UN PACIENTE CON…
Recepción: 18 Julio 2020
Aprobación: 23 Agosto 2020
RESUMEN: El timoma es un tumor infrecuente que se presenta habitualmente con clínica secundaria a compresión local como dolor torácico, tos o disnea y que en ocasiones puede manifestarse con síntomas sistémicos como la fiebre. Es un desafío para el médico de familia el diagnóstico y tratamiento de los pacientes con síntomas respiratorios en la época de la COVID-19. Presentamos el caso clínico de una paciente con timoma y la atención que le prestamos durante la pandemia mundial.
Palabras clave: Infecciones por coronavirus, dolor en el pecho, timoma.
ABSTRACT: Thymoma is a rare tumour. It usually appears with symptoms related to local compression such as chest pain, cough or dyspnoea and sometimes systemic symptoms such as fever. Diagnosis and treatment of patients with respiratory symptoms becomes a challenge for Primary Care physicians during the COVID-19 period. We report a case study of a patient diagnosed with thymoma and the treatment provided during the global pandemic.
Keywords: Chest Pain, coronavirus Infections, thymoma.
INTRODUCCIÓN
Desde la aparición del primer caso en diciembre de 2019 en la ciudad china de Wuhan, la COVID-19 se ha convertido en un problema de salud mundial1. La Atención Primaria se enfrenta actualmente al reto de adaptarse a una situación nunca conocida, en la cual debe proteger la salud de la población en el contexto de esta enfermedad y atender y cuidar del resto de problemas de salud que siguen afectando a nuestra población2.
CASO CLÍNICO
Se presenta el caso de una paciente de 56 años sin antecedentes médicos de interés, intervenida quirúrgicamente de apendicectomía, hernia discal L5-S1 y laparoscopia exploradora por dismenorrea. Sin antecedentes de COVID-19 conocidos.
La paciente acudió a consulta de forma urgente por presentar un dolor torácico de 24 horas de evolución, localizado en hemitórax derecho, características opresivas, reflejado a nivel cervical, acentuado con los movimientos respiratorios. Se asoció a febrícula de 37,3 ºC, marcado decaimiento e inapetencia, junto con ocasionales náuseas. En la exploración física destacó importante ansiedad, asociando taquipnea (48 rpm) y discreto trabajo respiratorio. Las constantes vitales fueron normales, salvo la saturación de oxígeno, que fue del 95%. La auscultación cardiopulmonar no reveló signos patológicos. Se realizó como prueba complementaria un electrocardiograma que tampoco mostró anomalías, por lo que, siguiendo el protocolo de actuación de nuestra comunidad, dado que la paciente presentaba clínica compatible con infección por SARS-Cov-2 y signos de dificultad respiratoria, se derivó a urgencias hospitalarias mediante transporte sanitario.
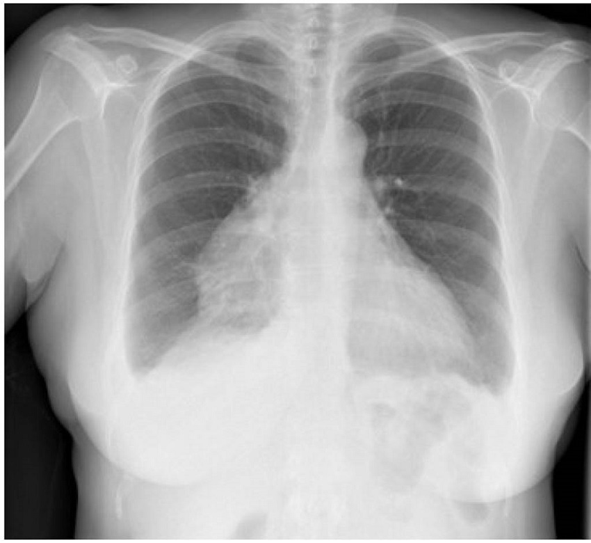
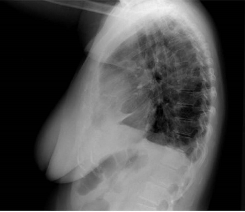
En urgencias hospitalarias, el estudio se completó con una prueba de laboratorio, en la que se objetivó un aumento de los reactantes de fase aguda (proteína C reactiva 118,7 mg/L y fibrinógeno 692 mg/ dL), sin aparición de otros hallazgos sugestivos de infección ni elevación de marcadores de daño miocárdico o indicadores de insuficiencia cardíaca. También se le hizo una radiografía de tórax, en la que se apreció una imagen compatible con cardiomegalia versus masa mediastínica anterior, con una pérdida de volumen en lóbulo inferior derecho y derrame pleural bilateral (figuras 1 y 2).


