Cases presentation
Takotsubo. The great imitator of acute myocardial infarction
Takotsubo. El gran simulador del infarto agudo del miocardio
Takotsubo. The great imitator of acute myocardial infarction
Acta Medica Colombiana, vol. 44, no. 4, 2019
Asociacion Colombiana de Medicina Interna
Received: 04 March 2019
Accepted: 30 October 2019
Abstract: Takotsubo myocardiopathy, known as broken-heart syndrome due to its relationship with stressful situations, is characterized by causing symptoms which are suggestive of myocardial infarction, in the context of temporary left ventricular systolic dysfunction, with no angiographic evidence of ob structive coronary artery disease. It is much more common in older adults, predominantly in women. It is diagnosed by clinical, echocardiographic and angiographic findings. Treatment is eminently medical, generally associated with spontaneous and progressive recovery of the left ventricular systolic function. However, when the clinical presentation simulates an acute myocardial infarction in a setting where angiography is not available, there must be a clear therapeutic decision, without underestimating that a confirmed diagnosis, depending on the patient's ventricular function and/or comorbidities, may trigger cardiogenic shock and be fatal. A case of Takotsubo myocardiopathy is described, along with its management and follow-up. (Acta Med Colomb 2019; 44. DOI:https://doi.org/10.36104/aamc.2019.1314).
Key words: Takotsubo, transient apical dyskinesia, broken-heart syndrome, stress myocardi opathy.
Resumen: La miocardiopatía de Takotsubo, conocida como síndrome del corazón roto por su relación con situaciones de estrés; se caracteriza por ocasionar síntomas sugestivos de infarto de miocardio en contexto de una disfunción sistólica temporal del ventrículo izquierdo sin demostración angiográfica de enfermedad arterial coronaria obstructiva. Es mucho más común en adultos mayores predominantemente mujeres. El diagnóstico se hace mediante hallazgos clínicos, ecocardiográficos y angiográficos. El tratamiento es eminentemente médico, generalmente relacionado con la recuperación espontánea y progresiva de la función sistólica del ventrículo izquierdo; sin embargo, el escenario de su presentación clínica que simula un infarto agudo de miocardio en un ambiente sin la disponibilidad de angiografía requiere tener claro decisión terapéutica sin desestimar que confirmado el diagnostico de acuerdo al compromiso de la función ventricular y/o comorbilidades del paciente puede desencadenar shock cardiogénico y ser fatal. Se describe un caso de miocardiopatía de Takotsubo su manejo y seguimiento. (Acta Med Colomb 2019; 44. DOI:https://doi.org/10.36104/aamc.2019.1314).
Palabras clave: Takotsubo, discinesia apical transitoria, síndrome del corazón roto, miocardiopatía por estrés.
Introduction
The first report of takotsubo cardiomyopathy was de scribed in 1991 in a hospital on the coast of Japan by Sato et al. 1, who highlighted clinical cases in which patients, especially women, who were going through a stressful situation experienced transient left ventricular dysfunction. During this period, the ventricle would take the shape of a pot and then progressively return to normal. Since it was a coastal city where octopuses were caught in pots, known as "takotsubo", which have a similar form to that adopted by the affected ventricle, this disease was given that singular name 2. It was first described in Western literature in 1997 when Pavin et al. 3 wrote about two cases of reversible left ven tricular dysfunction precipitated by acute emotional stress 2. Finally, the Japanese reported on the syndrome in 2001, when Tsuchihashi et al. 4 described the first series of 88 patients in Japan, consolidating the disease as an independent entity named "transient left ventricular apical ballooning." In 2006, the American Heart Association included it in its clas sification as a primary acquired cardiomyopathy. Currently, according to the Fourth Universal Definition of Myocardial Infarction, takotsubo cardiomyopathy is conceptualized as an acute myocardial lesion secondary to high catecholamine discharges which trigger the release of troponin from the cardiomyocytes 5, associated with an acute, reversible heart failure syndrome which is increasingly recognized in modern cardiology practice 6. The clinical manifestation is very similar to that of an acute coronary syndrome, with prolonged angina at rest, electrocardiographic changes re lated to subepicardial ischemia and echocardiographic and ventriculographic images of transient apical dyskinesia in most cases; all of this secondary to a stressful event 7-8.
