Resumen: Ante la aparición de masas pulmonares en una prueba de imagen se plantea el diagnóstico diferencial entre diversas entidades, incluyendo patología neoplásica o infecciones como la hidatidosis. La coordinación entre los distintos niveles asistenciales permite un manejo más eficiente de la situación clínica.
Palabras clave:Enfermedades PulmonaresEnfermedades Pulmonares,EquinococosisEquinococosis,Organización y AdministraciónOrganización y Administración.
Abstract: Given the occurrence of lung masses in an imaging test, the differential diagnosis of various entities is considered, including neoplastic pathology or infections such as hydatidosis. Coordination among different healthcare levels allows a more efficient management of the clinical situation.
Keywords: Lung Diseases, Echinococcosis, Organization and Administration.
Lesiones quísticas pulmonares. Coordinación entre niveles asistenciales
Lung cystic lesions. Coordination among healthcare levels
Recepción: 09 Noviembre 2015
Aprobación: 07 Enero 2016
La hidatidosis pulmonar es una zoonosis producida por parásitos del género Echinococcus. Su ciclo vital incluye cánidos, herbívoros (fundamentalmente ganado ovino) y ocasionalmente humanos. Tiene una distribución mundial, afectando fundamentalmente a zonas templadas1. Está en relación con condiciones sociosanitarias deficientes, ya que medidas de prevención como evitar que los cánidos ingieran vísceras crudas de herbívoros infectados son sencillas y eficaces2.
Paciente varón de 56 años, agricultor durante toda su vida laboral, que presenta los siguientes antecedentes:
Contusión torácica, en abril de 2013, tras caída desde una altura de unos 3 metros, con radiografía de tórax sin alteraciones significativas.
En seguimiento en la consulta de Reumatología por poliartralgias con VSG en el límite de la normalidad, y antecedentes familiares de polimialgia reumática; finalmente dado de alta en noviembre de 2014 con diagnóstico de poliartrosis y probable fractura en lágrima a nivel de L4, diagnosticada por TAC.
Valorado en consulta de Medicina Interna al detectarse Ca-125 ligeramente elevado; presenta antecedentes familiares de carcinoma de colon y carcinoma hepático. Colonoscopia en 2012 normal. Ecografía abdominal (julio 2013): leve esteatosis hepática. Alta en marzo de 2014.
El paciente acude a consulta de Atención Primaria por persistencia de tos seca tras completar una semana de tratamiento antibiótico prescrito por un cuadro compatible con bronquitis aguda. No presenta antecedentes de tabaquismo, ni de patología respiratoria o contacto conocido con tuberculosis; posee dos perros como animales domésticos. A la exploración física el pulsioxímetro marca una saturación del 95 %, y en la auscultación cardiopulmonar se aprecia hipoventilación basal derecha, sin presentar otras alteraciones significativas.
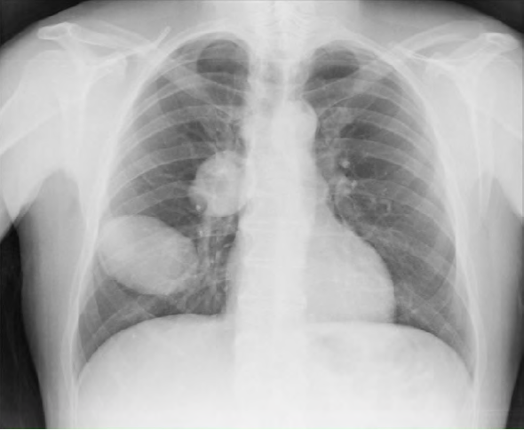
Se solicita una radiografía de tórax preferente desde Atención Primaria con fecha 14/04/15. El paciente acude a recoger el resultado el 20 de abril (figura 1). A la vista de las múltiples lesiones redondeadas de gran tamaño se contacta vía telefónica con el servicio de Urgencias del Hospital General de Villarrobledo, que solicita TAC abdominopélvico con contraste intravenoso y analítica completa; ambos se realizan el día siguiente. Al mismo tiempo contactan con el Servicio de Neumología, que realiza una espirometría ese mismo día y cita para una fibrobroncoscopia en menos de una semana (el 27 de abril).
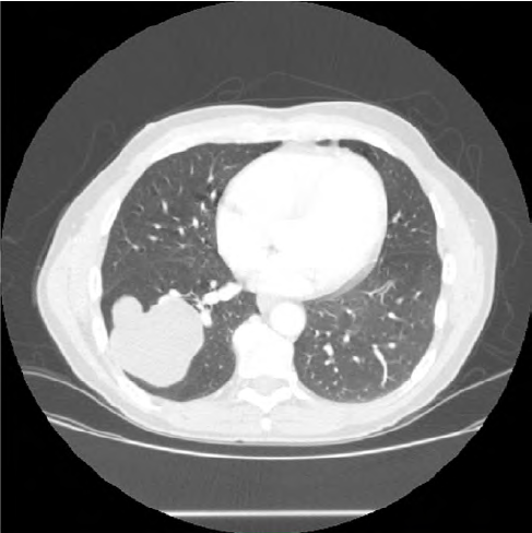
Resultado del TAC toracoabdominal con contraste intravenoso (figura 2): masas quísticas de 67 y 75 mm de diámetro uniloculares polilobuladas en lóbulo inferior derecho; como primera posibilidad diagnóstica hidatidosis pulmonar.