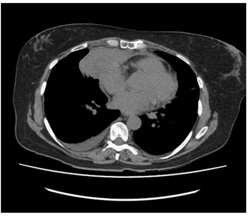
El estudio de imagen se amplió con una tomografía computarizada (TC) torácica, en la que finalmente se constató la presencia de una masa en mediastino anterior de 87 x 56 mm, hipodensa, con calcificación en la parte lateral derecha que condicionaba la zona de atelectasia periférica en el parénquima pulmonar subyacente (figura 3). La paciente ingresó en planta para continuar el estudio y se le hizo una punción con aguja fina (PAAF) y una microbiopsia de la lesión, con diagnóstico anatomopatológico definitivo de timoma, por lo que fue derivada al servicio de cirugía torácica para plantear exéresis quirúrgica. Esta fue realizada con éxito. Posteriormente, la paciente fue evaluada tanto en nuestra consulta como por el servicio de cirugía torácica y comprobamos que no había ningún tipo de complicaciones.

DISCUSIÓN
Es cierto que en la situación epidemiológica en la que nos encontramos, ante un cuadro de sospecha de infección de vías respiratorias, debemos pensar en el SARS-Cov-2 como culpable por la elevada incidencia y las consecuencias sobre la salud pública que ha demostrado tener. Si, además, el paciente presenta cualquier dato de alarma, deberá ser trasladado mediante transporte sanitario a las urgencias hospitalarias3. No obstante, el dolor torácico es uno de los motivos de consulta más frecuentes en Atención Primaria4 y puede ser consecuencia de multitud de patologías que seguimos atendiendo en el día a día, por lo que es necesario proporcionar a cada paciente una atención completa e individualizada.
El timoma supone el tumor más habitual del mediastino anterior, aunque su incidencia es rara, en torno a 1.000 casos al año en Europa y 1,5 casos por millón de habitantes en el mundo. Tiene un pico de presentación entre la quinta y la séptima década de la vida. Un tercio de los pacientes son asintomáticos. La forma clínica más frecuente de presentación es dolor torácico, tos, disnea o ronquera, secundario a la compresión local que provoca su crecimiento. Otros síntomas que pueden estar presentes son, a nivel sistémico, fiebre, sudoración nocturna o pérdida de peso. Más raro es encontrar síndrome de vena cava superior, síntomas neurológicos o lesiones externas al mediastino anterior5,6.
Otra de las formas clínicas posibles de presentación del timoma es la presencia de síndromes paratímicos. De ellos, el más frecuente es la miastenia gravis. Los pacientes referirán en este caso historia de ptosis palpebral, diplopía, disartria, dificultad para subir escaleras, fatigabilidad, debilidad muscular o disnea que empeora durante el día5.
Como principal conclusión queremos destacar la necesidad de estar preparados en el ámbito de la Atención Primaria para el diagnóstico y tratamiento de los cuadros respiratorios de causas etiológicas distintas a la COVID-19 en esta época de pandemia. No debemos olvidarnos de las dos grandes armas de la médica y el médico de familia: la anamnesis y la exploración física, pues las personas van a continuar desarrollando otras patologías más infrecuentes y no por ello menos importantes. Por tanto, hay que poner los cinco sentidos para que diagnósticos menos habituales no caigan en el olvido en esta situación excepcional que nos ha tocado vivir.
BIBLIOGRAFÍA
Leap J, Villgran V, Cheema T. COVID-19: Epidemiology, Pathophysiology, Transmission, Symptoms. Crit Care Nurs Q. 2020;43(4):338-42.
Minué Lorenzo S. Contra el coronavirus, más Atención Primaria que nunca. AMF. 2020;16.
Dirección General de Atención Primaria. Procedimiento de seguimiento para los pacientes con infección respiratoria COVID-19. Toledo: SESCAM; 2020.
Gallardo Arenas M, Martínez Zabala MC. Dolor torácico agudo. AMF. 2019;15(5):243-4.
Ettinger DS, Riely GJ, Akerley W, Borghaei H, Chang AC, Cheney RT, et al. Thymomas and thymic carcinomas: Clinical Practice Guidelines in Oncology. J Natl Compr Canc Netw. 2013;11(5):562-76.
Scorsetti M, Leo F, Trama A, D'Angelillo R, Serpico D, Macerelli M, et al. Thymoma and thymic carcinomas. Crit Rev Oncol Hematol. 2016;99:332-50.
Notas de autor
Correspondencia Javier Cabañas Morafraile. Consultorio Burguillos de Toledo. Calle Carrizal, nº 4. 45112 Burguillos de Toledo. Toledo (España). Correo electrónico javier.cabanasm@gmail.com