Case presentation
Chronic granulomatous colitis due to tuberculosis
Colitis crónica granulomatosa por tuberculosis
Chronic granulomatous colitis due to tuberculosis
Acta Medica Colombiana, vol. 48, no. 3, e11, 2023
Asociacion Colombiana de Medicina Interna
Received: 13 October 2022
Accepted: 15 April 2023
Abstract
Case: a 42-year-old man with 6/10 abdominal pain in the right iliac fossa. On physical exam, there was pain on palpation in the right iliac fossa, with mild pain on deep palpation and no signs of peritoneal irritation. Laboratory tests showed no signs of local or disseminated infection, but histopathology reported chronic colitis due to Mycobacterium tuberculosis.
Discussion: intestinal tuberculosis is the sixth cause of extrapulmonary infection, most often located in the ileocecal region. Its signs and symptoms are fever, fatigue, weight loss and abdominal pain. It is treated with antitubercular medications for an average of six months, with subsequent medical improvement and endoscopic remission. (Acta Med Colomb 2022; 48. DOI:https://doi.org/10.36104/amc.2023.2676).
Keywords: Intestinal tuberculosis+ gastrointestinal diseases+ granulomatous colitis.
Resumen
Caso: hombre de 42 años de edad con cuadro de dolor abdominal en fosa iliaca derecha con intensidad 6/10. Al examen físico se encontró dolor a la palpación en fosa iliaca derecha, con dolor leve a la palpación profunda sin signos de irritación peritoneal. Los paraclínicos no mostraban signos de infección local o diseminada, pero el estudio histopatológico reportó colitis crónica por mycobacterium tuberculosis.
Discusión: la tuberculosis intestinal, es la sexta causa de infección extra pulmonar, ubicándose en la mayoría de oportunidades en la región ileocecal, las manifestaciones clínicas son fiebre, fatiga, pérdida de peso y dolor abdominal, el manejo se hace con medicamentos antituberculosis por un periodo de seis meses en promedio, con posterior mejoría médica y remisión endoscópica. (Acta Med Colomb 2022; 48. DOI:https://doi.org/10.36104/amc.2023.2676).
Palabras clave: Tuberculosis intestinal, enfermedades gastrointestinales, colitis granulomatosa.
Introduction
Tuberculosis (TB) is an infectious disease caused by My cobacterium tuberculosis which primarily affects the lungs and is one of the 10 main causes of mortality worldwide. An estimated 1.4 million people died from TB in 2019, although it is one of the curable and preventable infectious diseases 1-3. In developing countries, the incidence of TB has risen significantly, due to the growing number of patients with human immunodeficiency virus (HIV) coinfection, as well as the increased use of immunosuppressive therapy in the context of different diseases 4,5.
Intestinal tuberculosis (ITB) is one of the most frequent causes of extrapulmonary TB, with almost 90% of cases located in the ileocecal region 6. The gastrointestinal signs and symptoms vary and are vague, mimicking different types of inflammatory bowel disease (IBD), malignancies or gastrointestinal infections. Normally, the location of ITB is not well described, and therefore it is difficult to determine the incidence of the disease, as most patients with ITB are asymptomatic 5,7. The objective of this paper is to present the clinical signs and symptoms and endoscopy findings of a patient with ulcerative colitis secondary to tuberculosis and describe how we arrived at the diagnosis of this disease.
