UN PACIENTE CON…
Neumonía por COVID-19 en niña con síndrome de Down
COVID-19 pneumonia in a girl with Down syndrome
Neumonía por COVID-19 en niña con síndrome de Down
Revista Clínica de Medicina de Familia, vol. 14, núm. 2, pp. 106-108, 2021
Sociedad Castellano-Manchega de Medicina de Familia y Comunitaria
Recepción: 05 Mayo 2020
Aprobación: 14 Julio 2020
RESUMEN:
Actualmente, no existe información estadística ni evidencias sobre cómo está afectando el SARS-CoV-2 en el síndrome de Down. Sin embargo, es frecuente que estas personas tengan comorbilidades asociadas a su síndrome como cardiopatías, enfermedad pulmonar crónica, hipertensión, diabetes u otras patologías que les hacen ser un colectivo más vulnerable. Presentamos el caso clínico de una niña de 7 meses con diagnóstico de síndrome de Down con una comunicación interauricular asociada, que padeció una neumonía por COVID-19 con una evolución tórpida y que requirió ingreso hospitalario. Es pertinente tenerlo en cuenta en nuestras consultas, dado el ambiente epidemiológico del SARS-CoV-2, puesto que son pacientes con múltiples comorbilidades que determinan factores de riesgo y mal pronóstico para esta infección.
Palabras clave: Atelectasia pulmonar, covid-19, síndrome de Down, neumonía, insuficiencia respiratoria, virus de la bronquitis infecciosa.
ABSTRACT:
Currently, there is no statistical information or evidence on how SARS-CoV-2 is affecting Down syndrome. However, it is common for these people to have comorbidities associated with their syndrome such as heart disease, chronic lung disease, hypertension, diabetes, or other pathologies that make them a more vulnerable group. We report the case study of a seven-month-old girl with a personal history of Down syndrome with an associated interatrial communication, who suffered from COVID-19 pneumonia with torpid clinical course and who required hospital admission. It is relevant to take this into account in our consultations, given the epidemiological environment of SARS-CoV-2, since they are patients with multiple comorbidities that determine risk factors and a poor prognosis for this infection.
Keywords: COVID-19, down Syndrome, infectious Bronchitis Virus, pneumonia, pulmonary Atelectasis, respiratory Insufficiency.
INTRODUCCIÓN
La infección respiratoria por SARS-CoV-2 tiene distintas manifestaciones, siendo la más frecuente una clínica leve y larvada en el 80% de los casos, en especial en la población infantil y adolescente (solo 1-2% de la población pediátrica es sintomática). Sin embargo, un porcentaje de la población evoluciona desfavorablemente, en especial en relación con la respuesta proinflamatoria y protrombótica más tardía1,2. Los pacientes con síndrome de Down con comorbilidades asociadas, como cardiopatías congénitas, alteraciones del estado inmunitario o enfermedades respiratorias, entre otras, tienen mayor predisposición a una evolución más grave3.
CASO CLÍNICO
Presentamos el caso de una niña de 7 meses de edad, con síndrome de Down por trisomía pura o regular. Nacida a término, segunda hija de padres no consanguíneos. La paciente tiene una comunicación interauricular (CIA) del tipo ostium secundum presente desde el nacimiento, no intervenida, y además se encuentra en tratamiento profiláctico para virus respiratorio sincitial con palavizumab. No presenta antecedentes familiares de interés ni otras comorbilidades asociadas, salvo un ingreso previo por bronquiolitis a los 3 meses; tiene el calendario de vacunaciones al día y percentiles de crecimiento adecuados (p54). Es traída a consultas de Atención Primaria por fiebre de pico máximo 39,5 ºC de 1 día de evolución, asociada a tiraje en tres niveles: intercostal, supraclavicular y supraesternal. Además, presentaba tos, deposiciones diarreicas, pérdida de apetito y decaimiento.
La paciente acude a una guardería y presenta un ambiente epidemiológico positivo para infección por COVID-19, dada la situación actual de pandemia. Por lo que, ante los datos de alarma y las comorbilidades que presentaba, se decide traslado hospitalario.
