Pharmacology and toxicology
Passiflora quadrangularis L. PREVENTS EXPERIMENTAL HYPERTENSION AND VASCULAR REMODELLING IN RATS EXPOSED TO NITRIC OXIDE DEFICIT
Passiflora quadrangularis L. PREVIENE LA HIPERTENSIÓN EXPERIMENTAL Y EL REMODELADO VASCULAR EN RATAS EXPUESTAS A DÉFICIT DE ÓXIDO NÍTRICO
Passiflora quadrangularis L. PREVENTS EXPERIMENTAL HYPERTENSION AND VASCULAR REMODELLING IN RATS EXPOSED TO NITRIC OXIDE DEFICIT
Vitae, vol. 24, no. 3, pp. 186-195, 2017
Facultad de Química Farmacéutica, Universidad de Antioquia
Received: 07 July 2017
Accepted: 30 November 2017
ABSTRACT
Background: Passiflora quadrangularis L. is among the species used in Colombian folk medicine for hypertension, but until now it has not been studied in experimental models. Objectives: To assess the capacity of P. quadrangularis L. EtOH extract to prevent the hypertension and vascular remodelling induced by nitric oxide (NO) deficit in Wistar rats. Methods: The nitric oxide (NO) synthase inhibitor L-NAME (10 mg/kg, i.p (intraperitoneal), every 48h) was administered for seven weeks to the following groups of rats: P. quadrangularis L.75, 150 and 300 mg/kg/d, p.o. (oral route); enalapril as reference agent, 10 mg/kg/d, p.o. and vehicle as control (mixture of propylene glycol 10%, glycerine 10% and polysorbate 2%). Arterial blood pressure (BP) and heart rate (HR) were measured twice a week. After sacrifice, the aortic rings were isolated, contraction was triggered with phenylephrine (PE 10-6 M) and then the relaxant response achieved with cumulative concentrations of acetylcholine (ACh, 10-10 - 10-5 M) or sodium nitroprusside (SNP, 10-10 - 10-5 M) was assessed. Histopathologic measures of thickness/lumen ratio from both the left ventricle and aorta walls, as well as phytochemical screening, were also performed.
Results: As for enalapril, all doses of P. quadrangularis L. prevented the hypertension induced by L-NAME (122±1.2 versus 155±1.3 mmHg at seventh week). P. quadrangularis L. significantly increased the relaxant effect induced by ACh in isolated aorta and decreased the thickness/lumen ratio of aorta wall specimens.
Conclusions: P.quadrangularis L. prevents experimental hypertension induced in rats with nitric oxide deficits improving the endothelium vasodilatation response and protecting against vascular remodelling.
Keywords: Isolated organ+ hypertension+ L-NAME+ Passiflora quadrangularis L.+ vascular remodelling.
RESUMEN
Antecedentes: Passiflora quadrangularis L. es una de las especies utilizadas en medicina tradicional en Colombia para la hipertensión pero hasta el momento no se ha evaluado en modelos experimentales.
Objetivos: Evaluar la capacidad del extracto etanólico de P. quadrangularis L. para prevenir la hipertensión y el remodelado vascular inducidos por déficit de óxido nítrico (NO) en ratas Wistar.
Métodos: El inhibidor de la óxido nítrico (NO) sintasa L-NAME (10 mg/kg, i.p, cada 48 h) se administró durante siete semanas a los siguientes grupos de tratamiento: P. quadrangularis L. 75, 150 y 300 mg/kg/d, p.o; Enalapril como agente de referencia, 10 mg/kg/d, p.o., y vehículo como control (mezcla de propilenglicol 10%, glicerina 10% y polisorbato 2%). Se midió la presión arterial (BP) y la frecuencia cardiaca (HR) dos veces por semana. Después del sacrificio, se aislaron los anillos aórticos, se desencadenó la contracción con fenilefrina (PE 10-6 M) y la respuesta relajante con concentraciones acumulativas de acetilcolina (ACh, 10-10 - 10 -5 M) o nitroprusiato de sodio (SNP, 10-10 - 10 -5 M). También se realizaron estudios histopatológicos de la relación entre el espesor y el lumen tanto en el ventrículo izquierdo como en las paredes de la aorta, así como un cribado fitoquímico.
Resultados: Enalapril y todas las dosis de P. quadrangularis L. evitaron la hipertensión inducida por L-NAME (122 ± 1,2 frente a 155 ± 1,3 mm Hg a la séptima semana). P. quadrangularis L. aumentó significativamente el efecto relajante inducido por ACh en la aorta aislada y disminuyó la relación entre el espesor y la luz de los especímenes en la pared de la aorta.
Conclusiones: P. quadrangularis L. previene la hipertensión experimental inducida por déficit de óxido nítrico en ratas, mejorando la respuesta del endotelio y protegiendo frente al remodelado vascular.
Palabras clave: órgano aislado, hipertensión, L-NAME, Passiflora quadrangularis L, remodelado vascular.