Clinical case
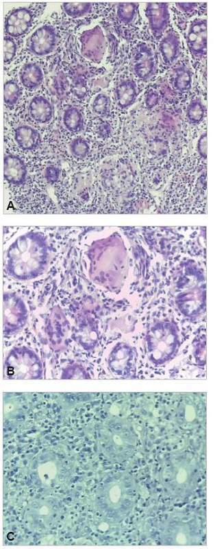
We present the case of a 42-year-old man with a three-month history of colicky abdominal pain in the right iliac fossa with a 6/10 intensity, associated with nausea, episodes of vomiting and a sensation of an intraabdominal mass. At the same time, he reported a 3 kg weight loss, and denied fever or other symptoms associated with the clinical picture. He had a history of rheumatoid arthritis since 2002, initially treated with methotrexate, prednisolone and calcium, and then for a year with etanercept. He had no history of allergies and reported a surgical history of phacoemulsification in 2010 and clavicular osteosynthesis in 2015. On physical exam, he was tachycardic (HR 104 bpm, RR 19 Bpm, T 36.8°C, O2 sat 97%, weight 55 kg, height 160 cm). He had no scleral jaundice, a moist oral mucosa, normal chest expan sion and well-ventilated lungs. The abdomen was soft and painful on palpation of the right iliac fossa, with no signs of peritoneal irritation, and no palpable masses at that time. Blood chemistries were drawn which were within normal ranges (albumin 4.2 gr, negative carcinoembryonic antigen, negative alpha-fetoprotein, creatinine 0.6 mg/dL, complete blood count: leucocytes 8,000, 60% neutrophils, Hgb 11.5 g/dL, Hct 34.5%, platelets 180,000, BUN 20 mg/dL). An abdominal ultrasound reported concentric wall thickening of the ileocecal valve; a subsequent colonoscopy showed a tumor-like lesion in the ascending colon, with the etiology to be determined by biopsy (Figure 1, A, B). Following this, the hematoxylin and eosin-stained pathology showed granulomas in the colonic mucosa, and special Ziehl Neelsen staining showed Mycobacterium tuberculosis granulomas, with a final diagnosis of active chronic granulomatous ul cerative colitis due to Mycobacterium tuberculosis (Figure 2: A, B, C).


The patient was treated for tuberculosis with isoniazid, pyrazinamide, rifampicin, and ethambutol for six months. He progressed well after this.
Discussion
Mycobacterium tuberculosis infection in the gastroin testinal tract is a rare manifestation of extrapulmonary tuberculosis, with a predilection for the ileocecal region, in an average of 44-93% of cases, as the mycobacteria have a fatty capsule that is indigestible and prevents its early release in the gastrointestinal tract, which is why this infection is uncommon in the proximal zones 7. The mycobacteria have a special affinity for lymphatic tissue, with the ileocecal valve being the most important since it contains numerous lymphatic chains. As the tuberculoma grows, the intestinal wall thickens and forms small papillary invaginations in the mucosa 5. Extrapulmonary TB occurs in 20-25% of cases, according to Ramírez et al.'s report 8, and the prevalence of ITB lies between 3 and 5%. Our patient had one of the risk factors for ITB, which was the use of anti TNF, although HIV infections, corticosteroids, malignancies, diabetes mellitus and chronic kidney failure are also described, according to Perise et al.'s findings 9. Regarding the local epidemiology, the data are unclear as far as the prevalence of the disease and the mortality of extrapulmonary TB presentations, as ITB often cannot be diagnosed promptly 7,10.
The clinical signs and symptoms are nonspecific and the time ranges from 1 to 12 months; symptoms include abdominal pain, fever and fatigue. Weight loss and nocturnal diaphoresis are important symptoms of TB; a study by Zhao et al. reported that the most common manifestations were ascites and nocturnal diaphoresis, while Makharia et al. re ported chronic diarrhea, blood in the stool, perineal disease and manifestations outside of the digestive tract 11,12.
In light of the above, the diagnosis focuses on clinical suspicion and its associated risk factors, including taking a history, diagnostic imaging and histopathology, after ruling out more frequent diseases like Crohn's disease, ulcerative colitis, and lymphoma, among others. This was done ap propriately in the reported patient, as a biopsy was taken of the ascending colon mucosa via colonoscopy 13. The treatment for ITB is the same as for pulmonary tuberculosis, with a duration of six months 13. Follow up and response to treatment tends to be confirmed with decreased symptoms after two weeks of antitubercular treatment and resolution of the lesions found on endoscopy three months after begin ning treatment 9,14.