Stress cardiomyopathy is much more common in women than in men, and occurs predominantly in older adults, mainly postmenopausal women. The most common clinical presentations are chest pain and dyspnea, reported by 67.8 and 17.8% of patients, respectively 9.
Catecholamines play a central role in the pathogenesis and pathophysiology of this disorder, as the trigger tends to be a sudden and unexpected stressor and sympathetic activa tion signs are part of its presentation. There are two initial physiological elements which must be considered: first, the brain's cognitive centers and the hypothalamic-pituitary-adrenal axis with the amount of epinephrine and norepineph rine released in response to a given stressor; and, secondly, the response of the cardiovascular system (including the myocardium, coronary arteries and peripheral vasculature) to the catecholaminergic stimulus. Anatomically, the apical myocardium has a greater expression of beta-adrenergic receptors. Therefore, during physical or emotional stress, the increased release of catecholamines disproportionately affects this zone, causing a local, induced microvascular spasm or dysfunction resulting in apical myocardial stunning 10, or direct catecholamine-induced myocardial toxicity, causing transient apical dyskinesia with apical ballooning in 82% of patients.
Other less frequent left ventricular regional wall motion abnormalities include medial (14.6%), basal (2.2%) or focal (1.5%) ventricular dyskinesia, and circumferential akinesia or hypokinesia involving more than one coronary territory 5. These variable presentations of inverted or medial takotsubo, where dyskinesia is predominant in the basal or medial region, respectively 11, are uncommon and as sociated with patients who have histological variants with greater expression of receptors in the affected areas 12. This catecholaminergic theory of the pathophysiology of takotsubo has gained strength with the demonstration that stress cardiomyopathy can be triggered by exposure to supratherapeutic doses of catecholamines and by the standard doses of dobutamine used in routine clinical practice 13. Estrogens are thought to play a protective role, considering the disproportionately high incidence rate of the syndrome in postmenopausal women. However, gaps and questions remain, which are the object of current research 14.
The diagnosis of stress cardiomyopathy in adults is sug gested especially in postmenopausal women with an acute coronary syndrome, with symptoms such as chest pain or dyspnea together with electrocardiographic changes and/or elevated cardiac troponin, especially when the clinical mani festations and electrocardiographic abnormalities are not proportional to the degree of cardiac biomarker elevation. A physical or emotional trigger is frequently proportional but, it should be noted, is not always present 14.
The differential diagnosis is acute myocardial infarc tion, acute coronary syndrome related to cocaine abuse, multivessel coronary spasm and myocarditis. Some patients even have acute coronary syndrome concurrently with stress cardiomyopathy. In these cases, reversible abnormalities in wall movement beyond the territory supplied by the involved vessel can be seen 12.
Stress cardiomyopathy is generally a transient disorder managed with medical treatment and resolution of the physical or emotional stress, which usually results in a rapid resolution of symptoms. The acquired transient ventricular dysfunction is managed pharmacologically, as is the heart failure according to the reported ejection fraction, until systolic function is restored, which ranges from hours to up to one to four weeks in most cases.
Due to the probability of recurrence, continuous adrenergic blockade with beta blockers or alpha blockers is recom mended indefinitely, if there is no contraindication or intoler ance 15. It is important to emphasize that 10% of patients with this stress cardiomyopathy develop cardiovascular complications such as cardiogenic shock, intraventricular thrombi 16, arrhythmias and ventricular rupture which may lead to a 5% mortality secondary to takotsubo, similar to that of acute myocardial infarction without ST elevation 5. It is therefore essential to have a clear understanding of the probable complications which could develop and the preventive and therapeutic measures which should be taken. The appropriate management of cardiogenic shock in patients with takotsubo cardiomyopathy varies according to the significant left ventricular outflow tract obstruction caused by ventricular dyskinesia and should be managed in an intensive care unit with hemodynamic and/or ventilatory support, as needed, and according to the patient's exacer bated preexisting comorbidities or de novo conditions. For patients with stress cardiomyopathy with complications such as intraventricular thrombi, full anticoagulation is used for three months, which may be adjusted according to the rate of cardiac function recovery and thrombus resolution.
