Artículos
Evidencias de eventos extremos de precipitación y de explosiones volcánicas entre 1455-2022, a.d., en el humedal la Bramadora, Antioquia, Colombia
Evidence of extreme precipitation events and volcanic explosion between 1455-2022, a.d., in the la Bramadora wetland, Colombia
Evidencias de eventos extremos de precipitación y de explosiones volcánicas entre 1455-2022, a.d., en el humedal la Bramadora, Antioquia, Colombia
Boletín de Ciencias de la Tierra, núm. 53, pp. 7-22, 2023
Universidad Nacional de Colombia
Recepción: 28 Marzo 2023
Recibido del documento revisado: 08 Junio 2023
Aprobación: 12 Junio 2023
Resumen: La cuenca del humedal La Bramadora, localizada en el municipio de Sopetrán, Antioquia, Colombia, está sometida a un régimen de torrencialidad manifestado a través de la formación de coluvios que se acumulan en las partes bajas de las laderas y el arrastre de materiales finos que van a los cauces y lentamente al humedal hasta constituir en él una secuencia de 950 metros de capas de arcillas y limos que se intercalan con capas turbosas, microtefras y paleosuelos. La tasa de sedimentación media (1cm/año), representa un periodo de acumulación por erosión pluvial, entre 2022 y 1455 años calendario. Este registro sedimentario guarda evidencias de eventos extremos de precipitación que podrían ser correlacionados con explosiones volcánicas y/o, con cambios climáticos globales y locales ocurridos en fechas históricas. La señal de Au y S, los fragmentos de matriz de rocas volcánicas y los vidrios volcánicos están relacionados a las actividades volcánicas del Pinatubo en 1991, Quizapu en 1932, Tambora en 1815, Ruíz en 1805, Huaynaputina en 1600 y Ruíz en 1595. Otras variables geoquímicas muestran más relación con eventos de precipitación (Niña) y de sequía (Niño) registrados en Colombia, en este lapso. Los dos picos coincidentes en las curvas de S y Au, así como la persistencia en la tasa de sedimentación, fueron contundentes para definir en tiempo calendario, la estratigrafía, y precisar los eventos extremos de precipitación y escorrentía en la cuenca; el primero de S coincide con excesos en la pluviosidad global de 1816, ocasionados por la explosión del Tambora en 1815, y sus inyecciones de S a la atmósfera; el segundo, con la explosión del Huaynaputina en 1600.
Palabras clave: Clima, precipitación, sequia, erupciones, volcánicas, sedimentos, paleosuelos.
Abstract: The La Bramadora wetland basin, located in the municipality of Sopetrán, Antioquia, Colombia, is subject to a torrential regime manifested through the formation of colluvium that accumulates in the lower parts of the slopes and the dragging of fine materials that go to the riverbeds and slowly to the wetland until it constitutes a 950-meter sequence of layers of clays and silts that are interspersed with peaty layers, microtephras, and paleosols. The average sedimentation rate (1cm/year) represents a period of accumulation by pluvial erosion, between 2022 and 1455 calendar years. This sedimentary record holds evidence of extreme precipitation events that could be correlated with volcanic explosions and/or with global and local climate changes that occurred on historical dates. The Au and S signal, the volcanic rock matrix fragments and the volcanic glass are related to the volcanic activities of Pinatubo in 1991, Quizapu in 1932, Tambora in 1815, Ruíz in 1805, Huaynaputina in 1600 and Ruíz in 1595. Others Geochemical variables show more relationship with precipitation (La Niña) and drought (El Niño) events registered in Colombia, in this period. The two coincident peaks in the S and Au curves, as well as the persistence in the sedimentation rate, were conclusive to define the stratigraphy in calendar time, and to specify the extreme events of precipitation and runoff in the basin; the first of S coincides with excesses in global rainfall in 1816, caused by the Tambora explosion in 1815, and its injections of S into the atmosphere; the second, with the explosion of Huaynaputina in 1600.
Keywords: Climate, precipitation, drought, eruptions, volcanoes, sediments, paleosols.
1. Introducción
El Humedal de la Bramadora, Antioquia, guarda el registro continuo de la sedimentación de los últimos 1000 años, que permite correlacionarlo con eventos volcánicos y climatológicos. El estudio de estos fenómenos extremos de precipitación apoyado en datos climáticos es particularmente limitado, ya que las series de tiempo instrumentales existentes son cortas e incompletas, de tal manera que los métodos paleoecológicos con la resolución apropiada, anual o sub-anual cobran particular importancia. Los registros geológicos o los diversos materiales anillados tales como árboles, corales o núcleos de hielo y sedimentos con laminaciones (varvas), se han empleado con éxito para extraer información paleoclimática. En estos materiales se han desarrollado métodos especiales de datación para tratar de asignar cada anillo o lamina a una fecha aproximada y el reto presente es asignar a cada una de las láminas o anillos una fecha calendario, para lo cual se exploran variables en estos materiales que sean sensibles u ocasionadas por eventos volcánicos con fecha conocida.
Para el departamento de Antioquia existen unos pocos estudios sobre climatología histórica a diversas escalas temporales (interanual, interdecadal y ciclos seculares). Unos estudios están basados en series climatológicas instrumentales que permiten evidenciar variaciones interanuales asociadas al cambio climático de las variables precipitación, temperaturas y caudales desde 1866 (Mesa et al., 1997), y otros estudios son de núcleos de sedimentos de alta resolución en el Páramo de Frontino que han dado respuestas a cambios ecosistémicos con resoluciones decadales para los últimos 12 mil años (Monsalve, 2004: 2015; Velásquez, 2005; Jojoa, 2006; Parra, 2005; Muñoz, 2012) y Norte de la Cordillera Central (Andrade, 2013). El Humedal de la Bramadora presenta una tasa de sedimentación de 1cm/año, lo cual permite realizar estudios paleoclimáticos con una resolución interanual, al menos de los últimos mil años, llenando en parte el vacío temporal y de resolución entre los estudios previos.
El objetivo de este artículo fue verificar si en el registro sedimentario de 9.5 m, recuperado en el Humedal La Bramadora, Sopetrán, Antioquia, Colombia, y en particular en los primeros 4.5 m, se encuentran evidencias de eventos extremos de precipitación que pudieran estar relacionados con explosiones volcánicas o con cambios climáticos globales y locales ocurridos entre 1455 y 2022, años calendario. Su importancia reside en encontrar elementos que permitan comprender si estos eventos de precipitación, en particular los reflejados en los sedimentos, tienen el potencial de completar el conocimiento sobre el cambio climático, dado a la falta de documentación histórica y de series climáticas en Antioquia y en Colombia, por lo menos antes de 1886, y a partir de ello, prever lo que sería el comportamiento climático en el futuro cercano, al menos en el municipio de Sopetrán y en Antioquia. Dado que los eventos extremos de sequía o precipitación se han vuelto más frecuentes e intensos y han causado grandes pérdidas sobre los recursos naturales, el ambiente y las poblaciones, lo cual genera grandes preocupaciones a nivel local y global, ya que ponen en riesgo los suministros de agua y alimentos. Las demandas de agua para consumo humano, agropecuario e industrial son crecientes, mientras que su oferta es apenas suficiente, lo cual se agrava racionamientos durante sequías anómalas, que se prevé sean más agudas en el futuro inmediato.
Para abordar este objetivo, además de la descripción del área desde la geología y la geomorfología, se recuperaron dos núcleos de sedimentos en el Humedal La Bramadora. Uno de ellos se describió estratigráfica y pedológicamente, luego, se seccionó al centímetro y cada rodaja se cuarteó dejando un testigo, las demás muestras de cada rodaja se emplearon para los análisis de geoquímicos por XRF, el estudio de microcomponentes (inorgánicos, orgánicos, silicofósiles, coágulos y organominerales), y para la determinación de perdidas por ignición (LOI).
1.1. Explosiones volcánicas y cambio climático
En los últimos años, se ha investigado la relación entre las grandes erupciones volcánicas y sus efectos climáticos más conocidos como “Inviernos Volcánicos”. En especial se buscan aquellas variables en los registros geológicos que se puedan relacionar con estas grandes erupciones volcánicas tropicales, con Índice de Explosividad Volcánica (VEI), iguales o superiores a 5, que han afectado todo el planeta y que cargan la atmósfera de aerosoles sulfurados e impactan el clima global (Robock, 1981; Gillilandia y Schneider, 1984; Crowley, 2000; Ammann et al., 2003; Wigley et al., 2005; Wang et al., 2022).
A nivel del cambio climático, el último milenio tiene un interés particular porque se han registrado eventos tan notables como el Calentamiento Medieval (800-1300 d.C.); la Pequeña Edad de Hielo (LIA, ~1450-1850), y el Calentamiento Moderno. En 1965, el climatólogo británico Hubert H. Lamb (1995), uno de los más cualificados historiadores del clima, acuñó el concepto de Período Cálido Medieval (también llamado Anomalía Climática Medieval u Óptimo Climático Medieval) para referirse al lapso en el que el clima del hemisferio Norte experimentó un significativo calentamiento que duro desde el siglo X hasta el siglo XIV. Lamb (1995), citado por Frey (2016), indico la ocurrencia de un clima sensiblemente más cálido en el intervalo 1000-1200, que contrastó con una bajada de las temperaturas medias entre 1500 y 1700. Ambos fenómenos quedaron demostrados al cuantificar los cambios de temperatura y el régimen de precipitaciones en Inglaterra en horquillas temporales de entre 50 y 150 años, tomando como referencia los registros de los cien años anteriores a él. Así, se encontró que las temperaturas medias pudieron haber oscilado extremadamente hasta ~1,3ºC mientras las precipitaciones se incrementaron globalmente un 10%.