INTRODUCTION
Hypertension, in spite of the advances in its detection and treatment, remains as a major risk for stroke, myocardial infarction, vascular disease and chronic kidney disease 1. Latin America and the Caribbean have some of the highest estimates of hypertension prevalence 2 and efforts to increase the awareness and control of this disorder are especially needed in this area 3.
Being called the “silent killer” in view the common absence of symptoms, hypertension constitutes a challenge for managing the adherence of patients to pharmacological treatment, as the adverse effect profile of several antihypertensive agents has to be confronted 4. Although “increasing adherence may have a greater effect on health than any improvement in specific medical treatments” 5, therapeutic non-compliance related to adverse events from current drugs and their insufficient efficacy to prevent complications related to hypertension in several cases are reasons that justify the search for new antihypertensive strategies.
In spite of the current use of combinatorial chemistry techniques as methods of optimising structures, natural products persist as the main source of potential innovative structures as bases for new drugs. Hypertension, a chronic disorder with high impact in public health remains a key target in the search for innovative antihypertensive agents 6.
The control of blood pressure maybe not be sufficient to effectively prevent the risk of cardiovascular disorders related to hypertension.
In fact, there seem to be differences between antihypertensive agents and antihypertensive groups used to reduce this risk. Such would be the case, for example, between angiotensin converting enzyme (ACE) inhibitors and angiotensin receptor blockers 7, between β-blockers and calcium channel blockers and renin-angiotensin system (RAS) inhibitors 8 and between thiazide diuretics and angiotensin converting enzyme (ACE) inhibitors in black and senior patients 9 inhibitors in black and senior patients. Therefore, when searching for new antihypertensive agents, analysis of the effect on the cardiovascular system, in addition to the levels attained of blood pressure in the experimental model applied, would afford more substantial information about the antihypertensive profile of a potential new drug.
Cardiovascular remodelling is a key factor that underlies the molecular, biochemical and cellular events leading to progressive dysfunction and lesions of the myocardium and vessels 10), (11. Hypertension represents a pressure overload of the left ventricle wall, which, if not promptly managed, results in decreasing ventricular function and, consequently, in heart failure. At the same time, the increase in the thickness of small muscular resistance arteries, arterioles, and the microvasculature resulting from the remodelling of vessels in hypertension implies not only a maintained resistance due to excessive vasoconstriction, but a progressive lesion in the function of targets organs such as the brain, heart, kidney and retina. Therefore, antihypertensive agents that are able not only to reduce high blood levels but to ameliorate the progression of cardiovascular remodelling could represent an advantage in reducing the complication of hypertension 12.
The role of nitric oxide (NO) in the maintenance of the integrity of the endothelium and endocardium is well known, along with the fact that intima lesion of vessels affects the NO balance, leading to biochemical and morphological changes that trigger the inflammatory cascade of events implicated in the formation of thrombus and atheroma, as well as in the smooth muscle cell proliferation, apoptosis and fibrosis implicated in the remodelling process of hypertension 13),(14),(15. Therefore, NO cascade constitutes a key target for the management of hypertension and related cardiovascular disorders. Angiotensin converting enzyme inhibitors, statins and some beta blocking agents are among the drugs that favour NO production, reduce oxidative stress and ameliorate endothelial lesions 16), (17.
Passiflora genus includes a variety of medicinal species among which hypertension is one of their ethnobotanical uses 18. P. edulis Sims extract, for example, decreases blood pressure in spontaneously hypertensive rats (SHRs) and contains metabolites like luteolin, luteolin-6-C-glucoside and gamma-aminobutyric acid (GABA) from the rind 19, phenolic compounds, ascorbic acid, carotenoids and flavonoids from the fruit pulp 20 and edulilic acid and anthocyanin from their leaves 21. Other Passiflora species studied are: P. nepalensis Walp 22, P. foetida Linn 23 and P. incarnate Linn 24.
In total, 90% of species from Passiflora are from America, with Colombia being one of the countries with the greatest richness (25, 26), P quadrangularis L. (“N.V.” Badea) is common in this region and is traditionally used for the treatment of high blood pressure in this country, among other purposes 27. However, the antihypertensive properties of this species have not been previously studied in experimental models of hypertension.
This work shows the effect of the ethanol extract from the leaves of P. quadrangularis L. elicited in laboratory rats with hypertension induced by NO deficit, the ex vivo vascular response produced in animals previously treated with it, and the morphologic changes induced in the heart and aorta.
MATERIALS AND METHODS
Extraction and fractionation
Plant material from Passiflora quadrangularis L was collected from the region of Cartago (Valle del Cauca, Colombia, 1400 m. 22°C, Latitude 74°42’3.5244’’ - Longitude -75°55’11.337’’). Its identity was confirmed by comparison with a stored specimen (Code No. COL 06375, Herbarium of Faculty of Agricultural Sciences, Caldas University). The aerial part (approx. 12 kg of stems and leaves) was dried in an oven with circulating air at 40ºC for 48 hours. The dried material was ground and the resulting powder was macerated in EtOH for 72 h. Afterwards, it was filtered and concentrated in a rotary evaporator under reduced pressure until it was completely dry. The percentage yield was calculated respect to dry extract (18.80% w/w), the color and consistency of the extracts were noted (dark green and sticky semisolid mass). For in vivo assays, the extract was suspended in a vehicle resulting from a mixture of 10% propylene glycol, 10% glycerine and 2% polysorbate, with a stock concentration of 300 mg/mL. For in vitro assays, the extract was dissolved in dimethyl sulphoxide.
