Images in Internal Medicine
Acquired pectus excavatum
Pectum excavatum adquirido
Acquired pectus excavatum
Acta Medica Colombiana, vol. 48, no. 2, e12, 2023
Asociacion Colombiana de Medicina Interna
Received: 03 December 2022
Accepted: 12 April 2023
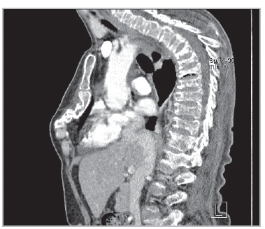
A 73-year-old woman with no relevant medical history began to experience accelerated loss of height (10 cm) over two months, with subsequent accentuated dorsal kyphosis and anterior chest deformity, which caused dyspnea and pain. On physical exam, the pectus excavatum was evident, with anterior protrusion of the distal segment, an occiput-wall distance of approximately 15 cm and a rib-pelvis distance of <1 fingerbreadth (Figure 1). The chest tomography showed multiple severe vertebral collapses with accentuated osteopenia and anterior chest deformity, due to sternal collapse, with no lytic lesions (Figure 2). The study of secondary causes confirmed an immunoglobulin G kappa myeloma.


Pathological sternal fractures are rare. In patients with multiple myeloma, they can lead to decreased quality of life due to hyperkyphotic deformity and sagittal malalignment, which increase the restriction, foster respiratory infections, cause pain and make it difficult to eat, due to the pressure exerted by the anterior ribcage on the stomach 1-2.
References
Butler JS, Malhotra K, Patel A, Sewell MD, Benton A, Kyriakou C, et al. Pathologic sternal involvement is a potential risk factor for severe sagittal plane deformity in multiple myeloma with concomitant thoracic fractures. Spine J. 2015 Dec 1;15(12):2503-8. doi: 10.1016/j.spinee.2015.09.031.
Singh A, Chandrashekhara SH, Triveni GS, Kumar P. Imaging in Sternal Tumours: A Pictorial Review. Pol J Radiol. 2017 Aug 23;82:448-456.
Author notes
*Correspondencia: Dr. Juan Sebastián Peinado-Acevedo. Medellín (Colombia). E-Mail: juan.peinado@udea.edu.co