UN PACIENTE CON...
No todo dolor torácico es isquémico: neumotórax a tensión masivo
Chest pain is not always ischaemic: massive tension pneumothorax
No todo dolor torácico es isquémico: neumotórax a tensión masivo
Revista Clínica de Medicina de Familia, vol. 16, núm. 1, pp. 63-65, 2023
Sociedad Española de Medicina de Familia y Comunitaria
Recepción: 27 Mayo 2022
Aprobación: 20 Junio 2022
RESUMEN: Presentamos el caso de una mujer de 60 años a la que, a tenor de un episodio de dolor torácico opresivo, de predominio en hemitórax izquierdo, se le hizo un electrocardiograma en el que se vio infradesnivelación del segmento ST. Aunque la clínica y el trazado en el electrocardiograma eran sugestivos de cardiopatía isquémica como primera sospecha diagnóstica, la causa del cuadro fue un neumotórax espontáneo izquierdo a tensión masivo. A pesar de que es una manifestación infrecuente, conocer qué patologías pueden provocar este tipo de alteraciones es importante para las médicas y médicos de Atención Primaria a fin de abordar correctamente situaciones de carácter emergente.
Palabras clave: neumotórax, electrocardiografía, cardiopatía isquémica, hipoxia.
ABSTRACT: We report a 60-year-old female patient who suffered a compressive chest pain episode mainly in the left hemithorax. The electrocardiogram revealed ST-segment depression. Although the symptoms and electrocardiogram trace suggested an ischaemic cardiomyopathy as the initial diagnostic option, the actual cause was a left spontaneous massive tension pneumothorax. Although this is a rare manifestation, it is important for primary care physicians to know the main pathologies that can cause these kinds of changes on the electrocardiogram to correctly tackle emerging situations.
Keywords: Electrocardiography, Hypoxia, Myocardial Ischaemia, Pneumothorax.
INTRODUCCIÓN
El neumotórax espontáneo es una patología respiratoria aguda relativamente frecuente en pacientes fumadores y delgados. Sin embargo, no es habitual que se manifieste con alteraciones en el electrocardiograma sugerentes de cardiopatía isquémica, como cambios en el segmento ST, inversión de la onda T, eje desviado hacia la derecha o disminución de la amplitud de los voltajes1,2. Presentamos el caso de una paciente que, ante un episodio de dolor torácico sugestivo de cardiopatía isquémica y presentando dichas alteraciones, resultó ser un neumotórax espontáneo a tensión masivo.
CASO CLÍNICO
Presentamos el caso de una mujer de 60 años, fumadora de 12 cigarrillos al día desde hace más de 40 años, que acudió al centro de salud de forma urgente por cuadro de dolor torácico opresivo, irradiado a la mandíbula y región dorsal, de 12 horas de evolución y que había empeorado significativamente con el paso de las horas. Asociaba disnea de reposo y el dolor había condicionado ortopnea súbita, por lo que había tenido que dormir sentada. Refería, también, sudoración profusa y leve palidez mucocutánea, sin haber presentado episodio sincopal. La paciente no refería tos, otros síntomas respiratorios ni fiebre.
En la exploración física, la paciente presentaba mal estado general, se encontraba taquipneica (25 respiraciones por minuto) y tenía una saturación de oxígeno basal del 89%; mantenía cifras tensionales en torno a 120/70 mmHg. El dolor en el hemitórax izquierdo no aumentaba con la palpación. A la auscultación cardíaca, la paciente se encontraba taquicárdica, no escuchándose soplos ni extratonos, mientras que en la auscultación pulmonar se observó una disminución generalizada del murmullo vesicular sin ruidos patológicos sobreañadidos. Se le hizo un electrocardiograma en el centro de salud (figura 1) en el que se apreció taquicardia sinusal a 100 latidos por minuto, eje levemente desviado hacia la derecha, infradesnivelación del segmento ST de V2-V5 e inversión e la onda T en las derivaciones I, II, aVF, V1, V2, V5 y V6. Ante la sospecha de evento coronario agudo, se le administraron 2 puff de solinitrina sublingual y 300 mg de ácido acetilsalicílico y se avisó a los servicios de emergencias (SUMMA), que procedieron a activar el código infarto y a trasladar a la paciente a su centro hospitalario de referencia.

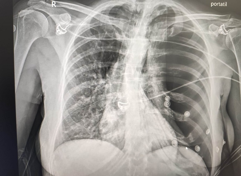
A su llegada al hospital, la paciente persistía con mal estado general, sin cambios en la sintomatología referida previamente. La saturación de oxígeno remontó a 98% tras la administración de oxigenoterapia complementaria (2 L mediante gafas nasales). Se le hizo una analítica por vía urgente con marcadores de daño miocárdico, que resultaron negativos, y radiografía de tórax, en la que se visualizó neumotórax izquierdo masivo a tensión (figura 2). Se avisó a cirugía torácica, que procedió a colocar un drenaje pleural con fuga aérea y a ingresar a la paciente. Después de la evacuación del neumotórax, se le hizo un electrocardiograma de control en el que el segmento ST se había normalizado.