The alcohol extract was subjected to preliminary phytochemical analysis (28) for detection of the main secondary metabolites. The flash column chromatography studies were carried out using a column of 40cm x 3cm with silica gel MERCK® 60 (0,040-0,063mm) as stationary phase in ratio 50-60g of silica per gram of sample. The mobile phase used was hexane/CH2Cl2/MeOH increasing polarity. The effluent from the column was collected into test tubes; fractions with the same Rf (thin layer chromatography) were combined, concentrated and dried under reduced pressure.
In thin layer chromatography, 0.25 mm thick pre-fabricated POLYCHROM aluminum sheets were coated with silica gel with UV254 fluorescent indicator.
Experimental protocol
Female Wistar rats 43 were raised in colony cages and exposed to a 12 h dark/light cycle with controlled temperature and moisture (22ºC, 70%). They were fed a normal laboratory diet with free access to water and food. Cardiovascular experiments were carried out on rats aged 7-9 weeks and weighing 180-220 g. Female animals were used in this work, according to previous studies with Passiflora species and the need to include this genus in experimental models 29),(30. The experimental procedure was approved by the institutional ethics committee (Act 14, October 2014, Faculty of Sciences, at the Universidad Nacional de Colombia). The animals were supplied by the Bioterium of the Pharmacy Department at the Universidad Nacional de Colombia.
Animals were previously acclimated during two weeks and then randomly assigned to the following treatment groups (n=6-8 per group): P. quadrangularis L. (three doses according to preliminary trials: 75, 150 and 300 mg/kg, p.o.), enalapril (as reference, 10 mg/kg, p.o), vehicle with L-NAME (as control group), and vehicle without L-NAME (blank group). L-NAME administration (10 mg/kg, i.p.) started in week 3 for all treatments except to the blank group. These treatments were administered every 48 h until the seventh week.
Measurement of blood pressure (IBP) and heart rate (HR)
Indirect blood pressure and heart rate were measured with a non-invasive method placing the base of the rat’s tail into the light of an ultrasound transducer (tail cuff device, PANLAB - LE 5002) capable of capturing the pulse signal and blood pressure. When external pressure is generated, the intensity of the pulse signal disappears due to the occlusion of blood vessels; the signal reappears when occlusion is reduced; this phase of the pulse corresponds to the systolic pressure 31. The transducer was plugged into a digital analogue recorder and software (LabTrax, DataTrax WPI).
The measurement was made by placing the experimental animal in a trap (after conditioning the animal in the trap for one more week) with a constant temperature of 29-32°C to produce the dilation in the tail of the animal, then the cuff is placed at the base of the tail. The systolic pressure records were made twice a week 32.
Aortic ring preparation
At the end of the treatment Wistar rats obtained from each experimental group (P. quadrangularis L., enalapril, blank and control) were anaesthetised with ether and sacrificed. The descending thoracic aorta was dissected and placed in a petri dish containing an oxygenated Krebs solution with the following composition (mM): NaCl 118.7; KCl 4.7; CaCl2 2.5; NaHC03 25.0; MgS04.7H20 1.2; glucose 11.0 and ascorbic acid 0.1. thoracic aorta rings (3-4 mm in length) were carefully excised and submerged in Allhin organ chambers containing 10 mL of Krebs solution bathing medium maintained at 37ºC, pH: 7.38 -7.42 and continuously gassed with a carbogen mixture of 95% O2 and 5% CO2. About 8-10 rings were obtained from each aorta 33.
Each ring was introduced inside an isolated organ bath containing 10 mL of Krebs solution maintained at 37°C and bubbled with carbogen. The ring was attached with two steel hooks, the inferior anchored to the bath and the upper connected to an isometric force transducer (Fort 10/WPI) coupled to an amplification and digital-analogue conversion system (Bridge 8/IsoDam, LabDataTrax, WPI) for signal analysis in the computer.
A basal tension of 2 g was applied to each preparation with a stabilisation period of 60-90 min, during which the Krebs solution was changed every 10-15 min. Once equilibrium was reached, the aortic rings incubated in Krebs solution were exposed to phenylephrine (FE, 10-6 M) until the contractile response reached a steady tension (approx. 40 minutes). Afterwards, ACh or SNP (from 10-10 to 10-4 M) was added cumulatively every 30 s in aliquots of 0.5 log units of concentration 34.