La Pequeña Edad de Hielo (~1450-1850, LIA) (Ruddiman, 2008; Luterbacher et al., 2001, y Viñas, 2012), consistió, en la sucesión de 150 años de inviernos largos y muy fríos y veranos cortos y frescos, entre 1550 a 1700 como los más fríos. Entre 1565 y 1665, predominaron paisajes invernales. Las posibles causas detonantes de ese frío fueron dos: 1) la actividad solar, durante 1645 y 1715 no es muy fuerte, ya que el Sol apenas produce manchas en su superficie. Este fenómeno es conocido como “Mínimo de Mounder”, el cual coincide con los años de temperaturas más bajas de toda la LIA; 2). La actividad volcánica era mucho más intensa que la actual, la cual envío a la estratosfera enormes cantidades de partículas procedentes de erupciones explosivas, como la del Tambora en 1815, o la del volcán islandés Laki, en 1783, que le permitió a Benjamín Franklin (1706-1790) establecer una relación entre los volcanes y clima.
El Calentamiento Moderno (IPCC, 2022), se ha manifestado desde 1963 hasta 1990, con un incremento de la temperatura media del planeta de 0,5°C y entre 1850-1900 de 1°C. Esto ha provocado fuertes cambios en los sistemas naturales y en las poblaciones humanas, tales como inundaciones, incendios, perdidas de cosechas y una considerable disminución en los niveles de los humedales y en los caudales de los ríos tropicales.
A los fenómenos climáticos también se les atribuye el colapso Maya en Centroamérica (Hodell, Curtis & Brenner, 1995; Leyden, Brenner & Dahlin, 1998), Tiwanaku en Bolivia (Orlove, 2005), y probablemente, también de la cultura Zenú en Colombia (Plazas et al., 1993). La civilización Maya, nacida en torno al año 2.000 a.C., alrededor de la península de Yucatán, alcanzó su máximo esplendor durante los siglos III y VIII d.C, pero la inestabilidad política llevó a qué en el siglo IX, los mayas sufrieran un auténtico colapso. Además, Evans et al, (2018) han confirmado que una dura sequía, alrededor de un milenio, sacudió a los mayas en el mismo momento en que su poder se estaba declinando. Por medio del análisis de isótopos de oxígeno en los depósitos de yeso de antiguos lagos en la península de Yucatán sugiere que fue el escenario de largos y extremos periodos de sequía. Es decir que el clima pudo tener un importante impacto económico y social sobre los mayas al golpear la producción de maíz, un cultivo que era clave para ellos.
En cuanto a la actividad volcánica, se indica que las grandes erupciones volcánicas en algunas ocasiones han generado severos inviernos o inviernos volcánicos. Inicialmente estos fenómenos se atribuyeron a la caída de grandes meteoritos, pero en 1783, Benjamín Franklin presenció la explosión del volcán islandés Laki (Lakagigar) y dedujo la relación entre la inusual niebla que cubrió Francia y la reducción de radiación solar con la erupción del volcán islandés. Pérez (2021) indica que la primera conexión científica entre las erupciones volcánicas y las variaciones en el clima de la tierra la estableció el estudio, ya clásico, de la Comisión Krakatoa, que con un cierto aire poético el informe de la comisión describía así los efectos observados a consecuencia de la erupción del volcán en 1883, así: “…atenuación y desenfoque de los objetos celestes, color azul o verde inusual del Sol y la Luna, amaneceres y atardeceres realzados con resplandores de color lavanda que aparecen por encima del horizonte, anillos solares (un halo completo alrededor del Sol) y también eclipses lunares muy oscuros…” Históricamente algunos de los volcanes que han causado tal efecto que se encuentran ubicados en el trópico son:
En 1595, el volcán Nevado del Ruíz en Colombia. Este episodio consistió en tres erupciones plinianas que llegaron a oírse a más de 100 km de la cima y una gran cantidad de ceniza fue expulsada, lo que oscureció el área circundante por tres días y no se vio el sol. Durante las otras erupciones, el volcán también expulsó lapilli y bombas volcánicas. En total, la erupción produjo 0,16 km³ de tefra. La erupción estuvo precedida por un gran terremoto, tres días antes y la erupción precursora causó lahares, que viajaron por los valles de los ríos Gualí y Lagunillas, obstruyendo el flujo de agua, matando los peces y destruyendo la vegetación, 636 personas murieron a causa del lahar.
En 1600, el volcán Huaynaputina en el Perú, presentó la mayor erupción volcánica en la historia de Suramérica, cuya columna de piroclastos fue mayor de 30 km de altura y expulsó unos 14 km3 de material volcánico que sepultó al menos diez pueblos cercanos y causó la muerte de unas 1.500 personas. Sus efectos globales llegaron hasta Canadá e incluso afectaron al clima y la agricultura de Rusia y Alemania, puesto que afectó los cultivos, produjo hambrunas entre 1601 y 1603 e impacto los bosques de Canadá. Esto hizo que las temperaturas a nivel global disminuyeron hasta dos a tres grados en algunas zonas.
En 1805, el volcán Nevado del Ruíz en Colombia. Tuvo una erupción de tipo pliniana, la cual dio origen a rápidas tortugas de gas caliente y roca denominadas flujos piroclásticos. Estas erupciones masivas a menudo generan lahares (flujos de lodo y escombros), que suponen una amenaza para la vida humana y el medio ambiente.
En 1815, el volcán Tambora en Indonesia. La erupción lanzó a la atmósfera grandes cantidades de dióxido de azufre, lo que provocó que el año 1816 fuese conocido como "el año sin verano", ya que las temperaturas promedio cayeron de 1 a 2,5°C por debajo de lo normal en toda Nueva Inglaterra y Europa Occidental. En Inglaterra, el verano fue incipiente, con la temperatura media de junio más baja registrada de 12,9°C. En Francia hacía tanto frío que la cosecha de vino fue más tardía que en cualquier otro momento. En Alemania, las cosechas fracasaron, una situación exacerbada por la guerra con Napoleón y la hambruna. La inflación de precios se generalizó; las condiciones se volvieron intolerables y se dio la gran migración desde el Norte de Europa hacia el Este hasta Rusia y hacia el Oeste hasta América.
En 1866, el volcán Galeras en Colombia. Cenizas expulsadas violentamente.
En 1883, el volcán Krakatoa en Indonesia. La mayor de las explosiones desató una energía de 350 Megatones, 23.000 veces más poderosa que la bomba atómica de Hiroshima. La onda explosiva fue percibida en un 10% del planeta, viajando hasta la isla de Madagascar y Australia (una distancia aproximada entre ambas es de 7600 km). Los tsunamis posteriores a la explosión alcanzaron los 40 m de altura y destruyeron 163 aldeas a lo largo de la costa de Java y Sumatra, matando a un total de 36.417 personas. Del faro Fourthfour Point, solo quedó la base. La ceniza de la explosión alcanzó los 80 km de altitud y viajó por la superficie del mar. Tres años después, observadores de todo el mundo describían los tenues colores que podían verse durante el crepúsculo y el alba, ocasionados por la refracción de los rayos solares en las partículas en suspensión. También se sintieron efectos adicionales significativos en todo el mundo en los días y semanas posteriores a la erupción del volcán. La explosión también creó condiciones similares a las de un invierno volcánico. Los cuatro años siguientes a la explosión fueron inusualmente fríos, y el invierno de 1888 fue la primera vez que nevó en esa parte del mundo
En 1936, el volcán Galeras en Colombia. Fue la erupción más importante de los últimos 500 años. Se sintió a más de 15 km del volcán y arrojó bloques a más de 3 km, seguidos de un flujo piroclástico que bajó por la ladera Norte.
En 1985, el volcán Nevado del Ruíz en Colombia. El volcán empezó a lanzar grandes cantidades de gases ricos en azufre, principalmente anhídrido sulfuroso. El contenido de agua de las fumarolas se redujo, y las fuentes de agua cercanas se enriquecieron en magnesio, calcio y potasio lixiviados del magma. Se produjo una erupción explosiva que desencadenó un enorme lahar que enterró la cabecera urbana de Armero lo que se conoció como la tragedia de Armero, en la que según se calcula, ocurrieron aproximadamente 25 mil muertes, por lo que se le considera como la segunda erupción volcánica más devastadora del siglo XX tras la erupción del Monte Pelee de la Isla Martinica.
En 1991, el volcán Pinatubo en Filipinas envío a la atmósfera 30 Tera gramos de sulfato, además de dióxido de azufre. Con su explosión se ocasionó una catástrofe climática diseminada. La tierra se enfrió 0.5°C durante tres años, además, se rompió el ciclo monzónico en Asia. La gran cantidad de partículas liberadas a la atmósfera frenó la radiación solar y enfrió temporalmente el planeta. Además, el nivel del mar descendió.
