UN PACIENTE CON…
Dolor en el miembro inferior
Lower limb pain
Dolor en el miembro inferior
Revista Clínica de Medicina de Familia, vol. 12, núm. 3, 2019
Sociedad Castellano-Manchega de Medicina de Familia y Comunitaria
Recepción: 21 Septiembre 2018
Aprobación: 19 Enero 2019
RESUMEN: El dolor óseo es un problema frecuente y constituye uno de los principales motivos de consulta, puede tratarse de un problema simple o puede ser el síntoma inicial de una patología más compleja y grave. En pacientes de edad avanzada con dolor óseo no asociado a traumatismo, que no mejora con tratamiento habitual, debemos realizar el diagnóstico diferencial con mieloma múltiple entre otros. Presentamos el caso de una mujer de 83 años que acude por dolor óseo en el miembro inferior izquierdo de meses de evolución que no mejora con tratamiento analgésico. Se realiza un estudio radiografico, en el que se objetiva una lesión lítica en el fémur izquierdo y ensanchamiento mediastínico en relación con plasmocitoma esternal que causaba compresión cardiaca. Se realizó estudio complementario que confirmó el diagnóstico de mieloma múltiple.
PALABRAS CLAVE: Dolor Músculoesquelético, Mieloma Múltiple, Plasmocitoma.
ABSTRACT: Bone pain is one of the most common chief complaints. It can be a simple problem or an initial symptom of a more complex and serious disease. In older patients with non-traumatic bone pain that does not improve with conventional treatment, differential diagnosis with multiple myeloma, among others, is required. We present the case of an 83-year-old woman with bone pain in lower limb of several months' duration that does not improve with pain medications. X-ray reveal lytic lesion in her left femur and mediastinal widening related to sternal plasmacytoma causing cardiac compression. A complementary study confirmed the diagnosis of multiple myeloma.
KEY WORDS: Musculoskeletal Pain, Multiple Myeloma, Plasmacytoma.
INTRODUCCIÓN
El dolor óseo es un problema frecuente y constituye uno de los principales motivos de consulta en Atención Primaria. Puede tratarse de un problema simple o puede formar parte de una patología más compleja y grave. La causa más frecuente son los traumatismos, responsables de lesiones que pueden ir desde esguinces hasta fracturas. En ausencia de antecedentes traumáticos, deben descartarse problemas inflamatorios de tipo reumático, procesos infecciosos y neoplasias. La valoración correcta de un paciente con dolor óseo debe incluir una historia clínica completa y una exploración física exhaustiva, los cuales determinarán la necesidad de realizar pruebas complementarias o solicitar valoración por un especialista hospitalario. El dolor óseo puede ser la primera manifestación clínica de una neoplasia; en estos casos es causado por la proliferación masiva de células malignas en la médula ósea y por afectación del periostio. Habitualmente suele ser un dolor sordo, continuo, unilateral y severo. No se modifica con la actividad física y presenta predominio nocturno, por lo que puede alterar el ciclo vigilia-sueño, puede ser progresivo y asociarse a síntomas sistémicos como fiebre, pérdida de peso o malestar general. En cuanto a la duración, este puede variar de semanas a meses con escasa respuesta a tratamientos analgésicos habituales como antinflamatorios y salicilatos.
CASO CLÍNICO
Mujer de 83 años con antecedentes personales de hipertensión arterial, vértigo periférico y osteoporosis que ha sufrido fractura del 5º metacarpiano y base de la 2º falange del 5º dedo de la mano izquierda tras una caída desde su propia altura, durante el último año. En tratamiento diario con omeprazol 20 mg, carbonato de calcio 500 mg, 1000 UI de calciferol, losartan 50 mg, amlodipino 5 mg y betahistina 8 mg; además de 150 mg de ácido ibandrónico al mes.