Histopathology of heart and aorta
The heart was dissected out and then weighed. Heart weight-to-body weight ratio (H/BW, mg/g index) was calculated 35. Excised heart and aorta samples were cleared of blood and immediately fixed in 10% formalin. 5 mm-thick tissue sections from heart and aorta were prepared from processed paraffin-embedded samples. Heart and aorta sections were stained with Harris haematoxylin and Masson’s trichrome stains and examined under a light microscope for evidence of hypertrophy and fibrotic changes 36. Measures of relations obtained from thickness of left ventricle and aorta wall versus its inner diameter (µm) were performed (W/D, wall thickness-to-diameter ratio) 37.
Solutions
The following drugs, salts and solutions were used: Enalapril (Enalapril 5mg Genfar®), L-NAME, phenylephrine (FE), acetylcholine (ACh), sodium nitroprusside (SNP), propylene glycol, polysorbate, glycerine, potassium chloride, magnesium sulphate, potassium hydrogen phosphate, L-ascorbic acid, sodium chloride, calcium chloride, sodium bicarbonate, and glucose (Sigma®).
Statistical and data analysis
All of the results are expressed as mean ± standard error mean (S.E.M.). Analysis of variance was performed followed by Dunett’s test to identify groups responsible for significant differences against control (p<0.05). Dose-response curves of isolated aortic rings were analysed by a sigmoid curve-fitting analysis to give the negative log of the concentration of ACh or SNP producing a 50% in the maximal relaxant response (pEC50). One - way ANOVA analysis was applied to histopathological results. Excel®, GraphPad-Prism® and OpenStat programs were used for data analysis.
RESULTS
Phytochemical analysis
Preliminary phytochemical analysis of alcohol extract of Passiflora quadrangularis L. leaves, revealed the presence of alkaloids (1.5%), flavonoids (14%) and saponins (80%) approximately. Flash column chromatography studies were carried out using glass column with silica gel MERCK ® 60 (0.040-0.063 mm) as stationary phase in ratio 20-30 g of silica per gram of sample. The mobile phase used were mix of Hexane-AcOEt or CH2Cl2/MeOH in increasing polarity. Size-exclusion chromatography were carried out using glass column with sephadex LH-20 FLUKA (25-100 mm), as stationary phase in ratio 100 g of sephadex per gram of sample. The mobile phase used were Hexane/CH2Cl2/MeOH (1:2:3) or H2O/CH2Cl2/MeOH (1:2:3). The effluent from the columns was collected into test tubes, fractions with the same Rf (thin layer chromatography) were combined, concentrated and dried under reduced pressure. In thin layer chromatography 0.25 mm thick pre-fabricated POLYCHROM aluminum sheets were coated with silica gel with UV254 fluorescent indicator.
Effects ofP. quadrangularisL. on systolic arterial pressure and heart rate
The mean systolic arterial pressure value at basal conditions (week 1) ranged from 106 to 110 mmHg (n=47) without any significant differences between groups. The increase in arterial pressure induced by L-NAME was significant from week 6, reaching values of 150 mmHg. All doses of P. quadrangularis L were able to maintain pressure values below 121 mmHg for the seven weeks of treatment. The effect of the reference drug enalapril was similar to that of P. quadrangularis L and to the group of rats not exposed to L-NAME (blank group) (Figure 1). The basal heart rate value was 429±28 bpm and did not show any significant changes during the treatment for any of the groups.

In vitroaortic ring studies
Stimulation of aortic rings with FE (10-6 M) resulted in a sustained contraction of 1962 ± 40 mg. The magnitude of this contraction was similar in all treatment groups. The cumulative addition of ACh (10-10 - 10 -4 M) in isolated aorta rings previously exposed to L-NAME and treated with P. quadrangularis L significantly displaced the curve to the left compared to the control group in a concentration-dependent manner (Figure 2). Enalapril also displaced the curve to the left. The cumulative addition of SNP (10-10 - 10-4 M) in isolated aorta rings treated with P. quadrangularis L. (all doses) and enalapril significantly displaced the curve to the right compared to the control (Figure 3). Therefore, P. quadrangularis L. increased the relaxant potency induced by ACh. Table 1 shows pEC50 values of ACh and SNP in the presence and absence of P. quadrangularis L or enalapril.



Histopathological results

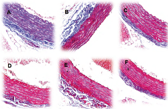
The heart/body weight (H/BW) and wall thickness-to-diameter ratio (W/D) ratios of the control group (L-NAME) were 3.53±0.34 mg/g and 0.43± 0.02, respectively. No treatment showed any significant differences compared with this (p>0.05). However, W/D relation in aorta wall showed significant increases in the L-NAME group regarding the blank treatment (0.10±0.004 versus 0.07±0.013). This effect was reverted by P.quadrangularis L. (all doses) and enalapril (Figure 4). Masson’s trichrome staining of aorta sections from rats previously treated with L-NAME (control group) showed marked vascular fibrosis; this change was attenuated in P. quadrangularis L. (all doses) and enalapril groups (Figure 5).

