UN PACIENTE CON…
Recepción: 12 Julio 2018
Aprobación: 09 Septiembre 2018
Resumen: Paciente de 31 años con clínica e imagen electrocardiografía sugerente de cardiopatia isquémica que enmascara una rotura esplénica espontánea. La ecografía a pie de cama permitió el diagnóstico y finalmente el paciente fue esplenectomizado.
Palabras clave: Rotura esplénica, Dolor torácico, Ecografía, Hemoperitoneo.
Abstract: 31-year-old patient with a clinical pattern and electrocardiographic image suggestive of ischemic heart disease that masks a spontaneous splenic rupture. The ultrasound scan allowed the diagnosis +of this life-threatening pathology and finally the patient was splenectomized.
Key words: Splenic rupture, Chest pain, Ultrasonography, Hemoperitoneum.
INTRODUCCIÓN
La rotura esplénica es una rara patología, potencialmente mortal, que suele presentarse como dolor abdominal en cuadrante superior izquierdo e inestabilidad hemodinámica. En cuanto a la etiología, diferenciamos la rotura esplénica traumática de la espontanea. La rotura espontanea es inusual y normalmente asienta sobre bazo patológico afectado por infecciones, neoplasias y discrasias sanguíneas (principalmente mononucleosis infecciosa y paludismo), aunque también existen casos descritos sobre bazo normal1.
La presentación clínica atípica, los cambios electrocardiográficos evidenciados y el curso evolutivo hacen de este episodio un caso particular.
CASO CLÍNICO
Se trata de un paciente de 31 años de complexión endomorfa, con los antecedentes personales de tabaquismo, obesidad, rasgo talasémico y antecedentes quirúrgicos de artrodesis lumbar. De profesión era trabajador activo de la construcción. El paciente refería dolor con sensación de distensión en el espacio semilunar de Traube, acompañándose de dolor referido en hombro izquierdo (signo de Kehr), que aumentaba con la inspiración profunda y se aliviaba en posición reclinada. No recordaba ningún antecedente traumático. El dolor comenzó de forma súbita mientras estaba sentado viendo la televisión. No presentaba sudoración ni palidez cutánea y la tensión arterial se encontraba en rangos de normalidad. La asociación de nauseas apuntó en un primer momento a patología digestiva realizándose un manejo conservador y tratamiento con analgésicos y consejos dietéticos. A los seis días, vuelve a consultar por persistencia del dolor y se realiza electrocardiograma que muestra ascenso de segmento ST en las derivaciones V2, V3 y V4. Se le administra analgesia y doble antiagreagación, y es trasladado al Hospital de referencia mediante la activación del código de asistencia a infarto agudo de miocardio de Castilla-La Mancha (CORECAM). Tras la realización de cateterismo, ventriculografía y aortografía se evidencia la normalidad del árbol coronario.
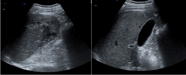
Una ecografía a pie de cama (Figura 1) en la sala de Urgencias evidencia líquido libre intraperitoneal y una masa intraesplénica heterogénea compatible con hematoma esplénico organizado, que permite el diagnóstico de esta rara patología.

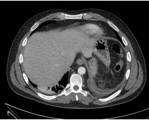
Se completa el estudio de imagen con Ecografía abdominal y Tomografía Axial Computarizada abdominal (Figura 2) urgente que muestra hematoma subcapsular de 14 x 4,5 x 12,5 cm. Posteriormente, el paciente presenta inestabilidad hemodinámica y anemización progresiva, precisando drogas vasoactivas y siendo intervenido de laparotomía exploradora urgente, realizándose esplenectomía total y limpieza de la cavidad peritoneal. Una vez que se encuentra estable tras la intervención es dado de alta tras nueve días de hospitalización.

Posteriormente se realiza diagnóstico diferencial con procesos linfoproliferativos, infección por virus linfotropos y enfermedades por depósito lisosomal, encontrando tan solo la condición de rasgo talasémico como factor de riesgo para rotura esplénica. Tras el episodio el paciente recibe profilaxis secundaria con vacuna antimeningocócica, antihaemophilus B y antineumocócica conjugada.
DISCUSIÓN
La rotura esplénica atraumática supone una entidad infrecuente y poco conocida, que es necesario tener en cuenta por parte de los clínicos. Fue descrita por primera vez en el siglo XIX2. En la mayoría de estos casos se producen sobre un bazo patológico (procesos linfoproliferativos, infecciones víricas3-5 y parasitarias...) o con compromiso mecánico (gestación, tras esfuerzo emético, tras realización de colonoscopia6). Otras posibles causas pueden ser pancreatitis6, infiltración neoplásica linfoide, sarcoidosis, malaria2, coagulopatía secundaria a mordedura de serpiente7 o infiltración metastásica8.