1.2. Localización del área
El humedal La Bramadora se ubica en las coordenadas N6°28'17.83¨ W75°47´43.15 (1141824,99 Este y 1207536,7 Norte), de la Vereda La Puerta, Municipio de Sopetrán, Antioquia, Fig. 1. La Zona de Vida del sitio es Bosque Seco Tropical (Bs-T), de acuerdo con Espinal (1992) se caracteriza por contar con promedios de temperatura superiores a 24 ºC con una precipitación total anual de entre 800 y 2.000 mm y relaciones de evapotranspiración potencial entre 0,8 y 2,0 (Consultoría Colombiana S.A., 2017). El humedal se encuentra en la parte baja de la cuenca fluvial, la cual se halla desarrollada sobre rocas sedimentarias de la Formación Amaga, Miembro Superior, en el Flanco Oeste del Sinclinal de Ahuyamal. Donde dominan, areniscas y arcillolitas de colores pardo a pardo rojizo, y espesos bancos de conglomerados con cantos redondeados, heterométricos y heterogéneos soportados por una matriz areno limosa de color pardo rojizo. Existen zonas con regolitos de alteración de pocos metros de espesor desarrollados a partir de esas rocas sedimentarias.

Geomorfológicamente, toda la cuenca está sometida a un régimen de torrencialidad y al coluviamiento de materiales finos arrastrados por arroyadas difusas en las laderas o concentrada en los cauces como los fenómenos dominantes. Este régimen, se expresa como pequeños abanicos torrenciales depositados en las desembocaduras de los cauces y láminas de sedimentos finos depositados al pie de las laderas, dando al conjunto de las partes bajas de las quebradas principales el aspecto de valles coluviales con un perfil transversal cóncavo característico. El humedal la Bramadora se ubica justo en la parte distal de este valle coluvial y recibe tanto los flujos de agua subterráneos como los superficiales intermitentes que recorren estos valles de la cuenca. La lámina de agua dentro del humedal alcanza un espesor de unos pocos centímetros y su duración varía entre horas y días, dependiendo de las precipitaciones registradas en el área, que, por lo general, son escasas pero fuertes y muy erosivas.
El valle coluvial que alberga el humedal La Bramadora se encuentra desconectado del sistema de la quebrada seca mediante un conjunto de tres terrazas torrenciales ubicadas en su extremo Sur (Fig. 1), la más alta de ellas alcanza los 20 m respecto a la llanura torrencial actual y sobre la cual se halla el caserío La Puerta. En su extremo Occidental el humedal está confinado mediante un dique en parte de concreto y el resto en tierra, pero estas estructuras son de alturas insuficientes para mantener un cuerpo de aguas libres dentro del humedal. Hoy en día, el humedal se alimenta de la red fluvial de la cuenca, de la cual recibe agua y sedimentos, pero los caudales son estacionales y deficitarios para mantener una lámina de agua permanente, de manera que gran parte del año es un humedal de suelo saturado. La materia orgánica que acumula el humedal proviene de las comunidades vegetales (Fig. 2) de las cuales se reconocen las siguientes: 1) Pantano de hierbas, especialmente de gramíneas y juncos con un substrato mineral y ausencia de plantas leñosas; 2) Pantano de helechos (Acrostichum danaeifolium) que alcanza dimensiones arbustivas; 3) Pantano de arbustos, dominado por una fabáceae, y 4) Pantano arbóreo, dominado por árboles anfibios principalmente árboles de búcaro (Erithtina fusca), trompillo (Guarea guidonia) e higuerón (Ficus sp), que presentan raíces tabulares (bambas) y gran cantidad de raíces gruesas superficiales que les ayudan a sostenerse en el suelo inestable y turboso. Es común en toda el área la presencia de plantas epifitas en los árboles como las orquídeas y las bromelias, los bejucos y los cactus trepadores.

El humedal ha sufrido diversas acciones antrópicas desfavorables, como la construcción de estanques piscícolas, la deforestación para establecer cultivos y los pastizales para la ganadería. Quebrada abajo del muro de contención, el fondo del valle se aprovecha para viviendas y cultivos. Muestras de los sedimentos actuales de las diversas comunidades vegetales del humedal fueron tomadas para su análisis mediante XRF. En el resto de la cuenca se presenta la vegetación típica de bosque seco tropical, con árboles como el Algarrobo (Hymenaea courbaril), el Annon (Annona reticulata), la Ceiba (Ceiba pentandra), el Cedro amarillo (Albizzia guachapele), el Guacimo (Guazuma ulmifolia) el Higuerón (Ficus sp), limonacho (Achatocarpus nigricans), el Piñón de oreja (Enterolobium cyclocarpum), el Cedro macho (Trichilia hirta), el Velero (Cassia spectabilis) y arbustos como el Dorancé (Senna reticulata), la Uña de Gato (Zanthoxylum fagara), el Cordoncillo (Piper sp), entre otros.
2. Métodos
2.1. Trabajo de campo
2.1.1. Extracción de los núcleos de sedimentos
En este humedal a 535 msnm y antes de realizar la recuperación de los núcleos, se hicieron cinco sondeos con un punzón, en forma radial, separados cada uno 5.0 m. El más profundo se seleccionó para la perforación, y en él se limpió un área de 3.0 m de diámetro y se fijó una plataforma metálica para la manipulación de la Sonda Rusa que extraía el material en intervalos de 50 cm exactos, sin que estos se comprimieran o se contaminaran, ella corta y cierra herméticamente antes de extraer del sedimento (Moore et al., 1991). Se recuperaron dos núcleos gemelos de sedimentos, los cuales alcanzaron el fondo a los 10 m de profundidad y fueron nombrados como N13 y N14. El segundo núcleo (N14), se tomó con un desfase en superficie de 0.25 cm con el objeto de cubrir el traslape entre este y el núcleo N13. Una vez recuperados los núcleos se realizó la descripción de la estratigrafía de campo de cada uno. A este nivel, se describieron varias capas inorgánicas y orgánicas con cambios de coloración, textura y estructura e incluso algunos segmentos dominados por fibras y abundante material vegetal. Cada vez que se extraía el intervalo de 50 cm se fotografiaba y se empacaba en tubos de PVC, se cubrían con viniplast y se guardaban en cajas de icopor con hielo seco para ser trasladados hasta el Laboratorio del GAIA-SIU-UdeA, para su descripción estratigráfica y posterior seccionamiento en rodajas de 1 cm. En este artículo solo se reportan resultados de los primeros 450 cm.
2.2. Trabajo de laboratorio
2.2.1. Extracción de las muestras del núcleo de sedimento
Todo lo que se describe a continuación se realizó sobre el núcleo N14, mientras que el núcleo N13 se preservó como testigo. Cada porción de 50 cm del N14 fue destapado y descrito estratigráficamente y de acuerdo con lo observado previamente en campo, se determinó el color, la textura, la estructura, los rasgos más sobresalientes y se efectuaron los límites de capas o de paleosuelos. Cada 50 cm se describió tanto la litoestratigrafía como la pedoestratigrafía y se realizaron los respectivos diagramas a mano alzada. Se precisaron detalles sobresalientes como la presencia de minerales macro, oxidación, alteración, olor, la presencia de animales pequeños o restos de ellos, de tallos, semillas, carbón vegetal, fibras, etc. Una vez las porciones de 50 cm estaban descritas y dibujadas con detalle, se procedió a seccionarlo al centímetro y al hacerlo se verificó la presencia de más detalles lito y pedos estratigráficos, completando así las descripciones. Cada submuestra de un centímetro fue guardada en una bolsa sello pack previamente marcada. Cada una de las muestras previamente empacadas, fueron a su vez guardadas en una bolsa sello pack más grande que contenía 50 unidades de 1 cm. Estas bolsas fueron rotuladas de la siguiente manera: de 1 a 50, de 51 a 100… y así sucesivamente hasta completar todo el núcleo de 950 cm. Estas muestras fueron preservadas y almacenadas para su posterior tratamiento en frio a menos de 6°C. De estas 950 muestras se separaron las primeras 450, que son la ventana de trabajo de este artículo, dado que dentro de este espesor se encuentran tres dataciones de un núcleo de sedimentos tomado por uno de los autores en el 2003, del cual se extrajeron tres muestras para datación radiométrica por AMS 14C, y que estaba localizado a 50 m, de los núcleos N13 y N14.
2.2.2. Preparación de muestras para el Análisis por Fluorescencia de Rayos X (XRF) y de Microcomponentes
La preparación de las muestras comprendió tomar una submuestra (1/4 del cm/muestra). Cada una de ellas se lavó con agua desionizada Tipo I, en un juego de mallas -140 y +230 µm (105 y 63 micras, respectivamente), más el fondo. De este lavado quedaron dos fracciones: La primera fracción -140+230 micras, se lavó con una mezcla de Isopropanol - amoniaco en una relación 1:1, para el análisis de microcomponentes, la cual fue conservada en un vial de 5 ml, previamente marcada y preservada en frio. La segunda fracción -230+fondo, una fracción soluble (limos, arcillas e iones libres en solución acuosa), se guardó en un envase de vidrio de 15 ml, con tapa, para su lectura en el equipo Épsilon (Instrumento XRF de mesa de altísimo desempeño para el análisis de los elementos principales, menores y en trazas pasando por la tabla periódica desde el Sodio hasta el Americio), Analizador XRF, del Grupo CIDEMAT, UdeA. En el momento del análisis por el XRF, inicialmente se realizó una curva de calibración del equipo, para lo cual se realizó cinco veces la lectura de una misma muestra, con el objeto de verificar un resultado confiable. Esta misma calibración se realizó cada 100 muestras, manteniendo la confiabilidad de las lecturas. Para cada lectura se tomó una alícuota de 1 cm3 de la fracción soluble para cada submuestra y, una a una se colocó en un dedal o porta muestra propio del equipo, luego se posicionó en el lector del Equipo Épsilon 1, se cerró la tapa y se inició su lectura. Cada muestra tomó 25 minutos al cabo de los cuales, el equipo arrojó una lectura con la geoquímica elemental, la cual se compilo en un archivo propio del programa, que luego fue trascrita a una matriz en Excel para su posterior análisis. En todos los casos se guardaron los resultados del análisis elemental para cada una de las muestras de sedimentos; en total se obtuvieron 950 registros y 20 de rocas y saprolitos. El tiempo empleado en las lecturas fue de aproximadamente 6 meses corridos, trabajando en promedio de 5 a 8 horas diarias, las que incluyen la preparación de las muestras, la lectura y el embazado de las muestras una vez leídas en el XRF para su preservación final.
