Artículos
Paciente con enfermedad tiroidea autoinmune y nódulo tiroideo. Reporte de un caso
Patients with autoimmune thyroid disease and a thyroid nodule. Case report
Paciente con enfermedad tiroidea autoinmune y nódulo tiroideo. Reporte de un caso
Revista Latinoamericana de Hipertensión, vol. 13, núm. 5, pp. 381-386, 2018
Sociedad Latinoamericana de Hipertensión

Resumen: La enfermedad tiroidea autoinmune (ETAI) suele producir la alteración del adecuado funcionamiento de las hormonas tiroideas produciendo una modificación del metabolismo corporal. El objetivo de este trabajo es describir la enfermedad tiroidea autoinmune de esta paciente que a pesar de su sintomatología no solo se debe concluir con un diagnóstico de hipotiroidismo sino más bien se debe profundizar en la patología que le ha llevado a sufrir este padecimiento, además indicar que la enfermedad tiroidea tiene un factor genético importante en individuos predispuestos. Se trata de mujer de 54 años de edad con antecedentes familiares de hipotiroidismo y antecedentes personales de artritis reumatoide que acude a consulta por que ha notado de una forma casual una masa palpable en el cuello no dolorosa además de sintomatología compatible a hipotiroidismo, luego de valoración médica, exámenes complementarios orienta el diagnostico de enfermedad tiroidea autoinmune. Una de las ETAI más comunes es la Tiroiditis de Hashimoto; solo en EEUU y Reino Unido su incidencia es de 0,3 – 1,5 por 1000 habitantes entre los 30 a 50 años de edad y es más común entre las mujeres que en los varones. Suele acompañarse en ocasiones de un nódulo pequeño no doloroso que debe ser estudiado a plenitud, en la actualidad tenemos muchas herramientas de gran utilidad como el uso de la ecografía y la PAAF (Punción por aspiración de aguja fina), sin embargo los exámenes de sangre muestran la presencia de anticuerpos que suelen dar la primera sospecha de enfermedad tiroidea autoinmune.
Palabras clave: Hipotiroidismo, PAAF, Enfermedad tiroidea autoinmune, Tiroiditis de Hashimoto, Nódulo tiroideo.
Abstract: Autoimmune thyroid disease is often induces modification of thyroid functioning and disorder of body metabolism. The purpose of this case is to describe an autoimmune thyroid disease patient, whose symptoms required further analysis to proper evaluate the presence of such disorder, which has a strong genetic predisposition. The case concerns a 54 year old woman, with personal history of hypothyroidism and rheumatoid arthritis, who seeks medical attention due to a visible and palpable mass on her neck. One of the most common autoimmune thyroid disease is Hashimoto´s thyroiditis, where only in the USA and United Kingdom, its incidence is between 0.3-1.5 per 1000 people between 30-50 years of age; being more common in women than in men. It´s usually seen alongside a thyroid nodule, which should be studied thoroughly using ultrasound imaging biopsy with a fine needle, and autoantibody measurement.
Keywords: Hypothyroidism, FNA, autoimmune thyroid disease, Hashimoto's thyroiditis, thyroid nodule.
INTRODUCCIÓN
Las Enfermedades Tiroideas Autoinmunes (ETAI) están entre las causas más frecuentes de enfermedad tiroidea. Cualquier afectación en la glándula tiroides ya sea interna o externa puede producir alteración en su funcionamiento adecuado y repercutir en el metabolismo del cuerpo. Las enfermedades tiroideas son más frecuentes en las mujeres que los varones entre los 30 y 50 años de edad1. En algunos pacientes suele existir una historia familiar, la mayoría de estudios demuestran la alteración genética en personas que sufren de enfermedades tiroideas autoinmunes con antecedentes familiares2. Clínicamente se manifiesta con un bocio firme y no doloroso que suele ser en ocasiones multinodular, sin embargo la función tiroidea es variable y de esto depende la sintomatología de cada uno de los pacientes, ya que en un 55% es eutiroideo, en un 15% da sintomatología de hipotiroidismo subclínico, en el 25% hipotiroidismo y finalmente en un 5% puede llegar a un hipertiroidismo transitorio3. Esta patología autoinmune suele acompañarse de otras sintomatologías típicas del hipotiroidismo en un 20% consistente en un bocio simple algo irregular de consistencia firme y elástica pero en la mayoría de los casos la palpación no es dolorosa4. La función tiroidea suele ser normal y en ocasiones el paciente puede no tener síntomas, pero tras varios años de enfermedad sin tratamiento entre un 3 al 5% desencadenarían un hipotiroidismo irreversible5. Además entre las ETAI es importante diferenciar entre la tiroiditis de Hashimoto con la enfermedad de Graves que en si ambas llegarían a producir un bocio esta última corresponde a una patología más seria y drástica que acaecería al paciente tales como hipertiroidismo, bocio doloroso como un factor de riesgo neoplásico, oftalmopatia de Graves6,7.
