UN PACIENTE CON... (CASO CLÍNICO)
Luxación femorotibial de rodilla: manejo, posibles complicaciones y secuelas*
Femorotibial knee dislocation: management, possible complications and aftermath
Luxación femorotibial de rodilla: manejo, posibles complicaciones y secuelas*
Revista Clínica de Medicina de Familia, vol. 16, núm. 2, pp. 128-131, 2023
Sociedad Española de Medicina de Familia y Comunitaria
Recepción: 27 Julio 2022
Aprobación: 19 Septiembre 2022
RESUMEN: La luxación femorotibial es una situación clínica rara, causada normalmente por accidentes de alta energía, pero también por accidentes de baja energía en personas obesas. Es susceptible de ser atendida inicialmente en todos los puntos de acceso al sistema, tanto en Atención Primaria como en puntos de atención continuada, emergencias o en urgencias hospitalarias. Frecuentemente tratada en ámbitos de traumatología, ha sido una lesión poco referida en ámbitos de urgencias y de Atención Primaria. Tanto las lesiones vasculares o nerviosas que puede causar y que ponen en riesgo la viabilidad de la extremidad como las lesiones musculoesqueléticas que pueden condicionar probables secuelas a largo plazo y que marcarán la relación médico-paciente hacen de esta lesión una auténtica emergencia médica. Por ello, su correcto manejo precoz, con una valoración neurosensorial prioritaria, una valoración radiológica, una reducción y una inmovilización adecuadas previas al tratamiento definitivo, es determinante para su evolución.
Palabras clave: Luxación de rodilla, lesiones traumáticas vasculares y neurológicas de rodilla, lesiones traumáticas de los ligamentos articulares de la rodilla, secuelas funcionales tras luxación de rodilla.
ABSTRACT: Femorotibial dislocation is a rare clinical situation, usually caused by high-energy accidents, but also by low-energy accidents in obese people. It is likely to be treated initially at all points of access to the system, both by the family physician, continuous care points, casualty or by the hospital A&E physician. Commonly treated by orthopaedic surgeons, it has been a rarely reported injury in emergency or primary care medicine. Both vascular or neuropathic injuries that can cause and put the limb’s viability at risk, as well as musculoskeletal injuries that can lead to probable long-term sequelae that will determine the relationship between physician and patient, make this injury a real medical emergency. For this reason, its correct early management with priority neurosensory evaluation, a radiological evaluation, suitable reduction and immobilization prior to definitive treatment, becomes decisive for its prognosis.
Keywords: Knee Dislocation, Functional Sequelae After Knee Dislocation, Traumatic Knee Articular Ligaments Injuries, Traumatic Vascular and Neurological Knee Injuries.
INTRODUCCIÓN
La luxación femorotibial es una lesión rara (<0,5% del total de luxaciones), pero cada vez más frecuente, secundaria a traumatismos de alta energía por la práctica deportiva y accidentes de tráfico1-6, pero que también puede producirse por traumatismos de baja energía, sobre todo en pacientes obesos1,2,5.
Son numerosas las referencias a esta patología en revistas especializadas porque puede ser una lesión altamente destructiva, pero no en revistas de Atención Primaria (AP).
Con este artículo queremos variar su enfoque habitual, incidiendo, además de en el manejo inicial, en las posibles secuelas a largo plazo que pueden condicionar la viabilidad y funcionalidad de la extremidad y la relación médico-paciente.
CASO CLÍNICO
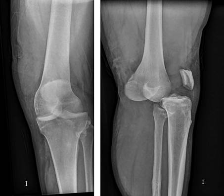
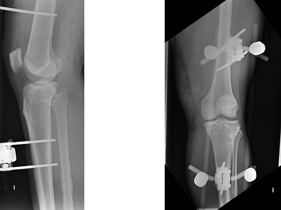
Hombre de 24 años, obeso, derivado de urgencias de AP por dolor, deformidad e impotencia funcional de la rodilla izquierda tras caída en bicicleta. No presenta heridas externas. En urgencias, tras asegurar la presencia de pulso distal y sensibilidad, procedemos a una valoración radiológica (figura 1), donde apreciamos una luxación anterior femorotibial. Bajo sedoanalgesia, reducimos la luxación y revaloramos la integridad neurovascular. Exploramos la integridad ligamentosa apreciando inestabilidad multidireccional: cajón posterior +++ y valgo +++. Inmovilizamos a 30º con férula posterior, comprobamos radiológicamente la reducción, sin apreciar fracturas, y derivamos al paciente a nuestro hospital de referencia, donde una angiotomografía computarizada (angio-TC) descarta lesiones vasculares, pero detecta una fractura de hundimiento de la cara anterior de la meseta tibial externa (figura 2), confirmada posteriormente con una resonancia magnética (RM), que además determina las lesiones musculoesqueléticas asociadas a la luxación: rotura de ligamento cruzado anterior (LCA), rotura parcial del ligamento cruzado posterior (LCP), rotura del ligamento colateral medial (LCM), rotura del tendón semimembranoso y tendones de la pata de ganso, y rotura del menisco interno. Se inmoviliza con fijador externo (figura 3) y se interviene 18 días más tarde, iniciando la rehabilitación al día siguiente, inicialmente con movilización suave, carga progresiva desde el primer mes, bicicleta sin resistencia a partir del segundo mes y piscina. Como secuela, 6 meses después de la lesión, presenta un leve bostezo en valgo que no le impide caminar. Dos años más tarde, hace vida normal, incluyendo laboral y deportiva.



DISCUSIÓN
La luxación femorotibial es una emergencia médica1-6 ya que sus posibles complicaciones pueden ser devastadoras para la integridad de la extremidad si no se actúa precozmente y, a medio-largo plazo, pueden poner en riesgo su funcionalidad dada la elevada morbilidad derivada.
Valoración diagnóstica y manejo
La valoración neurovascular de la extremidad (sensibilidad y pulsos pedio y tibial posterior) debe ser precoz, previa a la manipulación de la lesión1-6. La reducción de la luxación ha de ser inmediata si el miembro está isquémico5-8. Por contra, si los pulsos distales están presentes, se inmovilizará la extremidad hasta hacer una prueba de imagen y, después, se procederá a reducir bajo sedoanalgesia, se revaluará neurovascularmente5-8, se inmovilizará en flexión entre 15° y 30°8 y se revalorará radiológicamente comprobando la correcta reducción5,8.
Posibles complicaciones agudas
Pueden acabar con la amputación de la extremidad si no se detectan y se actúa precozmente2-7. Pueden ser:
Vasculares1-7,9 (0-45% de los casos): si la arteria poplítea estuviera lesionada, su reparación debería hacerse en las primeras 6-8 horas.
Nerviosas1,4,5,7,8 (16-43% de los casos): el nervio peroneo común y el ciático poplíteo externo son los que se lesionan con más frecuencia. La clínica es variable: de neuropraxia a neurotmnesis. Se debe incluir una evaluación motora y sensitiva de los nervios tibial y peroneo. Un deterioro progresivo de la función debe hacer sospechar el inicio de una isquemia o un síndrome compartimental.
Síndrome compartimental7: compromiso neurovascular secundario si hay aumento de presión intersticial dentro de un compartimento cerrado. Con una clínica similar a la de la afectación vascular o nerviosa puras, pero con un dolor desproporcionado. Ante la sospecha clínica, se debe evaluar midiendo la presión intracompartimental o realizar la fasciotomia urgente si no contamos con los medios diagnósticos necesarios.
Motoras1,3-5,7-8: la lesión capsular, de estructuras estabilizadoras (LCA, LCP, ligamentos colaterales), posibles fracturas y lesión de meniscos provocan una inestabilidad multidireccional. Solo una vez asegurada la supervivencia de la extremidad y tras la reducción, se realiza el examen ligamentario completo. Se hará con mucha suavidad para evitar lesiones yatrogénicas.
Urgentes:
Radiografía simple: se hace tras descartar el compromiso neurovascular o tras reducirse la luxación si existe el mismo. Permite valorar la luxación y detectar lesiones óseas. Se repite para confirmar la correcta reducción4,7.
Arteriografía o angio-TC: no hay consenso respecto a su uso sistemático para detectar posibles lesiones vasculares1. De no realizarse de forma urgente, se recomienda observación hasta 48 horas por posibles lesiones de la íntima.
Secundarias:
Decisiones terapéuticas definitivas
Hay diferentes escuelas acerca de si el tratamiento debe ser conservador o quirúrgico1,4,6,7,9. En todo caso, este siempre deberá diferirse unas semanas para mejorar el tono muscular y disminuir la probabilidad de secuelas.