Para el análisis de microcomponentes, solo se analizaron cualitativamente cinco placas antes y después de donde están ubicados los valores extremos y en aquellas profundidades dónde hubiera la sospecha de contener micro tefras. Las observaciones e identificaciones se realizaron mediante el uso de un microscopio óptico Olympus CX en aumentos de 40X y 100X que fueron fotografiadas posteriormente.
3. Resultados (Datos Abiertos)
3.1 Lito y pedoestratigrafia de los sedimentos del humedal
En los núcleos de sedimentos recuperados en el Humedal La Bramadora, los primeros 450 cm Fig. 3 son el rango de interés para este artículo, se encontró una secuencia de capas de arcillas y limos que se intercalan con capas turbosas en la parte superior, microtefras y paleosuelos. Se destaca el segmento de entre 375 y 383 cm de profundidad, donde se halló un paleosuelo muy fibroso y oxidado que marca una discordancia, muy definida en el techo, con un alto porcentaje en oro (11.626%) y de otros elementos determinados por XRF.

Una descripción general de toda la secuencia lito-pedo-estratigráfica, desde el techo hasta los 450 cm de profundidad es la siguiente: Se inicia con el suelo actual de 8 cm, los primeros 3 cm de color 7.5Y4/2, pardo y los otros 5 cm 5Y7/2 gris claro, ambos presentan abundantes fibras, es ligeramente limoso y con estructura tendiente a bloques finos y débiles, el ambiente es de pantano. A este segmento le sigue otro de 10 cm, turboso de color entre 5Y6/2 gris oliva claro y 5Y7/2 gris claro en la base, tiene una laminación muy fina de 4 mm y entre ellas se alinean minúsculos trozos de carbón, el ambiente es de pantano herbáceo en el techo y de arbóreo en la base. Entre 18 y 30 cm hay un paleosuelo de color 2.5Y3/2 pardo grisáceo muy oscuro, textura arcillo arenosa (ArA), estructura migajosa, abundante materia orgánica (MO), aún reconocibles.
Continúa una capa de turbas de 20 cm de espesor muy similar a la descrita anteriormente, pero esta contiene una microtefra de 2 cm de espesor. Las microtefras, por lo común, están caracterizadas por la presencia de fragmentos de matriz con abundantes inclusiones como agujas de minerales opacos que puden ser magnetitas o piroxenos demasiado pequeños para poder ser identificados, esquirlas de vidrio, algunos con vesículas y estructura lamelar otros con inclusiones opacas y fragmentos líticos. Se observan además hiperstena, augita y hornblenda verde o parda con menos frecuencia. Luego de esta, se encuentra un paleosuelo de 4 cm, luego unos limos de 3 cm, sin laminación, y otro paleosuelo de 25 cm que contiene una microtefra de 2 cm cerca de la base. Este paleosuelo presenta características muy similares al anterior, al que le subyace una capa de turbas de 17 cm sin laminación, de color G6/10Y, gris verdoso, típico de pantano arbóreo. Por debajo de esta, hay un paleosuelo de 45 cm de espesor, con una laminación difusa, el cual, en los primeros 8 cm es de color 2.5Y4/2 pardo grisáceo oscuro, con estructura migajosa, de textura limo arenosa (LA). En la parte media la textura se vuelve ArA, el color cambia ligeramente a 2.5Y5/1, gris verdoso y la estructura es en bloques finos. En la base, la textura es arcillosa (Ar), su color 5Y6/2 gris oliva claro y la estructura es en bloques redondeados finos. En todo el segmento se observa abundante MO, fibras gruesas en la parte superior aun reconocibles y fibras más delgadas en la parte central y la base de este. Al interior hay restos de carbón oxidados, bien conservados, más finos en el techo, medianos (1.24 cm) en el centro y de más de 3 cm en la base. A este paleosuelo le sigue una capa de arcillas de 10 cm de color G/5G6/1 gris verdosa, micro laminada. Luego sigue otro paleosuelo de 20 cm de espesor, color 2.5Y4/1 gris oscuro, con estructura en bloques subangulares (Bsa), finos, fuertes, textura ArA en el techo y en la base Ar y se vuelve 2.5Y5/1 gris, bandeado irregular, muy fino menor de 2 mm, MO altamente descompuestas y muchas fibras delgadas y oxidadas; en la parte media y en la base fragmentos de carbón de entre 2 y 10 cm.
Desde la superficie hasta los 144 cm, se registra bien el inicio del clima contrastado y estacionalmente deficitario en agua que impera hoy día en el humedal, marcado por fuerte acumulación de materia orgánica, valores altos de Azufre (S) y desarrollo de suelo, mientras que a profundidades mayores los sedimentos son más minerales y de facies más húmedas.
Debajo del paleosuelo se encuentran varias capas de arcillas, secas y ligeramente duras, con bandas de entre 2 mm y 5 cm, algunas fibras delgadas transparente y que se alternan entre “arcillas gris verdosas” con colores entre 2.5Y5/1 gris y G/5G6/1 gris verdoso, “arcillas chocolate” con tonos entre 2.5Y5/1 gris y 2.5Y4/1 gris oscuro, y “arcillas gris azulosas” con colores entre G/5G6/1 gris verdoso y G7/5G.2 gris pálido. Todas ellas demarcan un ambiente inundado de llanura fluvial y su secuencia es como sigue: 20 cm de arcillas gris verdosas en el último cm, es decir, a los 189 cm de profundidad de todo el núcleo se incrementan los porcentajes de algunos elementos y en especial un pico extremo de Au (60.822%), igualmente se observan carboncitos de hasta 1 mm alineados a la banda; le siguen 2 cm de una microtefra y luego 8 cm de la arcilla gris verdosa. Luego 16 cm de arcillas chocolate, a las que continúan una alternancia de arcillas de 100 cm de espesor que alternan entre verdosas y azulosas, con bandas finas de hasta 2 mm y gruesas de 5 cm, estas corresponderían a un ambiente estacional.
Separando este set de arcillas se encuentra un paleosuelo de 2 cm, con abundante MO oxidada, luego 8 cm de arcillas chocolate, después 40 cm de arcillas gris verdosas con fibras delgadas en el techo, carboncito milimétrico en la parte media y arena gruesa en la base, en esta parte se vuelve ligeramente 2.5Y4/1 gris oscuro. Subyaciendo esta arcilla, se encuentra una capa de arcillas chocolate de 20 cm de espesor, y en toda la base, a los 368 y 378 cm del núcleo, se registra Au (7.583 % y 11.626 %, respectivamente), en estas arcillas se observa una pedogénesis incipiente y el ambiente corresponde a una llanura de inundación. Le sigue a esta capa una de arcillas azulosas 7 cm, en cuya base se encuentra una discordancia a los 375 cm de profundidad, la cual es seguida por un paleosuelo de 8 cm, bandeado, con abundante MO altamente oxidada. A este, le sigue una capa de 17 cm de arcillas que alternan entre gris verdosas y gris azulosas muy compactas y secas, ambiente de lago. Luego, un paleosuelo de 3 cm, muy fibroso y oxidado, luego, otra capa de arcillas verdosas microbandeada (5 mm), de ambiente de pantano con hierbas; después un paleosuelo de 11 cm, arcilloso, sin estructura y con abundante MO muy alterada. Los últimos 23 cm son una arcilla verdosa con fibras delgadas en el techo, dentro de ella a los 436 y 439 cm de profundidad se detectó Au (4.881 % y 9.092 %), al igual que un incremento en los porcentajes de otros elementos.
Las curvas de Azufre (S) y Oro (Au) están mutuamente relacionadas (Fig. 3). El comportamiento porcentual promedio de S muestra una fuerte acumulación de materia orgánica y desarrollo de suelo actual, horizontes de turbas y varios paleosuelos, que evidencian sequedad estacional como se puede ver en una secuencia de altibajos, desde HB1 hasta la HB99, (0.305 %); entre HB100 y HB148 (0.675 %); entre HB149 y HB170 (0.04 %), correspondiendo con un ambiente de pantano arbóreo, su acumulación como un resultado de la pedogénesis. Entre HB171 a HB188 el valor de S promedio es de 0.154 %, en HB189, aumenta notoriamente hasta 1.989%, luego, decae entre las muestras HB190 y HB204, siendo de 0.301 %, y a partir de la muestra HB205 hasta HB450, sigue su descenso con un promedio de 0.079 %, en este último intervalo, se observaron varios puntos donde se presentó un ligero aumento respecto al promedio como fue en las muestras HB168 (0.166 %), en la HB178 (0.588 %), en la 436 (0.121 %) y en la muestra HB439 (0.269 %).