Las enfermedades tiroideas autoinmunes producen una alteración en las células de la glándula tiroides que modifican la función de Tiroxina (T4) y Triyodotironina (T3). Esta alteración autoinmune finalmente causa infiltración por leucocitos y la fibrosis, como resultado esto disminuye la eficacia de los folículos individuales8. Al continuar esta lesión se empezara a detectar presencia de anticuerpos bloqueadores de Hormona Estimulante Tiroidea (TSH), anticuerpos anti tiroperoxidasa (Anti–TPO), anticuerpos Tiroglobulina (Anti-Tg) que certeramente se acumulan en los folículos tiroideos afectando su funcionalidad y finalmente produciendo un cuadro clínico de hipotiroidismo9. Estos anticuerpos mencionados anteriormente se encuentran también en algunas patologías autoinmunitarias como en la DM1, Vitíligo, Addison, Esclerosis Múltiple, y la positividad de estos anticuerpos depende de la influencia de polimorfismos genéticos en el desarrollo de dichas enfermedades10. La ETAI es una de las causas más comunes de bocio e hipotiroidismo que llegara a afectar permanentemente la glándula produciendo daño directo con transformación acidofila de los folículos tiroideos con infiltración linfocitaria intersticial, es frecuente la presencia de una reacción fibrosa y los folículos se tornan pequeños con escaso coloide las células se tornan hipofuncionantes además del riesgo de presentar nódulos en el cuerpo de la glándula tiroidea11. El caso que se presenta a continuación es de una paciente de 54 años de edad, con hallazgo causal de masa en cara anterior el cuello, con signos y síntomas relacionados a hipotiroidismo. Se practican exámenes complementarios evidenciándose además patología de vías biliares añadida por lo que tuvo que ser intervenida quirúrgicamente y finalmente tras el seguimiento mediante consultas posteriores se llega a un diagnóstico de ETAI.
DESCRIPCIÓN DEL CASO
Se trata de paciente de 54 años de edad, de sexo femenino, la cual acude con enfermedad actual de tres meses de evolución, por una masa en cara anterior del cuello que ha notado de forma casual al palparse, acompañado de aumento del peso, vértigo, caída del cabello, y adicionalmente ha venido notando en los últimos días cefalea de característica continua en horas de la tarde. Se recoge el antecedente de estreñimiento de 1 mes de evolución, manejada con lactulosa automedicada en las noches, en dosis de 10 ml pre-sueño. Para sus síntomas constitucionales, acude a facultativos, los cuales recomiendan el uso de Levotiroxina en una dosis de 25 mcg en una sola toma diaria vía oral en ayuno; sin embargo, la sintomatología persistía. En cuanto a los antecedentes familiares, refiere que de parte materna existen casos reportados de hipotiroidismo y desde la parte paterna hay evidencia de múltiples cardiopatías. Desde el punto de vista de antecedentes personales presentaba dolor articular, rigidez matutina y tumefacción articular simétrica, se le diagnostica de artritis reumatoide ha tomado medicamentos en base a Metotrexate, corticoides, AINES, último episodio de reagudización de la sintomatología hace 2 años, actualmente toma Etoricoxib (Arcoxia®) 120 mg dos veces al día. Niega hábito tabáquico y alcohólico.
