UN PACIENTE CON…
Recepción: 04 Mayo 2018
Aprobación: 30 Julio 2018
RESUMEN: La varicela es una enfermedad propia de la infancia; su presentación en adultos es muy poco frecuente y suele asociarse a cuadros de mayor gravedad y afectación sistémica. Se presenta como un exantema generalizado de diseminación centrípeta, pruriginoso y pleomórfico, de predominio facial y troncular, que respeta las extremidades. La neumonía es la complicación extracutánea más frecuente y la principal causa de hospitalización en este grupo etario. La afectación palmo-plantar es excepcional y suele estar asociada a enfermedad diseminada en pacientes con importante comorbilidad o algún tipo inmunosupresión. Presentamos el caso de un paciente de 71 años que presenta enfermedad varicelosa diseminada, caracterizada por neumonía y afectación palmo-plantar, en el contexto de tratamiento con corticoides.
PALABRAS CLAVE: Varicela, Neumonía, Exantema.
ABSTRACT: Varicella is a childhood disease; it occurs very rarely in adults, usually associated with more severe cases and systemic involvement. It presents as a generalized rash of centripetal spread, pruritic and pleomorphic, occurring in the face and trunk but not in the limbs. Pneumonia is the most frequent extracutaneous complication and the leading cause of hospitalization among this age group. Palmoplantar involvement is uncommon, usually associated with disseminated disease in patients with significant comorbidity or some kind of immunosuppression. We present the case of a 71-year-old patient with disseminated varicella infection, characterized by pneumonia and palmoplantar involvement, and treated with corticosteroids.
KEY WORDS: Chickenpox, Pneumonia, Exanthema.
INTRODUCCIÓN
La varicela es causada por la primoinfección del virus varicela-zóster o herpes virus humano tipo 3. Tiene un alto índice de contagiosidad y se transmite por las secreciones nasofaríngeas de una persona infectada o por contacto cutáneo directo con el líquido de las vesículas de las lesiones en la piel. Su presentación en adultos es excepcional, siendo la neumonía la complicación extracutánea más frecuente y la principal causa de hospitalización en este grupo etario.
CASO CLÍNICO
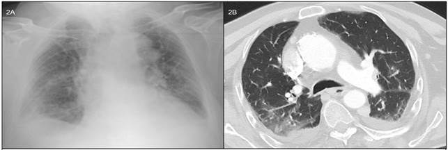
Varón de 71 años con deterioro cognitivo secundario a meningitis durante la infancia y portador de sonda vesical por hipertrofia benigna de próstata y episodios repetidos de retención urinaria; presenta un cuadro de 5 días de evolución caracterizado por malestar general, febrícula, tos y lesiones dérmicas pruriginosas que se iniciaron en tronco y se han extendido sobre toda la superficie corporal. Acude a Urgencias por empeoramiento de la erupción en las últimas 24 horas, acompañado de pico febril de 38,5 ºC y aparición de disnea rápidamente progresiva que se ha hecho de mínimos esfuerzos. Había sido valorado 3 días antes, cuando aparecieron las primeras lesiones dérmicas y se le indicó deflazacort y cetirizina. A la exploración física, se encontraba hemodinámicamente estable con fiebre de 38 ºC y taquipnea, sin uso de musculatura accesoria y manteniendo una saturación basal de oxígeno del 86 %. Presentaba un exantema generalizado con lesiones en distintos estadios evolutivos, incluyendo máculas, pápulas, vesículas y pústulas que afectaban palmas, plantas y mucosa oral (Figura 1). Los ruidos cardiacos eran rítmicos, aunque ligeramente taquicárdicos. El murmullo vesicular se encontraba conservado, sin ruidos añadidos. El resto de la exploración era normal. Con respecto a las pruebas complementarias, en el hemograma destacaba una ligera trombopenia de 119.000 sin leucocitosis ni anemia. Además, un discreto aumento de AST de 58 UI/l con glucosa, función renal, iones y resto de perfil hepático normal. La gasometría arterial basal mostraba datos de insuficiencia respiratoria parcial con pO2 de 58 y la radiografía de tórax un patrón intersticial bilateral (Figura 2A). Se iniciaron oxigenoterapia, fluidoterapia y aciclovir intravenoso. Se decidió ingreso en planta, donde se confirmó la sospecha diagnóstica al obtenerse Ig M positiva para varicela-zoster, habiéndose descartado otros patógenos respiratorios como Chlamydia pneumoniae, Mycoplasma pneumoniae, Coxiella burnetti, neumococo o legionela. Se solicitó TAC torácico que confirmó un infiltrado intersticial bilateral en vidrio deslustrado en relación con proceso infeccioso agudo y compatible con neumonía por varicela (Figura 2B). La evolución clínica fue favorable, con desaparición de la fiebre y la insuficiencia respiratoria tras 4 días de tratamiento. Posteriormente, al sexto día de ingreso se objetivó la normalización de las alteraciones analíticas. El paciente completó una semana de tratamiento intravenoso con aciclovir y fue dado de alta sin incidencias.


DISCUSIÓN
La varicela es una enfermedad propia de la infancia, que suele tener una presentación leve, autolimitada y benigna1. Se presenta como un exantema generalizado de predomino centrípeto, pruriginoso y pleomórfico; es característica la presencia de lesiones en diferentes etapas evolutivas que dan la típica imagen de «cielo estrellado”. Las lesiones iniciales suelen ser máculas que se convierten rápidamente en pápulas, seguidas de las vesículas características; estas lesiones pueden desarrollar un componente pustuloso seguido por la formación de pápulas costrosas1. La afectación dérmica suele acompañarse de fiebre, malestar general, tos y síntomas respiratorios altos. En ocasiones, puede afectar a personas adultas, en quienes es más frecuente la afectación sistémica con compromiso visceral y fallo multiorgánico, típicamente asociados a neumonía por varicela o encefalitis2.