Con respecto a la curva del Au, cuando se indica su relación con el S, no es mera coincidencia, en las primeras muestras desde el techo hasta los 166 cm de profundidad donde se registran porcentajes de Au de 0.001% (HB22, 29, 47, 42, 45, 46, 63, 67, 70, 80, 117, 152, 162, 164, y 166, respectivamente); en la muestra HB189 se registra un aumento de 60.882%, al igual que en HB368 (7.583 %), en HB378 (11.626 %), en HB436 (4.881 %) y en HB439 (9.092 %), coincidiendo su presencia con escorrentía por pluviosidad, eventos Niño y Niña (desde el presente hasta el año 1822, muestra HB188), y con muy alta escorrentía a partir de la muestra HB189 hasta la HB450, marcada por eventos de precipitación relacionados con el “Mínimo Dalton”, el “LIA” y el “Mínimo Mounder”, que seguramente afectaron igualmente a Colombia.
En la Fig. 3, dentro de los eventos climáticos extremos se subrayan desde el techo a la base varios de sequía (Eventos Niño) y de precipitación (Eventos Niña). Estos últimos, de mayor frecuencia e intensidad en el siglo pasado, los cuales tienen relevancia para la formación de suelos, turbas y paleosuelos y estuvieron relacionados con eventos volcánicos, tanto en el país como en el mundo. Especialmente, los ocurridos en el trópico, tales como: entre 1991 y 1999, periodo en el cual se registró un Evento Niña en Colombia y hubo actividad volcánica principalmente en los volcanes Galeras en Colombia (1994) y Pinatubo en Filipinas (1991). El periodo entre 1973 y 1988 está enmarcado por dos eventos de la Niña, ya que ocurrió la explosión del volcán Nevado del Ruíz en Colombia (1985). A partir de 1910 hasta 1963 cuando termina el Calentamiento Global Moderno, se presentan una serie de eventos de la Niña (lluvias) y el Niño (sequias), con periodicidad media de seis años entre uno y otro y varias erupciones volcánicas que afectan el clima, entre ellas la de 1936 del volcán Galeras. Entre 1900 y 1909, se registra una larga sequía, que coincide con el “Incremento de Temperatura” en todo el planeta.
Desde 1845 hasta 1883 suceden varios eventos volcánicos como el de 1883 del Krakatoa en Indonesia; el de 1866 en Galeras y el de 1845 en el Nevado del Ruíz, durante este periodo el clima de Colombia, al menos, fue frio y lluvioso. Entre 1822 y 1825, se presenta una sequía, no continúa. En 1815, el Tambora en Indonesia, explosiona, y en 1805 lo hace el Nevado del Ruíz.
Entre 1455 y 1800, que es el año en que se tiene una excelente expresión el fenómeno climático nombrado “Mínimo Dalton”, se registran algunos eventos de importancia para el planeta, entre ellos, el de 1783, con las emisiones volcánicas de los volcanes Lakagigar y Laki; en 1720 termina la “Pequeña Edad del Hielo”, el periodo es muy lluvioso; en 1611, se registra el evento nombrado como “Mínimo Mounder”; en 1600 hace erupción el volcán Huaynaputina en el Perú; en 1595, el Nevado del Ruíz. En 1500 empieza la “Pequeña Edad del Hielo” que comienza con varios períodos fríos previos entre 1458 y 1455.
Para poder establecer una estratigrafía con una cronología calendario, fueron valiosos la alta y persistente tasa de sedimentación, y muy especialmente, dos puntos de referencia críticos (picos) marcados por las variables elementales de S y Au, leídas en el set de muestras de los 450 cm de sedimentos. El primero, corresponde con un máximo de aportes de Au y S, llevados al humedal por eventos extremos de precipitación y escorrentía locales estrechamente relacionados con excesos en la pluviosidad global en 1816, ocasionados por la explosión del volcán Tambora (Indonesia) en 1815, y sus inyecciones de S a la atmósfera. El segundo, se marca igualmente, en la curva de Au y S como valores extremos y se relacionan con la explosión del volcán Huaynaputina (Perú) en 1600.
3.2. Tasas de Sedimentación
Con base en las tres dataciones realizadas por Restrepo (2004), en el núcleo de 400 cm obtenido por Parra et al., (2003) en el Humedal La Bramadora (entre 285 a 300 cm, una edad de 280±50 BP; entre 334 a 342 cm, una edad de 390±40 BP y, entre 361 a 392 cm, una edad de 289±70 BP), se calculó la tasa de sedimentación para el humedal. Esto cual incluye por correlación los primeros 450 cm del núcleo de Florez et al., (2022), obteniendo tres tasas de sedimentación para el rango de profundidad entre HB1 y HB142, una Tasa Sed ≈ 0,81 cm/año, que corresponde a 177 años, equivalente en años calendario, entre 1845 y 2022. Para el tramo entre HB143 y HB188, la Tasa Sed ≈ 0,7 cm/año, que corresponde a 30 años, equivalente en años calendario entre 1815 y 1845, y para el tramo entre HB189 y HB450, la Tasa Sed ≈ 1.01 cm/año, que corresponde a 360 años, equivalente en años calendario entre 1455 y 1815 años calendario. Como puede verse en los 450 cm de sedimentos en el humedal, la tasa de sedimentación fue levemente variable, y muy cercana a 1 cm/año y representa un periodo de acumulación por erosión pluvial, entre 1455 y 2022 en años calendario. En la parte media, se registra la más baja tasa de sedimentación coincidiendo con la ocurrencia de varios eventos de sequía largas e intermitentes que dieron paso a la formación de paleosuelos que se intercalan con bancos de arcillas laminadas, con una marcada ciclicidad, todo ello registrado entre 1822 y 1825.
3.3. Geoquímica de los materiales de la cuenca y del humedal
Con el interés de determinar la procedencia de los aportes de iones al humedal, se determinó, por XRF, la composición porcentual de elementos en las rocas sedimentarias, sus saprolitos y del primer cm de sedimentos en las diversas partes del humedal. Los saprolitos de la arcillolita (SAP), contiene cinco horizontes de meteorización nombrados desde el piso como SAP1S1; SAP2S2, SAP3S3, SAP4S4, y SAP5S5, su composición porcentual de elementos es, en promedio, y por orden de abundancia: Si (10,82%), Fe (4.58%), Al (1.95%) y Ca (1.04%). Los conglomerados (CONG) dada la presencia y tamaño de clastos y la matriz arenosa o limosa dominante, se diferenciados en tres, CONG1C1, CONG2C2, y CONG3C3, su composición porcentual de elementos es, en promedio y por orden de abundancia, Si (12.51%), Fe (7.53%), Al (5.47%) y K (1.31%). Estos materiales también contienen otros elementos como Mg, Ti, Au, P, S, Cl, Mn, V, Cu, Cr, Zn, Ni, Rb, Sr, Zr, Sn, Eu, Yb, Re, Pb, en menor proporción Na2, Ga, As, Ir, Nd e Y (Tabla 1).

La composición geoquímica elemental en los 450 cm de sedimentos recuperados consta, básicamente, por orden de magnitud porcentual de: Si, Fe, Al, Ca, K, Mg, Ti, Au, P, S, Cl, Mn, V, Cu, Cr, Zn, Ni, Rb, Sr, Zr, Sn, Eu, Yb, Re, Pb, en menor proporción Na, Ga, As, Ir, Te, Pt, Lu, Sm, Br, Os, Ta, B, Y. En la Fig. 4, se puede ver la distribución de los nueve elementos más abundantes y que coinciden con picos que evidencian eventos de precipitación versus erosión dados en la cuenca del humedal en una temporalidad entre 2022 y 1455 años calendario.

3.4 Microcomponentes en los paleosuelos y sedimentos del humedal
Desde el techo a la base se destacan, seis zonas en las cuales dichos elementos presentan variaciones, tendencias y “cierta ciclicidad”. En la primera zona (Zona 1), entre HB1 y HB25, se diferencia bien lo que se considera el suelo actual, limos turbosos y un paleosuelo, en el techo la composición geoquímica es alta comparada con lo observado hacia la base del segmento en la que decaen casi todos, siendo bajos los valores del S, pero constantes. Hay oro en la muestra HB22. En la segunda zona (Zona 2), entre HB26 y HB71, aumentan ligeramente los contenidos de elementos, en promedio casi iguales, pero con ligeros incrementos del Si y del Fe, que tienen que ver con una microtefra de 2 cm de espesor que separa 2 paleosuelos, en este rango de muestras se encontró oro en las muestras HB22, HB29, HB41, HB42, HB45, HB46, HB63, HB67, HB70. La tercera zona (Zona 3), entre las muestras HB72 y HB167, una secuencia de paleosuelos, en cuyo techo la textura es ligeramente arenosa y con turbas. Este comparado con las dos zonas anteriores los contenidos de elementos aumentan notoriamente y se presenta una seudo ciclicidad en ellos, se destaca el aumento de S y la disminución de todos ellos al final de esta, en este rango hay oro en las muestras HB80, HB117, HB152, HB162, HB164, HB166. La cuarta zona (Zona 4), entre HB168 y HB215, caracterizada por arcillas laminadas y cíclicas, en la muestra HB189, se registra un aumento de S (1.989 %) y Au (60.882 %) que coinciden, además, con incrementos en Si (19.285 %), Al (7.932 %), P (0.668 %), Zn (0.233 %).