Al examen físico impresiona tinte ligeramente ictérico en la piel y escleras, cejas y parpados sin alteración. Cardiopulmonar dentro de límites normales, con los siguientes signos vitales: PA 130/70 mmHg; FR 14 respiraciones por min; Pulso 68 lpm; Temperatura 36.5°C; y SatO2 de 92%. En cuello, se palpa masa pequeña no dolorosa en cara anterior lateral derecha, de consistencia sólida que impresiona un tamaño aproximado de 2-3cm. A la palpación abdominal profunda en hipocondrio derecho presenta dolor moderado, resto de cuadrantes sin alteración. Al examen de miembros inferiores presenta edema que se extiende a un límite entre el borde inferior de los maléolos medio – laterales hasta el tercio medio de la pierna, que deja fóvea de 3 seg. La piel en las piernas es de consistencia ligeramente dura e impresiona xerosis. Durante la valoración neurológica, se observa estable, sin alteración en pares craneales, reflejos tono y fuerza muscular conservada, patrones de sueño largos no entrecortados, con sueño de aproximadamente 10 horas al día. Las pruebas cerebelosas revelan prueba Romberg positivo, memoria a largo y corto plazo normal, cálculo y razonamiento sin alteración, salvo en lo que se observa una personalidad a la entrevista con patrones asténicos, lábil afectivamente y temerosa. Desde el punto de vista antropométrico, la paciente tenía un peso de 67,5 kg, talla de 155cm e Índice de Masa Corporal de 28,09 kg/m2, catalogada como Sobrepeso. El laboratorio inicial se recoge en la Tabla 1.
| DESCRIPCION | VALORES | VALORES DE REFERENCIA |
| PCR: | 28.0 mg/dL | <6mg/dL |
| Glucosa. | 88 mlgr% | 70 – 100mlgr% |
| Colesterol | 375 mg/dl. | 200mg/dl |
| HDL | 76 mg/dl | H: >55mg/dl M: > 65mg/dl |
| LDL | 200 mg/dl | 130 – 159mg/dl |
| Triglicéridos. | 300 mg/dl | < 150mg/dl |
| Bilirrubina Total. | 3,45 mlgr % | 0,3 – 1 |
| Bilirrubina Directa. | 2,15 mlgr % | 0 – 0,3 |
| Bilirrubina Indirecta. | 1,50 mlgr % | 0,1 – 0,5 |
| HbAc1 | 7,5 % | 6,5 – 8% |
| Sodio: | 125 mEq/L | 136 – 146mEq/L |
| TSH | 8 mUl/L | 8,3 mUl/L |
| T3L | 3 nmol/L | 60 – 181nmol/L |
| T4L | 2 ug/dL | 4,5 – 12,5 ug/dL |
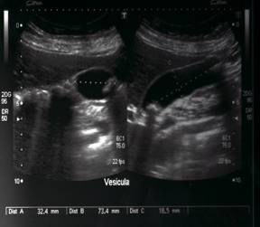
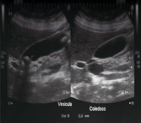
Al día siguiente de hospitalización se solicita exámenes de imagen tales como ecografía abdominal donde se observa hígado normal, con vesícula distendida, con paredes lisas, con pólipo en su interior y colédoco libre. Ecografía del cuello reporta una glándula tiroidea con presencia de un nódulo con micro–calcificaciones en lóbulo derecho (Figuras 1-4).


La valoración por especialista en Neurología, concluye con la petición de Tomografía Axial de Cráneo, debido a vértigo y cefalea frecuente, obteniendo un informe radiológico normal. Se realiza una RX estándar de tórax con resultado normal y un electrocardiograma el cual resulta con trazo normal. Subsecuentes análisis de sangre reportan factores de coagulación normales, y serología para Hepatitis A, B, C con resultado negativo. La paciente es estabilizada y durante el segundo día de hospitalización se siguiere administración de Levotiroxina 50 mcg vía oral cada 24 horas. Luego en horas de la tarde se practica Colecistectomia Laparoscópica por su pólipo vesicular, cuyo período postoperatorio inmediato transcurrió sin complicaciones. Se da de alta al 4to día en mejor condición clínica y controles endocrinológicos en las siguientes semanas por su sintomatología de hipotiroidismo. El tratamiento ambulatorio incluyó analgésicos, antibiótico profilaxis por la colecistectomía laparoscopica, Levotiroxina 50mg vía oral al día, dieta rica en fibras, y tratamiento con Atrovastatina 10mg diarios para hipercolesterolemia. A la siguiente semana, la paciente acude a control en mejores condiciones clínicas, trayendo exámenes control que se describen en Tabla 2. Finalmente se añade a su tratamiento Fluoxetina 50mg por valoración de médico psiquiatra bajo impresión diagnostica de depresión moderada, enzimas digestivas y protectores hepáticos, y betahistidina clorhidrato 16mg vía oral cada 12 horas por 15 días. Se solicita laboratorio pertinente para ETAI, Anticuerpos anti TPO y ANA HEP para la próxima valoración clínica (Tabla 3).