DISCUSSION
This study shows that P. quadrangularis L. EtOH extract is able to prevent the hypertension induced by L-NAME in Wistar rats, increases the potency of vascular relaxant response in isolated aortic rings and attenuates aorta tissue remodelling. Until now, the antihypertensive effect of this species, administered p.o, had not been shown in an experimental model of hypertension.
The crucial role of NO in cardiovascular disorders like hypertension, coronary artery disease and heart failure has been established along with the need to improve its activity in order to attenuate the progression of related diseases 38),(39. Therefore, experimental hypertension induced by L-NAME constitutes a very useful model in order to establish potential new sources for antihypertensive agents 40),(41. Several antihypertensive groups, including angiotensin converting enzyme inhibitors 42, angiotensin receptor blockers 43, calcium channel blockers 44, some diuretics 45 and beta blocking drugs 46 display activity in this model. Because P. quadrangularis L. was able to prevent the hyper-tension by L-NAME (Figure 1), it has acquired interest as a potential natural source.
It is known that vascular response of isolated aorta from rats exposed chronically to L-NAME decreases 47. This work shows that P. quadrangularis L. increases the relaxant potency induced by ACh (Figure 2, Table 1), which is of endothelium-dependent nature; however, at the same time, it tends to decrease the relaxant endothelium-independent response induced by SNP (Figure 3, Table 1). These results suggest that P. quadrangularis L. possesses endothelium-dependent vasodilator metabolites, possibly related to the NO pathway, and at the same time, possible endothelium-independent vasoconstrictor compounds, but the vasodilator mechanism prevails because P.quadrangularis L. decreases blood pressure in vivo.
Remodelling is such a key phenomenon in the progression of cardiovascular disorders that agents able to ameliorate this process, including statins, ACE inhibitor, ARAII blockers, aldosterone antagonists and beta blocking drugs, can reduce the morbimortality incidence of complications like heart failure and coronary acute events, possibly at a different level 48),(49),(50. Hence, it is important not only to identify the antihypertensive activity of new potential sources, but to also assess its effect on remodelling models.
Among many others, L-NAME has been used in an approach to study the cardiovascular remodelling process 51. However, the dose of L-NAME needed to induce heart hypertrophy and remodelling in rats is not clear. In accordance with other works, this study did not show such changes (independent of the treatment) in histologic heart tissue samples, when 10 mg/kg of L-NAME was applied in Wistar rats 52),(53. Other studies show that even higher doses and longer time intervals do not manage to elicit ventricular remodelling 54. However, at the same time, L-NAME does induce structural remodelling in aorta tissue at lower doses 36. Hence, the vascular bed seems to be more sensitive than the myocardium to NO deficit changes. Pleiotropic effects of drugs that favours NO production at endothelial level could explain, at least in part, their beneficial effects on cardiovascular remodelling, as in the case of statins 55. Interestingly, this study shows than P. quadrangularis L. is able to attenuate the aorta remodelling induced by L-NAME (Figure 4, Figure 5), adding value to its antihypertensive effect.
Angiotensin converting enzyme inhibition, a key pharmacological target for compounds for the treatment of disorders like hypertension, coronary artery disease and heart failure, has been described in P. quadrangularis L. 56. It is interesting that apigenin, a flavonoid also identified in P. quadrangularis L., elicits antihypertensive effects in spontaneously hypertensive rats in a way eventually related to up-regulating of angiotensin-converting enzyme 2 (ACE2) expression in kidney 57. Hence, apigenin could play a pivotal role in the cardiovascular properties showed by P. quadrangularis L., but other active metabolites could be implicated, as some of them have flavonoid nature, given the high phenolic content described in this species 58. Anxiolytic like properties from leaves extract of P. quadrangularis L. have also been studied in experimental models 59 and apigenin could be involved in the sedative properties showed by this species in mice, maybe be due to an enhancement of the GABAergic system 60.
Phytochemical studies of Passiflora species have led to isolation of the indole alkaloids: harmalol, harmol, harmane, harmaline and harmine, and the C-glycosyl flavonoids: orientin, isoorientin, vitexin, and isovitexin 61),(62 harmol, harmane, harmaline and harmine. In addition to this kind of flavonoids, triterpene glycoside saponins, some of cycloartenol type, have also been identified in P. quadrangularis L. 63),(64. Their precise role in the antihypertensive and vascular effects of P. quadrangularis L. should be assessed in subsequent works.
CONCLUSION
In conclusion, P. quadrangularis L. prevents experimental hypertension induced in rats with nitric oxide deficits improving the endothelium vasodilatation response and protecting against vascular remodelling. These results give support to the ethnobotanical use of P. quadrangularis L. as a natural antihypertensive source.
ACKNOWLEDGMENTS
This work was supported by the Universidad Nacional de Colombia, (VRI/DIB, grant numbers: 27552) and COLCIENCIAS (Announcement 645 de 2014 - Young Researchers). Thanks to the Animalarium of the Pharmacy Department (Prof. LF Ospina) and the Pathology Laboratory of the School of Medicine (Prof. Giovanny Sánchez) at this institution.
