Resumen: Las consultas por problemas de infertilidad/subfertilidad en la perra son frecuentes en la clínica reproductiva. En los últimos años, estudios realizados han mostrado que la endometritis subclínica (ES) podría ser una importante causa, por ello el objetivo de este trabajo fue estudiar el endometrio de perras clínicamente sanas. Se utilizaron 79 perras, pospúberes, cíclicas, en diestro, de entre 8 meses y 6 años de edad, clínicamente sanas. Las perras fueron divididas en tres grupos: perras que habían recibido tratamiento anticonceptivo con progestágenos (n=8), perras que nunca habían recibido tratamiento anticonceptivo (n=49), perras que se desconocía si habían recibido tratamiento anticonceptivo (n=22). Se tomó una muestra de cada cuerno uterino para estudio histopatológico mediante punch de 0,4 cm de diámetro. Las muestras fueron colocadas en tubos con solución formolada tamponada (pH 7.0/7.4) al 10% y remitidas al laboratorio. La observación de las mismas se realizó al microscopio óptico a 4X, 10X, 40X y 60X. De las 79 perras, 22 presentaron imagen histológica de útero normal, 47 ES, 7 hiperplasia endometrial quística y las 3 restantes presentaron otras afecciones. Nuestros resultados muestran que la ES podría ser la causa de gran parte de los problemas de infertilidad/subfertilidad en la perra.
Palabras clave:BiopsiasBiopsias, Endometritis Endometritis, Diestro Diestro.
Abstract: Infertility and subfertility are common problems in small animal reproduction. In the last years some studies suggested that subclinical endometritis (SE) could be an important cause of infertility/subfertility. The aim was to study the endometrium in healthy bitches. Seventy nine bitches, clinically healthy, aged between eight months and six years old, in diestrous, have been included in this work. Bitches were divided in 3 groups G1: bitches treated with progestins (n=8), G2: bitches never treated with progestins (n=49), G3: bitches without data about the use of progestins (n=22). The dioestrus was determined based on the date of the last heat, the study of vaginal cytology and the presence of corpus luteous in ovary. A biopsy was obtained from each uterine horn, placed in 10% (pH 7.0/7.4) buffered formalin solution and processing for histopathology study. Samples were observed with an optical microscope at 4X, 10X, 40X and 60X. Twenty two bitches showed normal endometrium, 47 showed SE, 7 showed cystic endometrial hyperplasia and three bitches had other conditions. Our results suggest SE could be an important cause of infertility/subfertility in the bitch.
Keywords: Biopsy, Endometritis, Diestrous.
Lesiones hispatológicas más frecuentes en el endometrio de perras clínicamente sanas en diestro
Histological study of the uterus in clinically healthy bitches