La rehabilitación postoperatoria también es fundamental para lograr un buen resultado7,9: pasiva, trascurridas 2-3 semanas de la intervención, y activa, tras 6 semanas de la intervención. Su objetivo es disminuir la inflamación y recuperar la extensión pasiva completa y la función del cuádriceps.
Posibles secuelas
En relación inversa con el tiempo transcurrido hasta el tratamiento definitivo1,9 (cuanto más precoz sea la intervención, más rigidez futura habrá) y no tanto con la técnica utilizada, las posibles secuelas que serán las que determinen el nivel de funcionalidad de la extremidad y la calidad de vida futura del paciente o la necesidad de cirugías adicionales son1,5,9: infecciones, trombosis, inestabilidad, artrosis, fibrosis periarticular, hiperlaxitud, rigidez o pérdida de rango articular.
Recuperación7
En el mejor de los casos, con una evolución favorable, estos pacientes podrán volver a un trabajo sedentario en 2 semanas, a un trabajo duro en 6-9 meses y a la práctica deportiva tras 9-12 meses.
AGRADECIMIENTOS
Se obtuvo el consentimiento escrito del paciente para la publicación del presente manuscrito.
BIBLIOGRAFÍA
Novoa Sierra B, Estrems Díaz V, Ribas García-Peñuela JS, Bru Pomer A. Luxaciones de rodilla: revisión de 11 casos. Rev Esp Cir Ost. 2015;50(262):123-7.
Johnson JP, Kleiner J, Klinge SA, McClure PK, Hayda RA, Born CT. Increased incidence of vascular injury in obese patients with knee dislocations. J Orthop Trauma. 2018;32(2):82-7. doi: 10.1097/BOT.0000000000001027
Natsuhara KM, Yeranosian MG, Cohen JR, Wang JC, McAllister DR, Petrigliano FA. What Is the Frequency of Vascular Injury After Knee Dislocation? Clin Orthop Relat Res. 2014;472(9):2615-20. doi: 10.1007/s11999-014-3566-1
Richter DL, Bankhead CP, Wascher DC, Treme GP, Veitch A, Schenck RC. Knee dislocations (KD) IV Injuries of the knee: presentation, treatment, and outcomes. Clin Sports Med.2019;38:247-60. doi: 10.1016/j.csm.2018.11.007
Scarcella NR, Weinberg DS, Bowen S, Vallier HA. Clinical and functional results of 119 patients with knee dislocations. J Orthop Trauma. 2017;31:380-6. doi: 10.1097/BOT.0000000000000839
Gómez-Bermúdez SJ, Vanegas-Isaza D, Herrera-Almanza L, Roldán-Tabares MD, Coronado-Magalhaes G, Fernández-Lopera JF, et al. La lesión vascular asociada a la luxación de rodilla. Acta Ortop Mex. 2021;35(2):226-35. doi: 10.35366/101872
Rihn JA, Groff YJ, Harner CD, Cha PS. Luxación traumática de rodilla: valoración y tratamiento. J Am Acad Orthop Surg (Ed Esp) 2004;3:406-18.
Rodríguez Gutiérrez AF. Luxación anterior de rodilla. Casos clínicos e imágenes médicas. [Internet]. 2014;(3) [consultado 10 de septiembre de 2022]. Disponible en: http://casosenmedicina.blogspot.com/2014/06/luxacion-anterior-de-rodilla-caso.html
Richter D, Burke Gurney A, Natividad T, Andrews R, LaBaze D, Schenck RC, et al. Un Seguimiento de 2 a 10 años de los resultados clínicos y funcionales de luxaciones de rodilla: resultados preliminares. PubliCE [Internet]. 2018 [consultado 10 de septiembre de 2022]. Disponible en: https://journal.onlineeducation.center/api-oas/v1/articles/sa-d5a8f304b08c82/export-pdf/un-seguimiento-de-2-a-10-anos-de-los-resultados-clinicos-y-funcionales-de-luxaciones-de-rodilla-resultados-preliminares-2377
Notas
Notas de autor
Correspondencia: Ion Koldobika Iribar Diéguez. Servicio de Urgencias. Hospital Comarcal Bidasoa. Finca Zubieta, Bº Mendelu, s/n. 20280 Hondarribia, Guipúzcoa (España). Correo electrónico: ionkiribar@yahoo.es