REFERENCES
1. Poulter NR, Prabhakaran D, Caulfield M. Hypertension. Lancet. 2015 Aug; 386(9995):801-12.
2. Sarki AM, Nduka CU, Stranges S, Kandala NB, Uthman OA. Prevalence of Hypertension in Low- and Middle-Income Countries. Medicine. 2015 Dec; 94(50):e1959.
3. Mills KT, Bundy JD, Kelly TN, Reed JE, Kearney PM, Reynolds K, et al. Global Disparities of Hypertension Prevalence and Control: A Systematic Analysis of Population-Based Studies From 90 Countries. Circulation. 2016 Aug; 134(6):441-50.
4. Lobo MD, Sobotka PA, Pathak A. Interventional procedures and future drug therapy for hypertension. Eur Heart J. 2016 Jul 11;38(15):ehw303.
5. Brown MT, Bussell JK. Medication Adherence: WHO Cares? Mayo Clin Proc. 2011 Apr; 86(4):304-14.
6. Cragg GM, Newman DJ. Natural products: A continuing source of novel drug leads. Biochim Biophys Acta - Gen Subj. 2013; 1830(6):3670-95.
7. Li EC, Heran BS, Wright JM. Angiotensin converting enzyme (ACE) inhibitors versus angiotensin receptor blockers for primary hypertension. In: Li EC, editor. Cochrane Database of Systematic Reviews. Chichester, UK: John Wiley & Sons, Ltd; 2014
8. Wiysonge CS, Opie LH. β-Blockers as Initial Therapy for Hypertension. JAMA. 2013 Nov; 310(17):1851.
9. Moser M. Relative efficacy of, and some adverse reactions to, different antihypertensive regimens. Am J Cardiol. 1989 Jan ;63(4):2B-7B.
10. Kehat I, Molkentin JD. Molecular pathways underlying cardiac remodeling during pathophysiological stimulation. Circulation . 2010 Dec 21; 122(25):2727-35.
11. Mayet J, Hughes A. Cardiac and vascular pathophysiology in hypertension. Heart. 2003 Sep; 89(9):1104-9.
12. Ferrario CM. Cardiac remodelling and RAS inhibition. Ther Adv Cardiovasc Dis. 2016 Jun; 10(3):162-71.
13. Elahi MM, Naseem KM, Matata BM. Nitric oxide in blood. The nitrosative-oxidative disequilibrium hypothesis on the pathogenesis of cardiovascular disease. FEBS J. 2007 Feb; 274(4):906-23.
14. Gkaliagkousi E, Gavriilaki E, Triantafyllou A, Douma S. Clinical Significance of Endothelial Dysfunction in Essential Hypertension. Curr Hypertens Rep. 2015; 17(11):85.
15. Sinha N, Dabla PK. Oxidative stress and antioxidants in hyper-tension-a current review. Curr Hypertens Rev. 2015; 11(2):132-42.
16. Bleakley C, Hamilton PK, Pumb R, Harbinson M, McVeigh GE. Endothelial Function in Hypertension: Victim or Culprit? J Clin Hypertens. 2015 Aug; 17(8):651-4.
17. Steven S, Münzel T, Daiber A. Exploiting the Pleiotropic Anti-oxidant Effects of Established Drugs in Cardiovascular Disease. Int J Mol Sci. 2015 Aug; 16(8):18185-223.
18. Ingale AG, Hivrale AU. Pharmacological studies of Passiflora sp. and their bioactive compounds. African J Plant Sci. 2010; 4(10):417-26.
19. Ichimura T, Yamanaka A, Ichiba T, Toyokawa T, Kamada Y, Tamamura T, et al. Antihypertensive effect of an extract of Passiflora edulis rind in spontaneously hypertensive rats. Biosci Biotechnol Biochem. 2006 Mar; 70(3):718-21.
20. Konta EM, Almeida MR, do Amaral CL, Darin JDC, de Rosso V V, Mercadante AZ, et al. Evaluation of the antihypertensive properties of yellow passion fruit pulp (Passiflora edulis Sims f. flavicarpa Deg.) in spontaneously hypertensive rats. Phytother Res. 2014 Jan; 28(1):28-32.
21. Lewis BJ, Herrlinger KA, Craig TA, Mehring-Franklin CE, DeFreitas Z, Hinojosa-Laborde C. Antihypertensive effect of passion fruit peel extract and its major bioactive components following acute supplementation in spontaneously hypertensive rats. J Nutr Biochem. 2013; 24(7):1359-66.
22. Patel SS, Verma NK, Shrestha B, Gauthaman K. Antihypertensive effect of methanolic extract of Passiflora nepalensis. Rev Bras Farmacogn. 2011 Feb; 21(1):187-9.
23. Birudu RB, Naik JM, Janardhan M. Cardio Protective Activity of Passiflora Foetida Extract and Silver Nanoparticles in Doxorubicin Induced Cardiac Disease in Rats. Indian J Res Pharm Biotechnol. 2015; 3(5):329-34.