| DESCRIPCION | VALOR | VALOR REFERENCIAL |
| T3L | 1 ng/ml | 0,52 – 1,85 ng/ml |
| T4 L | 5,20 ug/dl | H: 4,4 – 10.8 M: 4.8 – 11,6 |
| TSH | 6.56 uIU/L | 0,39 – 6,16 IU/L |
| Bilirrubina Total | 2,5 gr% | Hasta 1,10 |
| Bilirrubina Directa | 0,5 gr% | Hasta 0,25 |
| Bilirrubina Indirecta | 0,9 % | Hasta 0,5 |
| PRUEBAS ESPECIALES | RESULTADO | UNIDAD | VALOR DE REFERENCIA |
| ANTI – TPO | Positivo 125 | IU/L | 0 – 100 Negativo. |
| ANA HEP 2 (IFI) | Positivo 40 | 1 – 20 Negativo. |
Una vez revisados los nuevos paraclínicos, la paciente es mantenida con la misma dosificación de Levotiroxina de 50mcg vía oral al día en ayunas. A los tres meses de tratamiento se observa una mejor condición de la paciente la sintomatología depresiva ha mejorado continua tomando la Levotiroxina a dosis de 50mcg diarios y la Fluoxetina 50 mg diarios, una dieta adecuada y terapia física. Se realizan nuevos controles de sangre con resultados normales (Tabla 4) y una nueva ecografía tiroidea en la cual se observa mejor las características ecográficas del nódulo tiroideo previamente observado, describiéndose semisólido, encapsulado de 3,7cm, clasificación de riesgo TIRADS 4 (Figuras 5–6). Se le explica a la paciente el riesgo que ofrece un nódulo de éste tipo, pero ella rehúsa realizarse la Punción por Aguja Fina guiada por ultrasonido para la valoración citológica del nódulo tiroideo.
| DESCRIPCION | RESULTADO | UNIDADES | RANGOS |
| PCR | 5 | mg/dl | Hasta 6 |
| VSG | 7 | mm x 60seg | 1 – 12 |
| Bilirrubina Total | 0,63 | mg/dl | Hasta 1.10 |
| Bilirrubina Directa | 0,15 | mg/dl | Hasta 0,25 |
| Bilirrubina Indirecta | 0,48 | mg/dl | Hasta 0,5 |


DISCUSIÓN
Tenemos una paciente cuya sintomatología es compatible a una enfermedad tiroidea como un hipotiroidismo, además se acompañan otros síntomas como el vértigo, edema en miembros inferiores, sobrepeso, signos depresivos. Al mirar esta analítica sanguínea se observa claramente la presencia de una PCR incrementada, niveles de Colesterol total y LDL elevados, hiperbilirrubinemia, hiponatremia, TSH incrementado con T4 un poco por debajo de su rango normal. La ecografía tiroidea determina un nódulo único derecho de consistencia sólida con microcalcificaciones clasificado dentro de un TIRADS 4. Posteriormente se le realiza valoración sérica de Anti–TPO, ANA-HEP con resultado positivo lo que podría orientar a una enfermedad tiroidea autoinmune en este caso una Tiroiditis de Hashimoto.