Analítica: Bioquímica básica normal, incluido perfil hepático. Hemograma normal sin eosinofilia. PCR 9 mg/L, VSG 8 mm/h. Ca-125 elevado (124,8 U/mL), resto de marcadores tumorales negativos. Serología Brucella: IgG 29,5 g/L; rosa de bengala negativo; IgM negativo. Serología Tenia Echinoccocus negativo. Serología Leishmania, Lúes, VHB, VHC y VIH negativas
Pruebas funcionales respiratorias: FEV1 2660 ml (94,6 %), FVC 3690 ml (105 %), DLCO 87,5 %. Test broncodilatador positivo.
Fibrobroncoscopia: Sin lesiones endobronquiales en ambos árboles bronquiales.
Llegados a este punto, se plantea el diagnóstico diferencial (tabla 1) con: carcinoma pulmonar primario o metastásico, siendo esta última la causa más frecuente; absceso pulmonar; tuberculosis; hidatidosis; infección por hongos; infección por Nocardia; secuelas de enfermedades crónicas de pequeña vía aérea; también con entidades menos frecuentes como linfangioleiomiomatosis, histiocitosis pulmonar de células de Langerhans, enfermedad de Birt-Hogg-Dubé, neumonía intersticial, neumonitis por hipersensibilidad3.



El paciente es remitido de forma preferente al servicio de cirugía torácica. Es visto el 05/05/2015, y se le ofrece intervención quirúrgica al día siguiente. Se realiza toracotomía posterolateral derecha y quistectomía de dos lesiones compatibles con quistes hidatídicos. Se inicia tratamiento con albendazol durante 4 semanas. El paciente actualmente continúa en seguimiento en consultas de neumología y de cirugía torácica. La anatomía patológica, confirmó el diagnóstico de hidatidosis pulmonar.
En España la incidencia de la hidatidosis era de 1/100.000 habitantes en 1996, último año en que se consideró como Enfermedad de Declaración Obligatoria; desde entonces los programas de control y prevención se desarrollan en las Comunidades Autónomas con hidatidosis endémica. Se cree que actualmente está infradiagnosticada4. El parásito adulto vive en el intestino del perro, eliminándose sus huevos a través de las heces de este; los huevos son ingeridos por los huéspedes intermediarios (ovinos, humanos), atraviesan su pared intestinal y a través de la circulación portal producen afectación hepática en el 75 % de los casos. Si consiguen eludir el filtro hepático se diseminan al resto de los órganos, siendo la afectación pulmonar la extrahepática más frecuente (10 %). A nivel pulmonar es frecuente el hallazgo incidental de lesiones en la radiografía de tórax de pacientes asintomáticos5. Si hay clínica, esta incluye tos persistente, dolor torácico, vómica de elementos hidatídicos (líquido de sabor salado, que puede ser fraccionada e inaparente), rotura a la cavidad pleural con producción de serositis y aumento de Ca-125 como presentaba este paciente, reacción anafiláctica, siendo esta última una forma de presentación infrecuente, pero que se produce en hasta el 10 % de las roturas quísticas.
Respecto al diagnóstico, se basa en la clínica, antecedentes epidemiológicos, hallazgos radiológicos y serología positiva (en dos ocasiones). Para confirmar el diagnóstico se precisan estudios micro o macroscópicos. Con los datos de los que disponíamos en el caso que nos ocupa, estaríamos ante un caso posible; el caso probable precisa serología positiva6, pero hay que tener en cuenta que los falsos positivos de las pruebas serológicas suponen hasta un 40 % en hidatidosis pulmonar.
En lo que se refiere al tratamiento, la cirugía es obligada en la hidatidosis pulmonar. Se aconseja utilizar albendazol, pre o postquirúrgico (o ambos), en función de si la sospecha de hidatidosis es más o menos alta.
Debemos destacar que la coordinación y comunicación fluida entre los distintos niveles mejora significativamente los resultados clínico-asistenciales, especialmente en las situaciones en las que la incertidumbre diagnóstica afecta a patologías que suponen una urgencia no vital de forma inmediata en principio, como es el caso. Este paciente, estable clínicamente, pero con masas pulmonares de gran tamaño, susceptibles de rotura y complicación grave, pudo ser intervenido y tratado en un plazo realmente breve. Resulta interesante que el proceso se pusiera en marcha a nivel hospitalario sin necesidad de que el paciente hiciera acto de presencia desde el primer momento para iniciar la solicitud de pruebas diagnósticas. En el Hospital General de Villarrobledo se han puesto en marcha varias iniciativas para agilizar el manejo de patologías que precisan atención preferente; pacientes en los que no es preciso ingreso, pero en los que es fundamental no demorar pruebas diagnósticoterapéuticas. Esto redunda en beneficios obvios para el paciente, pero también para los profesionales implicados en el manejo, que participan en un sistema más eficiente.


