UN PACIENTE CON…
Recepción: 14 Julio 2018
Aprobación: 18 Agosto 2018
Resumen: Presentamos el caso de una mujer de 65 años con una neumonía postobstructiva causada por un tumor endobronquial benigno.
Palabras clave: Neumonía, Tumores Bronquiales, Hamartoma Endobronquial.
Abstract: The present is the case of a 65 year-old woman with postobstructive pneumonia caused by a benign endobronchial tumor.
Key words: Pneumonia, Bronchial Neoplasms, Hamartoma.
INTRODUCCIÓN
Los tumores pulmonares benignos representan menos del 1 % de todas las neoplasias pulmonares. De todos ellos el más frecuente, después del adenoma bronquial, es el hamartoma1. Dentro de los hamartomas pulmonares, el hamartoma endobronquial es una presentación rara, representando aproximadamente el 10 % del total. Presentamos el caso de un hamartoma endocronquial que debutó como una neumonía postobstructiva.
CASO CLÍNICO
Mujer de 65 años, con antecedentes personales de tiroiditis de De Quervain, que presenta tos, expectoración verde-amarillenta, dolor torácico de características pleuríticas en hemitórax izquierdo y fiebre (38 ºC) de cinco días de evolución.
En la exploración física destaca la existencia de disminución del murmullo vesicular en la base derecha, con aumento de la transmisión vocálica a dicho nivel.
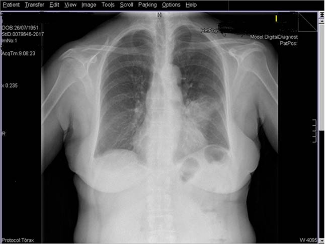
Se realiza radiografía de tórax (Figura 1) en la que se objetiva un infiltrado a nivel de la língula. Ante el diagnóstico de neumonía se comienza tratamiento antibiótico con levofloxacino 500 mg/día durante 7 días. La sintomatología desaparece y la paciente queda asintomática, pero un mes después la imagen radiológica persiste, por lo que se decide realizar TAC torácico. En esta prueba radiológica se observa una atelectasia segmentaria en la língula, con imagen pseudonodular de 1,2 cm en el hilio izquierdo. Ante este hallazgo se decide realizar una broncoscopia, objetivándose una lesión que obstruye por completo la entrada del fibrobroncospio (Figura 2), por lo que se procede a realizar exéresis completa. La anatomía patológica es compatible con un hamartoma condromatoso.


DISCUSIÓN
Los hamartomas pulmonares son tumores benignos que derivan del mesénquima peribronquial, siendo los tipos histológicos más habituales el condromatoso y el lipoide2. Los hamartomas son más frecuentes en varones que en mujeres, con un pico de presentación en la séptima década de la vida3,4.
La presentación clínica de esta tumoración oscila entre asintomáticos (se localizan periféricamente en la luz bronquial) a infecciones respiratorias recurrentes (localización central) dentro de un mismo territorio pulmonar2,3. Los hamartomas centrales pueden condicionar obstrucción y causar infecciones recurrentes, atelectasias, neumonitis, tos y expectoración, tal y como sucedió en nuestro paciente.
La TAC torácica permite la localización de las lesiones en el interior del árbol bronquial y ayuda a caracterizarlas (imagen típica de calcificación en “palomita de maíz” o áreas de densidad grasa)5.
El abordaje terapéutico de los hamartomas pulmonares se suele realizar mediante broncoscopia y resección6, que en nuestro caso fue diagnóstica y terapéutica. En aquellos casos en los que el hamartoma es de gran tamaño o con rápido crecimiento se debe realizar enucleación o resección segmentaria.
BIBLIOGRAFÍA
1. García E, Alonso T, Aragonés M, Segrelles G, López M, Somiedo M. Hamartoma condroide endobronquial: a propósito de un caso. Rev Patol Respir. 2013; 16 (2): 71-2.
2. Umashankar T, Devadas Acharya K, Ravichandra G, Yaranal Parasappa J. Pulmonary hamartoma: Cytological study of a case and literature review. J Cytol. 2012; 29: 261-3.
3. Calvo Bonachera J, Pascual Lledo JF, Bernal Rosique MS, Calvo Bonachera MD. Hamartoma endobronquial: presentación de un nuevo caso. An Med Interna. 2001; 18: 62-3.
4. Cosio BG, Villena V, Echave-Sustaeta J, de Miguel E, Alfaro J, Hernández I, et al. Endobronchial hamartoma. Chest. 2002; 122: 202-5.
5. Park CM, Goo JM, Lee HJ, Kim MA, Lee CH, Kang MJ. Tumors in the tracheobronchial tree: CT and FDG PET features. Radio Graphics. 2009; 29: 55-71.
6. Kyu Sik K, Jeehee Y, Yull K, Yoo Duk C, Young Chul K, Chul Lim S. Presentación de un caso de hamartoma osteo-condromatoso endobronquial resecado con broncoscopia flexible. Arch Bronconeumol. 2012; 48: 425-9.
Notas de autor
Correspondencia: Pedro Gargantilla Madera. Servicio de Medicina Interna. Hospital de El Escorial. Ctra. Guadarrama - El Escorial, Km. 6,250. C.P. 28200 - San Lorenzo de El Escorial. Madrid (España). Correo electrónico: pgargantillam@gmail.com