UN PACIENTE CON…
Hipoplasia cerebelosa y duplicación de 15q11.2. ¿Hallazgos genéticos casuales?
Cerebellar hypoplasia and 15q11.2 duplication, casual genetic findings?
Hipoplasia cerebelosa y duplicación de 15q11.2. ¿Hallazgos genéticos casuales?
Revista Clínica de Medicina de Familia, vol. 13, núm. 3, 2020
Sociedad Castellano-Manchega de Medicina de Familia y Comunitaria
Recepción: 09 Abril 2019
Aprobación: 13 Junio 2019
RESUMEN:
Presentamos el caso de una niña diagnosticada a los 4 meses de edad de hipoplasia congénita grave del cerebelo, con clínica leve de nistagmo horizontal e hipotonía moderada. A pesar de su alteración, a los nueve años de edad ha presentado una evolución favorable con independencia motriz y buena evolución académica, intelectual y social. El estudio genético ha descubierto una duplicación 15q11.2, afectación que habitualmente se manifiesta con autismo, convulsiones y gran déficit intelectual, que nuestra paciente no presenta. Nos cuestionamos si ambos diagnósticos están o no relacionados o se trata de una asociación casual.
PALABRAS CLAVE: Asesoramiento Genético, Enfermedades Cerebelosas, Trastornos Cerebrovasculares.
ABSTRACT:
We present the case of a young girl diagnosed at the age of 4 months with severe congenital cerebellar hypoplasia, with mild horizontal nystagmus and moderate hypotonia. Despite this condition, at the age of 9 she has presented a favorable evolution, with motor independence and a positive academic, intellectual and social evolution. The genetic study has found 15q11.2 duplication, which usually manifests itself as autism, seizures, and great intellectual deficit, all of which are not present in our patient. We wonder whether these two diagnoses are connected or whether it is a casual link.
KEY WORDS: Genetic Counseling, Cerebellar Diseases, Cerebrovascular Disorders.
INTRODUCCIÓN
La hipoplasia congénita del cerebelo es un déficit raro en el desarrollo del mismo motivado por causas genéticas o ambientales, que suele causar graves alteraciones del desarrollo intelectual, motriz, del equilibrio e hipotonía1,2. La ganancia o pérdida de material genético en el brazo largo del cromosoma 15, en la región 11.2 genera en muchas ocasiones trastornos del espectro autista, convulsiones y alteraciones intelectuales importantes3.
Presentamos el caso de una paciente que padece ambas alteraciones y sorprendentemente no sufre las graves complicaciones esperables por ambas patologías.
CASO CLÍNICO
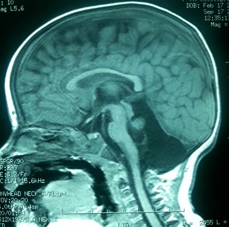
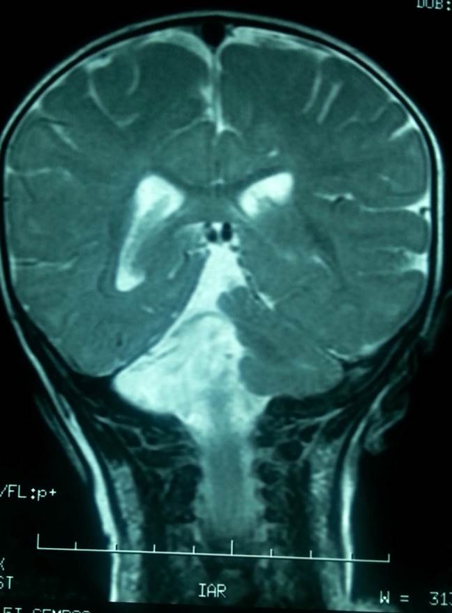
Presentamos el caso de una niña de 9 años, tercera hija de padres sanos no consanguíneos. Durante el segundo mes de embarazo su madre padeció una trombosis venosa profunda que requirió tratamiento con heparina y medias de compresión. Nacida a término con peso adecuado, no necesitó reanimación neonatal. Se alimentó con lactancia materna exclusiva hasta los 6 meses. A los 4 meses de edad, en una revisión rutinaria en el centro de salud, se detectó un nistagmus horizontal, estrabismo ocular de difícil exploración debido a su corta edad y una leve hipotonía del cuello y tronco, por lo que fue derivada a neurología infantil del hospital de referencia. Allí se realizó una resonancia nuclear magnética (RNM), detectándose una hipoplasia grave parcial del cerebelo, con ausencia total del vermis (Figuras 1 y 2). El sistema ventricular supratentorial y el parénquima cerebral no presentaban alteraciones. Se pronosticó una gran dificultad para la marcha debido a la grave afectación cerebelosa. Se recomendó estimulación precoz y rehabilitación, que la niña ha realizado de forma pública y privada con gran implicación familiar. Adquirió la marcha y el habla tardíamente, alrededor de los 3,5 años.