Recepción: 17 Noviembre 2017
Aprobación: 15 Noviembre 2018
La subfertilidad o infertilidad en hembras caninas se ha convertido en un motivo de consulta frecuente en la clínica reproductiva diaria. Las causas de subfertilidad/infertilidad son variadas pudiéndose arribar a diagnóstico definitivo en muchos pacientes. Sin embargo, en otras ocasiones no es posible establecer el diagnóstico, no pudiéndose identificar la causa. Dentro de las más frecuentes podemos citar los problemas asociados al manejo de los animales (fallas en la determinación del momento de mayor fertilidad), administración de anticonceptivos progestágenos durante períodos prolongados y enfermedades infecciosas (Brucella canis, enterococos, cocos gram positivos y Mycoplasma sp). Otras causas, menos frecuentes, pueden ser la oclusión oviductal (congénita o adquirida), quistes foliculares y estro persistente secundario a quiste folicular10, 27. Se ha comunicado que las afecciones del endometrio alteran la fisiología del medio ambiente uterino lo que causa fallas en la implantación, asociándose a subfertilidad o infertilidad. Por este hecho, las afecciones uterinas han sido postuladas como una causa importante de infertilidad11. La hiperplasia endometrial quística (HEQ) es una enfermedad subclínica, la cual ha sido descripta como la afección uterina más frecuente en la perra22, 26, 9. Se ha comunicado que los altos niveles de progesterona (P4) presentes en el diestro de la perra, así como la administración exógena de progestágenos están involucrados en la etiopatogenia de HEQ. Asimismo, la HEQ predispone a la ocurrencia de piometra3, 4, 11, 5.
En la vaca y en la yegua, los estudios realizados en los últimos años han demostrado que la endometritis subclínica (ES), provoca infertilidad/subfertilidad aumentando los intervalos parto-concepción y parto-parto, hecho que provoca un detrimento en la eficiencia reproductiva y grandes pérdidas económicas2, 12, 13, 14, 15, 23. Los conocimientos obtenidos en las mencionadas especies motivaron en la última década el estudio de la ocurrencia de afecciones endometriales en la perra. Es así que algunos investigadores han realizado estudios dirigidos a la identificación y etiopatogenia de afecciones endometriales en perras clínicamente sanas y a su importancia como causa de subfertilidad/infertilidad6, 21, 1, 19, 20.
En la perra sólo la endometritis posparto se encuentra bien definida y presenta variados signos clínicos asociados a su ocurrencia11. Si bien la ES ha sido identificada en caninos, aún no está claramente definida la etiopatogenia16, 6, 19, 9. Por lo tanto, un estudio histopatológico endometrial detallado que permita identificar cambios celulares del endometrio así como el conocimiento de la prevalencia de las afecciones endometriales ocurridos en perras clínicamente sanas permitiría postular causas de subfertilidad/infertilidad que hasta el momento no han sido identificadas. El objetivo de este trabajo fue estudiar el endometrio de perras clínicamente sanas e identificar las alteraciones endometriales ocurridas así como su prevalencia.
Se utilizaron 79 perras pospúberes, cíclicas, en diestro, mestizas y de diferentes razas (Labrador, Ovejero Alemán, Caniche, Dogo Argentino, Pitbull, Rottweiler, Pincher) de entre 8 meses y 6 años de edad, con un peso entre 5 y 30 kg, clínicamente sanas. Las perras formaron parte de un plan de control urbano de la reproducción realizado en un centro municipal (Centro de Zoonosis, Municipalidad de La Plata, Buenos Aires, Argentina). Del total de hembras caninas, 8 habían recibido tratamiento anticonceptivo (progestágenos) en uno o más ciclos previos a la toma de muestra (grupo [G1]), 49 nunca habían recibido tratamiento anticonceptivo (G2) y en 22 animales se desconocía si habían recibido anticonceptivos (G3). A cada una de las perras se le realizó un examen clínico general en el cual se evaluó la condición corporal, piel y membranas mucosas; parámetros clínicos generales (temperatura, frecuencia cardíaca y respiratoria, tiempo de llenado capilar). Conjuntamente, se le tomó una muestra para estudio citológico vaginal con dedo enguantado o hisopo (dependiendo del tamaño de la perra) introduciéndolo en la vagina en dirección dorsocraneal evitando así, la fosa del clítoris. Una vez dentro de la vagina, el hisopo o dedo enguantado se rotó sobre las paredes de la misma24. El momento del ciclo se determinó en base a la fecha del último celo relatada por el propietario, la citología vaginal y la presencia o no de cuerpos lúteos en los ovarios. Se incluyeron en el estudio hembras clínicamente sanas en diestro. El experimento se realizó respetando y de acuerdo con las recomendaciones internacionales especificadas en la Guía para el Cuidado y Uso de los Animales de Laboratorio, con las recomendaciones de la National Academy Science, Washinton DC, USA referidas al uso de perros como animales de laboratorio18 y las recomendaciones sobre el cuidado y uso de animales de laboratorio del Comité Institucional de Cuidado y Uso de Animales de Laboratorio (CICUAL) de la Facultad de Ciencias Veterinarias de la Universidad Nacional de La Plata (Resolución: 42-5-14 T). Luego de la ovariohisterectomía, los úteros y los ovarios de las perras fueron remitidos al Laboratorio de Reproducción Animal de la Facultad de Ciencias Veterinarias de la Universidad Nacional de La Plata para su estudio. Cada útero con sus correspondientes ovarios fueron examinados. Se observaron los ovarios y se registró la presencia de cuerpos lúteos. Se tomó una muestra de cada cuerno uterino para estudio histopatológico mediante punch de 0,4 cm de diámetro. Las muestras fueron colocadas en tubos con solución formolada tamponada al 10% y remitidas para su estudio al laboratorio de histopatología. Posteriormente las muestras fueron deshidratadas, incluidas en parafina, cortadas con micrótomo (4μm) y finalmente teñidas con hematoxilina y eosina. La observación de las mismas se realizó al microscopio óptico (MO) a 4X, 10X, 40X y 60X. Los datos obtenidos fueron expresados como porcentaje. Se estableció la prevalencia de ES en cada grupo (G1, G2 y G3). Debido al escaso número de perras en G1 y G3 no se pudo obtener el riesgo poblacional en cada grupo.
A partir de la observación al MO de la totalidad de las muestras, las mismas se clasificaron en: 1) Normales (N): endometrio con pliegues longitudinales de mucosa, epitelio endometrial superficial intacto, tejido conjuntivo formando la lámina propia con glándulas endometriales de estructura conservada. 2) Endometritis subclínica (ES): degeneración, necrosis y/o descamación de las células del epitelio endometrial superficial, hemorragia, hiperemia y/o congestión así como edema en lámina propia, en diferentes grados. La ES fue clasificada en a) ES aguda (ESA): moderada a severa hiperemia y/o congestión, hemorragia así como un infiltrado celular inflamatorio difuso (PMN neutrófilos, Figura 1), b) ES subaguda (ESSA): moderada a severa hiperemia y/o congestión, hemorragia junto a un infiltrado celular inflamatorio en el que además de neutrófilos, se observaron linfocitos y macrófagos con o sin hemosiderina (Figura 2); y en c) ES crónica (ESC): linfocitos y macrófagos, hiperplasia de tejido conectivo, en ocasiones con atrofia de glándulas endometriales, leve a moderada hiperemia y/o congestión. Asimismo, en aquellos casos con presencia de hemorragia moderada se observaron abundantes macrófagos con hemosiderina (Figura 3).