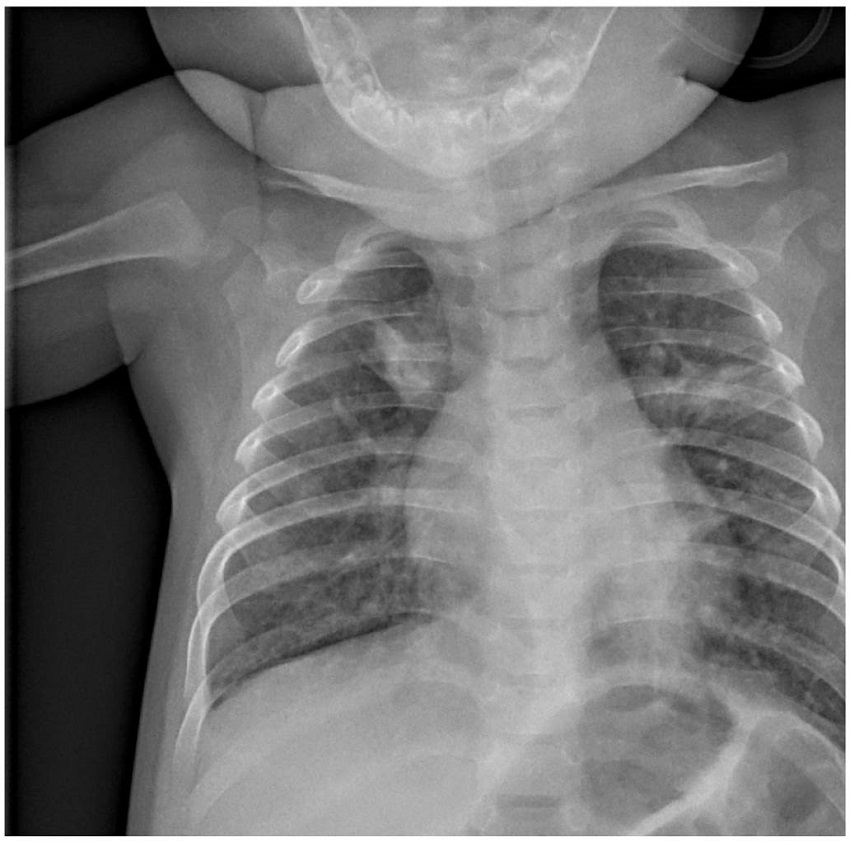
A su llegada a urgencias, presentaba hipoxemia con saturaciones basales en torno al 85%. Se realizó una radiografía de tórax, en la que se apreciaron consolidaciones segmentarias bilaterales en lóbulos superiores y retrocardíaca, sugestivos de infección por COVID-19 (figura 1). Los reactantes de fase aguda en la analítica no estaban elevados (leucocitos 7,28 x 103, proteína C reactiva 3,4 mg/L, D-dímero 450 ng/mL). Se pautaron broncodilatadores (salbutamol), hidroxicloroquina, corticoterapia (estilsona) y antibioterapia (amoxicilina-clavulánico), y la paciente remontó hasta una saturación de oxígeno (SatO2) del 100% con oxígeno a 3 L. Se realiza una PCR para SARS-CoV-2 en la orofaringe, que resultó positiva.

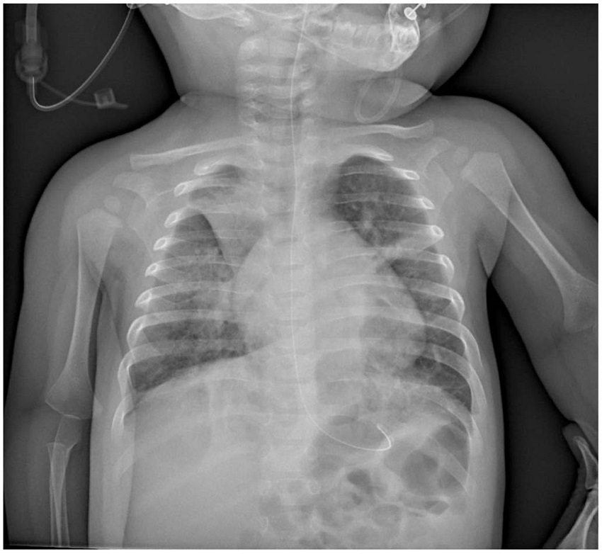
Al quinto día de ingreso hospitalario, se objetivó un empeoramiento clínico, con mala tolerancia oral, vómitos, deposiciones diarreicas, fiebre elevada y desaturaciones, pese a oxígeno a 2 L en gafas nasales. Se hizo una nueva radiografía de control en la que se objetivó una atelectasia del lóbulo superior derecho con persistencia de engrosamientos bilaterales difusos bilaterales (figura 2). Estos nuevos hallazgos se corresponden con un empeoramiento analítico, con elevación del D-dímero, leucocitosis, discreta elevación de la proteína C reactiva e interleucina-6 elevada (leucocitos 13,24 x 103, proteína C reactiva 10,4 mg/L, D-dímero 897 ng/mL, IL-6 14,5 pg/mL).