24. Appel K, Rose T, Fiebich B, Kammler T, Hoffmann C, Weiss G. Modulation of the γ-aminobutyric acid (GABA) system by Passiflora incarnata L. Phytother Res . 2011 Jun; 25(6):838-43.
25. Marín MM, Caetano CM, Posada Tique CA. Caracterización morfológica de especies del género Passiflora. Acta Agronómica. 2009; 58:1-9.
26. Ocampo J. Diversity and Distribution of Passifloraceae in the Department of Huila in Colombia. Vol. 18, Acta Biológica Colombiana. Universidad Nacional de Colombia, Facultad de Ciencias, Departamento de Biologia; 2013. 511-516 p.
27. Duque B. C, Morales P. AL. El aroma frutal de Colombia. Universidad Nacional de Colombia, Facultad de Ciencias, Departamento de Química; 2005. 345 p.
28. Sanabria Galindo A. Análisis fitoquímico preliminar: metodología y su aplicación en la evaluacion de 40 plantas de la familia Compositae. 1983.
29. Zibadi S, Farid R, Moriguchi S, Lu Y, Foo LY, Tehrani PM, et al. Oral administration of purple passion fruit peel extract attenuates blood pressure in female spontaneously hypertensive rats and humans. Nutr Res. 2007; 27(7):408-16.
30. Beery AK, Zucker I. Sex bias in neuroscience and biomedical research. Neurosci Biobehav Rev. 2011; 35(3):565-72.
31. Van Vliet BN, Chafe LL, Antic V, Schnyder-Candrian S, Montani JP. Direct and indirect methods used to study arterial blood pressure. J Pharmacol Toxicol Methods. 2000; 44(2):361-73.
32. Sánchez D, Kassan M, Contreras M del M, Carrón R, Recio I, Montero M-J, et al. Long-term intake of a milk casein hydrolysate attenuates the development of hypertension and involves cardio-vascular benefits. Pharmacol Res. 2011 May; 63(5):398-404.
33. Páez MT, Catalina Rodríguez D, López DF, Castañeda JA, Bui-trago DM, Cuca LE, et al. Croton schiedeanus Schltd prevents experimental hypertension in rats induced by nitric oxide deficit. Brazilian J Pharm Sci. 2013
34. Gómez-Roso M, Montero M, Carrón R, Sevilla M. Cardiovascular changes in spontaneously hypertensive rats are improved by chronic treatment with zofenopril. Br J Pharmacol. 2009 Dec; 158(8):1911-21.
35. Yang HY, Yang SC, Chen ST, Chen JR. Soy protein hydrolysate ameliorates cardiovascular remodeling in rats with L-NAME-induced hypertension. J Nutr Biochem . 2008 Dec; 19(12):833-9.
36. Bernátová I, Pechánová O, Kristek F. Mechanism of structural remodelling of the rat aorta during long-term NG-nitro-L-arginine methyl ester treatment. Jpn J Pharmacol. 1999 Sep; 81(1):99-106.
37. Guerrero EI, Ardanaz N, Sevilla MA, Arévalo MA, Montero MJ. Cardiovascular effects of nebivolol in spontaneously hypertensive rats persist after treatment withdrawal. J Hypertens. 2006 Jan; 24(1):151-8.
38. Gibbons GH. Endothelial function as a determinant of vascular function and structure: A new therapeutic target. Am J Cardiol . 1997; 79 (5):3-8.
39. Von Lueder TG, Krum H. RAAS Inhibitors and Cardiovascular Protection in Large Scale Trials. Cardiovasc Drugs Ther. 2013 Apr; 27(2):171-9.
40. Augustyniak RA, Thomas GD, Victor RG, Zhang W. Nitric oxide pathway as new drug targets for refractory hypertension. Curr Pharm Des. 2005; 11(25):3307-15.
41. Paulis L, Zicha J, Kunes J, Hojna S, Behuliak M, Celec P, et al. Regression of L-NAME-Induced Hypertension: The Role of Nitric Oxide and Endothelium-Derived Constricting Factor. Hypertens Res. 2008 Apr; 31(4):793-803.
42. Bernátová I, Pechánová O, Simko F. Effect of captopril in L-NAME-induced hypertension on the rat myocardium, aorta, brain and kidney. Exp Physiol. 1999 Nov; 84(6):1095-105.
43. De Gennaro Colonna V, Rigamonti A, Fioretti S, Bonomo S, Manfredi B, Ferrario P, et al. Angiotensin-converting enzyme inhibition and angiotensin AT1-receptor antagonism equally improve endothelial vasodilator function in l-NAME-induced hypertensive rats. Eur J Pharmacol. 2005; 516(3):253-9.
44. Dhein S, Salameh A, Berkels R, Klaus W. Dual mode of action of dihydropyridine calcium antagonists: a role for nitric oxide. Drugs. 1999 Sep; 58(3):397-404.
