UN PACIENTE CON...
Recepción: 26 Mayo 2021
Aprobación: 21 Junio 2021
RESUMEN: Se presenta el caso de un hombre, de 76 años, con un angiosarcoma cardíaco que debutó con insuficiencia cardíaca y taponamiento pericárdico. Se trata de un tumor muy raro, esto hace que el diagnóstico sea difícil y en ocasiones tardío. Es más frecuente en hombres de mediana edad y suele debutar con clínica de insuficiencia cardíaca. Se debe diagnosticar con pruebas de imagen y el tratamiento de elección es el quirúrgico, siempre que sea posible, aunque las recidivas locales y las metástasis son frecuentes, lo que lo convierte en un tipo de tumor con mal pronóstico.
Palabras clave: Angiosarcoma, cardiomegalia, insuficiencia cardíaca, taponamiento cardíaco.
ABSTRACT: We report the case of a 76-year-old man with a cardiac angiosarcoma that commenced with heart failure and pericardial tamponade. This is an extremely rare tumour and often overlooked as an initial diagnosis. It is more common in middle-aged men and usually presents with clinical symptoms of heart failure. It must be diagnosed with imaging tests and the treatment of choice is surgery whenever possible, although local recurrence and metastases are common. This makes it a tumour with a poor prognosis.
Keywords: Cardiac tamponade, cardiomegaly, heart failure, hemangiosarcoma.
INTRODUCCIÓN
Los sarcomas son un grupo heterogéneo y raro de tumores malignos que comprenden tan solo el 1% de los cánceres en adultos. Los angiosarcomas son tumores poco comunes que aparecen típicamente en la cabeza, el cuello o la mama. Están relacionados con la exposición a radiación terapéutica unos 8 o 10 años antes1.
Los tumores cardíacos primarios son extremadamente raros. Las series de autopsias muestran una incidencia de tumores cardíacos del 0,02%. La mayoría de ellos son benignos y un 25% son malignos. El mixoma es el más común entre los benignos y el angiosarcoma, el más frecuente entre los malignos2.
La excepcionalidad de estos tumores hace de ellos un reto diagnóstico.
CASO CLÍNICO
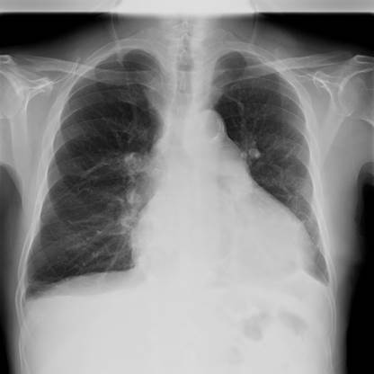
Se presenta el caso de un hombre, de 76 años, fumador y con diabetes tipo 2 en tratamiento con metformina, que acude a urgencias por disnea y edemas en las extremidades inferiores (EEII). En la exploración física presenta crepitantes bibasales a la auscultación pulmonar y edemas bimaleolares en EEII. En la analítica destaca un NT-proBNP de 715,0 pg/mL (normalidad: 0-450). También se realiza una radiografía de tórax con un índice cardiotorácico aumentado y pequeño derrame pleural bilateral (figura 1). Es dado de alta con diagnóstico de «primera descompensación de insuficiencia cardíaca sin datos de alarma» con tratamiento con furosemida, vía oral, 60 mg/día.

Dos días más tarde, acude a la consulta de Atención Primaria (AP). El paciente refiere empeoramiento de la disnea. Presenta mal estado general, tonos atenuados en la auscultación cardíaca y taquipnea a 20 respiraciones por minuto (rpm) con saturación de oxígeno (SatO2) del 93%. El electrocardiograma (ECG) muestra disminución de los voltajes en los complejos QRS en todas las derivaciones y bloqueo de rama derecha (figura 2). Se decide derivarle a urgencias por sospecha de tromboembolismo pulmonar (TEP).

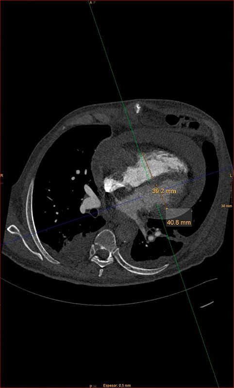
En la analítica, destaca un dímero D de 2322 ng/mL (normalidad: 0-500). Se realiza una angiografía por tomografía computarizada (angio-TC) de arterias pulmonares que descarta TEP, pero en la que se observa un marcado derrame pericárdico y una masa cardíaca de 70x35 mm en la aurícula derecha, que se confirma con un ecocardiograma. El paciente ingresa en la planta de cardiología y se continúa el estudio con una resonancia magnética (RM) en la que se aprecia que la masa infiltra la pared libre de la aurícula derecha con invasión del pericardio visceral (figura 3). Durante la realización de dicha prueba el paciente presenta deterioro clínico con hipotensión, por lo que, ante la sospecha de taponamiento cardíaco, ingresa en la unidad coronaria, donde se le realiza una pericardiocentesis urgente, obteniéndose 1 litro de líquido hemorrágico con anatomía patológica negativa para células tumorales. Más tarde se completa el estudio con una tomografía computarizada (TC) toraco-abdomino-pélvica en la que se observa una lesión expansiva (LE) sólida, hipocaptante en el segmento 6 del hígado, sugestiva de metástasis, que en la tomografía por emisión de positrones (PET)-TC no presenta significado patológico y se repite la RM cardíaca que muestra una masa sugestiva de angiosarcoma. Se realiza una punción con aspiración de aguja fina (PAAF) de la LE hepática que, con técnicas de inmunocitoquímica, resulta positiva para los marcadores CD34 y CD31, compatible con angiosarcoma.

