RESUMEN: El atrapamiento femoroacetabular es una patología que puede ser causa de artrosis precoz en pacientes jóvenes. Se trata de una anomalía morfológica en el acetábulo (AFA tipo PINCER), en el fémur (AFA tipo CAM) o en ambos (AFA tipo mixto). Un paciente joven que consulta repetidas veces por limitación de movimientos, por dolor inguinal con la rotación de la cadera en sedestación, durante o tras la realización de ejercicio físico y/o dolor trocantéreo con irradiación a la cara externa del muslo, debe alertar al médico de familia. Una buena anamnesis y una correcta exploración física orientan al diagnóstico, junto con radiología simple. Por ello es importante reconocerlo en la práctica clínica diaria para su derivación hospitalaria precoz con el objetivo de comenzar el estudio etiológico y tratamiento adecuado.
PALABRAS CLAVE: Atrapamiento FemoroacetabularAtrapamiento Femoroacetabular,Osteoartrtis de la CaderaOsteoartrtis de la Cadera,Atención Primaria de SaludAtención Primaria de Salud.
ABSTRACT: The femoroacetabular impingement is a pathology that can cause early degenerative osteoarthritis in young patients.It involves a morphological anomaly in the acetabulum (PINCER-type FAI), in the femur (CAM-type FAI), or in both (mixed-type FAI). A young patient who consults repeatedly for limited mobility, for inguinal pain with hip rotation while sitting, and during or after physical exercise,and/or trochanteric pain with radiation to the outside of the thigh, must alert the Family doctor. A good anamnesis and a correct physical exploration guide the diagnosis, together with simple radiology. Therefore it is important to recognize it in everyday clinical practice for early hospital referralin order to begin the etiological study and a suitable treatment.
KEY WORDS: Femoroacetabular Impingement, Osteoarthritis Hip, Primary Health Care.
UN PACIENTE CON...
AFA, patología invalidante a los 40 años
FAI, disabling disease at the age of 40
Recepción: 02 Noviembre 2017
Aprobación: 03 Enero 2018
El atrapamiento femoroacetabular (AFA) o pinzamiento femoroacetabular, síndrome del borde acetabular o atrapamiento cervicoacetabular, consiste en un contacto prematuro entre la cabeza-cuello femoral y el acetábulo, provocando microtraumatismos que generan un daño progresivo en el labrum y el cartílago hialino, que puede ocasionar una artrosis precoz en la cadera. Se caracteriza por afectar a pacientes jóvenes, preferentemente entre los 20 y 40 años y se estima que tiene una prevalencia de entre el 10 y el 15 %.
La causa de este contacto prematuro puede estar en una anomalía morfológica en el acetábulo (AFA tipo PINCER), en el fémur (AFA tipo CAM), en ambos (AFA tipo mixto) o en personas que realizan movimientos extremos de la articulación sin anomalías morfológicas óseas (por ejemplo, bailarinas de ballet). El CAM se observa más en varones jóvenes y el PINCER en mujeres mayores1.
El diagnóstico se basa en la sospecha clínica y en un enfoque radiológico específico, basado en medidas y ángulos en las radiografías, resonancia magnética (RM) o tomografía computarizada (TC). El tratamiento consiste en una osteotomía del borde acetabular o de la giba.
Presentamos a dos pacientes con cuadro clínico similar: el primero se trata de un varón, de 38 años de edad, con vigorexia como antecedente. El segundo es un varón de 44 años con antecedentes de cardiopatía isquémica.
Ambos acuden a la consulta de Atención Primaria por dolor en la zona inguinal, acentuado en los últimos meses; ambos refieren dolor al subir y bajar del automóvil y durante o después de realizar actividades deportivas. No lo relacionan con traumatismo previo.
El primer paciente comenta una sensación de bloqueo doloroso al caminar; el segundo, dolor que empeora al caminar cuesta arriba o con carga.