La presentación clínica de cardiopatía isquémica como encubridora de una rotura esplénica es infrecuente, pero existen antecedentes. Las enfermedades del abdomen (izquierdo) superior pueden causar síntomas en el hemitórax izquierdo, lo que explica la presentación atípica9. También puede presentarse simulando tromboembolismo pulmonar, neumonía, ulcus péptico, diverticulitis aguda y otras patologías, dificultando el diagnóstico correcto de esta entidad potencialmente fatal. El signo de Kher (dolor en fosa clavicular izquierda por irritación diafragmática) puede ponernos en la pista de esta rara patología.
En cuanto a la serología de virus linfoproliferativos, las pruebas resultaron negativas para infección aguda, lo cual permite descartar la posibilidad de rotura esplénica secundaria a infección de citomegalovirus o virus de Epstein-Barr (VEB), responsable de la rotura en un 1/1000 infecciones por VEB3. La anatomía patológica del bazo planteaba un diagnóstico diferencial entre pleiocitosis reactiva, histiocitosis ceroide o azul marino asociada a enfermedad talasémica y la histiocitosis secundaria a otras enfermedades por depósito. Sin embargo, la edad de presentación y la ausencia de otros signos y síntomas de enfermedad por depósito iban en contra de que se deba a esta tercera opción. Además el estudio de enzimático realizado posteriormente descartó la etiología secundaria a enfermedad por depósito como enfermedad de Niemann-Pick o enfermedad de Gaucher.
En el diagnóstico de la rotura esplénica cabe descartar el papel de la ecografía rápida a pie de cama, lo que posibilita el diagnóstico precoz. El manejo de esta prueba radiológica por los médicos de Atención Primaria es clave para ahorrar un tiempo crucial para no demorar intervenciones médico-quirúrgicas que eviten desenlaces fatales. Una de las causas de fallecimiento es el retraso en el diagnóstico4. La generalización del uso de la ecografía ayudaría a mejorar el manejo de esta rara patología y otras similares, reduciendo el retraso en el diagnóstico y sus consecuencias.
En cuanto al tratamiento de la rotura esplénica, como en el caso de nuestro paciente, normalmente precisa cirugía. Además de la actitud expectante y la cirugía se ha propuesto la embolización proximal de la arteria esplénica como otras opciones terapeúticas6.
Por todo ello, consideramos que la rotura esplénica debería formar parte del diagnóstico diferencial en pacientes con dolor precordial y epigástrico, sobre todo si existen características atípicas de dolor torácico, son jóvenes y presentan antecedentes de rasgo talasémico, síndromes mieloproliferativos o enfermedad por depósito lisosomal.
AGRADECIMIENTOS
Se obtuvo el consentimiento informado por escrito del paciente para la publicación del manuscrito.
BIBLIOGRAFÍA
1. Aubrey-Bassler FK, Sowers N. 613 cases of splenic rupture without risk factors or previously diagnosed disease: a systematic review. BMC Emerg Med 2012 Aug 14;12:11-227X-12-11.
2. Weaver H, Kumar V, Spencer K, Maatouk M, Malik S. Spontaneous splenic rupture: A rare life-threatening condition; Diagnosed early and managed successfully. Am J Case Rep. 2013;14:13-5.
3. Auwaerter PG. Infectious mononucleosis in middle age. JAMA. 1999;281(5):454-9.
4. Kocael PC, Simsek O, Bilgin IA, Tutar O, Saribeyoglu K, Pekmezci S, et al. Characteristics of patients with spontaneous splenic rupture. Int Surg. 2014;99(6):714-8.
5. Lopez-Tomassetti Fernandez EM, Delgado Plasencia L, Arteaga Gonzalez IJ, Carrillo Pallares A, Hernandez Siverio N. Atraumatic rupture of the spleen: experience of 10 cases. Gastroenterol Hepatol. 2007;30(10):585-591.
6. Sullivan K, Schwartz A, Sattler S, Decena E. Splenic rupture after emesis: A rare finding of generalized abdominal pain. Am J Emerg Med. 2016;3:43-5.
7. Corcillo A, Aellen S, Zingg T, Bize P, Demartines N, Denys A. Endovascular treatment of active splenic bleeding after colonoscopy: a systematic review of the literature. Cardiovasc Intervent Radiol. 2013;36(5):1270-9.
8. Kang C, Kim DH, Kim SC, Kim DS, Jeong CY. Atraumatic splenic rupture after coagulopathy owing to a snakebite. Wilderness Environ Med. 2014; 25(3):325-8.
9. Raman L, Rathod KS, Banka R. Chest pain in a young patient: an unusual complication of Epstein-Barr virus. BMJ Case Rep 2014 Mar 31;2014: 10.1136/bcr-2013-201606.
Notas de autor
Correspondencia: Fernando Abadín López. C/ José Arcones Gil n°5 1°A, 28017, Madrid (España). Correo electrónico: ref_fal@hotmail.com