Un paciente con...
Dolor en miembro superior
Upper extremity pain
Dolor en miembro superior
Revista Clínica de Medicina de Familia, vol. 10, núm. 1, 2017
Sociedad Castellano-Manchega de Medicina de Familia y Comunitaria
Recepción: 19/02/2016
Aprobación: 26/06/2016
Resumen: Presentamos el caso de una mujer de 25 años que consulta por dolor en miembro superior izquierdo de inicio súbito. La isquemia arterial periférica aguda es la interrupción brusca del aporte sanguíneo a una extremidad, caracterizado por la aparición de dolor intenso, palidez, frialdad cutánea, impotencia funcional, junto con ausencia de pulsos distales. Se trata de una urgencia vital que requiere tratamiento precoz de permeabilización de la arteria afectada. El diagnóstico de isquemia aguda se basa en la historia clínica y la exploración física. La gravedad del cuadro estará determinada por el grado de obstrucción, velocidad de instauración, localización y la existencia de circulación colateral. El síndrome de Horner (oculo-simpatoparesis) consiste en la clásica triada de ptosis palpebral, miosis pupilar y anhidrosis facial ipsilateral. El síndrome resulta tras la interrupción de la inervación simpática del ojo y de los anexos oculares a diferentes niveles, siendo una complicación poco frecuente de la cirugía cervical.
Palabras clave: Isquemia arterial, Embolectomia, Síndrome de Horner.
Abstract: We present the case of a 25-year-old woman with sudden onset pain in upper extremity. Acute peripheral arterial ischemia is the sudden interruption of the blood flow to an extremity, characterized by the appearance of intense pain, pallor, skin coldness, functional impairment, together with absence of distal pulses. It is a life threatening emergency that requires early treatment of revascularization of the affected artery. The diagnosis of acute ischemia is based on clinical history review and physical examination. The severity of the clinical picture will be determined by the degree of obstruction, speed of onset, location, and presence of collateral circulation. Horner syndrome (oculosympathetic paresis) is characterized by the classic triad of palpebral ptosis, pupillary miosis and ipsilateral facial anhidrosis. The syndrome results from the interruption of sympathetic innervation to the eye and adnexa at various levels. It is a rare complication of cervical surgery.
Keywords: Arterial Occlusive Disease, Embolectomy, Horner Syndrome.
Introducción
La isquemia aguda se define como la disminución brusca de la perfusión de la extremidad que amenaza su viabilidad con una duración normalmente menor a dos semanas1,2.
Aproximadamente el 85-90 % de los pacientes con isquemia arterial aguda son de origen embólico.. El diagnóstico precoz es importante para poder mejorar la calidad de vida del paciente y reducir el riesgo de eventos secundarios mayores, como el ictus o el infarto agudo de miocardio. El mejor test no invasivo para diagnosticar la isquemia arterial periférica aguda es el eco-doppler.
La incidencia de la enfermedad arterial periférica afecta al 7 % de la población general (39 % de los adultos mayores), con una prevalencia menor al 3 % en individuos menores de 60 años, hasta del 10 % en personas entre 60-69 años y superior al 20 % en las personas mayores de 75 años, siendo más común en hombres que en mujeres. En comparación con la población general, la mortalidad de los pacientes con enfermedad arterial periférica es claramente mayor (6 veces más riesgo de muerte por causa coronaria). Dentro del grupo de pacientes con evidencia objetiva de lesiones aterosescleróticas de los miembros inferiores, un 5 % sufren de isquemia crítica crónica..
El tabaco supone un factor de riesgo muy importante para desarrollar la enfermedad vascular periférica. El incremento del riesgo vascular es dosis dependiente y en trabajadores no fumadores que desarrollan su actividad entre fumadores se han detectado niveles de nicotina equivalentes a fumar 5 cigarrillos diarios..
El síndrome de Horner se produce por una interrupción de la vía simpática en cualquier localización de su recorrido que va desde el sistema nervioso central hasta el globo ocular. Clínicamente cursa con ptosis discreta del párpado superior por afectación del músculo de Müller, leve elevación palpebral inferior (que no siempre se evidencia) por parálisis del músculo liso que se inserta en el tarso inferior, miosis variable que se pone más de manifiesto con baja iluminación y enoftalmos aparente. En su forma completa se produce anhidrosis facial..
Observaciones clínicas
Mujer de 25 años que acude a consulta por dolor en miembro superior izquierdo de tres días de evolución. No presenta antecedentes personales ni familiares de interés. Respecto a los hábitos tóxicos, es fumadora de 7 cigarrillos al día. No usuaria de anticonceptivos orales, niega consumo de otras drogas y/o tóxicos y no está embarazada en el momento actual. No presenta otros factores de riesgo cardiovascular.
La paciente refiere dolor en el brazo izquierdo de inicio súbito, sin ninguna otra clínica acompañante. En la primera exploración física, realizada en la consulta, la paciente presenta buen estado general, está bien perfundida e hidratada, muestra pulsos presentes y simétricos en todas las extremidades, movilidad activa y buen llenado capilar. No presenta lesiones en la piel. No se objetivan adenopatías laterocervicales. En cuanto a la auscultación cardiopulmonar, es rítmica, sin soplos y el murmullo vesicular está conservado y simétrico. El abdomen es normal y el resto exploración también es normal. Se inició tratamiento con Paracetamol a dosis de 1 gramo cada 8 horas.
Dos días después, acude nuevamente a consulta por empeoramiento del dolor y sensación de parestesias. En la exploración física del miembro superior izquierdo muestra pulso axilar disminuido, ausencia de pulso braquial, mano pálida y fría, cianosis periférica y no presenta impotencia funcional. El miembro superior derecho muestra pulsos presentes a todos los niveles. En los miembros inferiores los pulsos están presentes a todos los niveles. La auscultación pulmonar es la misma que la previa. Ante la sospecha de isquemia arterial periférica en miembro superior izquierdo, se deriva a urgencias para completar estudio y tratamiento. En urgencias se confirma el diagnostico de isquemia arterial y se decide ingreso a cargo se cirugía vascular.
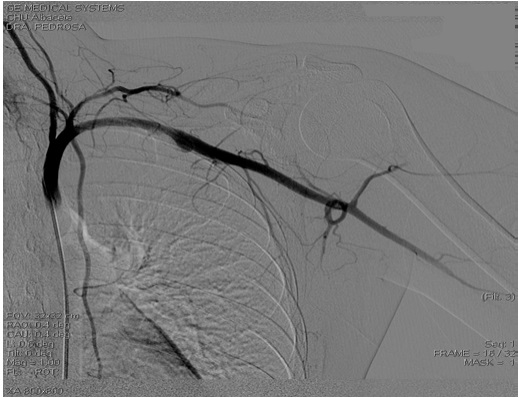
Respecto a las exploraciones complementarias (Figuras 1 y 2), se realizó angio-TAC, donde se informa que visualiza un aneurisma subclavio izquierdo de aproximadamente 2,6 x 1,9 x 1,2 cm, (CC x T x AP), en la porción proximal de la arteria, por detrás de la clavícula. Se indica presencia de arcos costales bilaterales, observando en el lado izquierdo una neoarticulación entre la costilla cervical y la primera costilla que junto a la clavícula pinzan el espacio vascular, como probable causa de la formación aneurismática. No se objetiva correcto llenado de los vasos radiocubitales desde la flexura del codo aproximadamente. Ante estos hallazgos, se realiza arteriografía donde se confirma la presencia de dilatación aneurismática subclavia izquierda, a nivel de zona de compresión costoclavicular, con permeabilidad subclavio-axilar, observando defecto de llenado humeral proximal, con visualización de dos arterias humerales con trombo en ambas, la más medial a pesar del trombo proximal presenta paso distal con relleno radial.


En el servicio de cirugía vascular se realiza tromboembolectomía transaxilar del miembro superior izquierdo, recuperando el pulso radial y mejorando los signos de isquemia en la mano. Posteriormente se solicita valoración por el servicio de cirugía torácica para realizar embolectomía de manera programa del aneurisma subclavio.
Se realiza la embolectomía del aneurisma subclavio y diez días después de la trombo-embolectomía transaxilar presenta un nuevo episodio de isquemia aguda del brazo izquierdo, por lo que nuevamente tienen que realizar trombo-embolectomía de miembro superior izquierdo, con abordaje cervical, realizando resección parcial de costilla cervical y de primera costilla y resección aneurismática con bypass subclavio con vena safena. Tras la intervención la paciente recupera el pulso radial y se encuentra hemodinámicamente estable. En la radiografía de tórax de control no se muestran alteraciones.
Al alta la paciente presentó un síndrome de Horner en el ojo izquierdo secundario a la cirugía cervical.
Discusión
El síndrome de isquemia arterial aguda es el resultado de la interrupción brusca del flujo arterial a un determinado territorio del organismo, originado por un fenómeno embólico o trombótico. La gravedad del cuadro estará determinada por el grado de obstrucción, velocidad de instauración, localización y la existencia de circulación colateral.. Los factores más importantes implicados son el tabaquismo, la diabetes, la hipertensión arterial, dislipemia, la edad y el sexo masculino, igualándose su incidencia en las mujeres después de la menopausia.. La clínica de los síntomas precoces se resume en la Tabla 1 en la regla de 6P de Pratt.