La quinta zona (Zona 5), arcillosa y cíclica entre las muestras HB216 y HB265, casi todos los elementos aumentan y se mantiene constante y de bajos valores el contenido de S. La sexta zona (Zona 6) entre las muestras HB266 y HB450, arcillosa, laminada y cíclica, la mayoría de los elementos se incrementan y son relativamente constantes, aunque aumentan notoriamente en el intervalo HB368, los elementos de S (0.166 %) y Au (7.583 %) que coinciden además, con incrementos en Na (8.680 %), Si (31.796 %), Al (8.117 %), Mg (1.553 %), P (0.361%), K (1.895 %), Ca (14.786 %), Ti (1.707 %), Fe (22.862 %), Zn (0.051 %), y Sr (0.051 %); en el intervalo HB378, los elementos de S (0.588 %) y Au (11.626 %) que coinciden además, con incrementos en Na (17.968 %), Si (31.612 %), Al (8.679 %), P (0.434 %), K (1.734 %), Ca (7.721 %), Ti, (1.095 %), Fe (17.058 %), Zn (0.068%), y Sr (0.051%); en el intervalo HB436 los elementos de S (0.121%) y Au (4.881%) que coinciden además, con incrementos en Si (35.005%), Al (9.288 %), Mg (1.861 %), P (0.447 %), K (1.874 %), Ca (14.717 %), Ti, (1.901 %), Fe (29.139%), Mg (0.653%), Zn (0.059 %), y Sr (0.058 %); en el intervalos HB439 los elementos de S (0.269 %) y Au (9.092 %) que coinciden además, con incrementos en Si (35.298 %), Al (9.740 %), Mg (2.178 %), P (0.416 %), K (2.076 %), Ca (13.612 %), Ti, (1.892 %), Fe3 (22.862 %) y Zn (0.066 %).
Al relacionar las dos curvas de S y Au, se puede inferir que, en la parte superior del núcleo el S (de origen posiblemente pedogenético) está muy relacionado con la formación de suelos y paleosuelos y la presencia de turbas, lo cual estaría indicando no solo un fortalecimiento del contraste estacional sino la presencia de S como producto de la mayor presencia de materia orgánica, es decir, un S pedogenético.
En cuanto a la curva de Au, los valores encontrados en esta zona son alrededor de 0.001 %, estarían indicando erosión hídrica (procesos laminares), relativamente baja. Estas dos situaciones cambian ostensiblemente en los tramos inferiores en donde aumentan notablemente los porcentajes elementales de Si, Fe, Al, Ca, K, Mg, Ti, Au, y S, lo cual, estaría corroborando la presencia de una mayor erosión hídrica, muy alta lo que podría interpretarse como “eventos extremos de precipitación y sequia alternos y cíclicos, con erosión, sedimentación y pequeños momentos de mejoramiento climático que permitieron la formación de paleosuelos”.
En los 450 cm estudiados se revisaron de modo cualitativo los puntos que presentaron coincidencias en cuanto a valores altos porcentuales de Si, Fe, Al, Ca, K, Mg, Ti, Au, y S, que coincidían en algunos casos, con episodios volcánicos tanto globales como locales que quedaron reflejados en el sedimento. De todos estos puntos se revisó la muestra y las otras seis aledañas, tres hacia arriba y tres hacia abajo, tales como: HB22, HB29, HB41, HB42, HB45, HB46, HB63, HB67, HB70, HB72, HB167, HB80, HB117, HB152, HB162, HB164, HB166, HB168, HB189, HB215, HB216, HB265, HB266, HB368, HB378, HB436 y HB439.
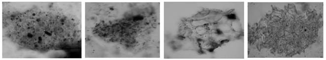
Las muestras entre HB22 a la HB168, fueron esencialmente orgánicas y el material mineral de escaso tamaño estaba ligado a lo orgánico. La materia orgánica (Fig. 5a), parcialmente descompuesta, reconocible y dominante en semillas, raíces, frutos, grumos; tejidos vegetales, animales y fúngicos; esporas, polén, tecamebas y algunas diatomeas, especialmente de los géneros Eunotia y Pinularia. Se observaron fitolitos y almidones.

Los minerales (Fig. 5b), más frecuentes fueron las magnetitas; en algunas muestras los feldespatos y las plagioclasas, y en otras, los piroxenos y anfiboles, principalmente. En las muestras HB25 (explosión V. Pinatubo en 1991), HB27, HB31, HB35, HB77-HB78, (explosión del V. Quizapu en 1932), HB188-HB189 (explosión del V. Tambora en 1815), tal vez relacionados con las muestras HB190, HB191 y HB192; HB199 (explosión del V.N Ruíz en 1805), HB373 (explosión del Huaynaputina en 1600), HB377 (explosión del V. N. del Ruíz en 1595), se observaron fragmentos de matriz con abundantes inclusiones de magnetita, fragmentos líticos y vidrios volcánicos, estos últimos de diferentes tipos, algunos fluidales, vesiculares y/o con un ligero tinte rosa o ámbar, lo que indicaría diversas procedencias del material volcánico, así como su acompañamiento por magnetita, hiperstenas, hornblenda parda, clinoaugita y ortoclasa (Fig. 5c).


4. Discusión
Inicialmente, Benjamín Franklin relacionó las erupciones volcánicas con el clima y, desde entonces, varios investigadores lo han atestiguado. Principalmente, con aquellos volcanes con VEI superior a 5 haciendo especial énfasis en las emisiones gaseosas que cargan la atmósfera con ácido nítrico, ácido sulfúrico y dióxido de carbono, entre otros, para explicar incrementos o decrecimientos de temperatura. En tal sentido, Picas y Grab (2020) indican que aunque puede haber respuestas a las variaciones de temperatura en diversas escalas temporales, esas son complejas y extremadamente variables según la magnitud, la localidad y el momento de la erupción e indican que “…la escala más fina de investigación es esencial aquí, ya que la señal volcánica puede perderse en investigaciones a gran escala donde los resultados mensuales opuestos a los estacionales pueden enmascararse entre sí…”
Fig. 5. Algunos de los fragmentos orgánicos vegetales y animales, tecamebas, diatomeas; minerales volcánicos; fragmentos líticos, fragmentos de matriz y vidrios volcánicos, hallados en algunos de los segmentos de sedimentos donde se indicó la presencia de microtefras.
En esta investigación se ha podido corroborar la existencia de microtefras en los sedimentos del Humedal La Bramadora y, por lo menos, hasta ahora, dos señales, la del S y la del Au, que se acoplan perfectamente a eventos extremos de pluviosidad. Para el Au, por erosión hídrica proveniente, probablemente, de los conglomerados cuarzosos del Terciario Carbonífero, Miembro Superior y para el S, por lluvia acida cargada de partículas de SO3 y H2SO4 (óxidos e hidróxido de azufre) contenido en la atmosfera que pudieran provenir de explosiones volcánicas (p.e., en 1595, Nevado del Ruíz en Colombia; en 1600, Huaynaputina en el Perú; en 1815, el Tambora en Indonesia. Otros eventos como el “Mínimo Mounder”, el “Mínimo Dalton”, la “Pequeña Edad del Hielo” o, el “Calentamiento Moderno”, quedan igualmente en evidencia en estos sedimentos, a través de la señal de algunos elementos leídos por XRF y por el análisis de microcomponentes a escala del centímetro, es decir, estudios paleoecológicos de alta resolución cuya ventaja es que aquí no opera la simulación, secuencias de “eventos Niño” y “Eventos Niña”, se pueden seguir solo utilizando la geoquímica, ya que ello permite visualizar con certeza la cantidad de iones que son liberados o no, por erosión pluvial presentada en la cuenca, desde el año 1455.
Se resalta el papel de la geoquímica como variable contundente en el registro de eventos extremos de precipitación y sequia alternos y cíclicos, relacionados con erosión, sedimentación y pequeños momentos de mejoramiento climático que permitieron la formación de paleosuelos, dichos eventos quedaron impresos en los sedimentos y pudieron ser observados a través de los altos porcentajes elementales de Si, Fe, Al, Ca, K, Mg, Ti, Au, y S, principalmente.
5. Conclusiones
La cuenca del humedal La Bramadora, se halla en su totalidad desarrollada sobre rocas sedimentarias de la Formación Amaga, Miembro Superior, en el Flanco Oeste del Sinclinal de Ahuyamal. Geomorfológicamente, toda la cuenca está sometida a un régimen pluvial de torrencialidad y al coluviamiento de materiales finos arrastrados por arroyadas difusas en las laderas o concentrada en los cauces como los fenómenos dominantes, el humedal se ubica justo en la parte distal de este valle coluvial y recibe tanto los flujos de agua subterráneos como los superficiales intermitentes que recorren estos valles. La lámina de agua dentro del humedal alcanza un espesor de unos pocos decímetros y su duración varía entre horas y días, dependiendo de las precipitaciones registradas en el área, que, por lo general, son escasas pero fuertes y muy erosivas.
En los primeros 450 cm de sedimentos del humedal, se encontró una secuencia de capas de arcillas y limos que se intercalan con capas turbosas en la parte superior, microtefras y paleosuelos; se destaca el segmento entre 375 y 383 cm de profundidad, donde se halló un paleosuelo muy fibroso y oxidado que marca una discordancia, muy definida en el techo, con un alto porcentaje en oro (11.626%), principalmente. Alternando con los paleosuelos se encuentran varias capas de arcillas, secas y ligeramente duras, con bandas de entre 2 mm y 5 cm, algunas fibras delgadas transparente y que se alternan entre “arcillas gris verdosas”, “arcillas chocolate” y “arcillas gris azulosas” que demarcan un ambiente inundado de llanura pluvial.
La composición geoquímica elemental porcentual determinada por XRF, en los 450 cm de sedimentos recupera-dos consta, básicamente, por orden de magnitud, de: Si, Fe, Al, Ca, K, Mg, Ti, Au, P, S, Cl, Mn, V, Cu, Cr, Zn, Ni, Rb, Sr, Zr, Sn, Eu, Yb, Re, Pb, en menor proporción Na, Ga, As, Ir, Te, Pt, Lu, Sm, Br, Os, Ta, B y Y. En algunos de estos elementos coinciden sus picos evidenciando eventos de precipitación versus erosión dados en la cuenca del humedal en una temporalidad entre 2022 y 1455 años calendario. La tasa de sedimentación levemente variable, y muy cercana a 1 cm/año, representa un periodo de acumulación por erosión pluvial, entre 2022 y 1455, años calendario. En la parte media, se registra la más baja tasa (0.7 cm/año), coincidiendo con la ocurrencia de varios eventos de sequía largas e intermitentes que dieron paso a la formación de paleosuelos que se intercalan con bancos de arcillas laminadas, cíclicas sedimentadas entre 1822 y 1825.
En este registro sedimentario existen evidencias de eventos extremos de precipitación que pueden estar relaciona-dos con explosiones volcánicas y/o, con cambios climáticos globales y locales ocurridos entre 1455 y 2022, años calendario. La presencia de Au y S y de fragmentos de matriz, fragmentos líticos y vidrios volcánicos, así como hiperstenas, hornblendas pardas, ortoclasas, clinoaugitas y magnetitas, que pudieran provenir de la actividad volcánica del Pinatubo en 1991, Quizapu en 1932, Tambora en 1815, Ruíz en 1805, Huaynaputina en 1600 y Ruíz en 1595, principalmente. De igual manera se relacionan con eventos de precipitación (Niña) y sequia (Niño) registrados en el país.
Para definir la estratigrafía con una cronología calendario, fueron valiosos la alta y persistente tasa de sedimentación, la geoquímica y muy especialmente, dos picos de referencia críticos marcados en las curvas de las variables S y Au. El primero, corresponde con un máximo de aportes de Au y S, llevados al humedal por eventos extremos de precipitación y escorrentía locales estrechamente relacionados con excesos en la pluviosidad global en 1816, ocasio-nados por la explosión del volcán Tambora (Indonesia) en 1815, y sus inyecciones de S a la atmósfera. El segundo, se relacionan con la explosión del volcán Huaynaputina (Perú) en 1600.
Reconocimientos
A los profesores Gonzalo Abril Ramírez y Carlos Albeiro Monsalve, de la Universidad Nacional de Colombia, Sede Medellín, por su valiosa e invaluable apoyo en la perforación y extracción de los dos núcleos de sedimentos, no solo con el aporte de la Sonda Rusa sino con su trabajo material; del mismo modo a los auxiliares de campo, Jesús Arango Marín, Héctor Armando Cataño; a los habitantes de la Vereda La Puerta del municipio de Sopetrán. A mi Alma Mater, Universidad de Antioquia, a La Facultad de Ingeniería, al Grupo GAIA, a Ana Eugenia Restrepo Jiménez, Coordinadora de Proyectos de Investigación SIU-UdeA, y a Luna, por su apoyo y acompañamiento sin límites. ¡A todos mil gracias!
Referencias
Adams, J.B., Mann, M. y Ammann, C., (2003). Evidencia indirecta de una respuesta similar a la de El Niño al forzamiento volcánico. Naturaleza 426(6964), pp. 274-278. DOI: https://doi.org/10.1038/nature02101.
Aemet, Meteo Navarra., (2022). Clasificación climática de Köppen. [En línea]. [Recuperado el 07 de junio de 2022]. Disponible en: Disponible en: http://meteo.navarra.es/definiciones/koppen.cfm.
Ammann, C., Meehl, G., Washington, W., and Zender, C., (2003). A monthly and latitudinally varying volcanic forcing dataset in simulations of 20th century climate. Vol 30. Geophysical Research Letters - Geophys Res Lett. DOI: https://doi.org/10.1029/2003g1016875.
Andrade-Castañeda, H.J., et al., (2013). Estrategias de adaptación al cambio climático en sistemas de producción agrícola y forestal en el departamento del Tolima. Ibagué, Colombia: Universidad del Tolima. [en línea]. Disponible en: https://revistas.uniminuto.edu/index.php/Pers/article/download/1706/1616
Bradley, R., (2000). 1000 years of climate change. Science, 288(5470), pp. 1353-1355. DOI: https://doi.org/10.1126/ciencia.288.5470.1353
Britannica, The Editors of Encyclopedia (2020). Weather. Encyclopedia Britannica. [online]. Available at: https://www.britannica.com/science/weather
Cuevas, E., Milford, C., Bustos, J.J.R., García, O.E., García, R.D., Gómez-Peláez, A.J., Guirado-Fuentes, C., Marrero, C., Prats, N., Ramos, R., Redondas, A., Reyes, E., Rivas-Soriano, P.P., Rodríguez, S., Romero-Campos, P.M., Torres, C.J., Schneider, M., Yela, M., Belmonte, J., Sosa, E., (2019). Izaña Atmospheric Research Center Activity Report 2017-2018. In: Cuevas, E. , Milford, C. , and Tarasova, O., Eds., State Meteorological Agency (AEMET), Madrid, Spain and World Meteorological Organization, Geneva, Switzerland, WMO/GAW Report No. 247. [online]. Available at: https://izana.aemet.es/wp-content/docs/Izana_Report_2017_2018.pdf
Cole-Dai, J., (2010). Volcanoes and climate. Wiley Interdisciplinary Reviews: Climate Change. 1, pp. 824-839. DOI: https://doi.org/10.1002/wcc.76
Crowley, T.J., (2000). Causes of climate change over the past 1000 years. En: Science 289(5477), pp. 270-277. DOI: https://doi.org/10.1126/science.289.5477.270
Espinal, L.S., (1992) Geografía ecológica de Antioquia. Zonas de vida. Editorial Lealón, Medellín. Universidad Nacional de Colombia, Facultades de Ciencias y Ciencias Agropecuarias. 146 P. Red Scielo. [en línea]. Disponible en: http://www.scielo.co/scielo.php?script=sci_nlinks&ref=000127&pid=S0123-3068200700010001100008&lng=es
Espinosa B.A., (2001). Erupciones históricas de los volcanes colombianos (1500-1995). Academia Colombiana de Ciencias Exactas, Físicas y Naturales. Colección Jorge Álvarez Lleras No. 16. Edición cofinanciada por la Universidad del Quindío. ISBN: 958-9205-19-4 Obra completa. ISBN: 958-9205-43-7, Bogotá, D.C., Colombia.
Frey-Sánchez, A.V., (2017). ¿Qué puede aportar el clima a la historia? El ejemplo del periodo cálido medieval en el Magreb almorávide y almohade. El Futuro del Pasado, 8, pp. 221-266. DOI: https://doi.org/10.14516/fdp.2016.008.001.008
Florez, M.T., (2000). Génesis de suelos y paleosuelos Ándicos a partir del estudio de pedocomponentes. Tesis de Maestría. Universidad Nacional de Colombia. 190 P. [en línea]. Disponible en: https://revistas.unal.edu.co/index.php/acta_agronomica/article/view/87/193
Gillilandia y Schneider, (1984). Efectos Climáticos de las erupciones volcánicas. [en línea]. Disponible en: https://www.divulgameteo.es/uploads/Efectos-clim%C3%A1ticos-volcanes.pdf
Harvey, P.J. y Grab, S.W., (2022). Respuestas de temperatura continental del hemisferio sur a grandes erupciones volcánicas desde 1883 en modelos CMIP5. Theor Appl Climatol. 147, pp. 143-157. DOI: https://doi.org/10.1007/s00704-021-03810-x.