Al alta, es seguido en las consultas de oncología médica y cardiología. Es anticoagulado con edoxabán por flutter auricular y se le implanta un marcapasos por bloqueo auriculoventricular avanzado y disfunción sinusal. Por parte de oncología, recibe tratamiento con paclitaxel semanal (20 ciclos) pero por progresión tumoral se cambia primero a doxorubicina liposomal pegilada (5 ciclos), posteriormente a gemcitabina/dacarbazina (5 ciclos) y, finalmente, a ciclofosfamida oral. Durante este tiempo presenta progresión de las metástasis hepáticas y tiene que ingresar en una ocasión por anemización secundaria a sangrado de metástasis hepática, que se trató con embolización selectiva de la arteria hepática derecha y suspensión del edoxabán.
Se activa al equipo de cuidados paliativos domiciliarios, que acuden a valorarle y le realizan paracentesis evacuadoras semanales. Finalmente, el paciente fallece casi 3 años después del diagnóstico.
DISCUSIÓN
Los angiosarcomas son un raro tipo de tumor maligno, que se comportan de manera muy agresiva con una alta tasa de recurrencias locales y metástasis a distancia. Es más frecuente en hombres que en mujeres, con una ratio de 2-3/1 y se suelen dar en paciente menores de 65 años. La localización más frecuente en el corazón es la aurícula derecha3.
La mayor parte de los pacientes presentan manifestaciones clínicas debidas a insuficiencia cardíaca derecha, enfermedad pericárdica, angina y embolia pulmonar4.
El ECG puede ser normal, aunque también pueden aparecer cambios inespecíficos del segmento ST y bajos voltajes. En la radiografía de tórax se observa cardiomegalia. Para su diagnóstico inicial se recurre normalmente a la ecocardiografía. Posteriormente, se puede ampliar el estudio con RM, TC o PET. Pero la caracterización definitiva del tumor requiere obtener muestras para su estudio anatomopatológico5.
En general, el pronóstico es malo y el tiempo medio de supervivencia suele oscilar entre los 6 y 11 meses desde el diagnóstico, aunque algunos casos han alcanzado los 3 años, como en nuestro paciente6.
Al tratarse de un tumor raro, no se ha podido establecer un tratamiento estandarizado, aunque como primera opción se prefiere la cirugía, si esta es posible. Como segunda línea se pueden utilizar la quimioterapia y la radioterapia, aunque el beneficio de estas no está claro3.
El tratamiento ideal consiste en extirpar el tumor en su totalidad, pero esto es posible únicamente en el 50% de los casos. La supervivencia de aquellos a los que se les puede resecar el tumor en su totalidad es el doble respecto a los que no. Las recidivas locales y las metástasis son frecuentes, y suelen ocurrir en el primer año7.
Cuando un paciente acude a la consulta de AP con síntomas compatibles con insuficiencia cardíaca, se deben tener en cuenta en el diagnóstico diferencial otro tipo de patologías más infrecuentes, especialmente si la clínica persiste pese al tratamiento. Por eso es importante conocer este tipo de tumores, además de su manejo y el tratamiento que puede ofrecerse desde la consulta de AP, que en muchos casos es de soporte paliativo al final de la vida.
AGRADECIMIENTOS
Se obtuvo el consentimiento escrito del paciente para la publicación del manuscrito.
BIBLIOGRAFÍA
Ryan C, Meyer J. Clinical presentation, histopathology, diagnostic evaluation, and staging of soft tissue sarcoma. UpToDate. [Internet.] 2021 [Consultado el 16 de mayo de 2021]. Disponible en: https://www.uptodate.com/contents/clinical-presentation-histopathology-diagnostic-evaluation-and-staging-of-soft-tissue-sarcoma/contributors#!
Hoffmeier A, Sindermann JR, Scheld HH, Martens S. Cardiac tumors-diagnosis and surgical treatment. Dtsch Arztebl Int. 2014;111(12):205-11. doi: 10.3238/arztebl.2014.0205.
Patel SD, Peterson A, Bartczak A, Lee S, Chojnowski S, Gajewski P, et al. Primary cardiac angiosarcoma - a review. Med Sci Monit. 2014;20:103-9. doi: 10.12659/MSM.889875.
Barreiro Barreiro J, Leiro Fernández V, Piñeiro Amigo L. Hemotórax como forma de presentación de angiosarcoma cardíaco. Arch Bronconeumol. 2005;41(2):105. doi: 10.1157/13096319
Alonso-Fernández M, Larraz-Mármol E, Ramón Placer-Martínez J, Taborga-Echevarría A, Villalobos-Rico MI, Rabanal Llevot JM. Taponamiento cardiaco. Primera manifestación de un angiosarcoma cardiaco. A propósito de un caso. Anest Méx. 2019;31(1):51-5.
Centella T, Oliva E, García Andrade I, Lamas M, Epeldegui A. Angiosarcoma cardíaco. Cuatro años de supervivencia. Revisión a propósito de un caso. Rev Esp Cardiol. 2005;58(3):310-2. doi: 10.1157/13072481.
Moeri-Schimmel R, Pras E, Desar I, Krol S, Braam P. Primary sarcoma of the heart: case report and literature review. J Cardiothorac Surg. 2020;15:104. doi: 10.1186/s13019-020-01157-4.
Notas de autor
Correspondencia: Calle de la Peña Hoyuela, 17, 28413. El Boalo, Madrid (España). Correo electrónico: celia.ramos@salud.madrid.org