Clinical case
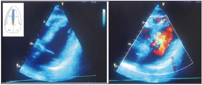
A 58-year-old female patient who only had a history of controlled arterial hypertension and depression (which was currently being treated) presented to the emergency room with a complaint of oppressive retrosternal chest pain beginning one hour before, radiating to the left arm and with an intensity of 10/10 on the analog pain scale; diapho resis; dyspnea; nausea and a feeling of impending doom. The symptoms were triggered by a stressful emotional event. She went to the emergency room where clinical assessment and paraclinical tests documented a possible acute coronary syndrome, such as acute myocardial infarc tion with ST elevation. The admission electrocardiogram showed a sinus rhythm with a normal QRS axis, elevated ST on V5-V6, and an inverted T wave on precordial V4 and V5 with signs suggestive of left ventricular overload; the remaining leads were within normal limits (Figure 1). The chest x-ray showed a slightly increased cardiac silhouette with no evidence of parenchymal infiltrates or pulmonary congestion. The complete blood count and other blood chemistry studies were within normal limits. The cardiac biomarkers showed increased troponin I at 0.283 ng/dL with a 99th percentile reference value of 0.014 ng/ dL. Thus, it was initially considered to be an acute coro nary syndrome of the acute myocardial infarction with ST elevation variety. Since the emergency room was at a quaternary level institution, the patient was transferred in under 120 minutes to the hemodynamics department and a percutaneous coronary intervention was ordered. The study showed: no obstruction of the coronary arteries or their branches, with a left ventriculography suggestive of latero-apical akinesia and ventricular ballooning with a diminished ejection fraction of 40%, suggesting takotsubo (Figure 2). An echocardiogram was performed in the cath lab recovery room which described: a normal-sized left ventricle, without wall hypertrophy, moderately decreased systolic function due to impaired contractility secondary to akinesia of the apex and the apical segments of all the walls, with an estimated ejection fraction of 35% with no evidence of thrombi or intra-chamber masses. The right ventricle had preserved systolic function and a normal valvular plane without pulmonary hypertension.


The patient's medical history on admission established the suspicion of takotsubo cardiomyopathy. However, given the risk of a critical coronary lesion, standard care measures for patients with a probable acute coronary syndrome with elevated ST were begun in the emergency room. The institution where she was seen had immediate availability of an angiography, and the percutaneous coro nary intervention showed findings suggestive of takotsubo. She was observed for 24 hours in an intensive care unit due to her frankly reduced ejection fraction (35%) and risk of secondary hemodynamic complications. She was treated with low-dose selective beta blockers, angiotensin receptor antagonists (since she had been taking these to treat her hypertension), an aldosterone antagonist diuretic, acetyl-salicylic acid, an anxiolytic and a lipid lowering medica tion. The pain disappeared when the anxiety resolved, and the patient was subsequently asymptomatic during 48 hours of follow up on the hospital floor. The patient was discharged with an order to continue the hospital treatment and have outpatient follow up and a follow up echocardiogram. Three months after the event, the patient was still asymptomatic on outpatient follow up visits and her echocardiogram showed apical contractility changes with complete recovery of mobility in this zone, an in creased ejection fraction to 60% and disappearance of the left ventricular apical systolic ballooning seen during the acute phase (Figure 3). She was given an order to continue treatment just with the beta-adrenergic blocker due to the risk of relapse in the context of a depressed patient and to continue with antihypertensive treatment, and has had no further complications or new events.

Discussion
The diagnosis of takotsubo cardiomyopathy generally requires an electrocardiogram, cardiac troponin levels, coro nary angiography and serial assessment of left ventricular systolic function (the initial assessment generally by ventriculography or echocardiography with subsequent assess ments generally by echocardiography or cardiac magnetic resonance), with the latter being recommended when the diagnosis is in doubt. However, this takes time, and one of the main differential diagnoses on admission is acute myocardial infarction, where myocardial time is of the essence. Patients with ST elevation who can undergo an emergency heart catheterization for primary percutaneous coronary intervention should proceed with the angiograhy as usual. If the patient has stress cardiomyopathy, the angiographic findings suggest the diagnosis when they do not show criti cal coronary disease and do show apical ballooning on left ventricular angiography. Then medical or other treatment may be started, as needed, individualizing it according to the patient's ejection fraction or complications. But, what do you do with patients with a high suspicion of takotsubo who meet the ST elevation criteria for reperfusion treatment, as in this case, and present in a setting without availability of emergency angiography and percutaneous coronary in tervention and without availability of immediate transfer? In these cases, to be safe, the patient should be treated with fibrinolytic therapy. A suspected stress cardiomyopathy diagnosis is not a sufficient reason to omit fibrinolytic treat ment, since most patients with acute ST elevation will have a critical coronary lesion. In this last scenario, the diagnosis of stress cardiomyopathy may be suggested later due to clinical characteristics such as lack of critical stenosis on coronary angiography, moderate cardiac enzyme elevations and recovered left ventricular function. However, none of these characteristics is diagnostic, given that they can also reflect a successful early fibrinolysis, and in these uncertain cases, cardiac magnetic resonance would be the definitive diagnostic option.
Patients who present without ST segment elevation will generally fit a "non-ST" myocardial infarction (troponin positive) profile. These patients receive anti-ischemic medi cal treatment and are referred for early heart catheterization (less than 48 hours), which will distinguish an acute coronary event from stress cardiomyopathy.
Conclusion
Takotsubo cardiomyopathy may mimic an acute myocardial infarction. It should be clear, in the event of a diagnostic suspicion without the possibility of angiography in a patient with elevated ST, that only 1% of cases are related to takotsubo, versus a 99% probability of an infarction requiring reperfusion through immediate fibrinolysis. Thus, the initial treatment should be for an acute myocardial infarction, espe cially when there is ST elevation. Although the ventricular dysfunction secondary to takotsubo recovers progressively over hours to weeks, keep in mind that, depending on the patient's preexisting comorbidities and degree of stunning or myocardial lesion, there can be a 5% mortality associated with cardiovascular complications. Therefore, each case should be individualized, beginning medical management for heart failure, along with adrenergic blockage and, if re quired due to thrombi, full anticoagulation, with treatment adjusted according to follow up. Once the acute clinical picture has resolved and the ejection fraction has recovered, adrenergic beta blocker treatment is recommended indefi nitely, due to the risk of relapse.
Acknowledgements
To the Organización Clínica General del Norte, Unidad de Hemodinamia where the patient was treated.
To Dr. Laura Fuentes Márquez, Third Year Internal Medicine Resident, Universidad Libre, for her assistance in the English translation.
To Advance Cardiology IPS SAS for their kind outpatient echocardiographic follow up of the patient.
To Dr. Lourdes Varela, Research Professor, Universidad Libre de Barranquilla; for her guidance in the research methodology
References
1. Sato H, Tateishi H, Uchida T. Takotsubo-type cardiomyopathy due to multivessel spasm. En: Kodama K, Haze K, Hon M, editors. Clinical Aspect of Myocardial Injury: From Ischemia to Heart Failure. Tokyo: Kagakuhyouronsya Co; 1990. p. 56-64
2. García E, Restrepo G, Cubides C, Múnera AG, Aristizabal D. Miocardiopatía por estrés (miocardiopatía tipo takotsubo): presentación de un caso clínico y revisión de la literatura. Revista Colombiana de Cardiología. 2006; 13: 31-8.