El diagnóstico de la isquemia aguda se apoya en una historia clínica bien detallada y en una exploración física exhaustiva. En el interrogatorio debe constar la zona dónde se inició el dolor y el tiempo de evolución del cuadro. Del mismo modo, se hará constar los antecedentes de riesgo arterioesclerótico (tabaquismo, HTA, diabetes o hiperlipemia) que nos ayuden a filiar el cuadro como probable trombosis o embolia. Asimismo, habrá que preguntar sobre antecedentes cardiológicos previos y tratamientos previos que nos ayuden a filiar el diagnóstico. La exploración física debe incluir la auscultación cardiaca en busca de soplos o arritmias. Se deben palpar todos los pulsos de forma simétrica para detectar diferencias entre las extremidades sana y enferma. Se palparán pulsos a nivel carotídeo y en miembros superiores pulso subclavio, axilar, humeral, radial y cubital; en las extremidades inferiores se deben palpar pulsos a nivel femoral, poplíteo, tibial anterior y posterior. Esto nos permitirá descubrir la presencia de aneurismas en las extremidades así como evaluar la situación general del árbol arterial. Además, se debe realizar la palpación abdominal en busca de aneurismas de aorta o de iliacas o la presencia de masas. Es preciso establecer un diagnóstico diferencial concreto con embolia vs. isquemia, debido a que el manejo médico y quirúrgico es diferente (Tablas 2 y 3). Para completar el diagnóstico son imprescindibles una serie de pruebas que nos permitan confirmar la sospecha clínica, cuantificar el grado de deterioro de la circulación arterial, la localización de las lesiones, la evolución clínica y la respuesta al tratamiento médico o quirúrgico.


Por otra parte, el síndrome de Horner consiste en la clásica triada de ptosis palpebral, miosis pupilar y anhidrosis facial ipsilateral. El síndrome resulta tras la interrupción de la inervación simpática del ojo y de los anexos oculares a diferentes niveles, siendo una complicación poco frecuente de la cirugía cervical.. Las causas de síndrome de Horner se pueden dividir en base a su diagnóstico topográfico en centrales, preganglionares y posganglionares. Las lesiones centrales no suelen ser aisladas ya que se acompanan de más síntomas neurológicos, siendo la causa más frecuente el síndrome de Wallemberger (infarto del territorio de la arteria cerebelosaposteroinferior). Las lesiones preganglionares que con más frecuencia causan síndrome de Horner suelen ser traumáticas o tumorales. Las iatrógenas son las más frecuentes de las traumáticas, como por ejemplo la utilización de fórceps en el parto, la anestesia epidural, la colocación de tubos de tórax, la cirugía de bypass coronario y la realización de cirugía de tiroides o paratiroides, entre otros.. Respecto a las causas posganglionares, destacan la migraña en racimos y la disección carotídea en la que la afectación del simpático cervical es la manifestación neurológica más frecuente y está presente en al menos la mitad de los casos.. En el caso de las lesiones centrales y preganglionares estará presente la anhidrosis facial ipsilateral, que con frecuencia pasa desapercibida tanto para el paciente como para el médico que le explora.
Bibliografía
1. World Health Organization. Prevention of Cardiovascular Disease. Guidelines for assessment and management of cardiovascular risk. Genova, 2007.
2. Ferket BS, Colkesen EB, Visser JJ, Spronk S, Kraaijenhagen RA, Steyerberg EW. Systematic review of guidelines on cardiovascular risk assessment: which recommendations should clinicians follow for a cardiovascular health check? Arch Intern Med. 2010; 170:27-40.
3. Diagnóstico y tratamiento de la isquemia crónica de las extremidades inferiores. Brizuela J.A., San Norberto E.M., Martín Pedrosa J.M., Revilla A., Vaquero C. Servicio de Angiología y Cirugía Vascular. Hospital Clínico Universitario de Valladolid. Pag; 19-31.
4. Estevan JM, Valle A, Pacho J. Epidemiología de la isquemia crítica. Angiología. 1993; 45: 91-3.
5. Allen AY, Dale RM. Neck procedures resulting in Horner syndrome. Ophtal Plast Reconstr Surg. 2009; 25:16-8. 3.
6. Pedro-Botet J, Senti M. Peripheral vascular disease and risk factors. Rev Clin Esp 1994; 1994 (8):656-7.
Notas
Notas de autor
jeny682@hotmail.com