Actualmente tiene 9 años de edad, es autónoma motrizmente, camina prácticamente con total normalidad con un leve aumento de la base de sustentación y dificultad para la marcha en tándem. Tiene más tendencia a utilizar la parte izquierda de su cuerpo. A la exploración presenta una leve hipotonía global con leve dismetría en miembros derechos. El fondo de ojo es normal, así como la visión y la audición. El rendimiento académico es aceptable, aunque ha tenido que repetir un curso por leve alteración del desarrollo madurativo. El desarrollo afectivo es bueno, con un carácter empático y buenas habilidades sociales.
La RNM se repitió a los 9 años y no presenta diferencias con la anterior. El estudio genético ha sido realizado recientemente, mediante estudio de hibridación genómica comparada con “array”, se detecta una ganancia de material genómico en la región 15q11.2, con duplicación del fragmento BP1-BP2 de un tamaño aproximado de 396 kilobases, heredada de su padre (que no presenta ninguna manifestación clínica).
DISCUSIÓN
La hipoplasia cerebelosa es una alteración muy rara que consiste en un desarrollo incompleto del cerebelo durante el periodo embrionario. Su prevalencia al nacer es desconocida y muy poco se sabe de sus causas epidemiológicas o factores de riesgo. Aparece más frecuentemente en embarazos múltiples, pretérminos y niños de bajo peso al nacer, así como en madres con antecedentes de hipertensión o de fármacos vasoactivos y neurolépticos o antiepilépticos durante la gestación, por lo que se piensa que puede existir un motivo disruptivo vascular1,2.
Según la alteración radiológica detectada, Pascual Castroviejo et al. describieron cuatro tipos diferentes de hipogenesia cerebelosa: a) agenesia del cerebelo total o subtotal; b) agenesia del vermis asociada a malformación de Dandy Walker; c) agenesia completa del vermis sin malformación de Dandy Walker; y d) defecto parcial del vermis4.
La mayoría de los autores piensan que la hipoplasia grave del cerebelo causa grandes daños y alteraciones clínicas manifiestas. Casos con evolución neurológica adecuada, incluso con agenesia completa, han sido publicados previamente como excepcionales5.
El cerebelo contiene 85 millones de neuronas, casi la mitad de todo el cerebro humano. Hay dudas de que una vida adulta autónoma e independiente con coordinación adecuada, equilibrio y motricidad sea posible sin cerebelo6. Suele existir un gran déficit del desarrollo neurológico, especialmente en los que tienen afectación del vermis cerebeloso7.
El diagnóstico se produce prenatalmente por ecografía alrededor de la semana 20 o postnatalmente por alguna alteración neurológica detectada con RNM4. El diagnóstico diferencial hay que realizarlo fundamentalmente con el síndrome de Dandy Walker (dilatación quística del IV ventrículo, alteración del vermis cerebeloso e hidrocefalia asociada), con el síndrome de Joubert (hipoplasia del vermis, dilatación ventricular, respiración jadeante, enfermedad autosómica recesiva, gran retraso psicomotor) y con otros síndromes genéticos que afectan también a otras estructuras del sistema nervioso central como la hipoplasia pontocerebelosa y otros síndromes que afectan a otros órganos como los riñones, ojos, hígado y corazón8.
La herencia descrita para las agenesias o hipoplasias aisladas del cerebelo es variable y se han llegado a encontrar como autosómica dominante, autosómica recesiva e incluso ligada al X8. Sin embargo, la mayoría de las veces su causa es disruptiva vascular2.
Los síndromes relacionados con la ganancia de material genético o la pérdida del mismo en el brazo largo del cromosoma 15 en la región 11.2 (15q 11.2), especialmente entre las regiones BP1-BP2 (región que contiene 500 k bases y especialmente frágil) comportan en general manifestaciones clínicas muy llamativas en la función neuronal, afectan al habla, a las funciones motoras, al comportamiento, a la talla del paciente y producen autismo y esquizofrenia. Estas manifestaciones tienen una penetrancia muy reducida y una expresividad variable3,9.
El diagnóstico diferencial ha de hacerse con el síndrome de Prader Willi (deleción 15q11-q13 paterno, que cursa con obesidad, hipotonía y discapacidad intelectual) y el síndrome de Angelman (alteración de la expresión de genes en igual posición que Prader Willi, pero de origen materno, que produce epilepsia, hipotonía, retraso mental, alteraciones del habla y del equilibrio)5.
Es interesante señalar que en el caso descrito no se presentan las alteraciones neurológicas esperadas, a pesar de tener afectación del cerebelo izquierdo y del vermis cerebeloso, seguramente debido a la gran neuroplasticidad desarrollada. En cuanto a la etiología, ante la falta de alteración genética relacionada con la malformación cerebelosa, pensamos que el motivo es disruptivo vascular, puede estar relacionado con el antecedente gestacional trombótico de la madre, sin poder descartar otras causas. Al evaluar el hallazgo de la duplicación de 15q11.2 se señala que la penetrancia y expresividad es variable por lo que es verosímil que el padre de la paciente no tenga ningún síntoma y ella presente síntomas que, tal vez, no tengan que ver con esta alteración genética sino con su hipogenesia del cerebelo3,9,10.
Los médicos de familia y los pediatras de Atención Primaria estamos en una posición privilegiada para detectar trastornos precoces del desarrollo neurológico y psicomotriz, así como enfermedades sugerentes de ser familiares, por lo que creemos que las competencias en genética de la Atención Primaria tienen que ser definidas y ampliadas en el futuro inmediato.
Estudios más avanzados, como el exoma trío, que consiste en comparar el exoma entre ambos progenitores y su hija, se precisan para conocer el alcance de las alteraciones cerebelosas y su relación con genes implicados; pero a veces, afortunadamente, la realidad de la evolución clínica supera las expectativas muy especialmente en el desarrollo neuronal.
BIBLIOGRAFÍA
1. Howley MM, Keppler-Noreuil KM, Cunnif CM, Browne ML; National Birth Defects Prevention Study. Descriptive epidemiology of cerebellar hypoplasia in the National Birth Defects Prevention Study. Birth Defects Res. 2018; 110 (19): 1419-32.
2. Poretti A, Boltshauser E, Huisman TA. Prenatal cerebellar disruptions: neuroimaging spectrum of findings in correlation with likely mechanisms and etiologies of injury. Neuroimaging Clin N Am. 2016; 26 (3): 359-72.
3. Burnside RD, Pasion R, Mikhail FM, Carroll AJ, Robin NH, Youngs EL et al. Microdeletion/microduplication of proximal 15q11.2 between BP1 and BP2: a susceptibility region for neurological dysfunction including developmental and language delay. Hum Genet. 2011; 130 (4): 517-28.
4. Pascual-Castroviejo I, Santolaya JM, Tendero A. Developmental Defects of the cerebellum. A radiologic and anatomic investigation. Acta Radiol Suppl. 1976; 16 (347): 553-60.
5. Boyd CA. Cerebellar agenesis revisited. Brain. 2010; 133 (Pt 3): 941-4.
6. Lemon RN, Edgley SA. Life without a cerebellum. Brain. 2010; 133 (Pt 3): 652-4.
7. Pinchefsky EF, Accogli A, Shevell MI, Saint-Martin C, Srour M. Developmental outcomes in children with congenital cerebellar malformations. Dev Med Child Neurol. 2018; 61 (3): 350-8.
8. Ginevra Z. Hipoplasia / agenesia cerebelosa aislada. [Internet] 2005 [acceso 18 Feb. 2019]. Disponible en: https://www.orpha.net/consor/cgi-bin/
9. Vanlerberghe C, Petit F, Malan V, Vicent-Delorme C, Bouquillon S, Boute O et al. 15q11.2 microdeletion (BP1-BP2) and developmental delay, behaviour issues, epilepsy and congenital heart disease: a series of 52 patients. Eur J Med Genet. 2015; 58 (3): 140-7.
10. Benítez-Burraco A, Barcos-Martínez M, Espejo-Portero I, Jimenez-Romero S. Variable penetrance of the 15q11.2 BP1-BP2 microduplication in a family with cognitive and language impairment. Mol Syndromol. 2017; 8 (3): 139-47.
Notas de autor
Correspondencia: Lucía Sierra Santos. Consultorio El Boalo. C/ Peña Hoyela, 17. C.P. 28413 - El Boalo. Madrid (España). Correo electrónico: lusierra@hotmail.com