El diagnóstico es eminentemente clínico, aunque puede confirmarse mediante serología y PCR del líquido procedente de las vesículas3. Con respecto a las pruebas complementarias, las alteraciones analíticas más frecuentes son trombopenia, hiponatremia leve y elevación transitoria de enzimas hepáticas y LDH4,5.
La afectación cutánea suele ser de predominio facial y troncular, tendiendo a respetar las extremidades1. La afectación palmo-plantar es excepcional y suele estar asociada a enfermedad diseminada en pacientes con importante comorbilidad o algún tipo de inmunosupresión3. Otros factores asociados a enfermedad diseminada son la edad avanzada, el sexo masculino, la presencia de patología crónica debilitante (especialmente pulmonar), el tratamiento inmunosupresor, la infección por VIH o el trasplante de órgano sólido, fundamentalmente por deterioro de la respuesta inmune celular3,4. En pacientes adultos inmunocompetentes solo existen informes de casos aislados con afectación palmo-plantar, asociados principalmente a tratamiento con corticoides, sin una clara relación con la dosis o duración de los mismos. Tan es así, que se han descrito casos fulminantes con ciclos cortos y transitorios3. Estos casos suelen presentar una evolución más tórpida y desarrollo de complicaciones como neumonía1.
El registro REVIVAZ2, realizado en las urgencias de hospitales españoles en los años 2009-2010, identificó un total de 363 casos de varicela en adultos; solo 25 (6,9 %) precisaron ingreso hospitalario. El 64 % de estos ingresos fueron debido a neumonía, existiendo una clara asociación con factores generadores de una menor respuesta inmunitaria como son los tratamientos inmunosupresores o corticoides.
La neumonía por varicela suele presentar un curso insidioso con desarrollo de disnea, tos y dolor torácico entre 1 a 6 días después de la aparición de las lesiones cutáneas4; en algunos casos puede evolucionar en pocas horas hacia insuficiencia respiratoria aguda grave6 con necesidad de soporte ventilatorio e ingreso en unidad de cuidados intensivos. La radiografía de tórax suele mostrar infiltrados bilaterales difusos de predominio intersticial que afectan principalmente a las bases, la región perihiliar, o ambas, pudiendo asociar un componente micronodular al inicio del cuadro3,4. Tiene una mortalidad global de entre el 10 y el 30 % en adultos inmunocompetentes3-6, que aumenta hasta 50 % en pacientes inmunodeprimidos4; sin embargo, está disminuyendo en los últimos años probablemente debido al tratamiento antivírico precoz y a las adecuadas medidas de soporte6. En los casos de enfermedad diseminada, como neumonía, encefalitis o hepatitis, se recomienda aciclovir intravenoso a dosis de 10 a 15 mg/kg cada 8 horas durante 7-10 días3,4. En los casos de neumonía por varicela se ha demostrado que, si se administra precozmente, disminuye la fiebre y la taquipnea, obteniéndose una mejoría en la oxigenación6, así como una recuperación más rápida de la cifra de plaquetas5.
En conclusión, la varicela es una enfermedad poco frecuente en adultos, en quienes suele presentar una evolución tórpida con mayor frecuencia de complicaciones y enfermedad diseminada. La neumonía por varicela es la afectación sistémica más frecuente y debe sospecharse en aquellos pacientes con afectación palmo-plantar, disnea y alteraciones radiológicas; así sean inicialmente asintomáticas, dado que pueden progresar de forma rápida a insuficiencia respiratoria grave. Otros factores de riesgo para tener en cuenta son la edad avanzada, elevada comorbilidad y tratamiento previo con corticoides. En estos pacientes el inicio de aciclovir intravenoso de forma precoz desde Urgencias ha demostrado mejorar el pronóstico y disminuir la morbimortalidad.
BIBLIOGRAFÍA
1. Huesa Andrade M, González Lavandeira M. Varicela con afectación palmoplantar: a propósito de un caso. Semergen. 2016; 42 (8): 593-5.
2. García-Castrillo Riesgo LG, Julián Jiménez A, Mariné Blanco M. Marcadores de gravedad en el herpes zóster y la varicela del adulto. Emergencias. 2012; 24 (4): 277-82.
3. Bernal-Bello D, García de Tena J, Abejón-López L, Megino-Moreno T, Barrio-Gordillo J, Rodríguez-Zapata M. Afectación atípica de palmas y plantas en la neumonía por varicela. Rev Clin Esp. 2012; 212 (4): e25-e27.
4. Troya García J, Espinosa de los Monteros Garde MJ, Moreno B. Neumonía por varicela en población adulta: revisión de 21 casos. Rev Clin Esp. 2006; 206 (11): 566-9.
5. Roy Escarda C, Vicente Tierno N, Reimundo Díaz-Fierros M, García Martín F. Neumonía varicelosa en el adulto: estudio de 17 casos. Aten Primaria. 2005; 36 (5): 284-5.
6. Martínez Segura JM, Gutiérrez Oliver A, Maraví Poma E, Jiménez Urra I. Neumonía grave por varicela. Rev Clin Esp. 2003; 203 (12): 591-4.
Notas de autor
Correspondencia: Verónica Notario Barba. Hospital Nuestra Señora del Prado. Ctra. Madrid, Km 114. C.P. 45600 - Talavera de la Reina. Toledo (España). Correo electrónico: vero_not@hotmail.com