Tras 5 días de ingreso, el cuadro se resolvió sin secuelas. Durante ese período, la paciente fue diagnosticada de enfermedad pulmonar obstructiva crónica (EPOC) y se atribuyó el neumotórax a la rotura de una bulla. Fue dada de alta con triple terapia de inhaladores (salbutamol, bromuro de ipratropio y budesonida). Actualmente, se encuentra estable y no ha presentado nuevos episodios de esta naturaleza.
DISCUSIÓN
La relación entre el neumotórax y los cambios electrocardiográficos, que incluyen la alteración del segmento ST, fueron descritos por primera vez en 1979 por Slay y sus colaboradores1,3, quienes describieron por primera vez la elevación del segmento ST en el electrocardiograma de un paciente que presentó un neumotórax derecho.
La causa subyacente se encuentra en el estado hipotensivo al que induce el neumotórax, el cual disminuye el flujo arterial coronario. Además, el desplazamiento mediastínico que causa la acumulación de aire a tensión provoca una compresión extrínseca del pericardio que, a efectos prácticos, podría traducirse en una situación similar a la del taponamiento cardíaco (de ahí los bajos voltajes de los complejos eléctricos en el electrocardiograma).
Entre las alteraciones electrocardiográficas que puede provocar el neumotórax izquierdo, podemos citar la disminución del voltaje del complejo QRS, aplanamiento y/o inversión de ondas T, cambios en la repolarización, alternancia eléctrica, cambios en la onda R (disminución de la amplitud y progresión en derivaciones precordiales). En los casos en los que el neumotórax asocia y/o deriva en hipertensión pulmonar grave, puede darse la aparición de imagen del S1/Q3/T3 y ondas P acuminadas4.
Aunque es una situación infrecuente, dada su gravedad y potenciales consecuencias, debe hacerse una radiografía de tórax de carácter urgente y plantear un diagnóstico diferencial exhaustivo. Si planteamos el diagnóstico diferencial en base a las manifestaciones electrocardiográficas, debemos considerar patologías como cardiopatía isquémica aguda (infarto agudo de miocardio, angina de Prinzmetal), pericarditis, cor pulmonale agudo, hiperpotasemia, evento cerebrovascular, hipertrofia ventricular izquierda, bloqueo de rama izquierda, intoxicación por cocaína, invasión tumoral cardíaca y otras causas como repolarización precoz o artefactos1,5.
Esta circunstancia se resuelve con la evacuación del neumotórax, por lo que no precisa un tratamiento médico y/o intervencionista (revascularización)1.
En Atención Primaria y urgencias hospitalarias, es importante tener presentes otras causas de alteraciones electrocardiográficas diferentes a la cardiopatía isquémica, ya que un retraso en el diagnóstico de una situación urgente podría acarrear consecuencias graves o incluso el fallecimiento del paciente5. Esto es especialmente importante cuando un diagnóstico temprano puede condicionar la recuperación sin secuelas y evidenciar patologías subyacentes como causas predisponentes (en nuestro caso, se postuló la EPOC de la paciente, en aquel momento sin filiar, como causa más probable del neumotórax).
BIBLIOGRAFÍA
Monterrubio Villar J, Fernández Bergés D, Alzugaray Fraga RJ, Veiga MD, Córdoba López A, Corcho Díaz G. Elevación del ST y neumotórax a tensión. Rev Esp Cardiol. 2000;53(3):467-70.
Morales Pérez LM, Jerez Castro AM, San Román García E, Remigio González Greck O, Morales Solano E, Matos Santos I. Neumotórax a tensión, causa importante de dolor torácico agudo sugestivo de isquemia. Rev Cubana Cardiol. 2012;18(1):49.
Slay RD, Slay LE, Luehrs JG. Transient ST elevation with tension pneumothorax. JACEP. 1979;8:8-16.
Carrillo Esper R, Garnica Escamilla MA, Carrillo Córdova JR. Alteraciones electrocardiográficas en neumotórax izquierdo. Gac Med Mex. 2010;146(2):157-9.
Reamy BV, Williams PM, Odom MR. Pleuritic Chest Pain: Sorting Through the Differential Diagnosis. Am Fam Physician. 2017 Sep 1;96(5):306-12.
Notas de autor
Correspondencia: María de la Almudena Mantecón Domínguez Av. de Madrid, 28. 28750 San Agustín de Guadalix. Madrid (España). Correo electrónico: almudenamantecon@gmail.com