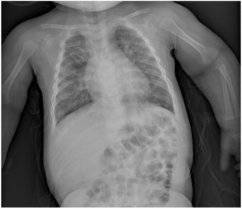
Se decidió un cambio de tratamiento a ceftriaxona intravenosa, se realizó un sondaje nasogástrico para la alimentación enteral de la paciente y se mantuvo con estrecha vigilancia y monitorización de constantes. Tras 15 días de ingreso hospitalario, finalmente la paciente progresa de forma favorable. En la radiografía de control se observa que persisten engrosamientos peribronquiales y un ligero aumento difuso de la densidad pulmonar en vidrio deslustrado, pero con mejoría y desaparición de la consolidación subsegmentaria en el campo medio-superior izquierdo (figura 3). Con la estabilización de constantes con saturaciones basales del 96%, afebril y con buena tolerancia oral, se decide el alta hospitalaria con control telefónico de la paciente por Atención Primaria.

DISCUSIÓN
En diciembre de 2019, en la provincia de Wuhan (China), se comenzaron a detectar los primeros casos de neumonía de un nuevo coronavirus (COVID-19)4,5. Más del 80% de los pacientes con COVID-19 son pacientes con cuadros sintomáticos leves, como tos seca, fiebre, deposiciones diarreicas, odinofagia, mialgias, leve sensación disneica y disgeusia o anosmia asociada6. Además, cabe destacar que solo el 1-2% de la población pediátrica muestra clínica asociada7.
Sin embargo, existe un porcentaje de pacientes cuya evolución es más tórpida, con aumento de la mortalidad y mayor tasa de complicaciones, con neumonía, insuficiencia respiratoria, shock séptico y fallo multiorgánico8. Se observan dos fases en la enfermedad: una primera en la que predominaría la patogenicidad viral y otra más tardía en la que la respuesta inflamatoria excesiva del huésped superaría a la patología viral de base. Son marcadores del mal pronóstico de la enfermedad la elevación de marcadores proinflamatorios y procoagulantes (D-dímero, ferritina, interleucina 6, troponina)9. En pacientes con cardiopatías o comorbilidades asociadas, esta infección produce una sobrecarga en el músculo cardíaco derivado del daño infeccioso e inflamatorio, que condiciona el mal pronóstico.
El diagnóstico diferencial de la infección por SARS-CoV-2 en la población pediátrica incluye otras infecciones víricas con síndromes febriles y respiratorios asociados (gripe A, virus respiratorio sincitial, adenovirus) o bacterianas, así como otras enfermedades que causan condensación pulmonar y disnea como tromboembolismos pulmonares, neoplasias o cuerpos extraños.
El síndrome de Down es la autosomopatía más habitual y mejor conocida en nuestro medio. Se presenta en 1 de cada 800 recién nacidos vivos, por lo que no sería de extrañar que, como especialistas en Medicina Familiar, tuviéramos algún caso en nuestros cupos poblacionales10. Los pacientes presentan una serie de rasgos dismórficos característicos que no son patognomónicos, pero que en conjunto definen el cuadro. El 50%, aproximadamente, presenta defectos congénitos cardíacos, sobre todo en el tabique atrioventricular, del tipo comunicación interventricular (CIV) o CIA10. Además, hay mayor riesgo para el desarrollo de infecciones (en relación con un estado inespecífico del estado inmunitario)10 y procesos tumorales. Asimismo, presentan un mayor riesgo de desarrollar otras enfermedades, como alteraciones tiroideas, hipertensión arterial u obesidad, entre otras.