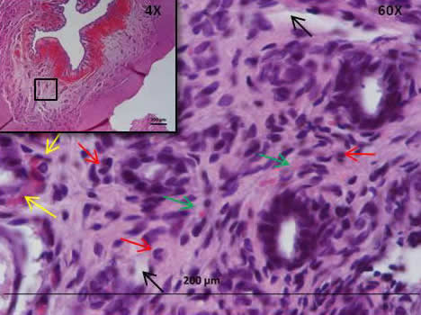
(Obj. 4X y 60X H&E) Corte de endometrio con ESA en el cual se puede observar un infiltrado inflamatorio PMN neutrófilos (flechas rojas), hiperemia (flechas amarillas), hemorragia (flechas verdes), edema (flechas negras)

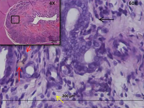
(Obj. 4X y 60X H&E). Corte de endometrio con ESSA en el cual se pueden observar macrófagos con hemosiderina (flechas rojas), linfocitos (flecha amarilla), edema (flecha negra).

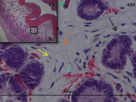
(Obj. 4X y 60X H&E). Corte de endometrio con ESC en el cual se pueden observar fibrocitos (flecha amarilla), hiperplasia de tejido conectivo (flecha naranja), edema (flecha negra), hemorragia (flecha celeste), hiperemia (flechas verdes).
3) HEQ: proliferación de las glándulas endometriales, distención de su luz, de tamaño y forma irregulares. De las 79 perras estudiadas, 28% presentaron imagen histológica de útero normal, 59% presentaron imagen histológica de ES, 9% presentaron imagen histológica de HEQ y 4% perras presentaron otras afecciones (Fibrosis, atrofia de mucosa). De las 47 perras con ES, el 36% presentó ESA, 19% ESSA y 45% ESC. El porcentaje de úteros normales y con ES en G1 y G3 fue similar, siendo el G2 el que mostró mayor porcentaje de ES. Sin embargo, el porcentaje de ESA, ESSA y ESC fue similar en los 3 grupos. El 25% de las perras del G1 presentaron imagen histológica de útero N y el 75% presentaron imagen histológica de ES (ESA=33,3%; ESSA=16,7%; ESC=50%). El 31% perras del G2 presentó endometrios con imagen histológica de útero N, el 59% presentó imagen histológica de ES (ESA=34%; ESSA=21%; ESC=45%), el 4% imagen histológica de HEQ y el 6% otras afecciones (Fibrosis, atrofia de mucosa). En la población de perras del G3 se observó un 23% con imagen histológica de útero N, 54% con imagen histológica de ES (ESA=41,5%; ESSA=17%; ESC=41,5%) y 23% con imagen histológica de HEQ (Tabla I).