La enfermedad tiroidea autoinmune como la Tiroiditis de Hashimoto corresponde a un conjunto de síntomas que se produce como consecuencia de un déficit de hormonas tiroideas, sus características clínicas dependen en gran medida de la etapa biológica en la que se desarrolle, la sintomatología hipotiroidea es muy variada (Tabla 5). El diagnostico debe ser clínico con apoyo de exámenes de laboratorio11.
| TABLA 5. Sintomatología Hipotiroidea. |
| Intolerancia al frío. |
| Hipoexitabilidad celular. |
| Déficit de la hormona de crecimiento. |
| Lentitud del gasto cardiaco. |
| Hipotensión arterial al principio luego hipertensión arterial. |
| Riesgo de arterioesclerosis por hipercolesterolemia. |
| Bradipnea. |
| Estreñimiento e hipo-excitabilidad intestinal, aclorhidria, mala absorción intestinal. |
| Bocio tiroideo. |
| Edema palpebral. |
| Sobrepeso por metabolismo disminuido. |
| Motricidad disminuida. |
| Disminución de la sudoración. |
| Calvicie en mujeres y varones. |
| Piel reseca, gruesa, amarillenta por exceso de carotenos. |
| Uñas delgadas quebradizas. |
| Miembros pequeños con huesos cortos, macroglosia, dentición atrasada. |
| Abdomen distendido con frecuencia umbilical. |
| Criptorquidia. |
| Falta de libido, retraso sexual, disfunción ovárica, amenorrea, esterilidad. Y oligospermia en el varón. |
| Somnolencia, fatiga muscular. |
| Psicosis, depresión, paranoia. |
| Alteración de las capacidades intelectuales. |
| Hipercolesterolemia. |
| Mixedema que a la presión digital no deja fóvea. |
| Mialgias constantes. |
| Disminución de la función endocrina de insulina y glucagón. |
| Vértigos. |
| Astenia e hiporexia. |
| Anemia perniciosa por déficit de la absorción de Vitamina D. |
| Anemia micrositica hipocrómica por falta de la absorción del hierro. |
Para realizar un diagnóstico de ETAI es mandatario determinar los anticuerpos antitiroperoxidasa (Anti–TPO), los cuales tienen como blanco antigénico a la tiroperoxidasa–enzima que constituye el principal componente microsomal responsable de la inmunidad autónoma, requieren de yodo y peróxido de hidrogeno para la síntesis hormonal12. De manera similar la Tiroglobulina precursora de la formación de hormonas tiroideas, en procesos de inflamación de estas células en individuos predispuestos en especial con componente genético se producen anticuerpos en contra de la misma13. El Anti–TPO es positivo en un 90% de los casos de Tiroiditis de Hashimoto, sin embargo una positividad de estos anticuerpos no significa que tenga alguna ETAI ya que suelen expresarse en enfermedades como anemia perniciosa, DM1, Ooforitis autoinmune, Síndrome poliglandular autoinmune, LES, Artritis Reumatoide, y Esclerosis Múltiple14. Los parámetros de normalidad para la Anti–TPO oscila entre 0–100 UI/L. Sin embargo la citología confirma el diagnostico15.
La historia natural de las ETAI corresponde: a) Estadio 1: Paciente de riesgo, se pueden ver células inflamatorias que llevaran a autoinmunidad como macrófagos y células dendríticas. Sin embargo en esta fase la TSH es normal con T. ligeramente disminuida sin anticuerpos; b) Estadio 2: Presencia de anticuerpos antitiroideos detectables en el suero; c) Estadio 3: Disfunción tiroidea subclínica; y d) Estadio 4: Desarrollo de un hipotiroidismo, existe un Alelo C60T con polimorfismo y se establece la gran posibilidad de ETAI16.
Es interesante saber que el 40–50% de los pacientes informan antecedentes familiares de alguna enfermedad tiroidea, en un estudio realizado en Reino Unido en el 2010 se seleccionaron 3000 pacientes con ETAI los cuales tenían otra patología autoinmune además de la historia familiar17. En varios estudios de vasta data coinciden en una alteración genética en especial de la Tiroiditis de Hashimoto identificando antígenos de leucocitos humanos CTLA–4 y CD25. En un estudio recopilatorio en Japón indican que el número de genes alterados han aumentado y los hallazgos corresponden a los alelos TSHR, Tg, HLA D, HLA D3, MHC, CD40, FRCL3, IL2RA, FOXP3, genes 14q31, 18q21, 20q11, Xp11, Xp21 para tiroiditis de Hashimoto y Gp, 13q32, 12q32 para Tiroiditis de Hashimoto y Enfermedad de Graves18,19. En una ETAI se llegara a afectar permanentemente la glándula produciendo daño directo con transformación acidófila de los folículos tiroideos e infiltración linfocitaria intersticial, es frecuente la presencia de una reacción fibrosa y los folículos se tornan pequeños con escaso coloide y las células se tornan hipofuncionantes que causa riesgo de presentar nódulos, estos pueden ser hipofuncionantes que no captan yodo son la mayoría benignos, nódulo funcionante que retienen el yodo y son capaces de producir hormona tiroidea estos suelen ser en ocasiones malignos20,21.
Así mismo los nódulos pueden ser capsulados la mayoría de estos son benignos, y no capsulados que son irregulares no se aprecia el signo del halo en la investigación ecografía y suelen ser malignos. Pueden existir uno o varios nódulos tiroideos que según a la clasificación TIRADS se categoriza el riesgo de malignidad y cuando realizar la citología, en TIRADS 3 es recomendable un seguimiento ecográfico, en TIRADS 4 y 5 se sugiere la citología para diagnóstico, el examen de punción por aguja fina es sencillo mediante normas de asepsia, a veces no es necesario usar anestésico local, con el cuello en extensión y la paciente cómoda se ha de puncionar mediante guía ecográfica directamente al nódulo palpable22,24. De igual manera los marcadores tumorales en caso de sospechar malignidad son los niveles séricos de tiroglobulina y calcitonina. El control se debe realizar periódicamente ya sea ecográfico como con los marcadores tumorales, pero si la paciente nota crecimiento del nódulo se ha de realizar la PAAF diagnostica y posible tiroidectomía23,24.
El edema de los miembros inferiores se puede explicar por la retención de agua y sal secundaria al depósito de tejido mucoide, este depósito es común en la lengua y laringe pues los pacientes con hipotiroidismo presentan la voz gruesa ronca, y la disminución de un gasto cardiaco que produce disminución del filtrado glomerular una retención de líquidos y posteriormente una hiponatremia por dilución. Puede existir un edema pericárdico y aumento del tamaño del corazón25. El aumento de peso es probablemente debido a una alteración importante del metabolismo corporal pues la alteración de la actividad proteica en los ácidos grasos correspondiente a un aumento del colesterol total, triglicéridos séricos y lípidos, relacionándose con riesgo aterosclerótico, lo cual se verá compensado con la regulación del metabolismo tiroideo en base al tratamiento y la dieta, además de actividad física26,27.
El vértigo es un capítulo aparte a este caso pero puede relacionarse con la exacerbación de un síndrome de Meniére co-existente con hipotiroidismo, ya que por el metabolismo enlentecido el metabolismo neuronal y las velocidades de conducción son menores28. Existe un mayor riesgo de depresión en enfermedades crónicas, las hormonas tiroideas juegan un papel crítico en el cerebro ya que actúan en la secreción de la dopamina, serotonina y la mielinizacion, la depresión está relacionada con la enfermedad tiroidea siendo necesario instaurar en ocasiones un tratamiento antidepresivo29,30.
CONCLUSIONES
En el presente caso se concluye que la paciente presenta Enfermedad Tiroidea Autoinmune como la “Tiroiditis de Hashimoto” por la clínica típica de un Hipotiroidismo correlacionado con los exámenes de sangre de hormonas tiroideas en la que se aprecia TSH incrementada ante una T4 ligeramente disminuida, además del resultado positivo de Anti–TPO. La historia familiar de parte materna de hipotiroidismo se la cataloga dentro de personas predispuestas de ETAI, el 90% de estos pacientes tienen anticuerpos antiperoxidasa y antitiroglobulina positivos. Como se demuestra se ha relacionado la presencia de susceptibilidad genética y una serie de factores ambientales desencadenantes como por ejemplo el tabaco, estrés, aporte de yodo radioactivo. La ETAI se produce por el daño directo a los folículos tiroideos riesgo de formación de nódulos; lo que en este caso la paciente ha presentado de forma casual un nódulo que por ser mayor a 10mm y una característica grado 4 de TIRADS en investigación ecográfica se le recomienda la citología por una posible malignidad. El aporte inadecuado de levotiroxina le ha llevado a sufrir síntomas típicos de hipotiroidismo, y exacerbación por un metabolismo alterado de manifestaciones clínicas de otras patologías.