Acude a urgencias derivado de Atención Primaria por un cuadro de dolor en el muslo izquierdo de aproximadamente un año de evolución, que se ha hecho más intenso en los últimos 3 meses, sin antecedente de traumatismo. No ha presentado parestesias ni otras alteraciones neurológicas. Niega síntomas sistémicos como fiebre o pérdida de peso. A la exploración física, se encontraba afebril y hemodinámicamente estable. Los ruidos cardiacos eran rítmicos con presencia de un soplo sistólico. El murmullo vesicular se encontraba conservado en ambos campos pulmonares y el abdomen no mostraba alteraciones. El miembro inferior izquierdo no mostraba clara tumefacción ni aumento de volumen, pero era doloroso a la palpación del tercio medio con cierta limitación para la movilización. No presentaba hematomas ni deformidades.
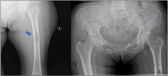
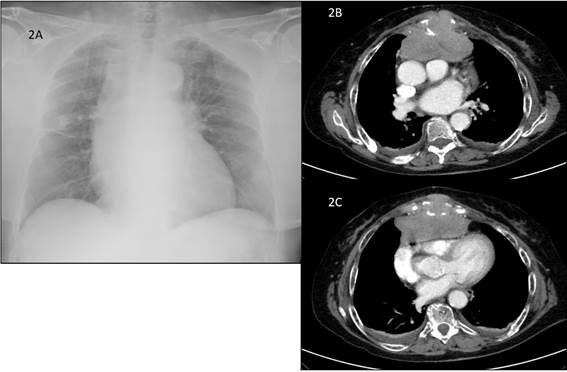
Se realizó una radiografía del miembro inferior izquierdo que mostró una lesión osteolítica de 51 por 22 mm en el tercio medio del fémur, de bordes irregulares y que destruía la cortical (Figura 1A). En el tercio superior y la pelvis se observaban otras lesiones osteolíticas de menor tamaño (Figura 1B). La radiografía de tórax mostraba una cardiomegalia con ensanchamiento mediastínico y redistribución vascular (Figura 2A). En la analítica se objetivó una anemia con hemoglobina de 8,1 g/dl, aumento de proteínas 11,1 g/dl, LDH 1212 UI y calcio 10,4 mg/dl. Además, presentaba un deterioro de la función renal, con una creatinina de 1,52 mg/dl y un filtrado glomerular de 31 ml/min/1,73m2. Se decidió ingreso hospitalario para completar estudio.


Los perfiles hepático y lipídico eran normales. Los marcadores tumorales fueron negativos (AFP, CEA, Ca 125, Ca 15.3 y Ca 19.9). En el proteinograma se objetivó un pico monoclonal kappa de 5,02 g/dl con Ig G de 6060 mg/dl y B2-microglobulina de 8,73 ng/ml. La tomografía tóraco-abdominal mostró una lesión lítica ósea en el cuerpo esternal con una gran masa de partes blandas, heterogénea, de 40 x 94 mm, que invadía el mediastino anterior, ejerciendo un efecto de masa sobre las cavidades cardiacas derechas que provocaba una dilatación del tronco de la arteria pulmonar sugiriendo cierto grado de hipertensión pulmonar (Figuras 2B-2C). Así mismo, describe múltiples lesiones óseas, en su mayoría líticas en ambas palas iliacas, isquion, pubis y sacro; algunas con pequeñas masas de partes blandas asociadas. Se realizó un aspirado de médula ósea, en el que se evidenciaron linfocitos maduros y 28-56 % de células plasmática. Los hallazgos confirman el diagnóstico de mieloma múltiple Ig G kappa con múltiples lesiones osteolíticas, algunas compatibles con plasmocitomas, el más importante en el cuerpo esternal que ejerce efecto masa sobre cavidades cardiacas. La anemia, hipercalcemia e insuficiencia renal eran secundarias a la patología hematológica. Se indicó radioterapia urgente sobre la masa mediastínica, un total de 5 sesiones; posteriormente se inició quimioterapia esquema VMP para paciente frágil (bortezomib, melfalan y dexametasona), en un primer momento, sin melfalan, hasta la mejoría de la función renal. Finalmente, se realizó un enclavamiento intramedular profiláctico del fémur izquierdo.