Número de perras utilizadas en cada grupo y diagnóstico histopatológico. ESA: endometritis subclínica aguda, ESSA: endometritissubclínica subaguda, ESC: endometritis subclínica crónica, HEQ: hiperplasia endometrial quística, G1: Grupo 1, G2:
Se define como infertilidad a la incapacidad de concebir y producir una cría viable. En la perra, el término subfertilidad implica una menor tasa de preñez y tamaño de camada que lo esperado para perras fértiles de la misma raza 27, 10.
Como se mencionó previamente, los procesos inflamatorios endometriales subclínicos pueden producir infertilidad en la perra al causar fallas en la concepción por provocar un medio ambiente inadecuado para la supervivencia espermática y la interacción entre espermatozoideovocito o por causar pérdidas embrionarias tempranas al interferir con la implantación 11. Actualmente, la HEQ es considerada como la principal causa de infertilidad en la perra 26. Nuestro estudio muestra una alta prevalencia de ES siendo considerablemente mayor a la de HEQ. Asimismo, se observa una prevalencia de HEQ menor que la observada por otros autores quienes comunicaron la ocurrencia de entre el 15 y 35% de esta afección 1, 9, 17. Las diferencias observadas podrían deberse al número de perras estudiadas y al momento del ciclo en que se tomó la muestra. Algunos autores colectaron muestras en diferentes estadios del ciclo de la perra, mientras que en nuestro estudio sólo se estudiaron muestras colectadas durante el diestro 1, 9, 17. Los resultados obtenidos en este estudio fueron similares a los observados por nuestro grupo de trabajo en estudios previos 19, 20. El porcentaje de endometrios normales registrado (28%) coincide con lo observado por Gifford et al. en muestras provenientes de perras subfértiles 9. En concordancia, Mir et al. encontraron un porcentaje similar de úteros normales en muestras provenientes de perras infértiles (21,5%) 17. Ambos autores tomaron muestras de perras con infertilidad de origen desconocido. El porcentaje de ES (59%) observado en nuestro trabajo fue similar a lo observado por Christensen et al., (50%) en perras clínicamente sanas 1. En contraposición, Gifford et al., (43%) y Mir et al., (29%) observaron un porcentaje inferior de perras con ES en hembras infértiles/subfértiles 9, 17. Las diferencias observadas pueden deberse al número de animales así como a la categoría de pacientes incluidos en cada estudio. Las diferentes concentraciones de estrógenos y P4 ocurridas en las diferentes fases del ciclo estral, su acción sobre la morfología endometrial y la expresión de mediadores de la inflamación podrían relacionarse con la ocurrencia de endometritis 7, 24, 25, 8.
Por otra parte, nuestros resultados muestran la ocurrencia de diferentes tipos de ES en el diestro, observándose una prevalencia mayor de ESC en comparación con la prevalencia observada para ESA y ESSA. Estos hallazgos concuerdan con resultados previos obtenidos por nuestro grupo de trabajo en los cuales se observó que el 20% de las perras presentaba ESA, 6,6% ESSA y 33,3% ESC 19. En concordancia con los mencionados hallazgos, Gifford et al. observaron ESC con mayor frecuencia 22,3% que ESA y ESSA. Sin embargo, en contraposición con nuestros resultados, en el mencionado trabajo se observó ESSA en el 12,8% de los animales con una frecuencia de aparición mayor que ESA, 7,5% 9. Estas diferencias, como se mencionó previamente, podrían relacionarse con el momento del ciclo estral en el que se tomó la muestra lo cual influiría sobre la prevalencia del tipo de endometritis en relación a la acción de estrógenos y P4 sobre el útero.
En nuestro trabajo se pudo observar que el porcentaje de perras con ES fue mayor que el porcentaje de HEQ y que el porcentaje de endometrio N tanto en el grupo de perras G1 como en el grupo de perras G2. En trabajos previos realizados por los autores anteriormente mencionados, no se registró el uso o no de anticonceptivos progestágenos. En el grupo de perras G1 sólo se observaron imágenes de úteros normales y con ES. El pequeño número de perras del G1 no permite formular hipótesis sobre la incidencia de ES en relación a HEQ en este grupo.
Nuestros resultados muestran que la prevalencia de ES en perras clínicamente sanas es alta. La ES podría ser la causa de gran parte de los problemas de infertilidad/subfertilidad tal como ocurre en otras especies. Asimismo, nuestros resultados sugieren que la ES en perras, podría haber sido subestimada, tal vez porque en la mayoría de los trabajos se estudiaron perras con signología clínica de enfermedad uterina, no estudiándose la población general de perras clínicamente sanas. Por otra parte, nuestro estudio muestra una mayor prevalencia de ES en comparación con la prevalencia de HEQ, entidad comunicada hasta el momento como la más frecuente de las alteraciones uterinas en caninos.
Futuros estudios que aumenten los conocimientos sobre el origen de la ES y su patogenia permitirán diseñar estrategias terapéuticas con el fin de tratar la enfermedad uterina mejorando así la eficiencia reproductiva de la hembra canina, logrando de este modo mayores porcentajes de preñez en criaderos caninos.

(Obj. 4X y 60X H&E) Corte de endometrio con ESA en el cual se puede observar un infiltrado inflamatorio PMN neutrófilos (flechas rojas), hiperemia (flechas amarillas), hemorragia (flechas verdes), edema (flechas negras)

(Obj. 4X y 60X H&E). Corte de endometrio con ESSA en el cual se pueden observar macrófagos con hemosiderina (flechas rojas), linfocitos (flecha amarilla), edema (flecha negra).

(Obj. 4X y 60X H&E). Corte de endometrio con ESC en el cual se pueden observar fibrocitos (flecha amarilla), hiperplasia de tejido conectivo (flecha naranja), edema (flecha negra), hemorragia (flecha celeste), hiperemia (flechas verdes).

Número de perras utilizadas en cada grupo y diagnóstico histopatológico. ESA: endometritis subclínica aguda, ESSA: endometritissubclínica subaguda, ESC: endometritis subclínica crónica, HEQ: hiperplasia endometrial quística, G1: Grupo 1, G2: