UN PACIENTE CON…
Síndrome de Zinner: monorrenos especiales
Zinner syndrome: special single kidney patients
Síndrome de Zinner: monorrenos especiales
Revista Clínica de Medicina de Familia, vol. 14, núm. 2, pp. 100-102, 2021
Sociedad Castellano-Manchega de Medicina de Familia y Comunitaria
Recepción: 10 Febrero 2020
Aprobación: 05 Mayo 2020
RESUMEN:
El síndrome de Zinner es una rara entidad urológica caracterizada por la dilatación quística unilateral de una vesícula seminal junto con atrofia o agenesia renal ipsilateral. Los pacientes permanecen asintomáticos en la mayoría de los casos y su diagnóstico es incidental. El tratamiento de elección es quirúrgico cuando presentan sintomatología o se ve afectada la fertilidad del paciente. Presentamos el caso de un paciente de 13 años, monorreno de nacimiento, asintomático, sin otros antecedentes personales de interés, al que, durante un examen rutinario de su patología de base, se le realiza ecografía abdominal en la que se visualiza un probable quiste ureteral con una dilatación de la vesícula seminal compatible con un probable síndrome de Zinner.
Palabras clave: Vesículas seminales, agenesia renal unilateral, anomalías congénitas.
ABSTRACT:
Zinner syndrome is a rare urological entity characterized by unilateral cystic dilation of a seminal vesicle together with atrophy or ipsilateral renal agenesis. Patients remain asymptomatic in most cases and their diagnosis is incidental. The treatment of choice is surgical when symptoms occur or affect the patient´s fertility. We report the case of a 13-year-old asymptomatic boy born with a single-kidney with no other personal history of interest. During a routine examination of his underlying pathology, abdominal ultrasound was performed where a probable ureteral cyst with seminal vesicle dilation compatible with probable Zinner syndrome was observed.
Keywords: Congenital Abnormalities, seminal Vesicles, unilateral Renal Agenesis.
INTRODUCCIÓN
El síndrome de Zinner es una rara entidad urológica, descrita por primera vez en 1914 por Zinner1. Suele ser diagnosticado en la segunda y tercera década de la vida2, durante el período de mayor actividad sexual y reproductiva3. Se caracteriza por la presencia de quistes en las vesículas seminales y obstrucción del conducto eyaculador, y se asocia a otras anomalías genitourinarias, como agenesia renal ipsilateral en el 80% o duplicidad del sistema colector en un 8% de los casos, aunque también se han descrito casos de anomalías vasculares que afectan a la cava y a la aorta abdominal asociados a este síndrome1.
El origen embriológico común del tracto urinario y genital (mesonefros o conductos de Wolf y de la yema ureteral) conlleva anomalías asociadas con el desarrollo de estos dos sistemas3. De esta manera, si se produce una alteración entre la cuarta y la decimotercera semana de gestación, la embriogénesis del riñón, uréter, vesículas seminales y los vasos deferentes podría alterarse4.
CASO CLÍNICO
Presentamos el caso de un paciente de 13 años, sin antecedentes familiares de interés, nacido a término de padres no consanguíneos. Es monorreno de nacimiento diagnosticado mediante ecografía fetal, en seguimiento por nefrología con función renal conservada y que fue dado de alta a los 2 años de edad, sin seguimiento posterior. Se encuentra asintomático y no ha presentado infecciones del tracto urinario ni otra clínica urológica frecuente.
El paciente acude a la consulta de Medicina Familiar en el medio rural y se decide, para control de su patología de base a pesar de encontrarse asintomático, la realización de una ecografía abdominal y del tracto urinario.
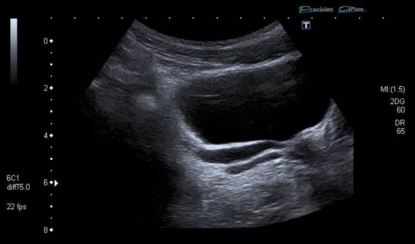
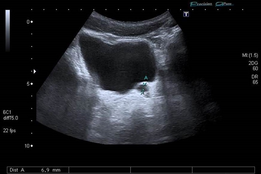
Se realiza la ecografía abdominal, donde se objetiva un riñón único derecho, no claramente compensador (figura 1). No se identifica el riñón izquierdo, pero se visualizan dos imágenes quísticas retrovesicales izquierdas, alargadas, que parecen desembocar en la próstata o el cuello vesical (figura 2). La más posterior, de 0,4 x 2,3 cm, probablemente corresponda a una dilatación de la vesícula seminal o del quiste mesonéfrico; el anterior, de 0,6 x 4,2 cm, podría corresponder a una dilatación del divertículo del remanente ureteral ciego con desembocadura baja (figura 3).



Ante estos hallazgos, se deriva a urología, donde solicitan una cistoureterografía miccional seriada, en la que no se observan alteraciones valorables. Posteriormente, se completa el estudio con una resonancia magnética (RM), en la que se confirma la presencia de dos imágenes tubulares quísticas, hiperintensas en T1 (contenido hemático/proteínas). Todo ello sugestivo de síndrome de Zinner.
Dado que el paciente se encuentra asintomático, se decide tratamiento conservador, con controles periódicos para valorar la evolución.
DISCUSIÓN
El síndrome de Zinner se caracteriza por dilataciones quísticas unilaterales de la vesícula seminal y la atrofia o agenesia del riñón ipsilateral1. La enfermedad quística de las vesículas seminales puede ser congénita, pero también adquirida, debida a una inflamación u obstrucción crónica4.
Las anomalías congénitas de las vesículas seminales son malformaciones infrecuentes3, reportándose en la literatura hasta el año 2016 solo 200 casos de quistes de las vesículas seminales junto con agenesia renal ipsilateral5. Se debe al origen embriológico común entre el tracto urinario y el genital por el conducto de Wolff.
La clínica es variada, e incluso los pacientes pueden permanecer asintomáticos y ser un hallazgo incidental en un examen rutinario5,6. El quiste puede ser suficientemente grande para protruir dentro de la vejiga o puede incluso prolapsar en el interior del cuello de la vejiga5.
El principal síntoma es el dolor provocado por el efecto masa (abdominal, pélvico o perineal). Otros síntomas son disuria, infección o urgencia miccional1. Además, puede aparecer epididimitis u obstrucción del tracto gastrointestinal o genitourinario3, nicturia frecuente y eyaculación dolorosa debido a la presión de los quistes de la vesícula seminal6. Más tarde se desarrolla oligozoospermia e incluso la azoospermia llevando a infertilidad6.
El diagnóstico de estas malformaciones se establece en la etapa de mayor actividad sexual, cuando el líquido se acumula en las vesículas seminales como resultado de un incompleto drenaje secundario a la estenosis del conducto eyaculador3. Para ello, se requiere un alto índice de sospecha clínica1.
Además, es importante realizar un diagnóstico diferencial de otras causas de masas pélvicas en hombres. Existen muchas causas: los quistes pequeños pueden derivar de la próstata, de los conductos eyaculadores o de las glándulas de Cowper. Los tumores pueden derivar de la vejiga, próstata o uretra; sin embargo, ninguno de estos procesos se asocia a agenesia renal1.
La valoración para estudios de imagen es de utilidad para establecer el sitio, morfología y el contenido de la lesión1, permitiendo un diagnóstico certero de esta rara anomalía del tracto genitourinario6.
La ecografía como método diagnóstico inicial es buena para descartar otras causas de dolor abdominal y demostrar la agenesia renal, así como la imagen quística de la pelvis1. La RM es la modalidad de elección para precisar delineación de la anatomía del tracto genital masculino, para la demostración de los quistes de las vesículas seminales y la evaluación de las anomalías del conducto mesonéfrico, y para diferenciar los quistes de las vesículas seminales de otras masas quísticas pélvicas.
El tratamiento de elección es quirúrgico y está indicado solo para aquellos casos que cursen con sintomatología urinaria importante, con preferencia de procedimientos quirúrgicos mínimamente invasivos si es posible7. Los factores que justifican la cirugía en los pacientes con esta entidad son tratamientos múltiples sin éxito con antibióticos y la infertilidad2.
La cirugía se considera terapéutica para el alivio de la obstrucción del conducto eyaculador, aportando una cura excelente y alivio de los síntomas (100% y 75%, respectivamente). La infertilidad resulta de la obstrucción del quiste eyaculador; cuando la obstrucción es liberada, la fertilidad se resuelve6.
Consideramos que es posible que sea una entidad infradiagnosticada, al tratarse de anomalías del desarrollo del sistema genitourinario a menudo no consideradas por los clínicos cuando los pacientes presentan síntomas difusos pertenecientes al tracto urinario. Por ello es importante como médicos de familia sospechar esta entidad ante la aparición de síntomas, ya que el diagnóstico de presunción es sencillo con ecografía clínica y el tratamiento quirúrgico revierte los síntomas.
BIBLIOGRAFÍA
Suárez Aliaga B, Rodríguez Jiménez I. Quiste de vesícula seminal con agenesia renal asociado a malformaciones vasculares: Presentación de un caso. Arch Esp Urol. 2007;60(9):1134-6.
Mehra S, Ranjan R, Garga UC. Zinner síndrome — a rare developmental anomaly of the mesonephric duct diagnosed on magnetic resonance imaging. Radiol Case Rep. 2016;11(4):313-7.
Grimaldo Salazar R, Chapa Lobo AF, Galán Maraboto JJ, Ríos Briones NI, Guardiola Fernández A, Grimaldo Oliveros AA. Quiste de vesículas seminales con agenesia renal ipsilateral. Presentación de 3 casos y revisión de la literatura. Rev Mex Urol. 2007;67(1):61-4.
Kuo J, Foster C, Shelton DK. Zinner's syndrome. World J Nucl Med. 2011;10(1):20-2.
Slaoui A, Regragui S, Lasri A, Karmouni T, El Khader K, Koutani K, et al. Zinner's syndrome: report of two cases and review of the literature. Basic Clin Androl. 2016;26:10.
Kord E, Zisman A, Darawsha AE, Dally N, Noh PH, Neheman A. Minimally invasive approach for treatment of seminal vesicle cyst associated with ipsilateral renal agenesis. Urol Int. 2017;99(3):338-42.
Symeonidis EN, Gkekas C, Tsifountoudis I, Symeonidis A, Georgiadis C, Kalyvas V, et al. Incidental finding of Zinner syndrome in a Greek military recruit: a case report of a rare clinical entity. Mil Med Res. 2019;6(1):4.
Notas de autor
Correspondencia Golda Alexandra Córdoba Quishpe. Centro de Salud Mar Báltico. Calle Mar Báltico, nº 2. 28033 Madrid (España). Correo electrónico goldaalexandra.cordoba@salud.madrid.org