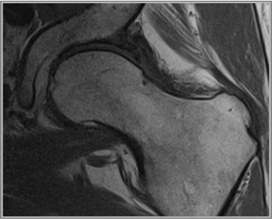
En la exploración física se evidencia dolor inguinal a la movilización activa y pasiva, acentuándose en rotación interna y aducción de la cadera; disminución del arco de movilidad en flexión y rotación externa. Signo de Drehmann y test impigement positivos. Se decide pautar antiinflamatorios y solicitar radiografía simple de cadera antero-posterior, en la que se evidencia esclerosis subcondral, osteofitos, “giba lateral” (“pistolgrip": deformidad en mango de pistola) con pinzamiento femoroacetabular, deformidad de cabeza y rotura del labrum acetabular (Figura 1). Dados los hallazgos, se decide derivar a los pacientes a Reumatología donde, tras la valoración, deciden solicitar RM de caderas, que confirma los cambios degenerativos junto con necrosis avascular grado III de la cabeza femoral izquierda, signos diagnósticos de un síndrome femoroacetabular tipo CAM (Figura 2). Actualmente ambos pacientes presentan una limitación para la deambulación con antiinflamatorios pautados de forma crónica.


Los pacientes con atrapamiento femoroacetabular refieren dolor inguinal con la rotación de la cadera en sedestación, durante o tras la realización de ejercicio físico. También pueden presentar dolor trocantéreo con irradiación a la cara externa del muslo. Esta limitación de movimientos se pone de manifiesto en la exploración:
Movimiento disminuido a la flexión y rotación interna de la cadera.
Signo de Drehmann positivo: al flexionar la cadera a 90º activa o pasivamente en decúbito supino, la cadera realiza una rotación externa para evitar el pinzamiento doloroso.
El AFA puede ser de tres tipos1-2:
Sobrecobertura acetabular difusa: en la radiografía de pelvis anteroposterior en la cadera normal la línea de la fosa acetabular debe quedar situada lateral a la línea ilioisquiática de modo que podemos encontrar dos tipos:
Coxa profunda: la línea de la fosa acetabular sobrepasa medialmente la línea ilioisquiática.
Protrusión acetabular: la línea de la fosa acetabular y el margen medial de la cabeza femoral sobrepasan la línea ilioisquiática.
Sobrecobertura acetabular focal: en la proyección anteroposterior de pelvis de la cadera normal, la línea acetabular anterior debe quedar situada medial a la línea acetabular posterior.
El grado de giba femoral puede estimarse con:
Ángulo #: ángulo formado entre el eje del cuello femoral y el punto donde comienza la giba en la cabeza femoral, siendo anormal si es superior a 50º.
Offset: distancia entre el margen superior del cuello y la cabeza femoral en la proyección axial de Johnson, que sugiere atrapamiento femoroacetabular tipo CAM cuando es inferior a 8 mm.
Para el estudio básico de síndrome femoracetabular se deben realizar dos proyecciones radiológicas, una anteroposterior y otra axial de Johnson o en su defecto de Dunn-Rippstein, intentando evitar la colocación de protectores gonadales en el estudio inicial4.
Proyección pélvica anteroposterior: Se coloca al paciente en decúbito supino con las piernas en 15º de rotación interna, ya que permite una mejor visualización de la porción lateral de la unión de la cabeza y el cuello femoral.
Proyección axial de Johnson con rayo horizontal: Se coloca la pierna con rotación interna.
Proyección axial de Dunn-Rippstein: flexión a 45º de la cadera para identificar alteraciones morfológicas de la porción anterior de la unión de la cabeza y cuello femorales.
Lesión del labrum acetabular.
Os acetabuli: fractura o desprendimiento de la osificación prominente del margen acetabular superior.
Hernia sinovial: focos radiolúcidos de 3-15 mm con fino margen esclerótico, que se localizan en el margen anterosuperior y proximal del cuello femoral.
Quiste paralabral: lesiones quísticas de tamaño variable, más frecuentes en caderas displásicas.
El manejo no quirúrgico se basa en la reeducación-modificación de ciertos movimientos de la cadera o la interrupción de ciertas prácticas deportivas más la toma de analgésicos5.
En el tratamiento quirúrgico se puede optar por una osteotomía del borde acetabular o de la giba o por una osteotomía periacetabular, más reparación/resección del labrum si está afectado. Por artroscopia se realiza osteocondroplastia femoral, escisión del reborde acetabular, desbridamiento o reparación del labrum y/o lesiones condrales acetabulares si hay complicaciones asociadas y extirpación capsular6.
Correspondencia: Ana María Sánchez Reche. Centro de Salud Ciudad Real II. C/ Palma, 11. C.P. 13001 - Ciudad Real (España). Correo electrónico: ana_sare@hotmail.com