Guzman, G., Ruíz, J.F., y Cadena, M., (2014). Regionalización de Colombia según la estacionalidad climática en Colombia. IDEAM. Grupo de Modelamiento de Tiempo, Clima y Escenarios de Cambio Climático. Subdirección de Meteorología - IDEAM. [en línea]. Disponible en: http://www.ideam.gov.co/documents/21021/21789/Variabilidad+Climatica+Trimestral+Precipitacion+%28Ruiz%2C+Guzman%2C+Arango%2C+Dorado%29.pdf/eec9752d-05ac-43f5-913c-4a3c7adc7860
Hodell, D., Curtis, J. y Brenner, M., (1995). Posible papel del clima en el colapso de la civilización maya clásica. Naturaleza 375, pp. 391-394. DOI: https://doi.org/10.1038/375391a0
Instituto Geográfico Nacional (IGN), (2022). Noticias e informe mensual de vigilancia volcánica. [en línea]. [Recuperado: 28 de mayo de 2022]. Disponible en: Disponible en: https://www.ign.es/web/resources/volcanologia/html/CA_noticias_2021.html#20210918
Instituto de Hidrología, Meteorología y Estudios Ambientales (IDEAM), et al., 2017. Análisis de vulnerabilidad y riesgo por cambio climático en Colombia. Tercera Comunicación Nacional de Cambio Climático. Ideam, PNUD, MADS, DNP, Cancillería, FMAM. Bogotá, DC., Colombia. [en línea]. Disponible en: http://documentacion.ideam.gov.co/openbiblio/bvirtual/023732/RESUMEN_EJECUTIVO_TCNCC_COLOMBIA.pdf
Intergovernmental Panel on Climate Change (IPCC), (2014). AR5 Synthesis report: climate change 2014. [online]. Available at: https://archive.ipcc.ch/pdf/assessment-report/ar5/syr/AR5_SYR_FINAL_All_Topics.pdf
Intergovernmental Panel on Climate Change (IPCC), (2018). Impactos, adaptación y vulnerabilidad. [en línea]. Disponible en: https://www.ipcc.ch/report/sixth-assessment-report-working-group-ii/
Jojoa, A., (2006). Dinámica lacustre y paleo precipitación en el Páramo de Berlín - Macizo de Santurbán (Colombia), durante el Tardiglacial y Holoceno. [en línea]. Disponible en: https://investigacionyextension.medellin.unal.edu.co/buscador/resumen.php?Cod_Investigacion=1453
Lamb, H.H. (1965). The early Medieval warm epoch and its sequel. Palaeogeography, Palaeoclimatology, Palaeoecology, 1, pp. 13-37.
Mayorga, R., Hurtado, G. y Benavides, H., (2011). Evidencias de cambio climático en Colombia con base en información estadística, IDEAM, nota técnica, 48 P. [en línea]. Disponible en: http://www.ideam.gov.co/documents/21021/21138/Evidencias+de+Cambio+Clim%C3%A1tico+en+Colombia+con+base+en+informaci%C3%B3n+estad%C3%ADstica.pdf/1170efb4-65f7-4a12-8903-b3614351423f
Mesa, O.J., Poveda, G. y Carvajal L.F. (1997). Introducción al clima de Colombia. Universidad Nacional de Colombia. Bogotá D.C., Colombia, 390 P.
Monsalve, C., (2004). Palinología del Holoceno superior en la laguna Puente Largo, Páramo de Frontino, Antioquia, Cordillera Occidental colombiana: Tesis de Maestría, Universidad Nacional de Colombia, Medellín.
Monsalve, C.A., (2015). Cambio climático durante el Glaciar Tardío en el Noroeste de Colombia, basado en Palinología y Microfluorescencia-X, Dr. Tesis Terre & Environment 134, Sección de Ciencias Ambientales y de la Tierra, Universidad de Ginebra, Geneva, Suiza, 149 P. Acceso electrónico. [en línea]. Disponible en: http://archive-ouverte.unige.ch/unige:81059
Muñoz, P.A., (2013). Climatic change during the Late Glacial in the Northwestern Part of Colombia, based on Palynology and Microfluorescence-X PhD. Thesis Terre & Environment 134, Earth and Environmental Science Section, University of Geneva (2015). 149 pp. [en línea]. Disponible en: http://archive-ouverte.unige.ch/unige:81059
Leyden, B., Brenner, M., Hodell, D., and Curtis, J., (1994). Orbital and internal forcing of climate on the Yucatan Peninsula for the past 36 ka. Paleoclimatology Paleogeography Paleoecology 109, pp. 193-210. [online]. Available at: https://www.researchgate.net/profile/Gerald-Islebe/publication/287949229_La_vegetacion_de_Guatemala_durante_el_Pleistoceno_Terminal_y_Holoceno/links/58333aca08ae102f07368052/La-vegetacion-de-Guatemala-durante-el-Pleistoceno-Terminal-y-Holoceno.pdf
Luterbacher, J. et al., (2016). European summer temperatures since Roman times. Environmental Research Letters, 11(2), art. 024001. DOI: https://doi.org/10.1088/1748-9326/11/2/024001
Luterbacher, J, Dietrich, D, Xoplaki, E, Grosjean, M., and Wanner, H., (2004). European seasonal and annual temperature variability, trends, and extremes since 1500 Science 303 pp. 1499-1503. [online]. Available at: https://www.academia.edu/22973165/European_summer_temperatures_since_Roman_times.
Osorio, A.C., (2016). Dinámica del clima y la vegetación de los últimos 200 años del Holoceno en el humedal La Bramadora (Antioquia-Colombia). Tesis MSc. Escuela de Geociencias, Facultad de Ciencias, Universidad Nacional de Colombia, sede Medellín, Colombia, 59 P. [en línea]. Disponible en: https://repository.eia.edu.co/bitstream/handle/11190/2199/VelasquezDaniela_2018_ImpactoPotencialCambio.pdf?sequence=1&isAllowed=y
Orlove, B., (2005). Human adaptation to climate change: a review of three historical cases and some general perspectives. Environment Science & Policy, 8(6), pp. 589-600. DOI: https://doi.org/10.1016/j.envsci.2005.06.009
Parra, L.N. y Flórez M.T. , (2002). Propuesta de clasificación morfológica para los fitolitos alto andinos colombianos Colombia, Crónica Forestal y del Medio Ambiente (16), pp 35-57. [en línea]. Disponible en: https://www.researchgate.net/publication/237022912_Propuesta_de_clasificacion_morfologica_para_los_fitolitos_altoandinos_colombianos
Parra, L.N., Monsalve, C., Velásquez, C., Cano, F., Restrepo, A. y Castaño, A., (2003). Extracción del núcleo con Sonda Rusa y descripción de la estratigrafía en campo. Universidad Nacional de Colombia, Escuela de Geociencias.
Parra, L.N., (2005). Análisis facial de alta resolución de sedimentos del Holoceno Tardío en el Páramo de Frontino, Antioquia. PhD Tesis. Instituto de Ciencias Naturales. Universidad Nacional de Colombia. Bogotá. 215 P. [en línea]. Disponible en: http://www.bdigital.unal.edu.co/10719/
Picas, J. y Grab, S., (2020). Impactos potenciales de las principales erupciones volcánicas del siglo XIX sobre la temperatura en Ciudad del Cabo, Sudáfrica: 1834-1899. Cambio Climático 159, pp. 523-544 DOI: https://doi.org/10.1007/s10584-020-02678-6
Plazas, C., Falchetti, A.M., Sáenz, J. y Archila, S., (1993). La Sociedad Hidráulica Zenú. Estudió arqueológico de 2000 años de historia en las llanuras del Caribe Colombia Bogotá: Banco de la República, Museo del Oro. [en línea]. Disponible en: https://www.academia.edu/41133439/LA_SOCIEDAD_HIDR%C3%81ULICA_ZEN%C3%9A
Poveda, G., (2004). La hidroclimatología de Colombia: una síntesis desde la escala interdecadal hasta la escala diurna. Rev. Academia Colombiana de Ciencias Exactas Físicas y Naturales, 28(107), pp. 201-222. [en línea]. Disponible en: https://www.researchgate.net/publication/233860161_La_Hidroclimatologia_de_Colombia_Una_sintesis_desde_la_escala_interdecadal_hasta_la_escala_diurna_Colombia's_hydroclimatology_A_synthesis_from_interdecadal_to_diurnal_timescales.
Restrepo-Correa, A., (2004). Estudio de reconstrucción de la historia de la flora del Bosque Seco Tropical en el Occidente medio de Antioquia, con base en el análisis e identificación del polen fósil depositado en sedimentos de la Cuenca de Santa Fe de Antioquia. Programa Biodiversidad para el Desarrollo. Proyecto Manejo y Conservación de Flora. Contrato No. 5018 de 2003. [en línea]. Disponible en: https://repositorio.unal.edu.co/bitstream/handle/unal/58755/Din%C3%A1mica%20del%20clima%20y%20.Version%205.pdf?sequence=1&isAllowed=y
Robock, A., (1981). The Mount St. Helens volcanic eruption of May 18th of 1980: Minimal climatic effect, Science, 212, pp. 1383-1384. [online]. Available at: https://www.science.org/doi/10.1126/science.212.4501.1383
Ruddiman, W.F., (2008). Los tres jinetes del cambio climático. Una historia milenaria del hombre y el clima.
Turner. Madrid (2008). Traducción: Teresa Sans Morales. 292 P. [en línea]. Disponible en: https://www.amazon.com/William-F-Ruddiman-Earths-Climate/dp/B008UBS9CM
Velásquez, C.A., (2005). Paleoecología de alta resolución del Holoceno Tardio en el Páramo de Frontino, Antioquia, Colombia, Quat. Colombia, 30. 199 P. [en línea]. Disponible en: http://www.bdigital.unal.edu.co/12363/
Viñas-Rubio, J.M., (2012). Contribuciones recientes y propuestas de estudio para la España de los siglos XVI al XIX, Ponencia presentada en el IX Seminario Historia y Clima: Clima, Naturaleza, riesgo y desastre. celebrado en la Universidad de Alicante entre los días 7 y 9 de mayo de 2012. [en línea]. Disponible en: https://www.divulgameteo.es/uploads/Clima-Tierra-historia-JMV.pdf
Wang et al., (2022). Volcanes tropicales. [en línea]. Disponible en: https://scg.org.co/xvii-ccg/img/ISSAG-XVIICCG_Memorias.pdf
How to cite this article:
6. Datos suplementarios
Declaración de Conflicto de interés
Notas
Notas de autor
* maria.florez@udea.edu.co, andres.calderon@udea.edu.co