DISCUSIÓN
El mieloma múltiple (MM) es una neoplasia caracterizada por la proliferación clonal de células plasmáticas en la médula ósea y la sobreproducción de inmunoglobulinas monoclonales1-3, que pueden ser Ig G, Ig A, Ig D o Ig E, o de cadenas ligeras kappa o lambda. Es responsable del 0,8 % del total de nuevos casos de cáncer y del 0,9 % de las muertes por cáncer. Constituye el 10 % de total de neoplasias hematológicas, siendo la segunda en frecuencia después del linfoma no Hodgkin1,3,4. Su etiología es desconocida, aunque la hipótesis más aceptada plantea que se trata de un trastorno del sistema inmunitario que produce un desequilibrio en el sistema hematopoyético que puede estar condicionado por el envejecimiento2, dado que suele presentarse en edades avanzadas. Es más frecuente en individuos de raza negra y en el sexo masculino2,4. El cuadro clínico característico es secundario a la proliferación descontrolada de células plasmáticas en la médula ósea, afectando la capacidad de producir adecuadamente los elementos formes de la sangre, causando anemia, sangrado anormal y aumentando el riesgo de contraer infecciones bacterianas2. El síntoma más común es el dolor óseo, que se encuentra presente en el 70-80 % de los casos, principalmente en la zona lumbar1-3. El MM es la malignidad primaria del hueso más común en el adulto, la mayoría de los casos presentan compromiso óseo al diagnóstico o en algún momento durante el curso de la enfermedad1,2, provocando una importante morbimortalidad. La expansión de las células plasmáticas malignas provoca destrucción ósea por aumento de la resorción mediada por osteoclastos y supresión de la mineralización por parte de los osteoblastos5. Esta afectación puede causar dolor óseo, fracturas patológicas e hipercalcemia, como presentaba nuestra paciente. En estos pacientes, el riesgo de fractura es nueve veces mayor y los sitios más frecuentemente afectados son el esqueleto axial, el cráneo, costillas, la parte proximal del húmero y el fémur1. El 30% de los casos presenta hipercalcemia o afectación renal, esta última es secundaria a la precipitación de cadenas ligeras monoclonales en los túbulos colectores3. Sin embargo, hasta en un 30% de casos el diagnostico se realiza de forma casual por alteraciones analíticas en personas asintomáticas2.
El diagnóstico se basa en una serie de hallazgos clínicos, pruebas de laboratorio y estudios imagenológicos3. Los criterios diagnósticos del Southwest Oncology Study Group (SWOG) son:
Criterios mayores:
Plasmocitoma comprobado histológicamente.
Plasmocitosis medular mayor al 30 % (en aspirado de medula ósea).
Componente M para IgG > 3,5 g/dl, IgA > 2 g/dl, cadenas ligeras en orina > 1 g/24 h en ausencia de amiloidosis.
Criterios menores:
Plasmocitosis en médula ósea 10-30 %.
Componente M de menor cuantía que en el criterio mayor II.
Lesiones osteolíticas.
Déficit de las inmunoglobulinas policlo-nales restantes IgG < 600 mg/dl, IgA < 100 mg/dl, IgM < 50 mg/dl.
Se diagnostica MM con un criterio mayor y un criterio menor o bien con tres menores entre los que han de estar incluidos a y b.
El rol de las imágenes en el MM incluye la evaluación de la extensión de la enfermedad, la identificación y caracterización de las complicaciones como fracturas patológicas o compromiso neurológico1. La radiología convencional sigue siendo el método estándar para evaluar el compromiso óseo, aunque solo permite la identificación de lesiones con destrucción avanzada con un mínimo de afectación del 30 % del hueso trabecular1,3. La radiografía es anormal en el 79 % de los pacientes en el momento del diagnóstico, el 67 % de los casos presentan lesiones líticas y el 20 % tienen osteoporosis, fracturas patológicas o fracturas vertebrales1. Las lesiones radiográficas típicas son líticas y en “sacabocados”. En los huesos planos, como los del cráneo y pelvis, no suele haber esclerosis reactiva en el hueso circundante3. En el caso de los huesos largos, las lesiones pueden manifestarse como festoneado endóstico, lesiones líticas o áreas moteadas por la conjunción de múltiples lesiones pequeñas (Figura 1B), hasta grandes lesiones destructivas3) (Figura 1A). Estas lesiones osteolíticas presentan un tamaño uniforme y unos márgenes bien definidos, siempre son subcorticales y elípticas, y son capaces de coalescer en grandes segmentos de destrucción. Un rasgo característico es una radiolucencia circular de localización subcortical asociada a erosión de los bordes internos corticales3. Hasta el 84 % desarrollarán lesiones esqueléticas en algún momento durante el curso de la enfermedad1. También puede manifestarse como una osteopenia difusa sin lesiones líticas, principalmente a nivel de la columna vertebral. Esta situación facilita la presentación de fracturas por compresión. La tomografía computarizada tiene mayor sensibilidad que la radiografía convencional para detectar lesiones líticas pequeñas1,3. Además, ayuda a planificar la radioterapia y un eventual procedimiento quirúrgico. La resonancia magnética es la técnica de elección para la evaluación de la columna vertebral en pacientes con MM asintomáticos o con clínica de compresión medular o radicular1. Tiene una sensibilidad del 92 % para la detección de lesiones líticas en columna lumbosacra, siendo superior a cualquier otro método de imágenes1. La tomografía de emisión de positrones es una imagen de tomografía nuclear que utiliza radiofármacos marcados como la fluorodesoxiglucosa (FDG) que identifica a las células tumorales debido a su elevada tasa metabólica y alta demanda de glucosa3. Posee una sensibilidad del 72 % para detectar compromiso óseo, aunque es menos eficiente para identificar lesiones en el cráneo, debido a la alta captación fisiológica del trazador en el cerebro adyacente1. Su principal ventaja es la capacidad de distinguir entre mieloma activo (FDG positivo) y la gammapatía monoclonal de significado inespecífico o enfermedad latente. Finalmente, tanto la densitometría ósea como la gammagrafía con tecnecio no son recomendadas en la evaluación del MM1,3.
Pueden presentarse plasmocitomas, masas formadas por células plasmáticas monoclonales que aparecen tanto en el hueso como en los tejidos blandos y se asocia con enfermedad sistémica. Rara vez son hallados en la pared torácica y su localización esternal, como en nuestro caso, es excepcional5.
En ausencia de tratamiento, el pronóstico de supervivencia es menor a 2 años; los pacientes fallecen principalmente debido al fallo renal, anemia severa, infecciones o complicaciones secundarias a problemas neurológicos5. Aunque en los últimos años se ha dado un gran avance en el tratamiento de esta enfermedad, el MM es aún incurable, por lo que los objetivos terapéuticos son aumentar la supervivencia y mejorar la calidad de vida de los pacientes. El abordaje depende de la situación basal de los enfermos. En personas jóvenes o mayores con buen estado de salud el tratamiento debe ser agresivo, y se basa en la combinación de tratamiento farmacológico y trasplante de células madres progenitoras3,6,7. En ancianos frágiles, la opción terapéutica debe ser más conservadora y consiste en intentar cronificar la enfermedad, empleando diversas líneas de tratamiento, empleándolas sucesivamente tras cada recaída6. El estudio VISTA demostró que 9 ciclos de la combinación de melfalán y prednisona más bortezomib mejora la tasa de respuestas como la supervivencia global y libre de progresión2,6. Incluso los enfermos muy mayores (> 75 años) se benefician del empleo de estos nuevos fármacos; aunque las tasas de toxicidad son mayores, especialmente la neurotoxicidad y la toxicidad hematológica6, llevando a la interrupción del tratamiento en muchos casos.
Con respecto al tratamiento de soporte, el empleo de bisfosfonatos potentes como el pamidronato y el zolendronato ha contribuido a la disminución de eventos óseos2,6. Para el control del dolor debemos seguir la escala analgésica de la OMS, ofreciendo el tratamiento más conveniente en cada situación. Comenzaremos con antiinflamatorios no esteroideos con precaución dada la posibilidad de presentarse deterioro de la función renal. Posteriormente podemos progresar a derivados opioides si se precisara. La radioterapia (RT) puede utilizarse en el caso de plasmocitomas, compresiones de la médula espinal y lesiones líticas extensas que generan síntomas. La cirugía solo está indicada en casos de complicaciones. Las fracturas de huesos largos requieren estabilización y posteriormente RT1, lo que permite controlar el dolor y mejorar la cicatrización en el sitio de fractura. En caso de fracturas vertebrales asociadas a dolor y gran discapacidad, se puede utilizar la cementoplastía percutánea vertebral1. Esta técnica consiste en inyectar cemento acrílico (polimetilmetacrilato) en el hueso con el objetivo de restaurar la arquitectura vertebral y así, disminuir el dolor.
En conclusión, en pacientes de edad avanzada con dolor óseo no asociado a traumatismo, que no mejora con tratamiento habitual, debemos realizar el diagnóstico diferencial de mieloma múltiple. Realizado el diagnóstico, el médico de familia debe trabajar de forma coordinada con el resto de especialistas hospitalarios para brindar un adecuado tratamiento de soporte y realizar un seguimiento cercano que permita identificar precozmente las complicaciones.
BIBLIOGRAFÍA
1. Contte M, Isnardi S, Sieza Y. Enfermedad ósea en el mieloma múltiple. Hematología. 2010; 14 (2): 29-40.
2. Álvarez-Cordovés MM, Mirpuri-Mirpuri PG, Pérez-Monje A. Diagnóstico de mieloma múltiple en atención primaria. Sospecha ante una historia clínica adecuada. Semergen. 2013; 39 (6): e21-e24.
3. Izquierdo Gracia DF, Torres Guzmán MD, Torres Mejía A, Vallejo JM. Mieloma Múltiple, lo que un radiólogo debe saber. Rev Colomb Radiol. 2016; 27 (2): 4441-50.
4. Mustecic MB, Zylberberg I, Marinescu BS, Muñoz Guerra M, Sastre Pérez J, Gil Díez JL. Diagnóstico de mieloma múltiple a raíz de una lesión osteolítica mandibular. Rev Esp Cir Oral Maxilofac.2016; 38 (4): 213-7.
5. Moreno Ramírez H, Villaseñor Moreno JC, Vázquez Maldonado AB. Progresión de plasmocitoma óseo a mieloma múltiple y reporte de un caso. Rev Cubana Invest Biomed. 2015; 34 (3): 289-97.
6. Martínez-López J, Lahuerta-Palacios J. Tratamiento del mieloma múltiple: nuevos enfoques. JANO. 2009 (1).727: 24-7.
7. Gandolfi S, Prada CP, Richardson P. How I treat the young patient with multiple mieloma. Blood (revista electrónica) 2 julio 2018 [consultado 21-07-2018]. Disponible en https://doi.org/10.1182/blood-2017-05-693606.
Notas de autor
Correspondencia: Verónica Notario Barba. Hospital Nuestra Señora del Prado. Carretera de Madrid, Km 114. C.P. 45600 - Talavera de la Reina (Toledo). España. Correo electrónico: vero_not@hotmail.com