Se postulan factores de riesgo y mal pronóstico para la evolución del SARS-CoV-2, en cohortes de pacientes que fallecieron en el epicentro del brote, entre las que destacan enfermedades crónicas no transmisibles como la hipertensión, la diabetes y las cardiopatías11. Estás patologías y aumento de comorbilidades suelen estar presentes en pacientes con síndrome de Down, por lo que podrían ser considerados pacientes de riesgo de complicaciones en la infección por COVID-1912.
Como especialistas en Medicina Familiar, debemos tener en cuenta que, si bien la mayoría de las personas con infección por SARSCoV-2 experimentan síntomas leves y evolucionan favorablemente, la población con factores de riesgo, como el síndrome de Down y las comorbilidades que asocia, están predispuestas a las complicaciones graves e, incluso, a la muerte. Esto podría ayudar a la sociedad y a los profesionales de la salud a proteger, tratar y aplicar las medidas epidemiológicas y preventivas pertinentes a las personas con mayor riesgo.
BIBLIOGRAFÍA
Cai J, Xu J, Lin D, Yang Z, Xu L, Qu Z, et al. A case series of children with 2019 novel coronavirus infection: clinical and epidemiological features. Clin Infect Dis. 2020; ciaa198. DOI: 10.1093/cid/ciaa198.
Kam KQ, Yung CF, Cui L, Pin LRT, Mak TM, Maiwald M, et al. A well infant with coronavirus disease 2019 (COVID-19) with high viral load. Clin Infect Dis. 2020; ciaa201. doi: 10.1093/cid/ciaa201.
Rasmussen SA, Thompson LA. Coronavirus disease 2019 and children: what pediatric health care clinicians need to know. JAMA Pediatr. 2020. doi: 10.1001/jamapediatrics.2020.1224.
Qiu H, Wu J, Hong L, Luo Y, Song Q, Chen D. Clinical and epidemiological features of 36 children with coronavirus disease 2019 (COVID-19) in Zhejiang, China: an observational cohort study. Lancet Infect Dis. 2020;20(6):689-96.
Dong Y, Mo X, Hu Y, Qi X, Jiang F, Jiang Z, et al. Epidemiology of COVID-19 among children in China. Pediatrics. 2020;145(6):e20200702.
Asociación Española de Pediatría. [Internet]. Documento de manejo clínico del paciente pediátrico y pacientes de riesgo con infección por SARS-CoV2 [publicado 6 de marzo de 2020; actualizado 27 de mayo de 2020; consultado 1 abril 2020]. Disponible en: https://www.aeped.es/noticias/documento-manejo-clinico-paciente-pediatrico-y-pacientes-riesgo-con-infeccion-por-sars-cov2
Lu X, Zhang L, Du H, Zhang J, Li YY, Qu J, et al. SARS-CoV-2 infection in children. N Engl J Med. 2020; 382(17): 1663-5.
Tagarro A, Epalza C, Santos M, Sanz-Santaeufemia FJ, Otheo E, Moraleda C, et al. Screening and severity of coronavirus disease 2019 (COVID-19) in children in Madrid, Spain. JAMA Pediatr. 2020. doi: 10.1001/jamapediatrics.2020.1346.
Ludvigsson JF. Systematic review of COVID-19 in children shows milder cases and a better prognosis than adults. Acta Paediatr. 2020;109(6):1088-95.
Delgado A. Tratado de pediatría. Volumen I: Patología prenatal y perinatal. Madrid: CTO Editorial; 2015.
Hong H, Wang Y, Chung HT, Chen CJ. Clinical characteristics of novel coronavirus disease 2019 (COVID-19) in newborns, infants and children. Pediatr Neonatol. 2020;61(2):131-2.
Cruz AT, Zeichner SL. COVID-19 in children: initial characterization of the pediatric disease. Pediatrics. 2020;145(6): e20200834.
Notas de autor
Correspondencia Gloria Maqueda Zamora. C/ Bravo Murillo nº 126, 3º D. 28020 Madrid (España). Correo electrónico gloriamaquedazamora@gmail.com