RECOMENDACIONES
Ante el presente caso y para manejo futuro de esta paciente se recomienda la citología del nódulo tiroideo por riesgo de malignidad, además de controles periódicos ecográficos del mismo, de igual manera se recomienda exámenes de sangre en cada control de forma periódica para determinar niveles de hormonas tiroideas y mantener el tratamiento de levotiroxina, además la terapia con selenio se ha visto en investigaciones que esta actúa directamente en los folículos tiroideos a dosis de 200mcg produce una disminución paulatina de los anticuerpos anti tiroperoxidasa en una enfermedad de Hashimoto, mantiene los niveles de T4 y además posiblemente ayudan a los trastornos del ánimo que se acompañan frecuentemente a esta enfermedad31. Ante un paciente con sintomatología tiroidea cualquiera que sea es necesario indagar más en la historia familiar y personal de posibles factores ambientales de riesgo, no solo es suficiente pedir hormonas tiroideas, sino pensar en ETAI y sugerir anticuerpos anti–TPO y anti-Tg. Ecografía tiroidea y ante un nódulo grande con micro calcificaciones pensar en riesgo de neoplasia tiroidea recomendar citología.
Referencias
1. Boelaert K, Newby P. R, Simmonds M. J, Holder R. L, Carr-Smith J. D, Heward J. M, Franklyn J. A. Prevalence and relative risk of other autoimmune diseases in subjects with autoimmune thyroid disease. The American Journal of Medicine. 2010.;123(2):183-e1.
2. Tomer Y, Huber A. The etiology of autoimmune thyroid disease: a story of genes and environment. Journal of Autoimmunity 2009 32(3):231-239.
3. Balsa J. Bocio y Nódulo tiroideo. En: Rodríguez JL, Arévalo J, Azaña J, Balsa J, Berbel A, Contreras J. Diagnóstico y Tratamiento Médico. Green Book. Edición 3ra. Madrid – España. 2012. P: 1114 – 1126.
4. García R, Marzo I, Domínguez M, López R, Carbonell M. Diagnóstico y tratamiento de nódulos de la glándula tiroides. 2010. Medisan. 10(1).
5. Londoño Á, Gallego M, Bayona A, Landázuri P. Hypothyroidism prevalence and its relationship to high levels of thyroid peroxidase antibodies and urinary iodine in a population aged 35 and over from Armenia, 2009-2010. Revista de Salud Pública 2012;13(6):998-1009.
6. Vargas H, Sierra H, Meza I. Enfermedad Graves-Basedow. Fisiopatología y Diagnóstico. Revista Medicina 2013;35(1):41-66.
7. Cañete M, González S, Roveto S. Enfermedad tiroidea autoinmune, ctla-4 y cd 28. Bioquímica y Patología Clínica 2010;74(1):25-29.
8. QuesadaI M, FernándezII L, Cruz J. Hipotiroidismo subclínico, ni tan asintomático, ni tan inofensivo. Revista Cubana de Endocrinología 2009;20(2):51-57.
9. Ehlers M, Thiel A, Bernecker C, Porwol D, Papewalis C, Willenberg H, et al. Evidence of a combined cytotoxic thyroglobulin and thyroperoxidase epitope-specific cellular immunity in Hashimoto's thyroiditis. The Journal of Clinical Endocrinology & Metabolism 2012;97(4):1347-1354.
10. Stojanovich L. Stress and autoimmunity. Autoimmunity reviews 2010;9(5):A271-A276.
11. Piraino P. Sepúlveda A, Cavada G. Tiroiditis crónica de Hashimoto: Serie clínica. Revista médica de Chile 2010;138(7):827-831.
12. Marsiglia I. Enfermedad tiroidea autoinmune: Estudio clínico-epidemiológico. GacMéd Caracas 2008;116:23-36.
13. Weetman, A. Autoimmune thyroid disease: propagation and progression. European Journal of Endocrinology 2003;148(1):1-9.
