UN PACIENTE CON… (CASO CLÍNICO)
Una paciente con… Tos
A patient with... Cough
Una paciente con… Tos
Revista Clínica de Medicina de Familia, vol. 16, núm. 4, pp. 350-353, 2023
Sociedad Española de Medicina de Familia y Comunitaria
Recepción: 26 Septiembre 2022
Aprobación: 19 Diciembre 2022
RESUMEN: El 3,3-10% de la población presenta tos crónica, siendo un motivo frecuente de consulta en Atención Primaria (AP). Se plantea el caso de una mujer de 61 años con tos de 3 meses de evolución. La sospecha diagnóstica es de fibrosis pulmonar en el contexto de una posible artritis reumatoide versus neumonía intersticial descamativa secundaria a aripiprazol. El caso clínico sirve de reflexión sobre la importancia de una buena anamnesis en AP, así como un correcto uso de las pruebas complementarias para valorar causas menos frecuentes de un síntoma común. Debe desarrollarse una capacidad inductiva y valorar el contexto del síntoma guía para confeccionar un diagnóstico sindrómico lo más acertado posible, lo cual es muy valioso en este nivel asistencial.
Palabras clave: Tos, Atención Primaria de Salud, reumatología, fibrosis pulmonar.
ABSTRACT: Chronic cough is a common reason for consultation in primary care (prevalence approximately 3.3% to 10.0%). We report a case of a 61-year-old woman with a three-month history of cough. The most accurate diagnosis is pulmonary fibrosis in the context of rheumatoid arthritis versus desquamative interstitial pneumonia secondary to aripiprazole. This case study serves as a reflection on the importance of a good history in primary care. Moreover, it is relevant to correctly use complementary tests. It is especially important to make a good syndromic diagnosis and evaluate the context of the patient in front of us.
Keywords: Cough, Primary Health Care, Pulmonary Fibrosis, Rheumatology.
INTRODUCCIÓN
El 3,3-10% de la población padece tos crónica, especialmente fumadores o trabajadores expuestos a polvos y soldaduras. Según un metanálisis estadounidense, supone hasta el 4,2% de consultas de AP, con 30 millones de visitas anuales1. Un 46% de los casos suelen asociarse a fenómenos de enfermedad pulmonar obstructiva crónica (EPOC) o asma, aunque se debe establecer una adecuada anamnesis para discernir síntomas de alarma2. Hay que conocer cómo se presenta y describir síntomas asociados, siendo crucial la exploración física y las pruebas complementarias que se pueden hacer en AP. La Normativa de Consenso de la Sociedad Española de Neumología y Cirugía Torácica señala que la radiografía torácica es fundamental para el diagnóstico, dado que hasta en un 31% de las ocasiones se han visto alteraciones3. La espirometría con test broncodilatador y la cuantificación de eosinófilos en sangre son útiles en casos de sospecha de obstrucción y de patología asmática (disnea, sibilancias…). En situaciones menos frecuentes como postinfecciosas, ocupacionales, hemoptisis, etc., se podría plantear hacer una analítica de sangre, aunque es una prueba con una rentabilidad diagnóstica baja4.
CASO CLÍNICO
Mujer de 61 años.
Motivo consulta: tos improductiva de 3 meses.
Antecedentes: esquizofrenia tratada con aripiprazol (400 mg/mes) desde 2007 y fluoxetina (40 mg/24 horas), diabetes tratada con metformina 850 mg/24 horas, dislipemia tratada con atorvastatina 40 mg/24 horas y osteoporosis tratada con hidroferol, calcio, colecalciferol y ácido ibandrónico. Asocia omeprazol 20 mg/24 horas.
Tóxicos: fumadora (45paquetes-año).
Historia familiar y comunitaria: convive con su marido (63 años) y su hijo (32 años). Extrabajadora del calzado, actualmente, ama de casa. Buen apoyo y estructura social. Adecuado insight de su enfermedad mental. Anamnesis inicial: tos matutina con disnea grado 1 (mMRC) y aftas bucales. Niega pérdida de peso ni anorexia o astenia. Cuadros de inflamación y dolor de manos ocasionales. Niega hemoptisis.
Exploración física inicial: sibilantes dispersos. Plan diagnóstico-terapéutico inicial: se solicita radiografía de tórax y análisis de sangre por cuadro de tos crónica e inflamación articular. Se pauta beclometasona/formoterol 100/6 μg, 2 puls/12 horas. (En la tabla 1 se recogen los diagnósticos diferenciales planteados inicialmente).

EVOLUCIÓN ASISTENCIAL:
15 días: análisis de sangre anodina. Mejoría de la tos. Esputos ocasionales. Se solicita cultivo de esputo y se asocia budesonida inhalada (100 μg, 1 puls/12 horas).
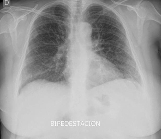
1 mes: radiografía con patrón intersticial bilateral (figura 1) y cultivo (preliminar) con hongo filamentoso. A la auscultación, crepitantes secos bibasales. Se deriva a neumología ante sospecha de neumonitis versus patología profesional.
Mes y medio: neumología solicita test de la marcha, espirometría, tomografía computarizada de alta resolución (TCAR), en la que hay hallazgos compatibles con combinación de fibrosis pulmonar y enfisema o neumonía intersticial descamativa (NID), broncoscopia y nuevo análisis de sangre. Los resultados completos de estas pruebas se recogen en la tabla 2.


Juicio clínico: fibrosis pulmonar y enfisema en contexto de paciente fumadora extrabajadora del calzado con anticuerpos antinucleares (ANA) positivo a título 1/320 versus NID secundaria a tratamiento con aripiprazol. Plan: se insistió en que dejara de fumar y se decidió no suspender la administración de aripiprazol al no hallar clara relación. No se inició tratamiento inmunomodulador hasta valoración por reumatología. Actualidad: persisten episodios aislados de tos. Pendiente de valoración por reumatología y revisión con pruebas de función respiratoria.
DISCUSIÓN
La fibrosis pulmonar en relación con una posible enfermedad autoinmune frente a una NID por un tratamiento farmacológico son causas infrecuentes de tos crónica. Hay descrito un caso de patrón en vidrio deslustrado en la TCAR de una mujer de 36 años y tratamiento con aripiprazol. Se decidió suspender el antipsicótico y se inició la administración de prednisona (60 mg), observándose una mejoría clínica a los 3 meses. Existe relación neumonitis-aripiprazol en pacientes susceptibles, como ocurre con otros fármacos (mercaptopurina, amiodarona o betabloqueantes)5.
El caso presentado parece estar más relacionado con una fibrosis pulmonar idiopática, una neumonía fibrosante crónica de etiología desconocida que suele afectar a mayores de 50 años. Su prevalencia se estima en 13-20 casos/100.000 habitantes6. Los artículos clásicos hablan de factores de riesgo como tabaquismo (odds ratio [OR]: 1,6; intervalo de confianza [IC] 95%: 1,1-2,4), tratamiento con antidepresivos (OR: 1,79; IC 95%: 1,09-2,95) o polvo del metal (OR: 1,11; IC 95%: 1,06-1,16) y madera (OR: 1,12; IC 95%: 1,02-1,24)7.
La determinación de ANA 1/320 puede asociarse a una enfermedad reumatológica. El estudio llevado a cabo por el equipo de Menor Almagro8 puso de manifiesto que el valor predictivo positivo de una detección de ANA 1/320 fue del 45,3% para determinar conectivopatía sistémica con una OR: 3,069 (IC 95%: 1,237-7,614, p-valor: 0,016) para el desarrollo de enfermedad del tejido conectivo. En casos concretos, con clínica y signos relacionados, es de utilidad determinar este anticuerpo y derivar a reumatología8. La sospecha final es de una posible afectación pulmonar en el contexto de una artritis reumatoide (AR) ya que comprende la entidad autoinmune más frecuente y puede asociar fibrosis pulmonar9.
En conclusión, la probabilidad de un efecto secundario al tratamiento antipsicótico es baja, aunque es una alternativa diagnóstica plausible. Es importante conocer que, desde las consultas de AP, el proceso diagnóstico de la tos crónica debe ser minucioso, planteando las pruebas complementarias oportunas en función de la sintomatología asociada o la sospecha etiológica. La radiografía de tórax y el análisis de sangre son accesibles. Por su parte, la espirometría es también de utilidad, aunque debido a la pandemia por COVID-19 no en todas las zonas básicas de salud existe acceso desde AP, lo cual puede suponer un retraso diagnóstico. Por su parte, si se plantea la posibilidad de una presentación atípica de reflujo gastroesofágico, se puede hacer un ensayo con inhibidores de la bomba de protones (IBP) siempre que no se asocien síntomas o signos de alarma. En cuanto al cultivo de esputo, sobre todo en pacientes vulnerables (EPOC, fragilidad, neumonías de repetición, etc.), es de gran utilidad, con una rentabilidad diagnóstica del 20-25% al 40-50% en muestras mucopurulentas10. Señalar que la especialidad de Medicina Familiar y Comunitaria puede ahondar en el círculo sociolaboral y familiar, por lo que es relevante para valorar etiologías postexposición. En suma, desde AP se puede establecer un adecuado estudio de la tos crónica, así como tratar de forma efectiva a una amplia mayoría de pacientes. En casos de duda diagnóstica, mala evolución o baja respuesta terapéutica, debe plantearse el manejo conjunto con otras especialidades (neumología) para codificar y tratar de forma diligente al paciente.
AGRADECIMIENTOS
Se obtuvo el consentimiento escrito de la paciente para la publicación de este artículo.
BIBLIOGRAFÍA
Bergmann M, Haasenritter J, Beidatsch D, Schwarm S, Hörner K, Bösner S, et al. Prevalence, aetiologies and prognosis of the symptom cough in Primary Care: a systematic review and meta-analysis. BMC Fam Pract. 2021;22:151.
González Delgado ML, Alcorta Michelena I. Tos crónica en adultos [Internet]. Fisterra. Revisado el 19 de marzo de 2020 [consultado el 22 de julio de 2022]. Disponible en: https://www-fisterra-com.sangva.a17.csinet.es/guias- clinicas/tos-cronica-adultos/
Pacheco A, De Diego A, Domingo C, Lamas A, Gutiérrez R, Naberan K, et al. Tos crónica. Arch Bronconeumol. 2015;51(11):579-89.
Martínez Carrasco JL, Figueras López C. Guía de consulta rápida en tos crónica. Madrid: semFYC; 2022.
Gunasekaran K, Murthi S, Jennings J, Lone N. Aripiprazole-induced hypersensivity pneumonitis. BMJ Case Rep. 2017: bcr-2017-219929. DOI: 10.1136/bcr-2017-219929
Fernández Fabrellas E, Molina-Molina M, Soriano JB, Rodríguez Portal JA, Ancochea J, Xaubet A, et al. Demographic and clinical profile of idiopathic pulmonary fibrosis patients in Spain: the SEPAR National Registry. Respiratory Research. 2019; 20(127).
Varga J, Brenner DA, Phan SH. Pulmonary Fibrosis. 2005;117:3-44.
Menor Almagro R, Rodríguez Gutiérrez JF, Martín-Martínez MA, Rodríguez Valls MJ, Aranda Valera C, De la Iglesia Salgado JL. Asociación entre títulos de anticuerpos antinucleares y conectivopatías sistémicas en una Unidad de Reumatología. Reumatol Clin. 2017;13(3):150-5.
Diesler R, Cottin V. Pulmonary fibrosis associated with rheumatoid arthritis: from pathophysiology to treatment strategies. Expert Rev Respir Med. 2022;16(5):541-53.
González del Castillo J, Candel FJ, De la Fuente J, Gordo F, Martín-Sánchez FJ, Menéndez R, et al. Manejo integral del paciente con exacerbación aguda de enfermedad pulmonar. Rev Esp Quimioter. 2018;31(5):461-84.
Notas de autor
Correspondencia: Pablo José Sanz Navarro. C/ Capellà Jesús Zaragoza, n.º 3. 03610 Petrer. Alicante (España). Correo electrónico: pablojosesanznavarro@gmail.com