45. Simko F, Matúsková J, Lupták I, Pincíková T, Krajcírovicová K, Stvrtina S, et al. Spironolactone differently influences remodeling of the left ventricle and aorta in L-NAME-induced hypertension. Physiol Res. 2007; 56 Suppl 2:S25-32.
46. Moningka NC, Tsarova T, Sasser JM, Baylis C. Protective actions of nebivolol on chronic nitric oxide synthase inhibition-induced hypertension and chronic kidney disease in the rat: a comparison with angiotensin II receptor blockade. Nephrol Dial Transplant. 2012 Mar27(3):913-20.
47. Bryant CE, Allcock GH, Warner TD. Comparison of effects of chronic and acute administration of NG-nitro-L-arginine methyl ester to the rat on inhibition of nitric oxide-mediated responses. Br J Pharmacol . 1995 Apr; 114(8):1673-9.
48. Landmesser U, Wollert KC, Drexler H. Potential novel pharmacological therapies for myocardial remodelling. Cardiovasc Res. 2008 Oct 29 ; 81(3):519-27.
49. Heusch G, Libby P, Gersh B, Yellon D, Böhm M, Lopaschuk G, et al. Cardiovascular remodelling in coronary artery disease and heart failure. Lancet . 2014 May; 383(9932):1933-50.
50. Cameron AC, Lang NN, Touyz RM. Drug Treatment of Hypertension: Focus on Vascular Health. Drugs . 2016 Oct; 76(16):1529-50.
51. Simko F, Pechanova O. Remodelling of the heart and vessels in experimental hypertension: advances in protection. J Hypertens . 2010 Sep; 28 Suppl 1(Suppl 1):S1-6.
52. Tucker EJ, Ledingham JM, Zheng Y, Laverty R. Effects of chronic inhibition of nitric oxide synthase in the genetically hypertensive rat. Clin Exp Pharmacol Physiol. 2000 Aug; 27(8):647-9.
53. Arnal JF, Warin L, Michel JB. Determinants of aortic cyclic guanosine monophosphate in hypertension induced by chronic inhibition of nitric oxide synthase. J Clin Invest. 1992 Aug; 90(2):647-52.
54. Kopincová J, Púzserová A, Bernátová I. L-NAME in the cardiovascular system - nitric oxide synthase activator? Pharmacol Rep. 2012; 64(3):511-20.
55. Skogastierna C, Luksha L, Kublickiene K, Eliasson E, Rane A, Ekström L. Beneficial vasoactive endothelial effects of fluvastatin: focus on prostacyclin and nitric oxide. Heart Vessels. 2011 Nov; 26(6):628-36.
56. Nippon M. Angiotensin converting enzyme and aldosereductase inhibitory agent comprises Passiflora quadrangularis extract with organic solvent, water or vitexin. 1995-009562, 1993. 2p.
57. Sui H, Yu Q, Zhi Y, Geng G, Liu H, Xu H. [Effects of apigenin on the expression of angiotensin-converting enzyme 2 in kidney in spontaneously hypertensive rats]. Wei Sheng Yan Jiu. 2010 Nov; 39(6):693-6, 700.
58. Ramaiya SD, Bujang JS, Zakaria MH. Assessment of total phenolic, antioxidant, and antibacterial activities of Passiflora species. ScientificWorldJournal. 2014; 2014:167309.
59. de Castro PCF, Hoshino A, da Silva JC, Mendes FR. Possible anxiolytic effect of two extracts of Passiflora quadrangularis L. in experimental models. Phytother Res . 2007 May; 21(5):481-4.
60. Gazola AC, Costa GM, Castellanos L, Ramos FA, Reginatto FH, Lima TCM De, et al. Involvement of GABAergic pathway in the sedative activity of apigenin, the main flavonoid from Passiflora quadrangularis pericarp. Rev Bras Farmacogn . 2015; 25(2):158-63.
61. Avula B, Wang Y-H, Rumalla C, Smillie TJ, Khan IA. Simultaneous Determination of Alkaloids and Flavonoids from Aerial Parts os Passiflora Species and Dietary Supplements using UPLC-UV-MS and HPTLC. Narural Prod Commun. 2012; 7:1177-80.
62. Zucolotto SM, Fagundes C, Reginatto FH, Ramos FA, Castellanos L, Duque C, et al. Analysis of C-glycosyl flavonoids from South American Passiflora species by HPLC-DAD and HPLC-MS. Phytochem Anal. 2012; 23(3):232-9.
63. Costa GM, Gazola AC, Zucolotto SM, Castellanos L, Ramos FA, Reginatto FH, et al. Chemical profiles of traditional preparations of four South American Passiflora species by chromatographic and capillary electrophoretic techniques. Rev. Bras. Farmacogn. 2016; 26(4):451-8.
64. Orsini F, Pelizzoni F, Verotta L. Quadranguloside a cycloartane triterpene glycoside from Passiflora quadrangularis. Phytochemistry. 1985; 25(1):191-3.
Notes
Author notes
* Autor de correspondencia: mfguerrerop@unal.edu.co