rep. 2014;14(1):423.
13. Smith ER. Moyamoya arteriopathy.Curr Treat Options Neurol.2012; 14(6): 549-56.
14. Pandey P, Steinberg GK. Neurosurgical advances in the treatment of moyamoya disease.Stroke.2011; 42(11): 3304-10.
15. Guzman R, Lee M, Achrol A, Bell-Stephens T, Kelly M, Do HM, et al. Clinical outcome after 450 revascularization procedures for moyamoya disease.J Neuro-surg.2009;111(5):927-35.
16. Lee JY, Phi JH, Wang KC, Cho BK, Shin MS, Kim SK. Neurocognitive profiles of children with moyamoya disease before and after surgical intervention.Cerebrovasc Dis.2011; 31(3): 230-7.
17. Bao XY, Duan L, Li DS, Yang WZ, Sun WJ, Zhang ZS, et al. Clinical features, surgical treatment and long-term outcome in adult patients with Moyamoya disease in China. Cerebrovasc Dis. 2012;34(4):305-13.
18. Duan L, Bao XY, Yang WZ, Shi WC, Li DS, Zhang ZS, et al. Moyamoya disease in China: its clinical features and outcomes.Stroke.2012; 43(1): 56-60.
19. Roach ES, Golomb MR, Adams R, Biller J, Daniels S, deVeber G, et al. Management of stroke in infants and children a scientific statement from a special writing Group of the American Heart Association Stroke Council and the Council on Cardiovascular Disease in the Young.Stroke.2008; 39(9): 2644-91.
20. Liu X, Zhang D, Wang S, Zhao Y, Teo M, Wang R, et al. Clinical features and long-term outcomes of moyamoya disease: a single-center experience with 528 cases in China.J Neurosurg.2015;122(2): 392-9.
21. Kim JS. Moyamoya disease: epidemiology, clinical features, and diagnosis.J Stroke.18(1): 2-11, 2016
22. Eugenia Espinosa, Angela Ortiz, Sandra Ardila, Lisseth Cabarcas, Nury Mancilla. Síndrome y enfermedad de Moyamoya: reporte de 4 casos pediátricos.Acta Neurol Colomb2011;27:165-171.
23. Ledmar Vargas, Sergio Sánchez, Álvaro Suarez, Oscar Jiménez. Enfermedad de moyamoya: a propósito de un caso.Acta Neurol Colomb.2016; 32(4): 310-313.
Author notes
* Correspondence: Dr. Adolfo Enrique Castro Beltrán. Cartagena (Colombia). E-mail: adolfohdyes1@gmail.com