14. Galofré J, Davies T. Utilidad clínica de los anticuerpos antitiroideos. RevMed Univ Navarra 2008;52: 3-8.
15. Rodríguez F, Dorimain P, Falcón G, Mustelier H. Diagnóstico de los nódulos de tiroides mediante estudio citológico por punción y aspiración con aguja fina. Medisan 2013;17(1):1-9.
16. Effraimidis G, Wiersinga W. Mechanisms in endocrinology: Autoimmune thyroid disease: old and new players. European Journal of Endocrinology 2014;170(6):R241-R252.
17. AlFadhli S, AlMutawa Q, Abbas J, Doi S. Association of Hashimoto’s thyroiditis with cytotoxic T lymphocyte-associated antigen-4 (CTLA-4) and inducible co-stimulator (ICOS) genes in a Kuwaiti population. Endocrine 2013;43(3): 666-677.
18. Rojas J, Aguirre A, Cano R, Villalobos M, Berrueta L. La otra cara de Janus y la enfermedad tiroidea autoinmune. Rev Venez Endocrinol Metab 2011; 9(3): 89-98.
19. Brix T, Hegedüs L, Gardas A, Banga J, Nielsen C. Monozygotic twin pairs discordant for Hashimoto's thyroiditis share a high proportion of thyroid peroxidase autoantibodies to the immunodominant region A. Further evidence for genetic transmission of epitopic “fingerprints”. Autoimmunity 2011;44(3):188-194.
20. Pedroza A. Manejo del nódulo tiroideo: revisión de la literatura. RevColomb Cir 2008;23(2): 100-111.
21. Picado, A. Nueva perspectiva en el estudio clínico de los nódulos tiroideos. Acta Médica Costarricense. 2010. 37(1).
22. Kwak J, Han K, Yoon J, Moon H, Son E, Park S, et al. Thyroid imaging reporting and data system for US features of nodules: a step in establishing better stratification of cancer risk. Radiology 2011;260(3): 892-899.
23. Fernández A, Martínez A, Gaspar MJ, Filella X, Molina R, Ballesta A. Marcadores tumorales séricos. Química Clínica 2007;26(2): 77 – 85.
24. Zerpa Y, Vergel M, Azkoul J, Gil, V, & de Endocrinología Mérida G. Guía práctica para el diagnóstico y tratamiento del nódulo tiroideo. Revista Venezolana de Endocrinología y Metabolismo. 2013;11(2): 96.
25. Torné-Coll M, Azagra R, Espina A, Vargas E, Reyes A. Hipotiroidismo subclínico en la consulta de Atención Primaria. Atención Primaria 2006;37(3): 175-176.
26. Pando R, Torres H, Arbañil H, Aliaga E. Aterosclerosis subclínica y perfil metabólico en mujeres asintomáticas de edad media, con TSH≥ 2, 5 uUI/mL. Anales de la Facultad de Medicina. 2012;73(2):107-111.
27. Álvarez C, Ramírez R, Flores M, Zúñiga C, Celis-Morales C. Efectos del ejercicio físico de alta intensidad y sobrecarga en parámetros de salud metabólica en mujeres sedentarias, pre-diabéticas con sobrepeso u obesidad. Revista médica de Chile 2012;140(10): 1289-1296.
28. Murillo F, María Z. Vértigo: una visión otorrinolaringológica para la medicina general. Acta Médica Costarricense 2002;44(1): 10-18.
29. Pilhatsch M, Marxen M, Winter C, Smolka M, Bauer M. Hypothyroidism and mood disorders: integrating novel insights from brain imaging techniques. Thyroid research. 2011;4(Suppl 1): S3.
30. Gulseren S, Gulseren L, Hekimsoy Z, Cetinay P, Ozen C, Tokatlioglu B. Depression, anxiety, health-related quality of life, and disability in patients with overt and subclinical thyroid dysfunction. Archives of Medical Research 2006;37:133-139.
31. Cañari C. El selenio, un elemento poco conocido con un rol biológico importante. Revista de Química. 2013. 25(1-2): 29-33.
Notas de autor
geoaguirre@hotmail.com