We described a case of tuberculosis in the ascending colon, a rare clinical manifestation, which is why other types of diseases with a higher diagnostic probability were ruled out. Considering the weight loss, abdominal mass and history of immunosuppressant treatment, samples had to be taken for pathology to determine the proper medical therapy. In light of the vague symptoms and suspected ab dominal mass, with initially unclear results, he required a biopsy via colonoscopy and histopathological diagnosis of chronic colitis due to Mycobacterium tuberculosis, which improved after antitubercular treatment. This clinical case will contribute valuable information and important clinical points for daily medical practice for ITB diagnosis and treat ment, as a careful study and a proper step by step process is needed to rule out ITB.
References
https://www.who.int/es/news-room/fact-sheets/detail/tuberculosis.
Epstein D, Watermeyer G, Kirsch R. Review article: the diagnosis and man agement of Crohn's disease in populations with high-risk rates for tuberculosis. Aliment Pharmacol Ther. 2007 Jun;25(12):1373-88.
Nagi B, Kochhar R, Bhasin DK, Singh K. Colorectal tuberculosis. Eur Radiol [Internet]. 2003;13(8):1907-12. Available from: https://doi.org/10.1007/s00330-002-1409-z
Almadi MA, Ghosh S, Aljebreen AM. Differentiating intestinal tuberculo sis from Crohn's disease: a diagnostic challenge. Am J Gastroenterol. 2009 Apr;104(4):1003-12.
Choi EH, Coyle WJ. Gastrointestinal Tuberculosis. Microbiol Spectr. 2016 Dec;4(6).
Sood A, Midha V, Singh A. Differential diagnosis of Crohn's disease versus ileal tuberculosis. Curr Gastroenterol Rep. 2014 Nov;16(11):418.
Mosquera-Klinger G, Ucroz B A. Enfermedad de Crohn frente a tuberculosis intestinal: un diagnóstico diferencial desafiante. Revisión de tema. Vol. 33, Revista Colombiana de Gastroenterologia. scieloco; 2018. p. 423-30.
Ramírez-Lapausa M, Menéndez-Saldaña A, Noguerado-Asensio A. Tu berculosis extrapulmonar, una revisión. Vol. 17, Revista Española de Sanidad Penitenciaria. scieloes; 2015. p. 3-11.
Martínez Montalvo CM, Botello A, Herrera Ortega LM, Leal Bernal SF, Guer rero Becerra ME. Tuberculosis ileocecal: A propósito de un caso. Rev Colomb Gastroenterol [Internet]. 2021 Apr 21;36(Supl. 1 SE-Reporte de Casos):30-6. Available from: https://revistagastrocol.com/index.php/rcg/article/view/515
Donoghue HD, Holton J. Intestinal tuberculosis. Curr Opin Infect Dis. 2009 Oct;22(5):490-6.
Makharia GK, Srivastava S, Das P, Goswami P, Singh U, Tripathi M, et al. Clinical, endoscopic, and histological differentiations between Crohn's disease and intestinal tuberculosis. Am J Gastroenterol. 2010 Mar;105(3):642-51.
Zhao X-S, Wang Z-T, Wu Z-Y, Yin Q-H, Zhong J, Miao F, et al. Differentiation of Crohn's disease from intestinal tuberculosis by clinical and CT enterographic models. Inflamm Bowel Dis. 2014 May;20(5):916-25.
Zuluaga Quintero M. Tuberculosis intestinal: un diagnóstico para no olvidar. Reporte de un caso. Med UPB [Internet]. 15 de diciembre de 2015 [citado 3 de julio de 2021];34(2):165-70. Disponible en: Disponible en: https://revistas.upb.edu.co/index.php/medicina/article/vi.
Malikowski T, Mahmood M, Smyrk T, Raffals L, Nehra V. Tuberculosis of the gastrointestinal tract and associated viscera. J Clin Tuberc other Mycobact Dis. 2018 Aug;12:1-8.
Author notes
* Correspondencia: Dr. Carlos Hernán Calderón Franco. Bogotá, D.C. (Colombia). E-Mail: cacalderon190@gmail.com