3. Pavin D, Le Breton H, Daubert C. Human stress cardiomyopathy mimicking acute myocardial syndrome. Heart 1997; 78: 509-511
4. Tsuchihashi K, Ueshima K, Uchida T y col. Transient Left Ventricular Apical Ballooning Without Coronary Artery Stenosis: A Novel Heart Syndrome Mimick ing Acute Myocardial Infarction. Journal of the American College of Cardiology 2001; 38:11.
5. Kristian Thygesen, Joseph S. Alpert, Allan S. Jaffe, Bernard R. Chaitman, Jeroen J. Bax, David A. Morrow, Harvey D. White and Executive Group on behalf of the Joint European Society of Cardiology (ESC)/American College of Cardiology (ACC)/American Heart Association (AHA)/World Heart Federation (WHF) Task Force for the Universal Definition of Myocardial Infarction. Fourth Universal Definition of Myocardial Infarction (2018). JACC Published online August 24, 2018; 17-18.
6. Reynolds HR, Srichai MB, Iqbal SN, Slater JN, Mancini GB, Feit F, et al. Mechanisms of myocardial infarction in women without angiographically obstruc tive coronary artery disease. Circulation. 2011; 124: 1414-25Templin C, Ghadri JR, Diekmann J, y col. Características clínicas y resultados de la miocardiopatía de Takotsubo (estrés). N Engl J Med 2015; 373: 929.
7. A Tofield, Hikaru Sato. Takotsubo cardiomyopathy, European Heart Journal, Volumen 37, Número 37, 1 de octubre de 2016.
8. Templin C, Ghadri JR, Diekmann J, y col. Clinical characteristics and results of Takotsubo cardiomyopathy. N Engl J Med 2015; 373: 929.
9. Gianni M, Dentali F, Grandi AM, Sumner G, Hiralal R, Lonn E. Apical bal looning syndrome or takotsubo cardiomyopathy: a systematic review. Eur Heart J 2006; 27: 1523-9.
10. Wittstein IS, Thiemann DR, Lima JA, y col. Neurohumoral Features of Myocardial Stunning Due to Sudden Emotional Stress. N Engl J Med 2005; 352: 539.
11. Paur H, Wright PT, Sikkel MB, y col. High Levels of Circulating Epinephrine Trigger Apical Cardiodepression in a 2-Adrenergic Receptor/Gi-Dependent Manner. Circulation 2012; 126: 697
12. Park SM, Prasad A, Rihal C, y col. Systolic and diastolic function of the left ventricle in patients with apical aerostatic balloon syndrome compared to patients with acute myocardial infarction with anterior ST-segment elevation: a functional paradox. Mayo Clin Proc 2009; 84: 514.
13. Lyon, AR, Bossone, E., Schneider, B., Sechtem, U., Citro, R., Underwood, SR, Sheppard. Current state of knowledge on Takotsubo syndrome: a position state ment from the task force on Takotsubo syndrome of the Heart Failure Association of the European Society of Cardiology. European Journal of Heart Failure (2016) 18, 8-27
14. Prasad A, Lerman A, Rihal CS. Apical ballooning syndrome (Tako-Tsubo or stress cardiomyopathy): a mimic of acute myocardial infarction. Am Heart J 2008;155: 408-17.
15. Isogai T, Matsui H, Tanaka H, y col. Early p-blocker use and in-hospital mortality in patients with Takotsubo cardiomyopathy. Heart 2016; 102: 1029.
16. Temenuska Ivanoff Siado, Linda Muñiz Lébolo. Síndrome de Tako-Tsubo: Reporte de un Caso y revisión del tema. Biociencias Universidad Libre Seccional Barranquilla 2014 ; 9: 81-88.
Notes
Author notes
* Correspondence: Dra. Giovanna Katherine Casadiego-Santiago. Barranquilla (Colombia). E.mail: giovannacasadiego@outlook.es